Chest Xray Path correlation Normal structures Densities Genesis

  • Slides: 72
Download presentation
Chest X-ray Path correlation • • • Normal structures Densities Genesis of abnormal densities

Chest X-ray Path correlation • • • Normal structures Densities Genesis of abnormal densities Localization Pathological correlation Steps in evaluation of CXR

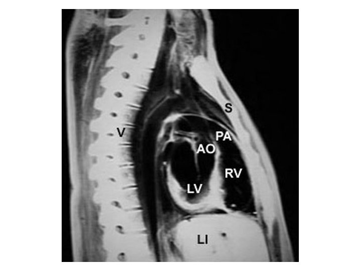
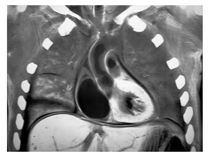
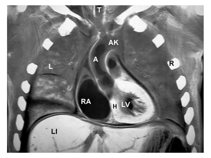
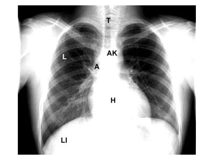
Left RV RA LV LA

Left RV RA LV LA

Densities

Densities

Hemorrhage H e m

Hemorrhage H e m

Localization • • Lobar distribution Air bronchogram Silouhette sign Extra pleural sign

Localization • • Lobar distribution Air bronchogram Silouhette sign Extra pleural sign

Lobar density

Lobar density

Silouhette sign

Silouhette sign

Silouhette sign

Silouhette sign

RUL RML RLL LUL Lingula LLL Silouhette sign

RUL RML RLL LUL Lingula LLL Silouhette sign

Extrapleural sign

Extrapleural sign

Peripheral Sharp inner Indistinct outer Concave angles Extrapleural sign

Peripheral Sharp inner Indistinct outer Concave angles Extrapleural sign

Air bronchogram

Air bronchogram

Pathological correlation • • Consolidation Cavitation Mass Atelectasis Pleural effusion Pneumothorax Pulmonary edema

Pathological correlation • • Consolidation Cavitation Mass Atelectasis Pleural effusion Pneumothorax Pulmonary edema

Consolidation

Consolidation

Pneumonia

Pneumonia

Air bronchogram Lobar No loss of volume Consolidation

Air bronchogram Lobar No loss of volume Consolidation

Hole Wall Lumen Content Cavity

Hole Wall Lumen Content Cavity

Mass

Mass

Homogenous Sharp margin No respect Mass

Homogenous Sharp margin No respect Mass

Atelectasis

Atelectasis

Loss of lung volume Atelectasis

Loss of lung volume Atelectasis

Homogenous Costophrenic angle Meniscus Pleural effusion

Homogenous Costophrenic angle Meniscus Pleural effusion

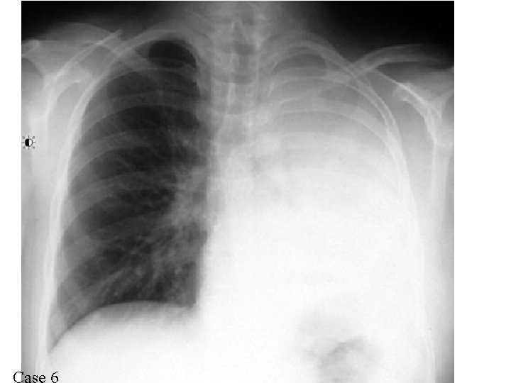
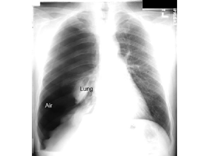
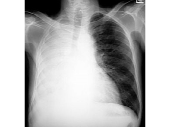
Pneumothorax

Pneumothorax

Air in pleura Atelectatic lung Hemithorax Mediastinual shift Pneumothorax

Air in pleura Atelectatic lung Hemithorax Mediastinual shift Pneumothorax

Pulmonary edema

Pulmonary edema

Pulmonary edema

Pulmonary edema

Bilateral Diffuse Alveolar

Bilateral Diffuse Alveolar

Emphysema

Emphysema

Bleb Emphysema

Bleb Emphysema

Bullous emphysema

Bullous emphysema

Emphysema

Emphysema

Emphysema Flat diaphragm

Emphysema Flat diaphragm

Dark lungs AP diameter Low flat diaphragms Vertical heart Retrosternal air Infracardiac air Avascularity

Dark lungs AP diameter Low flat diaphragms Vertical heart Retrosternal air Infracardiac air Avascularity Blebs Emphysema

Mediastinal nodes

Mediastinal nodes

Metastases

Metastases

Honeycombing

Honeycombing

Interstitial fibrosis

Interstitial fibrosis

Diffuse interstitial

Diffuse interstitial

Lines Honeycombing Nodules Diffuse interstitial

Lines Honeycombing Nodules Diffuse interstitial

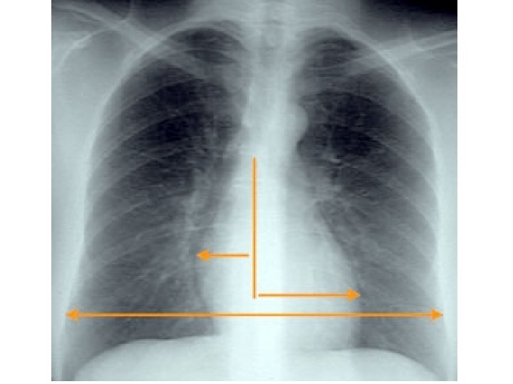
Steps in evaluation of CXR • • • Identify abnormalities Localize Identify pathological process

Steps in evaluation of CXR • • • Identify abnormalities Localize Identify pathological process Probable etiology Tests to confirm

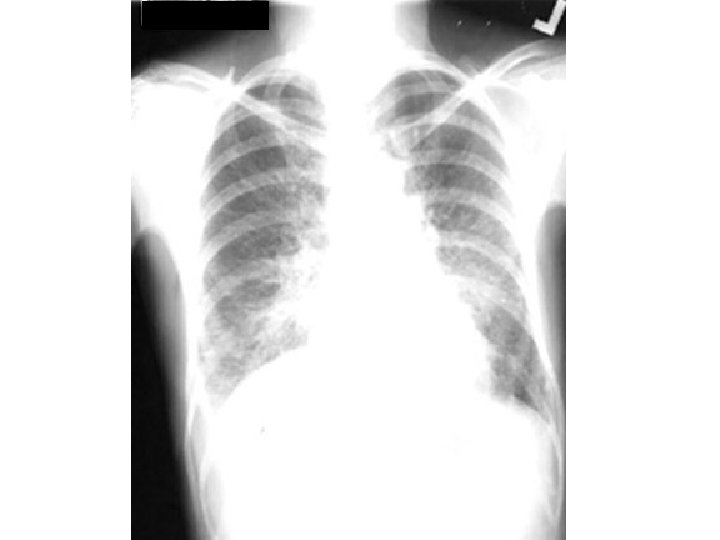
Case 1

Case 1

Case 7

Case 7

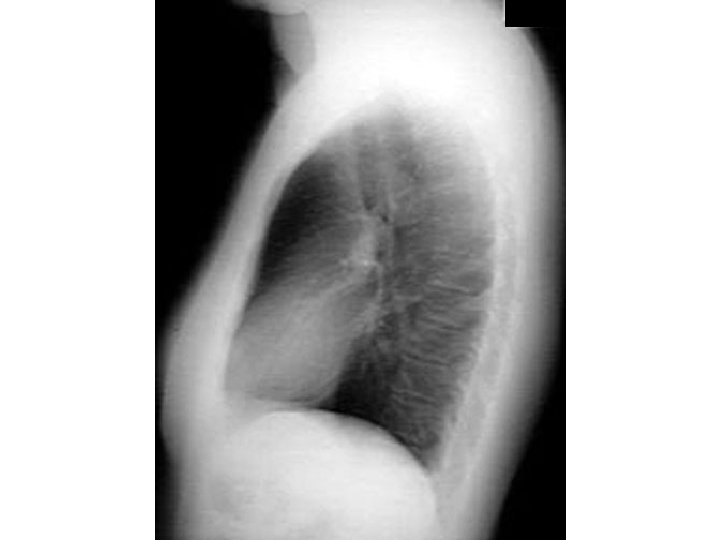
Case 8

Case 8