Chest X RAYS CXR Views PosteriorAnterior PA o

  • Slides: 64
Download presentation
Chest X RAYS

Chest X RAYS

CXR Views Posterior-Anterior (PA): o Standard view & most reliable technique o Erect films

CXR Views Posterior-Anterior (PA): o Standard view & most reliable technique o Erect films detect air under the diaphragm Lateral view: o Done at the same time as the PA film o Helps localize infiltrates Anterior-posterior (AP): o Portable- patient is too ill to go to X-ray, usually patient is sitting upright in bed o Poor quality but may be the best you can do o Remember- AP films may cause the mediastinum & heart to appear larger than they are

Basic Rules Make sure you have the right patient Look for symmetry Have a

Basic Rules Make sure you have the right patient Look for symmetry Have a system Look for the marker (R/L) Check Exposure Check for inspiration (need 8 -9 ribs)

Have a System 1. Inspect the bony framework 2. Inspect the soft tissues that

Have a System 1. Inspect the bony framework 2. Inspect the soft tissues that overlies the thoracic cage 3. Examine the lung fields 4. Examine the diaphragm and pleural surfaces 5. Examine the heart and mediastinum

Normal Thoracic Anatomy

Normal Thoracic Anatomy

Normal CXR

Normal CXR

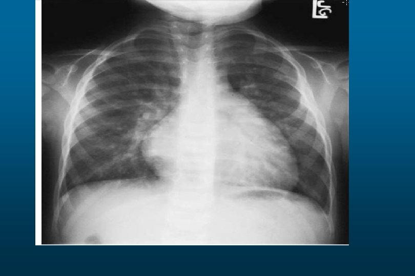
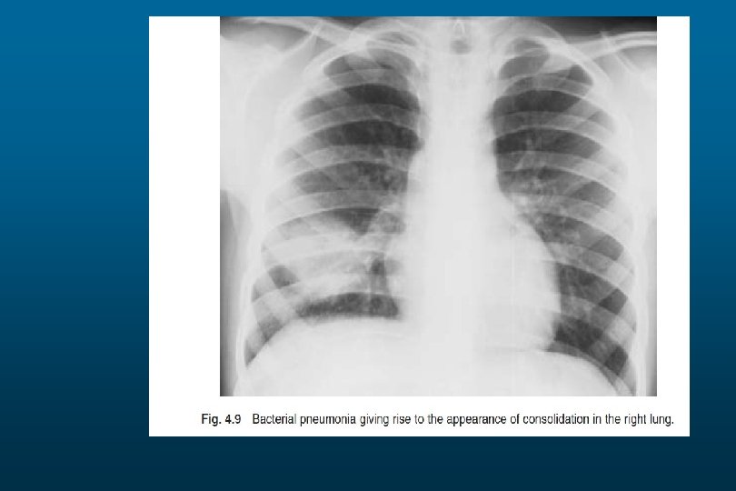
Right Upper Lobe Pneumonia

Right Upper Lobe Pneumonia

Right lower Lobe Pneumonia

Right lower Lobe Pneumonia

Left Lower Lobe Pneumonia

Left Lower Lobe Pneumonia

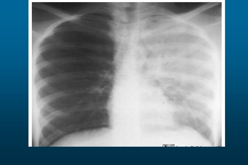
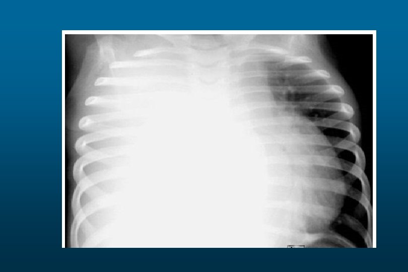
Left sided massive pneumonia

Left sided massive pneumonia

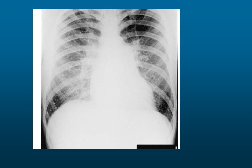
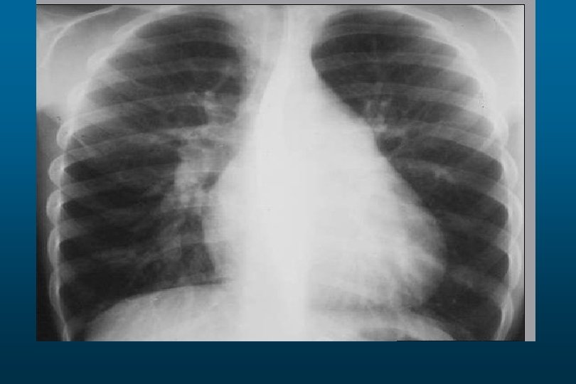
Enlarged Heart

Enlarged Heart

Cardiomegaly

Cardiomegaly

Patent ductus arteriosus

Patent ductus arteriosus

Tetralogy of Fallot,

Tetralogy of Fallot,

Dextrocardia.

Dextrocardia.

Pulmonary Edema

Pulmonary Edema

CHF

CHF

Fallot tetralogy

Fallot tetralogy

Pleural Effusion

Pleural Effusion

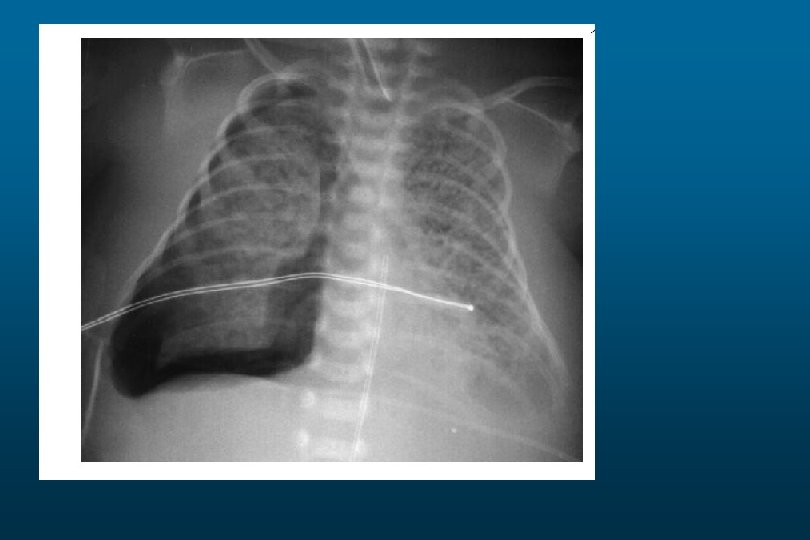
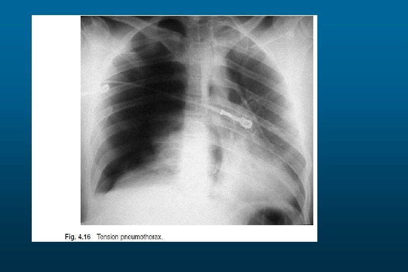
Pneumothorax

Pneumothorax

Pneumothorax

Pneumothorax

RDS

RDS

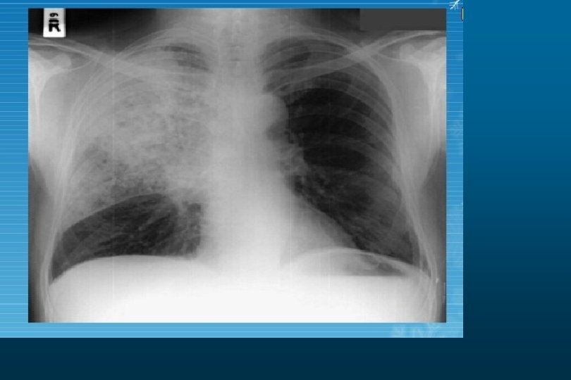
Tuberculosis

Tuberculosis

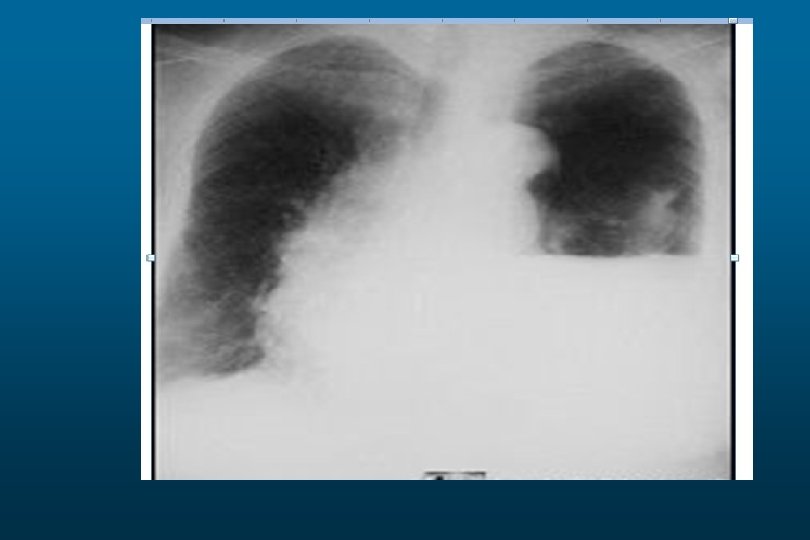
Large pleural effusion

Large pleural effusion

Right sided atelectasis

Right sided atelectasis

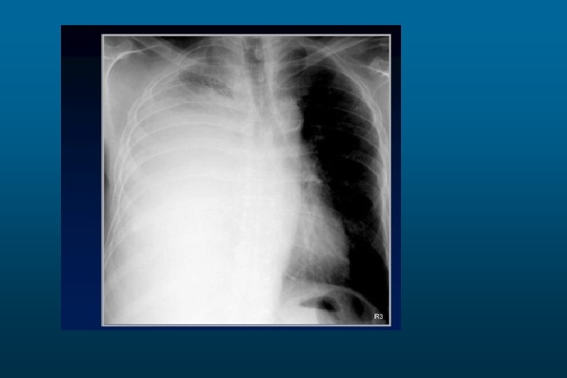
he right hemithorax is opaque There is a shift of the heart and trachea

he right hemithorax is opaque There is a shift of the heart and trachea away from the side ofo pacification This is characteristic of apleural effusion

Pneumothorax.

Pneumothorax.

Thank you

Thank you