Chapter 7 Radiologic Examination of the Chest Mosby
Chapter 7 Radiologic Examination of the Chest Mosby items and derived items © 2011, 2006 by Mosby, Inc. , an affiliate of Elsevier Inc. 1
Fundamentals of Radiography Mosby items and derived items © 2011, 2006 by Mosby, Inc. , an affiliate of Elsevier Inc. 2
Standard Positions and Techniques of Chest Radiography Posteroanterior (PA) radiograph Anteroposterior (AP) radiograph Lateral decubitus radiograph Mosby items and derived items © 2011, 2006 by Mosby, Inc. , an affiliate of Elsevier Inc. 3
Posteroanterior Radiograph The standard PA chest radiograph is obtained by having the patient stand (or sit) in the upright position. The anterior aspect of the patient’s chest is pressed against a film cassette holder. Mosby items and derived items © 2011, 2006 by Mosby, Inc. , an affiliate of Elsevier Inc. 4
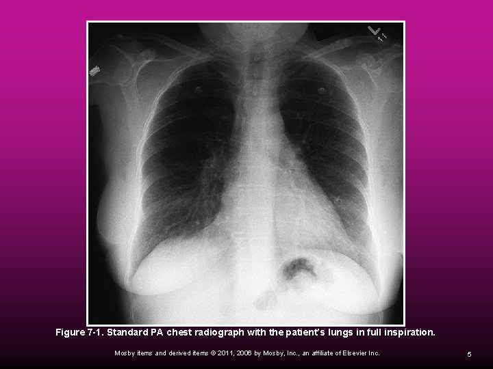
Figure 7 -1. Standard PA chest radiograph with the patient’s lungs in full inspiration. Mosby items and derived items © 2011, 2006 by Mosby, Inc. , an affiliate of Elsevier Inc. 5
Figure 7 -2. A PA chest radiograph of the same patient shown in Figure 7 -1 during expiration. Mosby items and derived items © 2011, 2006 by Mosby, Inc. , an affiliate of Elsevier Inc. 6
Figure 7 -3. Compared with the PA chest radiograph, the heart is significantly magnified in the AP chest radiograph. In the PA radiograph the ratio of the width of the heart to the thorax is normally less than 1 : 2. Mosby items and derived items © 2011, 2006 by Mosby, Inc. , an affiliate of Elsevier Inc. 7
Anteroposterior Radiograph The supine AP radiograph may be taken in patients who are debilitated, immobilized, or too young to tolerate the PA procedure. The AP radiograph is usually taken with a portable x-ray machine at the patient’s bedside. The film is placed behind the patient’s back, with the x-ray machine positioned in front of the patient approximately 48 inches from the film. Mosby items and derived items © 2011, 2006 by Mosby, Inc. , an affiliate of Elsevier Inc. 8
Figure 7 -4. AP chest radiograph. The diaphragms are elevated, the lower lung lobes appear hazy, the ratio of the width of the heart to the thorax is greater than 2 : 1, and extraneous lines are apparent on the patient’s left side. Mosby items and derived items © 2011, 2006 by Mosby, Inc. , an affiliate of Elsevier Inc. 9
Lateral Radiograph The lateral radiograph is obtained to complement the PA radiograph. It is taken with the side of the patient’s chest compressed against the cassette. The patient’s arms are raised, with the forearms resting on the head. Mosby items and derived items © 2011, 2006 by Mosby, Inc. , an affiliate of Elsevier Inc. 10
Figure 7 -5. Lateral radiograph. Mosby items and derived items © 2011, 2006 by Mosby, Inc. , an affiliate of Elsevier Inc. 11
Lateral Decubitus Radiograph The lateral decubitus radiograph is obtained by having the patient lie on the left or right side rather than standing or sitting in the upright position. The naming of the decubitus radiograph is determined by the side on which the patient lies. Ø Thus a right lateral decubitus radiograph means that the patient’s right side is down. Mosby items and derived items © 2011, 2006 by Mosby, Inc. , an affiliate of Elsevier Inc. 12
Figure 7 -6. Subpulmonic pleural effusion. Right lateral decubitus view. Subdiaphragmatic fluid has run up the lateral chest wall, producing a band of soft tissue density. The medial curvilinear shadow (arrows) indicates fluid in the lips of the major fissure. Mosby items and derived items © 2011, 2006 by Mosby, Inc. , an affiliate of Elsevier Inc. 13
Inspecting the Chest Radiograph Mosby items and derived items © 2011, 2006 by Mosby, Inc. , an affiliate of Elsevier Inc. 14
Figure 7 -7. Normal PA chest radiograph. 1, Trachea (note vertebral column in middle of trachea); 2, carina; 3, right main stem bronchus; 4, left main stem bronchus; 5, right atrium; 6, left ventricle; 7, hilar vasculature; 8, aortic knob; 9, diaphragm; 10, costophrenic angles; 11, breast shadows; 12, gastric air bubble; 13, clavicle; 14, rib. Mosby items and derived items © 2011, 2006 by Mosby, Inc. , an affiliate of Elsevier Inc. 15
Figure 7 -8. Normal lateral chest radiograph. 1, Manubrium; 2, sternum; 3, cardiac shadow; 4, retrosternal air space in the lung; 5, trachea; 6, bronchus, on end; 7, aortic arch (ascending and descending); 8, scapulae; 9, vertebral column; 10, diaphragm; 11, breast shadow. Mosby items and derived items © 2011, 2006 by Mosby, Inc. , an affiliate of Elsevier Inc. 16
Table 7 -1 Common Radiologic Terms Air cyst Bleb Bulla Bronchogram Cavity Consolidation Homogeneous density Honeycombing Infiltrate Mosby items and derived items © 2011, 2006 by Mosby, Inc. , an affiliate of Elsevier Inc. 17
Table 7 -1 Common Radiologic Terms (Cont’d) Interstitial density Lesion Opacity Pleural density Pulmonary mass Pulmonary nodule Radiodensity Radiolucency Translucent Mosby items and derived items © 2011, 2006 by Mosby, Inc. , an affiliate of Elsevier Inc. 18
Selected Examples of Common Radiologic Terms Mosby items and derived items © 2011, 2006 by Mosby, Inc. , an affiliate of Elsevier Inc. 19
Cavity Lung abscess with cavities Lung abscess with air-fluid cavity. Radiograph of cavity Reactivation tuberculosis (TB) with a large cavitary lesion containing an air-fluid level in the right lower lobe. Mosby items and derived items © 2011, 2006 by Mosby, Inc. , an affiliate of Elsevier Inc. 20
Cavity (Cont’d) Lung with TB cavities Tuberculosis. Radiograph of cavity Cavitary reactivation TB showing a left upper lobe cavity and localized pleural thickening (arrows). Mosby items and derived items © 2011, 2006 by Mosby, Inc. , an affiliate of Elsevier Inc. 21
Consolidation or Opacity (Caused by Right Lung Pneumonia) Pneumonia Mosby items and derived items © 2011, 2006 by Mosby, Inc. , an affiliate of Elsevier Inc. 22
Bronchogram Air bronchogram. Mosby items and derived items © 2011, 2006 by Mosby, Inc. , an affiliate of Elsevier Inc. 23
Bronchogram Shown in Chest CT Scan Mosby items and derived items © 2011, 2006 by Mosby, Inc. , an affiliate of Elsevier Inc. 24
Honeycombing Shown in Interstitial Pulmonary Fibrosis Honeycomb cysts. Mosby items and derived items © 2011, 2006 by Mosby, Inc. , an affiliate of Elsevier Inc. 25
Infiltrate Shown in Patient with ARDS—General Term Cross-sectional view of alveoli in adult respiratory distress syndrome. Chest x-ray film of a patient with moderately severe ARDS. Mosby items and derived items © 2011, 2006 by Mosby, Inc. , an affiliate of Elsevier Inc. 26
Pleural Density Right-sided pleural effusion. Mosby items and derived items © 2011, 2006 by Mosby, Inc. , an affiliate of Elsevier Inc. 27
Pulmonary Mass Cancer of the lung. Mosby items and derived items © 2011, 2006 by Mosby, Inc. , an affiliate of Elsevier Inc. 28
Radiodensity (Caused by a Right Lung Pneumonia) Pneumonia Mosby items and derived items © 2011, 2006 by Mosby, Inc. , an affiliate of Elsevier Inc. 29
Translucency or Radiolucency (Caused by a Right Pneumothorax) Right pneumothorax Mosby items and derived items © 2011, 2006 by Mosby, Inc. , an affiliate of Elsevier Inc. 30
Translucency or Radiolucency Caused by Chronic Emphysema Chest x-ray study of a patient with emphysema. Centrilobular emphysema. Mosby items and derived items © 2011, 2006 by Mosby, Inc. , an affiliate of Elsevier Inc. 31
Technical Quality of the Radiograph Technical quality Exposure quality Level of inspiration Mosby items and derived items © 2011, 2006 by Mosby, Inc. , an affiliate of Elsevier Inc. 32
First Technical Quality Was the patient in the correct position? Ø Check the medial ends of the clavicles to the vertebral column. Even a small degree of patient rotation can create a false image. Ø Can erroneously suggest tracheal deviation, cardiac displacement, or cardiac enlargement Mosby items and derived items © 2011, 2006 by Mosby, Inc. , an affiliate of Elsevier Inc. 33
Second Exposure Quality Normal exposure is verified by determining whether the spinal processes of the vertebrae are visible to the fifth or sixth thoracic level. Compare the relative densities of the heart and lungs. Ø Ø Overexposure: heart and lungs more radiolucent Underexposure: heart and lungs more dense or whiter Mosby items and derived items © 2011, 2006 by Mosby, Inc. , an affiliate of Elsevier Inc. 34
Third Level of Inspiration When Radiograph Was Taken At full inspiration, the diaphragmatic domes should be at the level of the ninth to eleventh ribs posteriorly. At expiration, the lungs appear denser, the diaphragm is elevated, and the heart appears wider and enlarged. Mosby items and derived items © 2011, 2006 by Mosby, Inc. , an affiliate of Elsevier Inc. 35
Sequence of Examination Mediastinum Trachea Heart Hilar region Lung parenchyma (tissue) Mosby items and derived items © 2011, 2006 by Mosby, Inc. , an affiliate of Elsevier Inc. 36
Figure 7 -7. Normal PA chest radiograph. 1, Trachea (note vertebral column in middle of trachea); 2, carina; 3, right main stem bronchus; 4, left main stem bronchus; 5, right atrium; 6, left ventricle; 7, hilar vasculature; 8, aortic knob; 9, diaphragm; 10, costophrenic angles; 11, breast shadows; 12, gastric air bubble; 13, clavicle; 14, rib. Mosby items and derived items © 2011, 2006 by Mosby, Inc. , an affiliate of Elsevier Inc. 37
Sequence of Examination (Cont’d) Pleura Diaphragm Gastric air bubble Bony thorax Extrathoracic soft tissues Mosby items and derived items © 2011, 2006 by Mosby, Inc. , an affiliate of Elsevier Inc. 38
Figure 7 -7. Normal PA chest radiograph. 1, Trachea (note vertebral column in middle of trachea); 2, carina; 3, right main stem bronchus; 4, left main stem bronchus; 5, right atrium; 6, left ventricle; 7, hilar vasculature; 8, aortic knob; 9, diaphragm; 10, costophrenic angles; 11, breast shadows; 12, gastric air bubble; 13, clavicle; 14, rib. Mosby items and derived items © 2011, 2006 by Mosby, Inc. , an affiliate of Elsevier Inc. 39
Table 7 -2 Examples of Factors That Pull or Push Anatomic Structures out of Their Normal Position in the Chest Radiograph Structure Abnormal Position Mediastinum Leftward shift Trachea Carina Heart Major vessels Causes Pulled left by upper lobe tuberculosis, atelectasis, or fibrosis Pushed left by right upper lobe emphysematous bulla, fluid, gas, or tumor Mosby items and derived items © 2011, 2006 by Mosby, Inc. , an affiliate of Elsevier Inc. 40
Table 7 -2 Examples of Factors That Pull or Push Anatomic Structures out of Their Normal Position in the Chest Radiograph (Cont’d) Structure Left diaphragm Abnormal Position Upward shift Causes Pulled up by left lower lobe atelectasis or fibrosis Pushed up by distended gastric air bubble Mosby items and derived items © 2011, 2006 by Mosby, Inc. , an affiliate of Elsevier Inc. 41
Table 7 -2 Examples of Factors That Pull or Push Anatomic Structures out of Their Normal Position in the Chest Radiograph (Cont’d) Structure Horizontal fissure Right lung Right hilum Abnormal Position Downward shift Causes Pulled down by right middle lobe or right lower lobe atelectasis Pushed down by right upper lobe neoplasm Mosby items and derived items © 2011, 2006 by Mosby, Inc. , an affiliate of Elsevier Inc. 42
Table 7 -2 Examples of Factors That Pull or Push Anatomic Structures out of Their Normal Position in the Chest Radiograph (Cont’d) Structure Left lung Abnormal Position Rightward shift Causes Pulled right by right lung collapse, atelectasis, or fibrosis Pushed right by left-sided tension pneumothorax or hemothorax Mosby items and derived items © 2011, 2006 by Mosby, Inc. , an affiliate of Elsevier Inc. 43
Other Radiologic Techniques Computed tomography (CT) Ø Position emission tomography (PET) Ø CT scan PET scan Magnetic resonance imaging Pulmonary angiography Ventilation-perfusion scan Fluoroscopy Bronchography Mosby items and derived items © 2011, 2006 by Mosby, Inc. , an affiliate of Elsevier Inc. 44
Computed Tomography Computed tomography (CT) scanning provides a series of cross-sectional (transverse) pictures of the structures within the body at numerous levels. Mosby items and derived items © 2011, 2006 by Mosby, Inc. , an affiliate of Elsevier Inc. 45
Figure 7 -9. The principle of spiral computed tomography. The patient moves into the scanner with the x-ray tube continuously rotating and the detectors acquiring information. The rapidity of data acquisition allows a complete examination of the throax to be performed in a single breath hold. Mosby items and derived items © 2011, 2006 by Mosby, Inc. , an affiliate of Elsevier Inc. 46
Normal CT Scan Lung Window Figure 7 -10. Overview of normal lung window CT scan. The apex appears in the two views in the upper right corner of this figure; the diaphragm at the base of the lungs appears in the lower right hand view. Mosby items and derived items © 2011, 2006 by Mosby, Inc. , an affiliate of Elsevier Inc. 47
Example of Several Normal CT Scan Lung Window Slices Mosby items and derived items © 2011, 2006 by Mosby, Inc. , an affiliate of Elsevier Inc. 48
Normal CT Scan Lung Window A B Figure 7 -10. Close-up of a normal lung window CT scan. A, The portion of the chest the CT scan is taken. Figure 7 -10. B, The actual cross-sectional slice, or axial view of the chest. Mosby items and derived items © 2011, 2006 by Mosby, Inc. , an affiliate of Elsevier Inc. 49
Normal CT Scan Lung Window (Cont’d) Figure 7 -10, cont. Mosby items and derived items © 2011, 2006 by Mosby, Inc. , an affiliate of Elsevier Inc. 50
Normal CT Scan Lung Window (Cont’d) Figure 7 -10, cont. Mosby items and derived items © 2011, 2006 by Mosby, Inc. , an affiliate of Elsevier Inc. 51
Normal CT Scan Lung Window (Cont’d) Figure 7 -10, cont. Mosby items and derived items © 2011, 2006 by Mosby, Inc. , an affiliate of Elsevier Inc. 52
Normal CT Scan Lung Window (Cont’d) Figure 7 -10, cont. Mosby items and derived items © 2011, 2006 by Mosby, Inc. , an affiliate of Elsevier Inc. 53
Normal CT Scan Lung Window (Cont’d) Figure 7 -10, cont. Mosby items and derived items © 2011, 2006 by Mosby, Inc. , an affiliate of Elsevier Inc. 54
Normal CT Scan Lung Window (Cont’d) Figure 7 -10, cont. Mosby items and derived items © 2011, 2006 by Mosby, Inc. , an affiliate of Elsevier Inc. 55
Normal CT Scan Lung Window (Cont’d) Figure 7 -10, cont. Mosby items and derived items © 2011, 2006 by Mosby, Inc. , an affiliate of Elsevier Inc. 56
Normal CT Scan Lung Window (Cont’d) Figure 7 -10, cont. Mosby items and derived items © 2011, 2006 by Mosby, Inc. , an affiliate of Elsevier Inc. 57
Normal CT Scan Lung Window (Cont’d) Figure 7 -10, cont. Mosby items and derived items © 2011, 2006 by Mosby, Inc. , an affiliate of Elsevier Inc. 58
Normal CT Scan Lung Window (Cont’d) Figure 7 -10, cont. Mosby items and derived items © 2011, 2006 by Mosby, Inc. , an affiliate of Elsevier Inc. 59
Example of Several Normal CT Scan Mediastinal Windows Mosby items and derived items © 2011, 2006 by Mosby, Inc. , an affiliate of Elsevier Inc. 60
Figure 7 -11. Close-up of a normal lung window computed tomography (CT) scan. A, The portion of the chest undergoing CT scanning. B, The actual cross-sectional slice, or axial view of the chest. Note the carina and both mainstem bronchi (arrow) Mosby items and derived items © 2011, 2006 by Mosby, Inc. , an affiliate of Elsevier Inc. 61
Normal CT Mediastinal Window Figure 7 -12. Close-up of normal CT mediastinal window. A, The portion of the chest the CT scan is taken. B, The actual cross-sectional slice, or axial view of the chest. Note that the lungs are overexposed and appear mostly black. The bone and mediastinal organs appear mostly white. Mosby items and derived items © 2011, 2006 by Mosby, Inc. , an affiliate of Elsevier Inc. 62
Normal CT Mediastinal Window (Cont’d) Figure 7 -12, cont. Mosby items and derived items © 2011, 2006 by Mosby, Inc. , an affiliate of Elsevier Inc. 63
Normal CT Mediastinal Window (Cont’d) Figure 7 -12, cont. Mosby items and derived items © 2011, 2006 by Mosby, Inc. , an affiliate of Elsevier Inc. 64
Normal CT Mediastinal Window (Cont’d) Figure 7 -12, cont. Mosby items and derived items © 2011, 2006 by Mosby, Inc. , an affiliate of Elsevier Inc. 65
Normal CT Mediastinal Window (Cont’d) Figure 7 -12, cont. Mosby items and derived items © 2011, 2006 by Mosby, Inc. , an affiliate of Elsevier Inc. 66
Normal CT Mediastinal Window (Cont’d) Figure 7 -12, cont. Mosby items and derived items © 2011, 2006 by Mosby, Inc. , an affiliate of Elsevier Inc. 67
Normal CT Mediastinal Window (Cont’d) Figure 7 -12, cont. Mosby items and derived items © 2011, 2006 by Mosby, Inc. , an affiliate of Elsevier Inc. 68
Normal CT Mediastinal Window (Cont’d) Figure 7 -12, cont. Mosby items and derived items © 2011, 2006 by Mosby, Inc. , an affiliate of Elsevier Inc. 69
Normal CT Mediastinal Window (Cont’d) Figure 7 -12, cont. Mosby items and derived items © 2011, 2006 by Mosby, Inc. , an affiliate of Elsevier Inc. 70
Normal CT Mediastinal Window (Cont’d) Figure 7 -12, cont. Mosby items and derived items © 2011, 2006 by Mosby, Inc. , an affiliate of Elsevier Inc. 71
Normal CT Mediastinal Window (Cont’d) Figure 7 -12, cont. Mosby items and derived items © 2011, 2006 by Mosby, Inc. , an affiliate of Elsevier Inc. 72
Positron Emission Tomography (PET) Scan The PET scan shows both the anatomic structures and the metabolic activity of the tissues and organs scanned. Mosby items and derived items © 2011, 2006 by Mosby, Inc. , an affiliate of Elsevier Inc. 73
A B Figure 7 -13. Chest radiograph identifying two suspicious findings: in the right upper lobe (A) and in the left lower lobe (B), just behind the heart (white arrows). Mosby items and derived items © 2011, 2006 by Mosby, Inc. , an affiliate of Elsevier Inc. 74
A CT scan, upper right lobe B Chest radiograph CT scan, left lower lobe Figure 7 -14. Same chest radiograph as shown in Figure 7 -12. Note that the CT scan also identifies the suspicious nodules and their precise location. Mosby items and derived items © 2011, 2006 by Mosby, Inc. , an affiliate of Elsevier Inc. 75
Coronal View Figure 7 -15. PET scan: coronal views. The last three views show a hot spot in the left lower lobe. Mosby items and derived items © 2011, 2006 by Mosby, Inc. , an affiliate of Elsevier Inc. 76
Figure 7 -16. PET scan: sagittal views. The encircled images show a hot spot in the lower left lobe. Mosby items and derived items © 2011, 2006 by Mosby, Inc. , an affiliate of Elsevier Inc. 77
Axial View Figure 7 -17. PET scan: axial view. A “hot spot” is further confirmed in left lower lobe. Mosby items and derived items © 2011, 2006 by Mosby, Inc. , an affiliate of Elsevier Inc. 78
Axial View No hot spot seen Figure 7 -18. PET scan: axial view. This image confirms that the small nodule identified in the upper right lobe in the chest radiograph and CT scan is benign (i. e. , no hot spot is evident). Mosby items and derived items © 2011, 2006 by Mosby, Inc. , an affiliate of Elsevier Inc. 79
Positron Emission Tomography and Computed Tomography Scan (PET/CT scan) The PET scan and the CT scan merge together at the same time. The PET/CT scan provides an image far superior to that afforded by either technology independently. Ø The CT scan provides the anatomic details; the PET scan provides the metabolic activity of the tumor or mass. Mosby items and derived items © 2011, 2006 by Mosby, Inc. , an affiliate of Elsevier Inc. 80
CT Scan CT/PET Fusion PET Scan Axial View Coronal View Figure 7 -19. CT/PET scan (center). CT scan, CT/PET fusion, and PET scan, are all showing the same malignant nodule in right upper lobe (white arrow). Note: CT/PET fusion is normally presented in color (e. g. , red, blue, yellow). Mosby items and derived items © 2011, 2006 by Mosby, Inc. , an affiliate of Elsevier Inc. 81
Magnetic Resonance Imaging (MRI) MRI uses magnetic resonance as its source of energy to take cross-sectional (transverse, sagittal, or coronal) images of the body. Mosby items and derived items © 2011, 2006 by Mosby, Inc. , an affiliate of Elsevier Inc. 82
Figure 7 -20. Anatomy of mediastinum on magnetic resonance imaging (MRI) scan. A, Aortic arch; Es, esophagus; LBCV, left brachiocephalic vein; RBCV, right brachiocephalic vein; T, trachea. B, Az V, Azygos vein; D Ao, descending aorta; Es, esophagus; LA, left atrium; LV, left ventricle; RA, right atrium; RV, right ventricle. (From Armstrong P, Wilson AG, Dee P: Imaging of , right ventricle. diseases of the chest, St Louis, 1990, Mosby. ) Mosby items and derived items © 2011, 2006 by Mosby, Inc. , an affiliate of Elsevier Inc. 83
Pulmonary Angiography Pulmonary angiography is useful in identifying pulmonary emboli or arteriovenous malformation. It involves the injection of a radiopaque contrast medium through a catheter that has been passed through the right side of the heart and into the pulmonary artery. Mosby items and derived items © 2011, 2006 by Mosby, Inc. , an affiliate of Elsevier Inc. 84
Figure 7 -21. Abnormal pulmonary angiogram. Radiopaque material injected into the blood is prevented from flowing into the left lung past the pulmonary embolism (arrow). No vascular structures are seen distal to the obstruction. Mosby items and derived items © 2011, 2006 by Mosby, Inc. , an affiliate of Elsevier Inc. 85
Ventilation-Perfusion Scan A ventilation-perfusion scan is useful in determining the presence of pulmonary embolism. The perfusion scan is obtained by injecting small particles of albumin, called macroaggregates. Ø Tagged with a radioactive material such as iodine- 131 or technetium-99 m Mosby items and derived items © 2011, 2006 by Mosby, Inc. , an affiliate of Elsevier Inc. 86
Figure 7 -22. Fat embolism in a patient with dyspnea and hypoxemia after a recent orthopedic procedure. Perfusion (P) and ventilation (V) radionuclide scans show multiple peripheral subsegmental perfusion defects suggestive of fat embolism. (From Hansell DM, Armstrong P, Lynch DA, Mc. Adams HP: Imaging of diseases of the chest, ed 4, Philadelphia, 2005, Elsevier. ) Mosby items and derived items © 2011, 2006 by Mosby, Inc. , an affiliate of Elsevier Inc. 87
Fluoroscopy Fluoroscopy is a technique by which x-ray motion pictures of the chest are taken. Fluoroscopy subjects the patient to a larger dose of x-rays than does standard radiography. Therefore it is used only in selected cases, as in the assessment of abnormal diaphragmatic movement. Mosby items and derived items © 2011, 2006 by Mosby, Inc. , an affiliate of Elsevier Inc. 88
Bronchography Bronchography entails the instillation of a radiopaque material into the lumen of the tracheobronchial tree. A chest radiograph is then taken, providing a film called a bronchogram. The contrast material provides a clear outline of the trachea, carina, right and left main stem bronchi, and segmental bronchi. Mosby items and derived items © 2011, 2006 by Mosby, Inc. , an affiliate of Elsevier Inc. 89
Figure 7 -23. Bronchogram obtained using contrast medium in a patient with a history of bronchiectasis. Arrows indicate the carina and the bronchi leading to the posterior basilar segment of the left lower lobe. Mosby items and derived items © 2011, 2006 by Mosby, Inc. , an affiliate of Elsevier Inc. 90
- Slides: 90