Chapter 6 7 8 Bones and Skeletal Tissue
Chapter 6, 7 & 8 Bones and Skeletal Tissue
Bones and Cartilages of the Human Body Figure 6. 1
How are bones classified? l Axial skeleton – bones of the skull, vertebral column, and rib cage l Appendicular skeleton – bones of the upper and lower limbs, shoulder, and hip
Long bones l Long bones – longer than they are wide (e. g. , humerus) Figure 6. 2 a
Short bones l Short bones – Cube-shaped bones of the wrist and ankle – Bones that form within tendons (e. g. , patella) Figure 6. 2 b
Flat bones l Flat bones – thin, flattened, and a bit curved (e. g. , sternum, and most skull bones) Figure 6. 2 c
Irregular bones l Irregular bones – bones with complicated shapes (e. g. , vertebrae and hip bones) Figure 6. 2 d
What are the functions of bones? l l l Support – form the framework that supports the body and cradles soft organs Protection – provide a protective case for the brain, spinal cord, and vital organs Movement – provide levers for muscles Mineral storage – reservoir for minerals, especially calcium and phosphorus Blood cell formation – hematopoiesis occurs within the marrow cavities of bones
What is the Gross Anatomy of Bones? l Compact bone – dense outer layer l Spongy bone – honeycomb of trabeculae (little beams) filled with red bone marrow
What is the structure of a long bone? l Diaphysis – Tubular shaft that forms the axis of long bones – Composed of compact bone that surrounds the medullary cavity – Yellow bone marrow (fat) is contained in the medullary cavity
Structure of Long Bone l Epiphyses – Expanded ends of long bones – Exterior is compact bone, and the interior is spongy bone – Joint surface is covered with articular (hyaline) cartilage – Epiphyseal line separates the diaphysis from the epiphyses
Structure of Long Bone Figure 6. 3 a, b
What are the bone membranes? l Periosteum – double-layered protective membrane – Outer fibrous layer is dense regular CT – Inner osteogenic layer is composed of osteoblasts and osteoclasts – Richly supplied with nerve fibers, blood, and lymphatic vessels, which enter the bone via nutrient foramina – Sharpey’s fibers: secures the underlying bone to the periosteum. They are tufts of collagen fibers. l Endosteum – delicate membrane covering internal surfaces of bone
Structure of Long Bone Figure 6. 3 a, c
What is the structure of short, irregular, and flat bones? Thin plates of periosteum-covered compact bone on the outside with endosteum -covered spongy bone on the inside l Have no diaphysis or epiphyses l Contain bone marrow between the trabeculae l Figure 6. 4
Where is the location of hematopoietic tissue (Red Marrow)? l In infants – Found in the medullary cavity and all areas of spongy bone l In adults – Found in the middle of flat bones, and the head of the femur and humerus
What is microscopic structure of bone: compact bone? l Haversian system, or osteon – the structural unit of compact bone – Lamella – weight-bearing, column-like matrix tubes composed mainly of collagen – Haversian, or central canal – central channel containing blood vessels and nerves – Volkmann’s canals – channels lying at right angles to the central canal, connecting blood and nerve supply of the periosteum to that of the Haversian canal
Microscopic Structure of Bone: Compact Bone – Osteocytes – mature bone cells – Lacunae – small cavities in bone that contain osteocytes – Canaliculi – hairlike canals that connect lacunae to each other and the central canal
Microscopic Structure of Bone: Compact Bone Figure 6. 5 a, b
What is the chemical composition of bone? (Organic) l Osteoblasts – bone-forming cells l Osteocytes – mature bone cells l Osteoclasts – large cells that reabsorb or break down bone matrix
Chemical Composition of Bone: Inorganic l Hydroxyapatites, or mineral salts – Sixty-five percent of bone by mass – Mainly calcium phosphates – Responsible for bone hardness and its resistance to compression
What are the types of markings found on bones? l Bulges, depressions, and holes that serve as: – Sites of attachment for muscles, ligaments, and tendons – Joint surfaces – Conduits for blood vessels and nerves
Bone Markings: Projections – Sites of Muscle and Ligament Attachment l Tuberosity – rounded projection l Crest – narrow, prominent ridge of bone l Trochanter – large, blunt, irregular surface l Line – narrow ridge of bone
Bone Markings: Projections – Sites of Muscle and Ligament Attachment l Tubercle – small rounded projection l Epicondyle – raised area above a condyle l Spine – sharp, slender projection l Process – any bony prominence
Bone Markings: Projections That Help to Form Joints l Head – bony expansion carried on a narrow neck l Facet – smooth, nearly flat articular surface l Condyle – rounded articular projection l Ramus – armlike bar of bone
Bone Markings: Depressions and Openings l l l Meatus – canal-like passageway Sinus – cavity within a bone Fossa – shallow, basinlike depression Groove – furrow Fissure – narrow, slitlike opening Foramen – round or oval opening through a bone
How do bones develop? l Osteogenesis and ossification – the process of bone tissue formation, which leads to: – The formation of the bony skeleton in embryos – Bone growth until early adulthood – Bone thickness, remodeling, and repair
Formation of the Bony Skeleton l Begins at week 8 of embryo development l Intramembranous ossification – bone develops from a fibrous membrane l Endochondral ossification – bone forms by replacing hyaline cartilage
Intramembranous ossification
Functional Zones in Long Bone Growth zone – cartilage cells undergo mitosis, pushing the epiphysis away from the diaphysis l Transformation zone – older cells enlarge, the matrix becomes calcified, cartilage cells die, and the matrix begins to deteriorate l Osteogenic zone – new bone formation occurs l
Long Bone Growth and Remodeling Growth in length – cartilage continually grows and is replaced by bone as shown l Remodeling – bone is reabsorbed and added by appositional growth as shown l Figure 6. 10
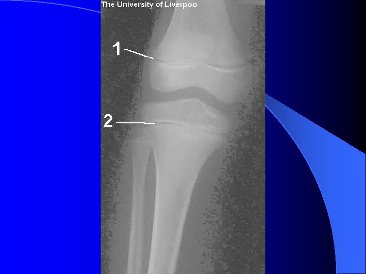
Fracture Repair
- Slides: 40