Chapter 4 Body Tissues and Membranes tissue specialized
Chapter 4 Body Tissues and Membranes
* tissue = specialized cells of one type that performs a common function * study of tissues = histology * four major tissue types : epithelial – coverings and linings connective - support muscular - movement nervous - control
4. 1 Epithelial Tissue * protection, secretion, absorption * easily regenerates (makes new cells) * cells are tightly packed together (sheets) * always has a free surface * other surface is attached to the basement membrane
* classified according to # of cell layers : simple = one layer stratified = more than one layer
Classification of Epithelia Simple or stratified
* classified according to shape of cells: squamous = flattened cells cuboidal = cube-shaped cells columnar = elongated (tall) cells
A. Squamous Epithelium
1. simple squamous epithelium * F – allows passage of materials * L – kidneys, lungs, blood vessels, heart
Simple Squamous Epithelium Top View
#11
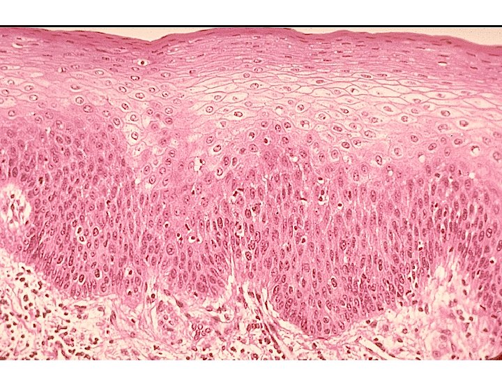
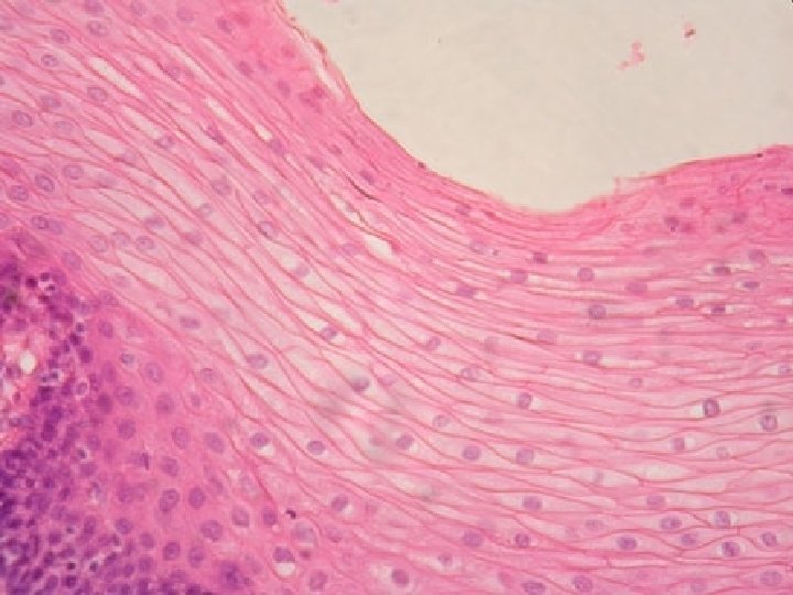
2. stratified squamous epithelium * F - protection * L – skin, oral cavity, pharynx, urinary and reproductive tracts
Epithelia: Stratified Squamous
#13
B. Cuboidal Epithelium
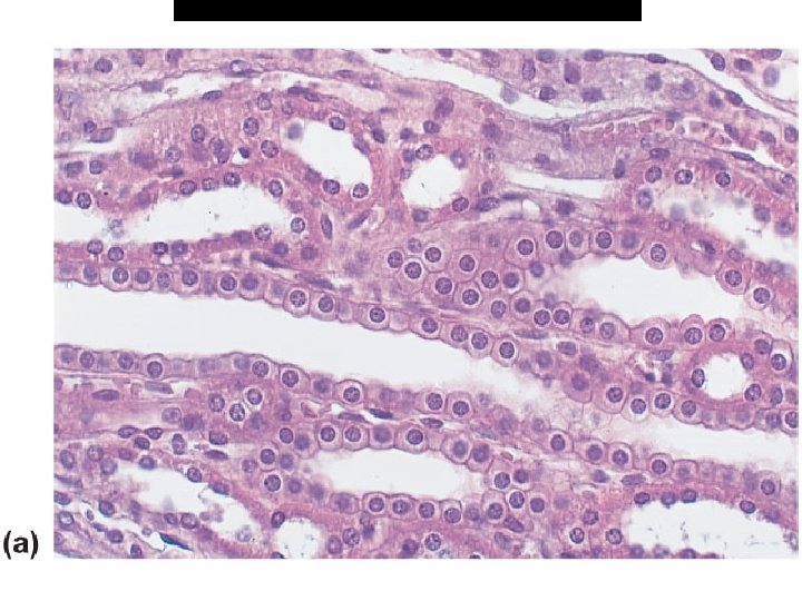
1. simple cuboidal epithelium * F – secretion, absorption * L – kidney tubules, ducts of glands, ovaries
C. Columnar Epithelium
1. simple columnar epithelium * F – secretion (mucus), absorption * L – digestive tract, ducts of glands
Simple Columnar Epithelium
D. Pseudostratified Columnar Epithelium * single layer (simple), cells differing heights
* may have cilia = pseudostratified ciliated columnar epithelium * F – protection, secretion * L – respiratory and reproductive tracts
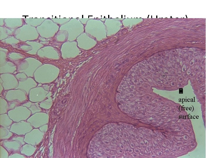
E. Transitional Epithelium * stratified (looks like cuboidal/squamous)
* F – stretches * L – urinary bladder, ureters
Epithelia: Transitional
Transitional Epithelium (Ureter) 3 apical (free) surface
- Slides: 62