Chapter 3 Lecture Outline Cells Copyright The Mc







































- Slides: 39
Chapter 3 Lecture Outline Cells Copyright © The Mc. Graw-Hill Companies, Inc. Permission required for reproduction or display.
Outline v History of Cell Theory v Modern Microscopes v Eukaryotic and Prokaryotic Cells v Cell Structure and Communication v Cell Components v Cellular Reproduction
History of Cell Theory v 1665 - Cells discovered by Robert Hooke. v Cell Theory: (1838) ** VIRUSES DUE NOT HAVE CELLS. Are they ALIVE?
Modern Microscopes v Light Microscopes - Increase magnification as ______ passes through a series of ______. • Compound Microscopes: – Distinguishes 2 micrometers and larger – Magnifies 1500 x • Dissecting Microscopes (Scanning Microscopes) – Three-dimensional viewing of opaque objects – Magnifies 30 x
EUKARYOTIC VERSUS PROKARYOTIC CELLS v ALL CELLS HAVE: CLASSIFIFICATION BY TYPE OF CELLS: Prokaryotes - Cells lack a ___________ • Type of Organisms = _____ Eukaryotic - Cells contain a __________ • Type of Organisms ____________ • Organelles - Membrane-bound bodies found which each have a particular function within eukaryotic cells • PLANTS– have ______
Cell Structure and Communication in Plants v v Cell Wall surrounds protoplasm. Protoplasm = ___________ Cell (Plasma) Membrane & Cytoplasm. = • Bound by plasma membrane – Cytoplasm consists of all cellular components between the _________________. o Cytosol - _____________ o Organelles - ___________ « Most, but not all, are bound by membranes.
PLANT CELL Drawing of plant cell
Cell Size v Higher plants--length between 10 -100 mm m Cell of Plant, Elodea
CELL WALL v FUNCTION: ____________ v STRUCTURE: Main biochemical is? • Also contains: – Hemicellulose – function = _________ – Pectin - _________________ – Glycoproteins ______________
• Middle lamella • first part produced; • Contains: ______________ LOCATION: _____________ Shared by: __________ v v primary walls Secondary walls: • What cells have & why? ________ • Additional component: ________ • Location ______ Secondary cell wall structure
COMMUNICATION THROUGH CELL WALLS • Plasmodesmata = ___________ – FUNCTION: ______________
PLASMA MEMBRANE v Plasma Membrane: • FUNCTIONS: ________________ • Biochemical Composed of: ________ – Orientation of double layer • OTHER COMPONENTS: – __________ Fluid mosaic model _____________
NUCLEUS v Nucleus: • FUNCTIONS: • STRUCTURE – Nuclear Envelope: – Nuclear Pores: – Nucleoplasm plant cell
• Nucleoli - Composed primarily of RNA • Chromatin Strands – Composed of: – Become:
• Chromosomes – Chromatids = – Centromeres = o Kinetochore = protein complex « location = o Spindle fibers (made of microtubules): function =
RIBOSOMES v Ribosomes • COMPOSITION: • STRUCTURE: • FUNCTIONS:
ENDOPLASMIC RETICULUM v Endoplasmic reticulum • Structure: • 2 Types
v Rough ER: has • FUNCTIONS: v Smooth ER • FUNCTIONS: Endoplasmic reticulum and ribosomes
v MICROBODIES, VESSICLES: • Structure: EXAMPLES • Transport • Peroxisomes - Serve in Hot conditions
v VACUOLES– Central Vacuole: 90% water • Tonoplast: • Cell Sap: – Contains dissolved substances – FUNCTIONS: o o Anthocyanins (red, blue, purple)
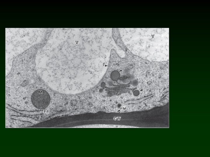
DICTYOSOMES v Dictyosomes, Golgi Apparatus • STRUCTURE: • FUNCTIONS:
– – EXPORT OF Substances in VESICLES o Migrate o Fuse o Secrete Examples: cell wall components, nectars, and oils.
MITOCHONDRIA v Mitochondria– Overall Function: • STRUCTURE – Cristae. – Matrix Drawing of a mitochondrion – AEROBIC RESPIRATION: C 6 H 12 O 6 + O 2 - CO 2 + H 2 O + ENERGY ATP
CYTOSKELETON v Cytoskeleton: • General Function: TYPES • Microtubules: – Functions: o Move cellulose for: Cell Wall
Microtubules … - Functions … o Found in flagella and cilia for: o Found in spindles for: in • Microfilaments - Role in cytoplasmic streaming
PLASTIDS v Plastids = v CHLOROPLASTS: • STRUCTURE: – Membrane – Grana and thylakoids
TEM and drawing of chloroplast structure Structure … Stroma: Small circular DNA molecule: Replication: EQUATION: CO 2 + H 2 O + Light Energy + Chlorophyll -- C 6 H 12 O 6 + O 2 + H 2 O.
Plastids … v v CHROMOPLASTS – Structure – Function: LEUCOPLASTS – Structure – Amyloplasts: – Elaioplasts: Chromoplasts in red pepper cells Amyloplasts in Potato cells
Cellular Reproduction & The Cell Cycle v Cell Cycle = • Divided into: ONION ROOT TIP– with cells in various stages of Interphase and phases of Mitosis
v Interphase: • Amount of Life Cycle? STAGES – G 1 = 1 ST GROWTH: – S = SYNTHESIS: – G 2 = 2 nd GROWTH: Interphase & Mitosis in Onion Root Cells
MITOSIS v Mitosis = • Produces: number of cells • Location in Plants: • Is a continuous process-- 4 phases:
v Prophase • Chromosomes o Spindle fibers « collectively spindle o Nuclear envelope and nucleolus:
Prophase v Metaphase • Chromosomes align: Metaphase
v Anaphase • Spindle fibers: • Chromosomes & Sister chromatids: • Daughter Chromosomes. Anaphase
v Telophase • Nuclear envelope & Nucleoli: • Daughter chromosomes: • Spindle fibers: • Cytokinesis: – Telophase cell plate: Cell plate formation
Review v History of Cell Theory v Modern Microscopes v Eukaryotic and Prokaryotic Cells v Cell Structure and Communication v Cell Components v Cellular Reproduction
Onion Root
Elodea Leaf