Chapter 3 Heredity and the Environment The Genetic

































- Slides: 33
Chapter 3: Heredity and the Environment The Genetic Code • DNA (deoxyribonucleic acid) – Molecule that contains the chemical instructions for cells to manufacture various proteins. – Chromosome • a molecule that contains protein and DNA. • Humans have 46 chromosomes (23 pairs), and about 25, 000 genes. – Genome • the code for making a human being • Every person has a slightly different code, but the human genome is 99. 5% the same for any 2 people. 1
What Genes Are • Genes are as section of chromosomes and the basic unit for the transmission of heredity, consisting of a string of chemicals that code for the manufacture of certain proteins. 2
The Beginnings of Life • • • Development begins at conception Each human reproductive cell, or gamete, contains 23 chromosomes. Human reproductive cells = sperm or egg (ova) Two human gametes join together to form a cell with 46 chromosomes, a new individual. There is incredible diversity possible. 3
The Beginnings of Life • zygote – the single cell formed from the fusing of the nucleus of a sperm and the nucleus of an ovum. – In human beings this occurs in the fallopian tubes. • genotype An organism’s entire genetic inheritance, or genetic potential contained on the chromosomes from mom and dad. Genotype = an individual’s genetic potential 4
The Beginnings of Life • Male or Female? 5
– phenotype • the observable characteristic of a person, including appearance, personality, intelligence, and all other traits • Depends on the interaction of biology, environment and experiences. • Phenotype = actual expression of genetic inheritance. 6
Exactly how to our genetic instructions influence the specific traits that a given offspring inherits? 1) Most traits are polygenic, they are affected by many genes. Regulator genes regulate the genetic interaction which makes a great deal of difference. and 2) Multi-factorial • refers to a trait that is affected by many factors, both genetic and environmental 7
• Additive Heredity – Additive genes • A gene that has several alleles (alleles = slight variations of the gene) each of which contribute to the phenotype. • All additive genes contribute something to the phenotype 8
• Dominant-Recessive Heredity – the interaction of a pair of alleles in such a way that the phenotype reveals the influence of one allele (the dominant gene) more than that of the other (the recessive gene) • Dominant gene = code is expressed (sometimes dominant gene completely controls characteristic) • Recessive gene = code is not expressed in the presence of a dominant gene (sometimes recessive genes are not completely hidden) – a special case of the dominant-recessive pattern occurs with genes that are x-linked, located on the x chromosome 9
• Twins and Clones – dizygotic (fraternal) twins • result from two sperm penetrating two ova, and share 50% of their genes – monozygotic (identical) twins • originate from one zygote, and share 100% genes – Can also have identical quadruplets or octuplets – a clone • originates from a live organism • Artificially created 10
From One Cell to Many • More Complications – A small alteration in the sequence of base pairs or several extra repetitions in one triplet ma be inconsequential or may cascade to create a major problem 11
Concepts accepted by all Developmentalists • Genes affect every aspect of human behavior, including social and cognitive behavior. Every trait, action and attitude has a genetic component. • Most environmental influences on children raised in the same home are not shared 12
• Each child’s genes elicit other people’s responses, and these responses shape development. In other words, a child’s environment is partly the result of his or her genes. • Children, adolescents, and especially adults choose environments that are compatible with their genes (called niche-picking), and thus genetic influences in adulthood 13
Chromosomal and Genetic Abnormalities • abnormalities caused by identifiable problems such as an extra chromosome or a single gene – Why is the study of these problems relevant to the study of development? • provids insight into the complexities of nature and nurture • Knowledge of their origins helps limit these effects • information combats the prejudice that surrounds such problems 14
Chromosomal and Genetic Abnormalities • Not Exactly 46 Chromosomes – Extra chromosomes in all cells – Missing a chromosome in all cells – Mosaicism = having a mixture of cells, some normal and some with an number of chromosomes or a series of missing genes (a problem of duplication) What causes this? 15
Chromosomal and Genetic Abnormalities • Down Syndrome – a condition in which a person has 47 chromosomes instead of the usual 46, with three rather than two chromosomes at the 21 st position (also called Trisomy-21). – people with Down Syndrome typically have distinctive characteristics, including unusual facial features, heart abnormities, and language difficulties 16
Chromosomal and Genetic Abnormalities • Abnormalities of the 23 rd Pair – Every human has at least 44 autosomes and one X chromosome • an embryo cannot develop without an X chromosome • Only condition where an embryo with 45 chromosomes can survive is a girl with Turner Syndrome (45 X or X 0). 1 in 2, 500 births. – Underdeveloped female organs – Short or broad chest, webbed neck – Poor spatial skills, delayed social skills – Prone to heart, kidney and thyroid problems 19
Abnormalities of the 23 rd pair • Can have additional sex chromosomes – Trisomy X Syndrome (47 XXX) • Girls born with an extra X chromosome • 1 in 1, 000 girls • Phenotypically normal with slightly lower intelligence, quiet and passive with delayed speech and motor skills 22
–Kleinfelter’s Syndrome (47 XXY) • Boys born with an extra X chromosome • Little slow in elementary school • Double X keeps the penis from growing and fat begins to accumulate around breasts, sterile • Long limbs, lack of body hair • Hormones can alleviate symptoms 24
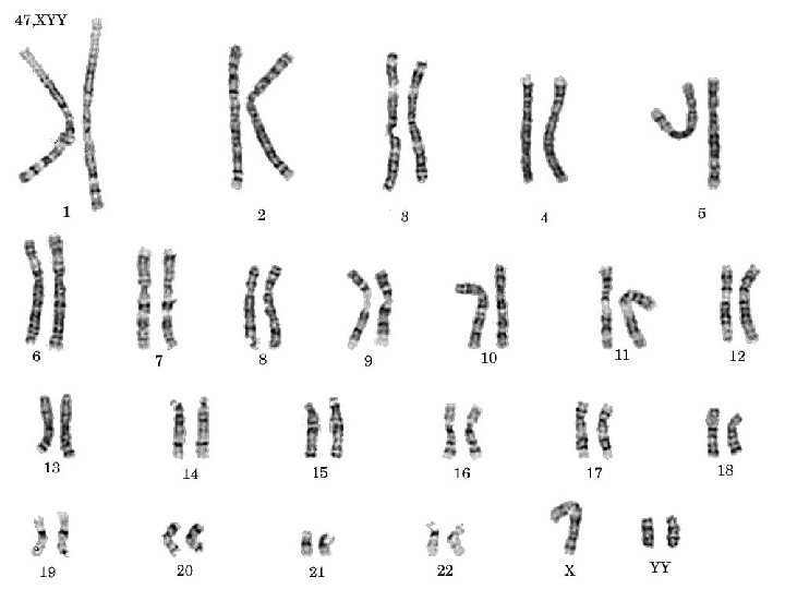
Abnormalities of the 23 rd Pair • XYY Syndrome – Boys with one or more extra Y chromosomes – Could be 47 XYY or 48 XYYY – Caused by cell division problems during sperm production – Normal phenotype – Tall, severe acne, poor coordination, impulsive behavior, lower intelligence – 1 in 1, 000 births 27
Chromosomal and Genetic Abnormalities • Dominant-Gene Disorders – everyone carries genes or alleles that could produce serous diseases or handicaps in the next generation – Severe dominant disorders are rare because individuals with them do not reproduce • Exceptions – Huntington’s Disease which usually doesn’t develop until late in life so reproduction has already occurred – Tourette’s Syndrome which is not disabling so people are able to reproduce. – 7, 000 single-gene disorders • their dominant effects are apparent in the phenotype 29
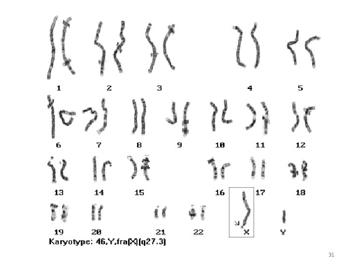
Chromosomal and Genetic Abnormalities • Fragile X Syndrome – a genetic disorder in which part of the X chromosome seems to be attached to the rest of it by a very thin string of molecules – the actual cause is too many repetitions of a particular part of a gene’s code – Males are more likely to be affected than females – Causes mental deficiency or mental retardation 30
31
Chromosomal and Genetic Abnormalities • Recessive-Gene Disorder – most recessive disorders are not X-linked – double recessive patterns are lethal…one recessive gene is protective – sometimes a person who carried a lethal gene has many descendants who marry each other… the genetic disease then becomes common in that group 32
• Carrier – a person whose genotype includes a gene that is not expressed in the phenotype…such an unexpressed gene occurs in half of the carrier’s gametes and thus is passed on to half of the carrier’s children, who will most likely be carriers, too… – Generally, only when the gene is inherited from both parents does the characteristic appear in the phenotype. 33