Chapter 12 Patterns of Heredity and Human Genetics































- Slides: 31
Chapter 12 – Patterns of Heredity and Human Genetics Objectives • Identify information presented on a karyotype • Recognize the difference between male and female karyotypes • Distinguish between normal and abnormal karyotypes
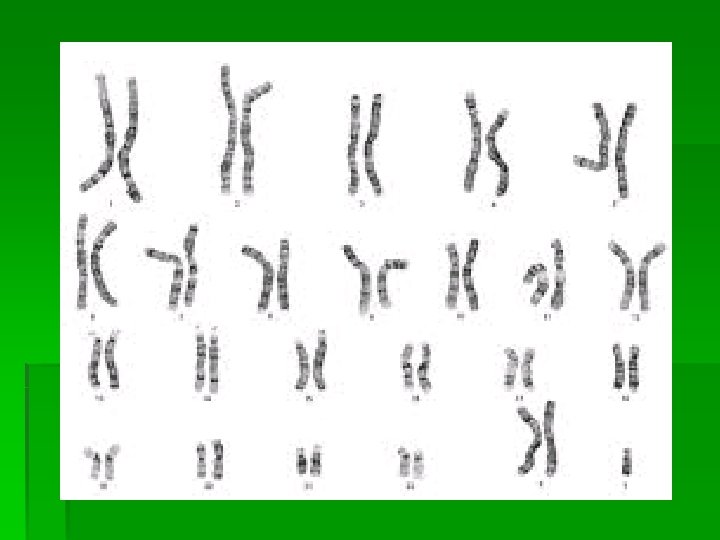
Take out a sheet of paper and write your name along with your lab partners. 1. Look Figure 12. 20 on page 329. Explain what you think the picture is showing? 2. What do you think the numbers as well as letters on the photograph represent?
Karyotype pg. 329 § Chromosomes come in pairs, inherited from parents § Half from mom & half from dad § Humans have 23 pairs of chromosomes, 46 total. § Any more or less = abnormality
Karyotype Fig. 12. 20 pg. 329 § Karyotype= Picture of cell taken during the process of metaphase 3. Why metaphase? 4. Looking at the Figure 12. 20, how are the chromosomes arranged? 5. Do you think male and female karyotypes are the same? Explain. § Chromosomes arranged by length, banding pattern, centromere location § are numbered #1 -22 plus sex chomosomes § Comparison against a normal karyotype
§ § § Autosomes – all non-sex chromosomes Sex Chromosomes – Called X and Y Males= XY Females= XX
Common Chromosomal Disorders Disorder Patau Syndrome Edwards Syndrome Down Syndrome Jacobs Syndrome Turner Syndrome Kleinfelter Syndrome Triple X Chromosome Abnormality Trisomy 13 Trisomy 18 Trisomy 21 XYY XO XXY XXX
Pedigree § Pedigree = map of inheritance of genetic traits from generation to generation
Symbols on a Pedigree § § § Circle = Female Square = Male Shaded = Affected Unshaded = Unaffected Adjoining line = Married/Mating Connected by an adjoining line = Offspring Roman Numeral = Generation
Textbook pg. 310 Fig. 12. 2 6. How many generations are shown? 7. How many offspring did I-1 and I-2 have? 8. How many boys did III-3 and III-4 have? 9. How many girls did II-1 and II-2 have? 10. What kind of trait (dominant or recessive) is being passed down? 11. What genotypes must I-1 and I-2 be in order to have a child with this trait? 12. What is the probability that they would have this type of child? Show a Punnett square
Recessive Heredity § Caused by recessive alleles § Attached earlobes, Cystic fibrosis (defective protein leads to excessive mucus production in lungs), Albinism § Individual will only display the recessive phenotype if its genotype is homozygous recessive
Dominant Heredity § Caused by dominant allele § Freckles, Widow’s peak, Hitchhickers thumb, Huntington’s disease (brain degeneration, doesn’t appear until later in age), immunity to poison ivy § Individual will display the dominant phenotype if its genotype is heterozygous or homozygous dominant
When Heredity Follows Different Rules Chapter 12, Section 2
Incomplete Dominance § Incomplete Dominance = phenotype of a heterozygote is in between the dominant & recessive phenotypes, appearance of a third phenotype. § No Longer Upper and Lowercase letters A or a Flowers known as Snapdragons come in 3 colors but have 2 alleles, R and R’ § R’R’ = White § R’R or RR’ = Pink § RR = Red
Sample Problems Cross the following snapdragons and give the genotype and phenotype ratios. Red x White – Phenotypic Ratio White : Pink : Red Genotypic Ratio R’R’: R’R : RR Pink x Pink – Phenotypic Ratio White : Pink : Red Genotypic Ratio R’R’: R’R : RR
Text pg. 316 Figure 12. 7 § Red x White = all pink § Pink x Pink = 1 Red: 2 Pink: 1 White
Genetics Review § Mendelian Genetics – Simple Dominant & Recessive Traits (Tall TT or Tt or short tt) § Incomplete Dominance – 3 phenotypes (FF = red, FF’ = pink, F’F’ = white) § Pedigree – Map to show traits are passed from parent to offspring (not shaded – doesn’t have trait, half shaded – carrier, shaded – has trait
Codominance Both alleles for a gene are expressed in a heterozygous individual • Black Feathers FBFB = Black Feathers • White Feathers FW FW = White • When the 2 alleles are combined a chicken with both black and white feathers is created. • Erminette chickens FBFW = Black & White • Neither allele is dominant or recessive
Codominance Practice Problems § Cross a chicken that is homozygous for the black alleles with a chicken that is homozygous for the white alleles. § What color feathers did the offspring have? § Cross 2 chickens from the F 1 generation to make the F 2 generation? § What color feathers did the offspring have?
Blood Types § BLOOD TYPE. ppt
Sex Determination & Sexlinked Inheritance § Combination of sex chromosomes (X and Y) determine an individual’s gender § Males XY, X chromosome comes from mom & Y chromosome comes from dad § Females XX, both mom & dad give an X chromosome § Sex-linked Traits = traits controlled by genes on sex chromosomes
§ § Red-Green colorblindness Hemophilia (blood doesn’t clot properly) Male Pattern Baldness Duchenne Muscular Distrophy (muscular degeneration leading to eventual paralysis)
§ Most of sex-linked traits are found on genes on the X chromosome (X-linked trait) because it is larger than the Y chromosome § X-linked traits display more in males because they only have 1 X chromosome, whereas females get 2 X chromosomes so they can be carriers of the trait but not display the phenotype
Color Blindness - Recessive Trait B = Normal b = color blind § Males XBY = Normal Xb. Y = Color Blind § Females XBXB = Normal XBXb = Carrier (Normal) Xb. Xb = Color Blind Can males be carriers for color blindness? Why or why not?
Polygenic Inheritance § Characteristics that are influenced by several genes