CHALLENGE IN BREAST IMAGING VOLUMETRIC ANALYSIS OF TUMORBREAST
CHALLENGE IN BREAST IMAGING: VOLUMETRIC ANALYSIS OF TUMOR/BREAST RATIO Catherine Appleton, MD Chief, Breast Imaging Section Mallinckrodt Institute of Radiology
Background Breast Cancer is very common Mastectomy versus Breast Conservation Therapy (BCT) Patients must be carefully selected for BCT � Breast size � Tumor size � Multi-focal? Quantitative vs. Qualitative?
The Problem Variable outcomes in aesthetic results Some patients more “motivated” than others Judgment varies among surgeons Radiation may contribute to unpredictable results
Proposed Solution Develop formula to better select patients for BCT � Tumor size/volume: : Breast size/volume � Density Limitations � Mammography compression � Some tumors easier to measure than others Mammographic Tumor density type � Discrepancy between imaging/pathology
Clinical Need Software/programming solution � Automate (or partially automate) breast and tumor volumes from a mammogram � Select ROI calculate � What we know… Breast thickness from compression Clear margins of breast tissue based on anatomy � Variables Tumor size may not be reproducible Density** Could use 2 D or 3 D (tomosynthesis)
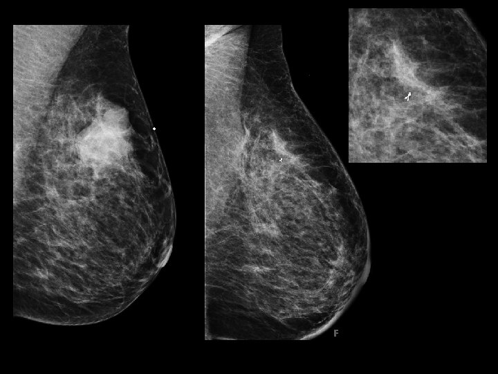
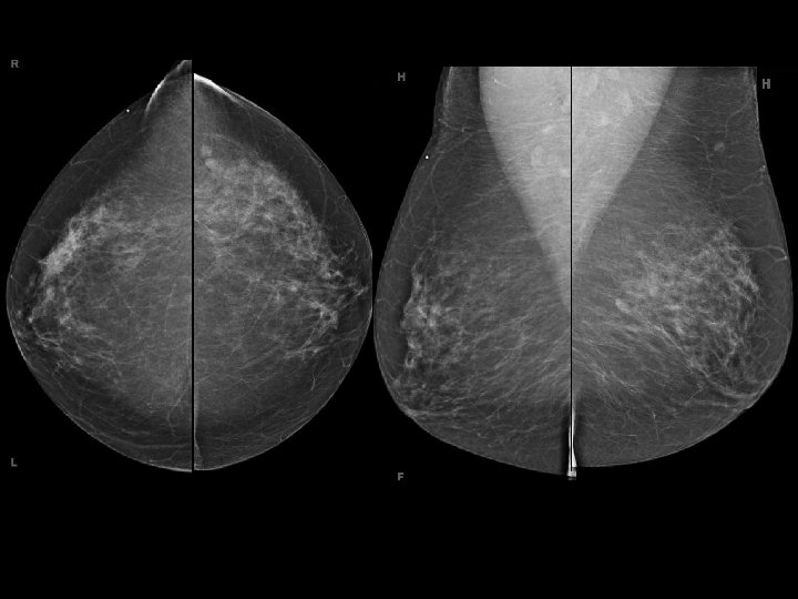
Image Samples
MIP
MIP
First post-contrast subtraction
Conclusion Currently have acceptable results but there is room for improvement Would a pre-operative tumor/breast ratio optimize patient selection/surgical management? Study protocol will follow women with 3 D photographic imaging to correlate with radiology imaging Automated software solution needed…
- Slides: 25