Cell Reproduction Intro 1 What do you know






















































































- Slides: 86
Cell Reproduction Intro 1) What do you know about DNA, Genes and Chromosomes? 2) What do you want to learn about DNA, Genes and Chromosomes?
1/29/14 n Find your new seats! n Bellringer: Cell Reproduction Intro n Chromosome Notes n HW: Karyotype Worksheet due Tomorrow
Chromosomes!!!
Introduction to Chromosomes n n All of a cell’s DNA is called its “genome” This genome contains all of the instructions for cell/organism survival and function A typical human cell has about 3 meters of DNA is packaged into chromosomes
Chromosomes n PROKARYOTIC Chromosomes are simple circles/clumps of DNA
Chromosomes n n EUKARYOITC Chromosomes are very complex The whole chromosome is made of DNA coiled around proteins called histones
Chromosomes n n n Homologous Chromosomes: The pairs of chromosomes that exist in sexually reproducing species In each pair of h. chromosomes one chromosome comes from each parent They are each called autosomes, and are identical (except X and Y, the sex chromosomes)
Homologous Chromosomes § § Homologous chromosomes contain genes for the same traits Gene: A section of DNA that codes for a specific trait § Ex: Hair color
Homologous Chromosomes n n Before a cell divides, the chromosomes copy themselves The two copies are called chromatids (or sister chromatids), and are attached to one another by a centromere
A a A Aa a replication Alleles are different forms of the same gene
1 chromosome
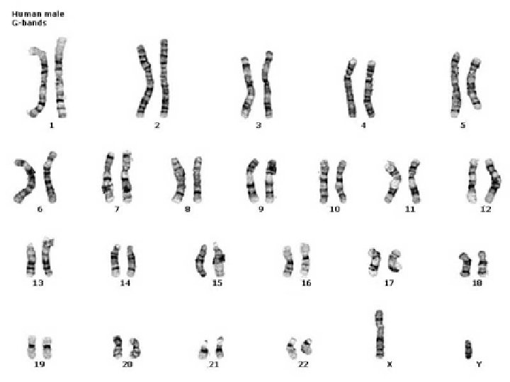
Karyotype n n A picture of all the chromosomes. It is used to look for abnormalities
Revisit Goals 1) 2) 3) Find 1 -2 goals that you did not meet (or are off-track) …Explain why you didn’t reach these goals Find 1 -2 goals that you did meet (or are on-track) …Explain why you did reach these goals Make at least 6 second semester goals on your goal sheet (measurable) 2+ Academic 2+ Personal Improvement 2+ Work/Family/Relationships/Clubs
1/30/14 n n n Bellringer: Goals HW: New Goals Chromosome Notes (Chromosomal Disorders) Go over karytype WS Introduce Chromosomal Disorders Brochure Straight to the Library tomorrow
Chromosome Number n n n Number varies by species The number of chromosomes in a SOMATIC CELL (normal body cells) in an organism is known as the DIPLOID/2 N number GAMETES (sex cells, sperm/eggs) contain only half the number of chromosomes and are known as the HAPLOID/N number
Complexity Rankings Rank the below organisms from least to most complex n Humans, Crabs, Potato, Camels, Squirrels, Chickens, Fruit flies, Tomato n Explain the reason behind your rankings.
DIPLOID # OF CHROMOSOMES BY SPECIES: n n n n CAMEL = 70 SQUIRREL = 40 CHICKEN = 78 KING CRAB = 208 FRUIT FLY = 8 TOMATO = 24 POTATO = 48 HUMAN = 46
Human Chromosome Number n n n Human Haploid (N) Number: 23 Human Diploid (2 N) Number: 46 A human must have all 46 chromosomes to function “properly” In most cases, humans missing even one chromosome don’t survive development Monosomy: missing a chromosome Trisomy: having an extra chromosome
n Nondisjunction: when homologous pairs or sister chromatids fail to separate
n Down’s syndrome: (trisomy 21) 3 copies of the 21’st chromosome
§Cri-du-chat: deletion at the 5 th pair §Klinefelter: Extra X chromosome
Goals: n Review Goals and Make new ones…
1/31/14 n Bellringer: Goals n Go Straight to LIBRARY n Work on Karyotype Worksheet and Brochure…
Bellringer n n n Define the word “cycle”. What is the cell cycle? If you don’t know, what would you guess it includes? Are all cell cycles the same?
2/3/14 n Objective: To introduce the cell cycle n Bellringer: “Cycle” Cell Cycle Notes n Homework: n n Chromosome WS
Cell Division
Cell Division n n Cells divide in order to repair or replace cells that die Also create new cells in development of a multicellular organism that begins as a zygote
Cell Cycle: The life cycle of the cell, from division to division of a cell 5 Stages of the Cell Cycle: 1. G 1: Growth phase of the cell 2. S: DNA is copied 3. G 2: Prep for mitosis, and organelles are copied 4. M: Mitosis occurs, nucleus divides 5. C: Cytokinesis, cell/cytoplasm divides Interphase n
MOST OF A CELLS LIFE IS SPENT IN INTERPHASE
What Triggers Cell Division? n n Size: If a cell grows so large that there is too much volume for its surface area, it will divide Growth factors: Chemicals released by cells that encourage other cells to divide
Cell Division There are 2 types of cell division MITOSIS: n Produces identical cells n Occurs in body cells n Makes diploid cells n
2 Types of Cell Division MEIOSIS: n Produces sex cells (gametes) n Occurs in cells of the sex organs n Makes haploid cells
Bellringer n n Define cell cycle We know cellular division is part of the cell cycle. Name one thing that you think happens during cell division.
2/4/14 n Bellringer: Cell Cycle n Turn in Chromosome Worksheet n Onion Cell Pre-lab (due Friday)
Bellringer….
2/5/14 n Bellringer: ? ? ? n Computer Lab Activity
n These are the stages of mitosis. Put them in order, and have a rational for why (you don’t need to write it, but I will ask. ) B A D C E
2/6/14 n Bellringer: Stages of Mitosis n MITOSIS NOTES n Homework: Finish Pre-Lab (I’ll explain later)
Stages of Mitosis Stage 1: Prophase n Chromosomes appear n Nuclear envelope breaks down n Spindle fibers appear n Spindle fibers are protein ropes that help pull chromosomes apart
Late prophase – you can see the spindle fibers
Stages of Mitosis Stage 2: Metaphase n Meta means “middle” n Spindle fibers line up chromosomes on the equator n They attach to the centromeres
Metaphase
Stages of Mitosis Stage 3: Anaphase n Sister chromatids are pulled apart by spindle fibers n Each chromatid (now a chromosome) moves to opposite poles (centrioles)
Stages of Mitosis Stage 4: Telophase n Chromosomes uncoil on separate sides of the cell n New nuclear envelope appears
Cytokinesis: After Mitosis Cytokinesis: n Cell membrane grows in to enclose both cells; cytoplasm divides n In plants, a new cell wall must form
Mitosis produces two identical daughter cells which are diploid
Mitosis in Onion Root
n These are the stages of mitosis. Put them in order, and have a rational for why (you don’t need to write it, but I will ask. ) B A D C E
Mitosis overview
Homework n Somewhere on the pre-lab from yesterday, do the following: n n Label each cell drawing 1 -9 as interphase, prophase, metaphase, anaphase, telophase, and cytokinesis You don’t have to use every phase
Bellringer n n n Define Mitosis Define chromosome What kind of cells did we look at in the lab from the last few days?
2/7/14 n Bellringer: Definitions n Onion Lab n Homework: n Lab due Monday
Mitosis in Onion Root
Bellringer n n Define haploid and diploid Why do we want our sex cells (sperm and eggs) to be haploid?
2/10/14 n Bellringer: No Bellringers This week…. n Agenda: n n Discuss week Notes on meiosis
Sub all week. . n n Tuesday: Work on Flipbook Wednesday: No School (Lincoln) Thursday: Cancer Article / Questions Friday: Meiosis/Mitosis Worksheet & Study Guide* *I’m back Monday, exam is Tuesday
Meiosis n Meiosis is a special kind of cell division that produces our gametes (sex cells, sperm and egg) Occurs in testes and ovaries n 1 diploid cell(2 n) → 4 haploid cells (n) n
n n Fertilization creates a zygote and restores the diploid condition Egg (n) + sperm (n) →→ Zygote (2 n)
Meiosis Overview There are 2 cell divisions in Meiosis: 1. Meiosis I: DNA replicates, and homologous chromosomes are separated 1. Same amount of DNA is started with Meiosis II: Same steps as mitosis, but without DNA being replicated beforehand 2. • Sister chromatids are separated
Meiosis
Crossing Over n n n During Meiosis 1, Homologous pairs form their sister chromatids The two pairs of chromatids line up together in what is called a tetrad. When they do this, crossing-over occurs n Homologs swap small pieces of genetic info
Independent Assortment n n Independent assortment: mom’s chromosomes don’t always go to same side nor do dad’s Crossing over and Independent Assortment leads to greater genetic diversity, which is good for populations!!!
Bellringer n n “If children have the ability to ignore all odds and percentages, then maybe we can all learn from them. When you think about it, what other choice is there but to hope? We have two options, medically and emotionally: give up, or Fight Like Hell. ” What triggers cells to divide/start mitosis? What could trigger them to stop? What do you know about cancer? Do you know
Agenda n n Objective: To discuss cancer Agenda: n n n Bellringer/Discussion Notes Grade WS Assign Mitosis Wheel and Practice Homework: n n WS due Tomorrow Wheel due Monday
What Stops Cell Division? n n Density-dependent inhibition: Cells stop dividing when crowded Cancer cells do not respond to normal cell cycle regulation
Tumors n n Tumor cells are the result of uncontrolled cell division (they are a big “lump” of cells) n Benign tumors: non-harmful n Malignant tumors: harmful Cancer kills because a tumor makes some essential part (lung, heart, etc…) stop working right
Tumors
Malignant Tumors n n Cells divide without control and can invade other tissues (metastasize). Cancer cells can spread to other parts of the body through the blood and lymph systems.
Cancer Types n n n Carcinoma: begins in the skin or in tissues that line or cover internal organs. Sarcoma: begins in bone, cartilage, fat, muscle, blood vessels, etc Leukemia: starts in blood-forming tissue such as the bone marrow Lymphoma and myeloma: begin in the cells of the immune system. Central nervous system cancers: begin in the tissues of the brain and spinal cord
Lung Cancerous Lung Healthy Lung
Skin Cancer
Detection
Treatments n n n Chemotherapy Radiation treatment Surgical removal of tumors Immunotherapy Blood and marrow transplant ** There is NO cure for cancer **
Bellringer n n What components need to be in your psych lab report? What are the characteristics of a good materials section? What are the characteristics of a good procedure? What formatting applies?
Bellringer n n What would you guess is the most common form of cancer? What do you think is the most lethal spot for cancer?
Agenda n n Objective: To talk a bit more about cancer, and begin reviewing Agenda: n n n Bellringer/Discussion Talk cancer rates Grade Mitosis WS Assign Practice WS and wheel Homework: n Wheel due Monday, WS due tomorrow
Common Forms of Cancer
Self Checks All: n CHECK YOURSELF! n Colonoscopy once every 10 years after turning 40 -50 Women: n Monthly breast self-exam once you start menstruating n Yearly gynecology visits for pelvic exam and pap smear after the age of 21 Men: n Monthly testicular exam at age 14
Bellringer n n n Get out your study guide. What areas are you most concerned about? What areas are you least concerned about?
Comparing Mitosis and Meiosis Determine whether the following characteristics apply to mitosis, meiosis, or both, by putting a check in the appropriate column. Advice: be consistent in your answers! Mitosis Meiosis 1. no pairing of homologous chromosomes 1. _______ 2. two divisions 2. _______ 3. four daughter cells are produced 3. _______ 4. associated with growth and a-sexual reproduction 4. _______ 5. associated with sexual reproduction 5. _______ 6. one division 6. _______ 7. two daughter cells are produced 7. _______ 8. involves duplication of chromosomes 8. _______ 9. chromosome number is maintained 9. _______ 10. crossing over between homologous chromosomes may occur 10. _______ 11. chromosome number is reduced to half 11. _______ 12. daughter cells are identical to parent cell 12. _______ 13. daughter cells are not identical to parent cell 13. _______ 14. produces gametes . 15. synapsis occurs in prophase 14. _______ 15. ______
. Chromosome numbers The three figures describe chromosomes of three different organisms. For each one What is the haploid number (N) of chromosomes? How many chromosome would you find in a regular body cell? How many in an egg or in a sperm cell? N (haploid): ______ Body cell: ______ Gamete cell: ______