Cell Injury Hypertrophy gross Cell Injury Hypertrophy micro






























- Slides: 30
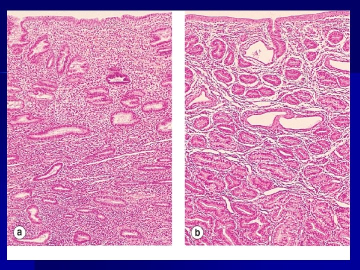
Cell Injury Hypertrophy - gross
Cell Injury Hypertrophy - micro
Myocardial hypertrophy
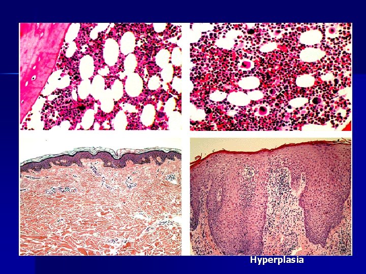
HIPERPLASIA
HIPERPLASIA n n n Constituye el incremento del número de células de un órgano o tejido. Habitualmente se acompaña de hipertrofia. Se produce únicamente en las células capaces de sintetizar ADN (células epiteliales, hematopoyéticas y de l tejido conjuntivo)
Tipos de hiperplasia HIPERPLASIA FISIOLÓGICA n Estimulación hormonal n Compensadora MECANISMOS: Acción combinada de factores de crecimiento α, citocinas (TNF α e IL 6). Las células deben ser estimuladas por acción de mitógenos. La norepinefrina y la insulina potencian los efectos de los factores de crecimiento y de las citocinas. La interrupción del crecimento se debe a la acción de factores inhibidores del crecimiento β.
HIPERPLASIA PATOLÓGICA n Estimulación hormonal excesiva n Producción local de factores de crecimiento que actúan sobre la célula diana (verrugas) n Desaparece cuando el estímulo desaparece. n La hiperplasia atípica puede producir una proliferación neoplásica en cérvix y endometrio
- Cáncer de riñón aumento de eritropoyetina aumento de los precursores de los glóbulos rojos. - Altura: Aumenta glóbulos rojos. – Hemorragia crónica: Aumenta glóbulos rojos – inflamación crónica: Aumenta los linfocitos. – Injurias físicas o químicas en piel y epitelios. – Hiperplasia anormal psoriasis (hiperplasia cutánea)
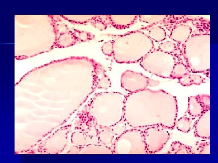
Hyperplasia
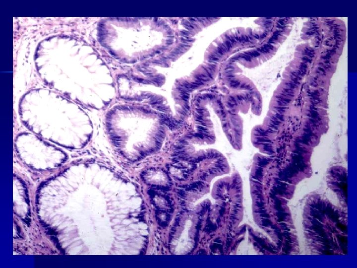
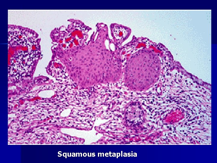
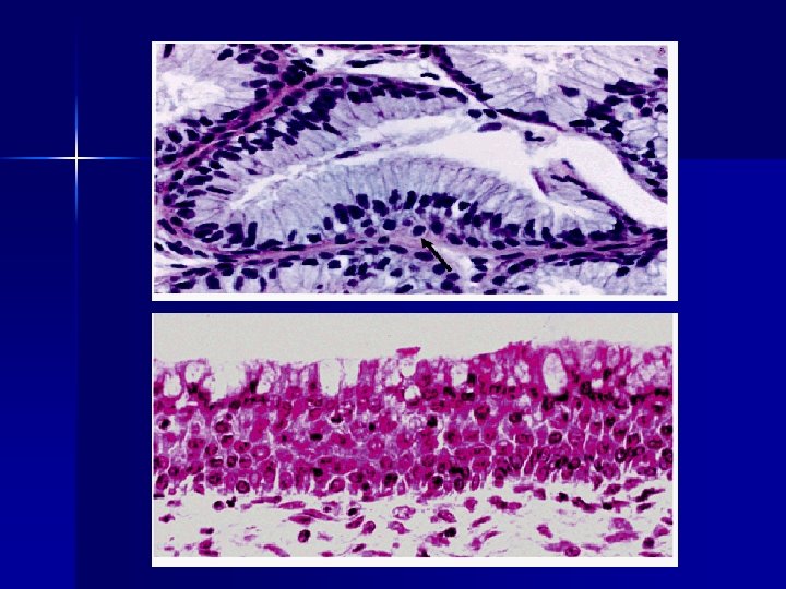
METAPLASIA
METAPLASIA n n Es una alteración reversible en la que un tipo celular maduro es sustituido por otro (epitelial o mesenquimatoso) Ejemplos: metaplasia escamosa, Esófago de Barret. Los fibroblastos pueden transformarse en osteoblastos o condroblastos. Existe una reprogramación genética en las células mesenquimatosas indiferenciadas de los epitelios por citocinas, factores de crecimiento.
1. Metaplasias epiteliales: Metaplasia epitelial escamosa: mucosas, conductos, bronquios, cervix, endometrio y próstata. Metaplasia epitelial apocrina: glándulas exocrinas de la mama. Metaplasia intestinal: En las gastritis y colecistitis crónicas y esófago de Barrett. Metaplasia antral: En la vesícula biliar y cuerpo gástrico.
2. Metaplasias mesenquimales: Metaplasia cartilaginosa: seudoartrosis. En cicatrices y en Metaplasia ósea: En cicatrices, tuberculosis y en posttraumatismos.
Squamous metaplasia
Anatomy of the cervix