Celiakie Doc MUDr Alena Chlumsk CSc Celiakie Geneticky




























- Slides: 28
Celiakie Doc. MUDr. Alena Chlumská, CSc.
Celiakie Geneticky podmíněné onemocnění vázané na HLA systém na molekuly HLA-DQ 2 a HLA-DQ 8 II. třídy lokalizace na krátkém raménku chromozomu 6 v blízkosti dalších genů HLA II. třídy
Genotyp HLA-DQ 2 je u 90% pacientů s celiakií Nebo také další gen (geny) dosud neznámý, který ovlivňuje citlivost/rezistenci enterocytů na gluten: n n n v těchto případech chybí HLA gluten vyvolává průjmy nejsou imunologické projevy: gliadin endomysium transglutamináza tkáňová.
Klinika: chronické průjmy, malabsorbce, osteoporóza, přítomnost protilátek Mimostřevní projevy celiakie: dermatitis herpetiformis rekurentní afty dutiny ústní Ig. A nefropatie artritidy
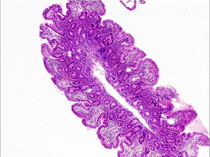
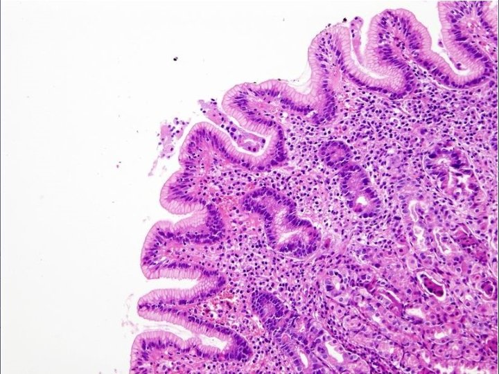
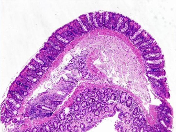
Histologické nálezy (Marsh): Spectrum změn od IEL (intraepiteliální lymfocyty) po atrofii O I. III. normální struktura bez zmnožení IEL normální struktura + zmnožení IEL (více než 30, 40 ly/100 epitelií), CD 3, 2 IEL, hyperplazie krypt, (protažení, větvení) IEL, hyperplazie krypt, zánětlivá celulizace, vilózní atrofie 3 stupně vilózní atrofie: n A parciální n B subtotální n C totální
Léčba: úprava do MO, M II. : za 2 roky 5 let a déle 36% nemocných 90% - rychleji u dětí
Hodnocení nálezů: M I. u dermatitis herpetiformis M II. po léčbě: zlepšení M III. - jednoznačná celiakie bez léčby: nejednotný názor: nesplňuje morfologická kriteria Ale: zlepšení po bezglutenové dietě morfologicky po dietě M I. Nebo M O většinou + genetika
Efekt léčby: od začátku léčby – léčebný efekt na začátku dobrý efekt léčby, pak relaps od začátku žádná odezva na léčbu Žádná odezva na léčbu refrakterní/neklasifikovaná celiakie
Refrakterní celiakie Histologické nálezy: kolagenní celiakie expanze l. propria pod bazi krypt nízká sliznice akutní zánět s vředy, bez vředů gastrická metaplazie lymfocyty : cytoplazmatické (ne povrchové) receptory CD 3 chybění povrchových receptorů CD 4, CD 8
U refrakterní celiakie (a malabsorbce): častěji ulcerózní jejunitis (časná lymfomatózní léze) a ML Ulcerózní jejunitis: hluboké fisurální vředy, perforace odchylné T bb. jako u refrakterní celiakie, i ve sliznici neulcerované a v okolí ML
Diferenciální dg. IEL v duodenu (tenkém střevě) Hp infekce NSAID Autoimunní enteropatie: n n n zkrácení klků hyperplazie krypt IEL neexprimují gamma/delta receptory protilátky proti enterocytům nejsou protilátky typické pro celiakii zlepšení po steroidní léčbě Protrahovaná virová enteritida u dětí
Nálezy v jiných částech zažívacího traktu: Lymfocytární gastritis n n 10 -45% celiakií (4 -10% u Hp) častěji u refrakterní Lymfocytární colitis n n u 19% neléčených (často jen IEL) U 67% refrakterní celiakie (lymfocytární colitis) Kolagenní colitis v malém počtu případů
Mikroskopická colitis
Mikroskopická colitis (MC) lymfocytární colitis (LC) kolagenní colitis (CC) Definice: vodnaté průjmy bez příměsi krve endoskopicky normální nález
Lymfocytární colitis IEL, regresivní změny povrchového epitelu kulatobuněčná celulizace l. propria normální architektura u mladých – starších osob (průměr 60 -70 let), užší vztah k celiakii
Kolagenní colitis ztluštění subepiteliálního kolagenu více než 10µm častější u žen (průměrný věk 55 let) revmatoidní artritis u 40% choroby štítné žlázy celiakie DM NSAID
Diagnostické chyby: zvýšená celulizace v céku subepiteliální ztluštění kolagenu ložiskové, stoupá směrem adorálním sliznice rekta není postižena u 30% nemocných subepiteliální kolagen je ztluštělý v hyperplastických polypech depozita amyloidu mohou být subepiteliálně fibróza l. propria může imitovat subepiteliální kolagen ischemická colitis, radiační colitis, UC
Etiologie MC: celiakie léky, zvláště NSAID, IPP bakteriální infekce autoimunní choroby
Atypické formy MC: Kryptální LC IEL nejsou v povrchovém epitelu, ale v kryptách Paucicelulární LC IEL v malém počtu, fokálně mezi normální sliznicí, více v pravém tračníku Návrh označovat IE lymfocytóza Mikroskopická colitis s obrovskými (mnohojadernými) bb. Histol. znaky MC, obrovské bb. pod povrchovým epitelem, nejsou granulomy Pseudomembranózní CC vzácná bakteriologie neg. , průběh a léčba jsou stejné toxické nebo ischemické vlivy
Atypické formy MC (2): MC s granulomatózním zánětem jen u žen často kolem krypt, kryptitis, není IEL ani kolagen MC se změnami podobnými IBD Kryptové abscesy u 30% CC u 38% LC Panethovy bb. Vzácně poruchy architektury zvláště u CC LC a enterikolická lymfocytární flebitis lymfocytární infiltrace vén a venul bez postižení arterií