Cavity Visualization ScoreCVS 1 2 3 4 cavity

  • Slides: 25
Download presentation

Cavity Visualization Score(CVS) 1. 2. 3. 4. cavity not visualized cavity visualized but margins

Cavity Visualization Score(CVS) 1. 2. 3. 4. cavity not visualized cavity visualized but margins indistinct cavity visualized with some margins indistinct cavity visualized with all but one indistinct margins 5. all cavity margins clearly defined Smitt MC, et al. Radiology. 2001. 219: 230 -6

CVS 1 -5图示 CVS 2 CVS 1 CVS 3 CVS 4 CVS 5

CVS 1 -5图示 CVS 2 CVS 1 CVS 3 CVS 4 CVS 5

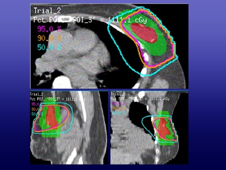
3 DCRT • 6 MV photon beam • 3 fields • Optimized gantry angle

3 DCRT • 6 MV photon beam • 3 fields • Optimized gantry angle and wedge direction • 95% isodose emcompassed the TB-PTV 复旦大学附属肿瘤医院

The mean Dc-s was 0. 4± 0. 7 cm, 0. 3± 0. 4 cm,

The mean Dc-s was 0. 4± 0. 7 cm, 0. 3± 0. 4 cm, 0. 5± 0. 7 cm, and 0. 3± 0. 6 cm in the superior, inferior, medial and lateral directions respectively

 • D 90>90% 14/30(46. 7%) • D 90>80% 21/30(70%) • Geographic miss 11/30(36.

• D 90>90% 14/30(46. 7%) • D 90>80% 21/30(70%) • Geographic miss 11/30(36. 7%) 4 ML+ 5 SI + 2 both direction 4 patients with DC-S within 0. 5 -1 cm 7 patients with DC-S above 1 cm 复旦大学附属肿瘤医院