Cathter chambre implantable Dr MERCIER Chirurgie viscrale Hpital
Cathéter à chambre implantable Dr MERCIER Chirurgie viscérale Hôpital de Carcassonne
Plusieurs noms pour un même dispositif • CCI: Cathéter à Chambre Implantable • SIV: Site Implantable Veineux • PAC: Port à Cath • DVI: Dispositif Veineux Implantable
Définition • Accès vasculaire veineux central permanent (ou presque) • Dispositif en 2 parties: – Une chambre sous cutané permettant l’injection des produits – Reliée à un cathéter positionné dans la veine cave supérieure à l’entrée de l’oreillette par l’intermédiaire d’une connectique
Indications • Chimiothérapie ++++: évite la toxicité des produits de chimiothérapie sur les veines périphériques • Antibiothérapie prolongée: ostéite…. • Nutrition prolongée • Absence de possibilité de perfuser en périphérie ou prélever chez des patients nécessitant des perfusions régulières et/ou prises de sang régulières
Contre indications • Patient présentant une infection non traitée (corps étranger!!) • Compression vasculaire de la veine cave supérieure • Trouble de la coagulation
Technique • Choix de la veine d’abord: - veine céphalique dans le sillon delto pectoral: dissection - veine jugulaire interne: dissection ou ponction per cutanée avec ou sans échographie - veine sous clavière: ponction per cutanée avec ou sans échographie - veine jugulaire externe: dissection - exceptionnellement veine fémorale
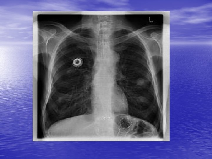
• Contrôle du bon positionnement du cathéter par radiographie per opératoire (en regard de la bifurcation bronchique) • Chambre mise en place le plus souvent en pré pectoral • Coté à discuter avec le patient (chasseur)
• Sous anesthésie locale ++++ • Sous anesthésie générale • En fonction du degré d’anxiété du patient • En fonction du morphotype du patient • Durée: de 20 à 45 minutes voire beaucoup plus….
• Avantages: • Abord veineux permanent • Indolore ou presque… • Inconvénients: • Risque infectieux: corps étranger et accès direct à l’oreillette • Risque de thrombose
Complications • Infection: • • Asepsie rigoureuse • Patients fragilisés Thrombose: • Rinçage de la chambre et du gripper Retournement du boitier: • Maintenir le boitier entre 2 doigts au moment de piquer après l’avoir repéré Extravasation: • Risque de nécrose liée aux chimiothérapies: aiguille sortie ou à coté du boitier, cathéter percé, désunion entre chambre et KT • Désunion • Embolie gazeuse: • Purger le matériel+++ • Seringue à pas de vis
En cas de doute…. . • Echo doppler veineux des vaisseaux du cou ou mb sup • Opacification/ radiographie
Manipulation • Asepsie: charlotte, masque, gants stériles, champs • stériles Matériel spécifique: aiguille de Huber, gripper
• Piquer en maintenant la chambre entre le pouce et l’index, perpendiculairement dans la membrane jusqu’au contact métallique • Toujours retirer l’aiguille en pression positive
- Slides: 19