CATEDRA DE PATOLOGIA I SEMESTRE 2011 DR MENESES










































- Slides: 42
CATEDRA DE PATOLOGIA I SEMESTRE 2011 DR. MENESES
Generalidades n n 6% de todos los tumores en mujeres Alta mortalidad por dx tardío. Cerca del 80% son benignos Factores de riesgo: n n n Nuliparidad Historia familiar G. O. reducen el riesgo
Génesis n Nacen de uno de 3 componentes ováricos: n Epitelio celómico superficial: n n n Trompas de falopio: ciliado columnar seroso Recubrimiento endometrial: columnar no ciliado Glándulas endocervicales: columnar mucoso Células germinales: forman saco vitelino Estroma ovárico: cordones sexuales que originan el aparato endocrino ovárico post natal
Tumores del epitelio superficial n 65 al 70 % del total. n 3 tipos: serosos, mucinosos, endometroides n n Cistadenomas Cistadenofibromas Adenofibromas Criterios macro de malignidad n n Crecimiento epitelial (papilas) Necrosis de tejido sólido
Tumores del epitelio superficial: Tumores serosos n n 30% de tumores de ovario 75% benignos o limítrofes Cistadenocarcinomas serosos son 40% de los carcinomas del ovario. Aspecto Macro: n n n Benigno: liso Limítrofe: proyecciones papilares Carcinoma: múltiples papilas, irregularidades
Tumores del epitelio superficial: Tumores serosos n Aspecto microscópico: n n n Benigno: epitelio columnar ciliado, puede tener papilas Limítrofe: aumenta complejidad de papilas con estratificación y atipia nuclear. No infiltra. Cistadenocarcinomas: crecimiento más complejo con infiltración del estroma subyacente
A: cistadenoma limítrofe B: cistadenocarcinoma
Tumor epitelial seroso que protruye de la superficie ovárica.
Cistadenoma papilar seroso con papila recubierta por epitelio columnar
Cistadenoma seroso limítrofe con complejidad arquitectural y estratificación celular.
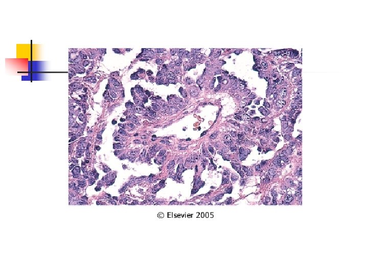
Cistadenocarcinoma papilar seroso con invasión del estroma
Tumores del epitelio superficial: Tumores mucinosos n n 25% de las neoplasias ováricas 80% benignos o limítrofes 5% de los cistadenomas y 20% de los cistadenocarcinomas mucinosos son bilaterales. Apariencia macro: n Tumores multiloculados llenos con material gelatinoso rico en glicoproteinas.
Tumores del epitelio superficial: Tumores mucinosos n Aspecto micro: n n n Benignos: tapizados con epitelio columnar alto con mucina apical y sin cilios Limítrofes: crecimiento en papilas o pseudoglándulas con atipia nuclear y pseudoestratificación Cistadenocarcinomas: patrón de crecimiento más sólido con atipia y estratificación, necrosis y pérdida de la estructura glandular
A: Cistadenoma mucinoso con su aspecto multiquístico. B: epitelio columnar
Cistadenocarcinoma mucinoso, nótese las células malignas en lagos de moco.
Tumores del epitelio superficial: Tumores endometrioides n n Comprenden cerca del 20% de todos los carcinomas ováricos. Usualmente son carcinomas. 15 a 30% de éstos se acompañan de carcinoma de endometrio. 40% son bilaterales
Tumores del epitelio superficial: Tumores endometrioides n Aspecto macro: n n combinación de áreas quísticas y sólidas Aspecto micro: n Se observa un patrón glandular que tiene gran parecido con el endometrio
Tumores de células germinales n n n 15 a 20% de todos los tumores ováricos La mayoría son teratomas quísticos En niñas y adultas jóvenes tienen un comportamiento más agresivo
Tumores de células germinales: Teratomas n Se dividen en tres categorías: n n n Teratoma maduro (benigno) Teratoma monodérmico Teratoma inmaduro (maligno)
Tumores de células germinales: Teratoma maduro n n Bilateral en 10 a 15% casos Aspecto macro: n n Quistes uniloculares que contienen pelo y material de aspecto sebáceo – queso. En su pared es común encontrar dientes y áreas de calcificación. Aspecto micro: n Pared de epitelio
Tumores de células germinales: Teratoma maduro n Aspecto micro: n n Pared de epitelio escamoso con glándulas sebáceas, pelo y otras estructuras anexiales. Se puede encontrar estructuras de otras capas germinales como cartílago, hueso, tiroides y otros.
Tumores de células germinales: Teratoma monodérmico n Son raros, los más comunes son: n n Estruma ovarii: tejido tiroideo Carcinoides
Tumores de células germinales: Teratoma inmaduro n n n Usualmente se encuentra en adolescentes prepúberes y en edades promedio de 18 años. Aspecto macro: son grandes y de aspecto liso, estructura sólida o de predominio sólida con necrosis y hemorragia. Aspecto micro: tejido inmaduro que se diferencia a cartílago, glándulas, hueso, músculo, etc. A mayor cantidad de neuroepitelio inmaduro presente mayor riesgo de metástasis.
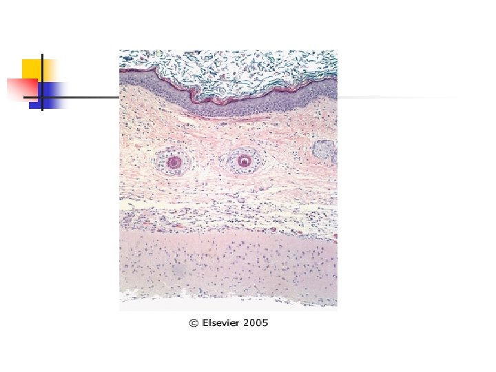
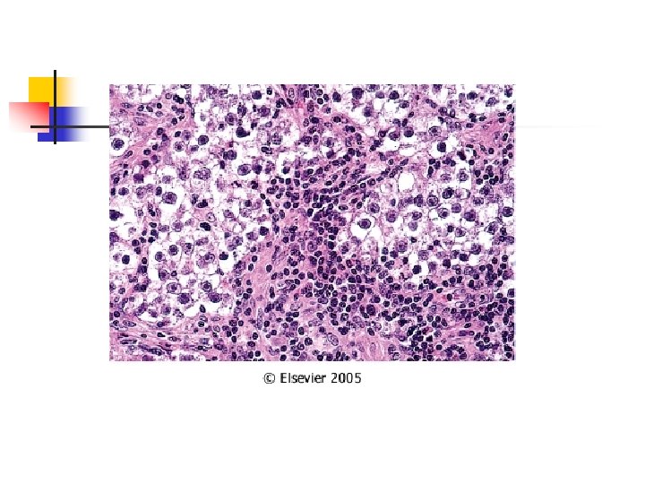
Tumores de células germinales: Disgerminoma n n 2% de los carcinomas ováricos y 50% de los tumores de células germinales 80 a 90% unilateral Usualmente sólidos con aspecto blanco amarillento Micro: las células se dispersan en sábanas o cordones separados por estroma fibroso escaso
Tumores de células germinales: Tumor del seno endodérmico n n n Usualmente unilateral, ALTA mortalidad Se supone que se origina en un carcinoma embrionario que se diferencia a seno endodérmico Micro: característicamente muestra una estructura glomeruloide formada por un vaso de lineado por células germinales que se denomina cuerpo de Schiller-Duval
Tumores de células germinales: coriocarcinoma n n Más común de origen placentario. Solo puede ser diagnosticado certeramente en niñas prepúberes Al momento del diagnóstico usualmente han dado metástasis a pulmón, hígado, hueso y otros. Usualmente no responden a quimiotx
Tumores estromales n n Se derivan del estroma ovárico que a su vez se deriva de los cordones sexuales de las gónadas embrionarias. Pueden ser productores de hormonas.
Tumores estromales: tumores de la teca-granulosa n n n 5% de los tumores ováricos 2/3 partes ocurren en posmenopausia Se componen casi exclusivamente de células de la granulosa o una mezcla de éstas con células de la teca
Tumores estromales: tumores de la teca-granulosa n n n Granulosa son usualmente unilaterales son masas sólido quísticas encapsuladas. Los tecomas puros son sólidos y firmes. Si tienen actividad hormonal son de color amarillo. Los funcionantes en niñas pueden producir pubertad precoz, Se asocian con hiperplasia endometrial, enfermedad quística de la mama y carcinoma endometrial (10 a 15% de las pacientes) Se malignizan en 5 a 25% de los casos.
Tumores estromales: tecoma - fibromas n n n Unilaterales en 90% de los casos Usualmente sólidos, esféricos o levemente lobulados, encapsulados, duros cubiertos de serosa ovárica. Formada por células fibroblásticas y por otras fusiformes con gotas de lípidos.
Tumores estromales: tecoma - fibromas n Se acompañan de dos hallazgos curiosos: n Síndrome de Meigs n n n Ascitis: en 40% de los casos Hidrotórax derecho. Sx de nevus de células basales.
Tumores estromales: Células de Sertoli-Leidyg n n n Ocurren en cualquier edad con picos en segunda y tercera décadas. Recapitulan los estadíos de maduración de los espermatozoides. Morfología: bien, pobre y mal diferenciados Incidencia de recurrencia o metástasis 5% Bloquen el desarrollo femenino normal en las niñas y causan defeminización en las mujeres progresando hasta virilización
Tumores metastásicos n n Los más comunes son de origen mülleriano: útero, trompas de falopio, ovario contralateral, pelvis o peritoneo. Extramüllerianos: mama y tracto gastrointestinal, ejemplo clásico es el tumor de Krukenberg: metástasis bilaterales de células tumorales en anillo de sello productoras de mucina usualmente de origen gástrico.