Casos de torax Caso 1 Paciente de 62

  • Slides: 21
Download presentation
Casos de torax

Casos de torax

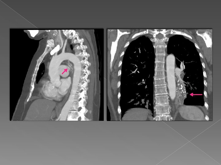
Caso 1 Paciente de 62 años en estudio por masa en LID y hemoptisis.

Caso 1 Paciente de 62 años en estudio por masa en LID y hemoptisis. Tras el reformateo multiplanar se visualiza en LID una masa con centro necrótico y áreas de abscesificación en su interior.

 Valor de VR : se visualiza la arteria aferente que se origina en

Valor de VR : se visualiza la arteria aferente que se origina en la aorta y se dirige a la masa con un drenaje venoso a la vena pulmonar inferior derecha. Hallazgos sugestivos de secuestro pulmonar intralobar.

Drenaje venoso Secuestro pulmonar

Drenaje venoso Secuestro pulmonar

Caso 2 Varón de 32 años politraumatizado. Valor de VR: una visión rápida sobre

Caso 2 Varón de 32 años politraumatizado. Valor de VR: una visión rápida sobre las fracturas, en este caso costales, que pudiera tener el paciente.

Caso 3 Mujer de 39 años con una tumoración extrapulmonar de gran tamaño, hipervascular

Caso 3 Mujer de 39 años con una tumoración extrapulmonar de gran tamaño, hipervascular con calcificaciones en su interior en vértice de hemitorax izquierdo diagnosticado de Tumor Castleman tras anatomía patológica. Valor del VR: nos aporta valiosa información sobre la morfología que adopta sobre todo de cara a la intervención quirúrgica.

Caso 4 Mujer de 71 años que ingresa por hemoptisis. En reformateo multiplanar y

Caso 4 Mujer de 71 años que ingresa por hemoptisis. En reformateo multiplanar y gracias al MIP se visualiza una arteria bronquial izquierda patológica que se dirige hacia las bronquiectasias de LII. Valor de VR: Visualización del vaso anómalo en todo su trayecto. Identificar con exactitud el origen del mismo de tal manera que los radiologos intervencionistas visualizan la rama que tienen que tratar, la altura del origen y la morfología que adopta facilitando así su trabajo.

Caso 5 Varón de 65 años con importante absceso amigdalar izquierdo de compromete la

Caso 5 Varón de 65 años con importante absceso amigdalar izquierdo de compromete la vía aerea. Valor de VR: Valorar grado de estenosis de la vía aerea.

Absceso amigdalino

Absceso amigdalino

ABSCESO AMIGDALINO ESTENOSIS OROFARINGEA VÍA AEREA NORMAL

ABSCESO AMIGDALINO ESTENOSIS OROFARINGEA VÍA AEREA NORMAL

ABSCESO AMIGDALINO ESTENOSIS OROFARINGEA VÍA AEREA NORMAL

ABSCESO AMIGDALINO ESTENOSIS OROFARINGEA VÍA AEREA NORMAL