CASO OSTEO Mara Victoria Ramos Hombre de 57
CASO OSTEO Mara Victoria Ramos
Hombre de 57 años de edad Tumoración y dolor tipo eléctrico desde el hueco poplíteo hasta la planta del pie de 2 años de Evolución. Niega antecedente traumático Solicitan RM de Rodilla Derecha con diagnóstico presuntivo de QUISTE DE BAKER y trae ecografía Previa
SAGITAL COMPARATIVO DE AMBOS HUECOS POPLITEOS SAGITAL DEL HUECO POPLITEO DERECHO - SUPERIOR AXIAL DEL HUECO POPLITEO DERECHO SAGITAL DEL HUECO POPLITEO DERECHO - INFERIOR
SAGITAL DEL HUECO POPLITEO DERECHO
AXIAL SAGITAL PANORAMIC VIEW (PW) HUECO POPLITEO DERECHO - SUPERIOR
¿Diagnósticos diferenciales? • Tumor benigno de la vaina del nervio – Schwnnoma, Neurofibroma • Tumor maligno de la vaina del nervio (bordesinfiltrativo-tamaño) • Aneurisma trombosado • Hematoma • Quiste sinovial complicado
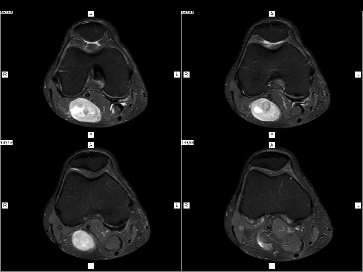
Quiste Baker Lesión en intima relación estructura nerviosa
Nervio peroneo comun Nervio tibial Lesión en intima relación estructura nerviosa Quiste Baker
Hueco poplíteo Límites Supero externa: biceps femoral Superointerna: semimembranoso Inferoexterna: gemelo externo Inferointerna: gemelo interno Anterior: femur Posterior: musculo popliteo Contenido • Nervio ciático mayor se bifurca aproximadamente en tercio medio cara posterior muslo en ciático poplíteo interno (nervio tibial) y externo (nervio peroneo) Arteria poplítea Vena poplítea – desembocadura de vena safena
QUISTE DE BAKER Definición : QUISTE SINOVIAL Señal: LIQUIDA - HIPER T 2 STIR Y DP Ubicación : POSTEROMEDIAL, ENTRE MÚSCULOS GEMELO INTERNO Y SEMIMEMBRANOSO
NEUROFIBROMA – SCHWANNOMA ¿? Definición : TUMOR BENIGNO DE LA VAINA DE NERVIO PERIFERICO Señal: HETEROGENEA CON AREAS DE DEGENERACION QUISTICA Ubicación : INTIMA RELACION CON NERVIO
GRACIAS!
- Slides: 14