CASO DE 5 MINUTOS Romina Trotta Mujer 30

  • Slides: 15
Download presentation
CASO DE 5 MINUTOS Romina Trotta

CASO DE 5 MINUTOS Romina Trotta

 • Mujer 30 años • 2° día de internación en SF • Ingreso

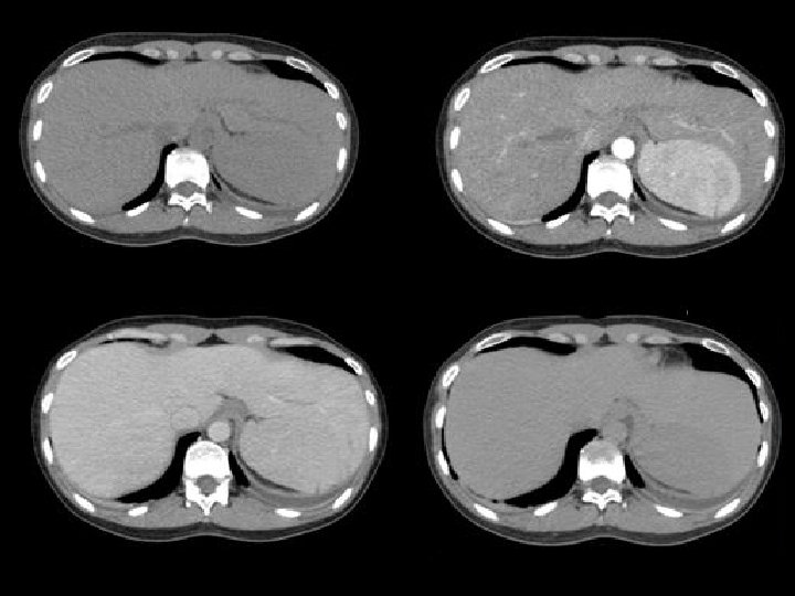
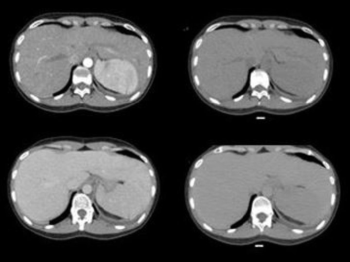
• Mujer 30 años • 2° día de internación en SF • Ingreso derivada de otro centro por politraumatismo 72 hs previas al ingreso • Solicitan tc por caída de 6 puntos de hematocrito en las ultimas 24 hs 8/4: hto 33% - 7/4 de 39%

Protocolo de estudio • Sin contraste • Fase precoz • Fase v-p • Tardía

Protocolo de estudio • Sin contraste • Fase precoz • Fase v-p • Tardía 5 minutos

Protocolo de estudio • Sin contraste • Fase precoz • Fase v-p • Tardía

Protocolo de estudio • Sin contraste • Fase precoz • Fase v-p • Tardía 5 minutos SI O SI PARA VER BAZO

Etiología

Etiología

Score de trauma esplénico

Score de trauma esplénico

Score de trauma esplénico • Tto depende de estadío y del equipo de cirugía:

Score de trauma esplénico • Tto depende de estadío y del equipo de cirugía: manejo qx de II-III por rupturas tardías • Hallazgos de mal pronóstico en manejo no qx: - hemoperitoneo - sangrado activo - grado V

COMPLICACIONES RELACIONADAS A MANEJO NO OPERATORIO • Pueden presentarse hasta 2 días post trauma

COMPLICACIONES RELACIONADAS A MANEJO NO OPERATORIO • Pueden presentarse hasta 2 días post trauma 1. Pseudoquistes pueden drenarse 2. Abscesos 3. Pseudoaneurismas 4. Ruptura tardía (secundaria a ruptura de hematoma subcapsular, pseudoquiste o pseudoaneurisma. Más frecuente en adultos) 5. Infarto parcial o total, resangrado, atrofia esplénica, derrame pleural y fiebre POST EMBOLIZACIÓN.

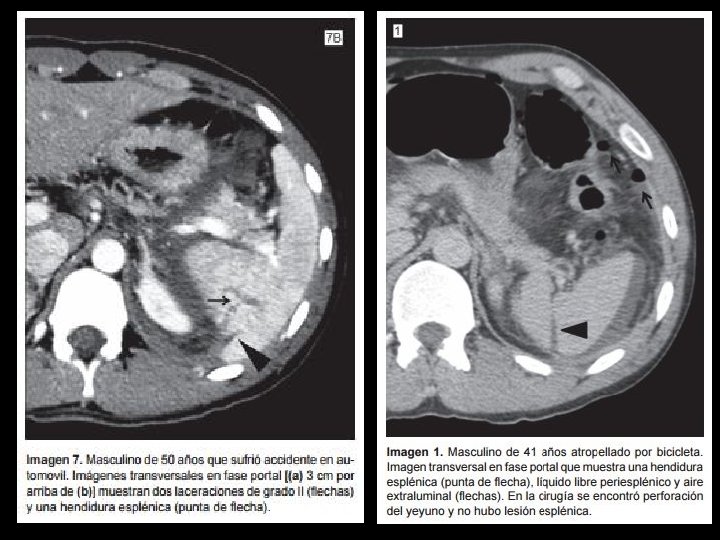
DIAGNOSTICO DIFERENCIAL Hendidura Laceración • Bordes lisos, redondeados • Fase tardía no cambian apariencia

DIAGNOSTICO DIFERENCIAL Hendidura Laceración • Bordes lisos, redondeados • Fase tardía no cambian apariencia • Pueden tener grasa en su interior • Bordes irregulares • Fase tardía se homogeneizan con resto de bazo

GRACIAS

GRACIAS

Tamaño esplénico normal • Eje long máximo: - 3 meses: 6 cm - 4

Tamaño esplénico normal • Eje long máximo: - 3 meses: 6 cm - 4 años: 9 cm - adultos: 12 a 15 cm • Eje AP: 4 a 8 cm • Eje LL: 3 a 4 cm a nivel hiliar