Caso clnico radiolgico DR JOEL VAZQUEZ GARCIA DR



























- Slides: 27
Caso clínico radiológico DR. JOEL VAZQUEZ GARCIA DR. RAFAEL ALFEREZ DR. JESÚS DANIEL GARCIA INZUNZA
Caso clínico Masculino 70 años de edad Orig: Gto, Gto Tab: 5 cigarrillos al día durante 30 años Alcoholismo: 500 ml a la semana Cirugias: Artroplastia rodilla, disquectomía, RPTU, Colecistectomía, cierre de fístula anal, Facoemulsificación Resto de antecedentes negados.
Padecimiento actual Atendido en otro Nosocomio 24 horas de evolución Desorientación Verborrea Incontinencia fecal Cefalea intensa persistente TA 180/110 – Emergencia hipertensiva Observación Ct: Hemorragia subaracnoidea No Mejoría
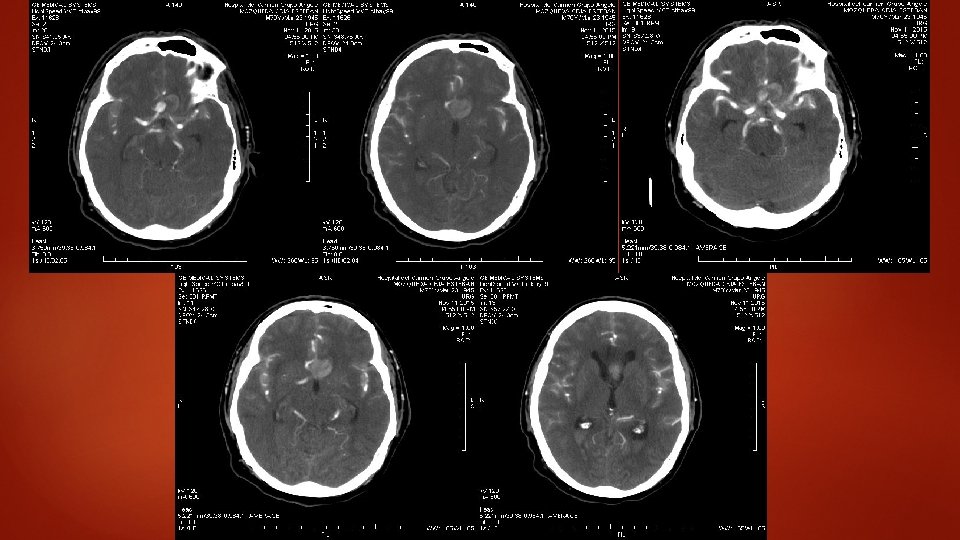
Al llegar al hospital Se decide tomar CT de Cráneo y Angio. CT
Interpretación radiológica BORRAMIENTO DE LOS SURCOS PRESENCIA DE IMÁGENES HIPERDENSAS COMPATIBLES CON HEMORRAGIA SUBARACNOIDEA
Interpretación radiológica Se observa presencia de saculación aneurismática de 6. 2 mm de espesor en la arteria comunicanterior izquierda, en el área de la bifurcación con la arteria cerebral media.
Evolución El paciente pasa a quirófano para clipaje de aneurisma de la arteria comunicanterior
Evolución AL SALIR DE Qx: RASS -2, PUPILAS MIOTICAS, SIMETRICAS, CON BALBUSEO. HEMODINAMICAMENTE ESTABLE. SAT 02 DENTRO DE METAS CON MASCARILLA CANULA DE GUEDEL AFEBRIL VOLUMENES URINARIOS CON TENDENCIA AL ALTA URESIS MEDIA HORARIA EN LAS ULTIMAS 5 HRS: 5 ML/KG/HR
CT post-Clipaje (8 días después)
Interpretación radiológica Cambios postquirúrgicos con presencia de clip y craneostomía TAC de control sin evidencia de sangrado, con adecuada diferenciación entre sustancia blanca y gris.
Evolución POSTQUIRURGICO INMEDIATO DE CRANEOTOMIA Y CLIPAJE DE ANEURISMA DE LA ARTERIA COMUNICANTERIOR IZQ. RASS -5 SE DECANULA EL PACIENTE Sat 02 97% CON MASCARILLA CON RESERVORIO A 10 LTXMIN RENAL: UMH 1. 16 ML/KG/HR, CON POTASIO LIMITROFE EN 3. 51 MEQ/L POR LOI QUE SE REPONEN EN AGUDO 40 MEQ DE KCL PARA 4 HRS. HIPONATREMIA 130 MEQ/L HB 13. 6, HCTO 37. 9, PLAQUETAS 213, LEUCOCITOS 19. 2, NEUTROFILOS 82%, BANDAS 1%, LINFOCITOS 10%, TP 13 SEG, TPT 34 SEG PACIENTE SE MANTIENE AFEBRIL SIN TX ANTIBIOTICO
Evolución a los 4 días EF: NEUROLOGICA: RASS -5, YA SIN SEDACION, PUPILAS SIMETRICAS 3 MM ARREFLECTICAS. SIN MOVIMIENTOS ANORMALES, RESPUESTA PLANTAR INDIFERENTE BILATERAL CARDIOPULMONAR SIN COMPROMISO PAM ENTRE 70 Y 90 MMHG RENAL: UMH 3. 6 ML/KG/HR DURANTE EL DIA, FORZADO CON MANITOL 125 ML/DIA. SE INICIA ANTIBIÓTICOTERAPIA PACIENTE CON FIEBRE PERSISTENTE PACIENTE CRÍTICO
EVOLUCIÓN DIA 14 DE EIH RASS -5 AUN BAJO EFECTOS DE SEDACION, PUPILAS DILATADAS SIMETRICAS 3 MM ARREFLECTICAS. SIN MOVIMIENTOS ANORMALES, RESPUESTA PLANTAR INDIFERENTE BILATERAL RENAL: CON URESIS DEL TURNO 370 CC, FORZADO CON MANITOL 125 ML C/8 HRS EKG: DATOS SUGERENTES DE SOBRECARGA DE VOLUMEN. SE SOLICITA BNP ACTUALMENTE CON FC 95/MIN, DEPENDIENTE DE AMINAS VASOPRESORAS A BASE DE PRIDAM, MANTENIENDO PAM ENTRE 84 -75 MMHG, PULSOS DISTALES PRESENTES DE BUENA INTENSIDAD, LLENADO CAPILAR 2 SEG. PVC 15 CMH 20 TENDENCIA A LA FEBRICULA. CONTINUA CON ANTIBIOTICOTERAPIA A BASE DE CARBAPENEMICO, LEVOFLOXACINO Y FLUCONAZO
EVOLUCIÓN 48 HRS EN VENTANA NEUROLÓGICA SIN INTERACCIÓN CON EL MEDIO AMBIENTE SIGNOS VITALES: TA: 116/72 MMHG, PAM: 80 MMHG, FC: 90 LPM FR: 12 RPM SAT 02: 97% (FIO 2 40%) TEMP 36, 5 C PVC: 18 CM H 2 O EEG: SIN ACTIVDAD ELÉCTRICA CEREBRAL SE SOLICITA CT DE CRÁNEO
EXPLORACIÓN FÍSICA NEUROLOGICO: RASS -5, YA SIN SEDACION, PUPILAS SIMETRICAS 3 MM ARREFLECTICAS. SIN MOVIMIENTOS ANORMALES, RESPUESTA PLANTAR INDIFERENTE BILATERAL. AUSENCIA DE REFLEJO FOTOMOTOR, NAUSEOSO, CORNEAL, OCULOCEFALICO. RESPIRATORIO: SATURANDO AL 97%, CAMPOS PULMONARES HIPOAEREADOS, CON ESTERTORES RONCANTES TRANSMITIDOS. CARDIOVASCULAR: PRECORDIO RITMICO, ACTUALMENTE CON FC 95/MIN, SIN DEPENDENCIA DE AMINAS, MANTENIENDO PAM ENTRE 70 Y 90 MMHG, PULSOS DISTALES PRESENTES DE BUENA INTENSIDAD, LLENADO CAPILAR 2 SEG. GASTROMETABOLICO: NUTRICION PARENTERAL CON KABIVEN DE 1900 KCAL, ABDOMEN ASIGNOLOGICO, EUPERISTALTICO. SIN EVACUACIONES. RENAL: UMH 1, 14 ML/KG/HR DURANTE EL DIA, FORZADO CON MANITOL 125 ML/DIA. HEMATOLOGICO-INFECCIOSO: AFEBRIL SIN DATOS DE RESPUESTA INFLAMATORIA SISTEMICA, SIN NECESIDAD DE HEMODERIVADOS
INTERPRETACIÓN RADIOLÓGICA EDEMA CEREBRAL IMPORTANTE PÉRDIDA DE LA ARQUITECTURA CEREBRAL TOTAL PÉRDIDA DE RELACIÓN ENTRE SUSTANCIA BLANCA Y SUSTANCIA GRIS AUMENTO DE LA HEMORRAGIA SUBARACNOIDEA
EVOLUCIÓN DX: MUERTE CEREBRAL SE INICIA PROTOCOLO DE CUIDADOS PALIATIVOS Y SE EGRESA EL PACIENTE A CIM
EVOLUCIÓN A LAS POCAS HORAS EL PACIENTE FALLECE DX FINAL: POSTQUIRUGICO DE CRANEOTOMIA PARA CLIPAJE DE ANEURISMA DE LA ARTERIA COMUNICANTERIOR, POR RUPTURA ANEURISMATICA CON HEMORRAGIA SUBARACNOIDEA HUNT Y HESS GRADO II, CON COMPLICACIONES DE RESANGRADO Y COMPRESION ENCEFALICA + MUERTE CEREBRAL
COMENTARIOS