CASO CLNICO Paciente masculino de 14 aos diagnstico

  • Slides: 12
Download presentation

CASO CLÍNICO Paciente masculino de 14 años, diagnóstico de asma bronquial desde los 7,

CASO CLÍNICO Paciente masculino de 14 años, diagnóstico de asma bronquial desde los 7, los intervalos entre crisis cursa asintomático. Durante el cambio estacional, acude por que refiere dificultad para respirar, sobretodo en la noche y que el pecho le “silba y ronca”. • a. Mecánica ventilatoria normal. Presiones en el sistema respiratorio. Volúmenes pulmonares • b. Vías aéreas: anatomía. Espacio muerto. Inervación autonómica • c. Asma bronquial. Fisiopatología: fenómeno inflamatorio (mediadores químicos y células participantes). Signos y síntomas. Espirometría. Gases en sangre • d. Fármacos broncoconstrictores y broncodilatadores

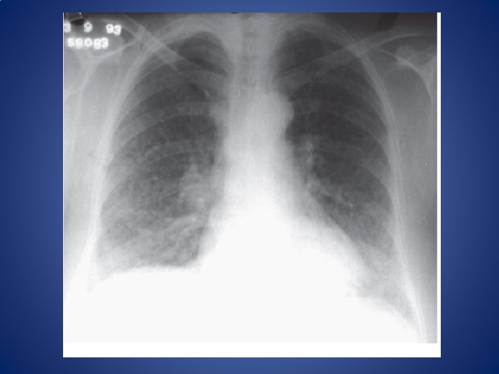
CASO CLÍNICO Paciente femenina de 67 años, fumadora empedernida desde la adolescencia. Se detectan

CASO CLÍNICO Paciente femenina de 67 años, fumadora empedernida desde la adolescencia. Se detectan signos de hipertensión pulmonar en la radiografía de tórax. • • Hallazgos semiológicos esperables Hallazgos fisiopatológicos esperables Hallazgos espirométricos esperables Hallazgos gasométricos esperables • Revisión de circulación pulmonar. Presiones. Efectos de la gravedad

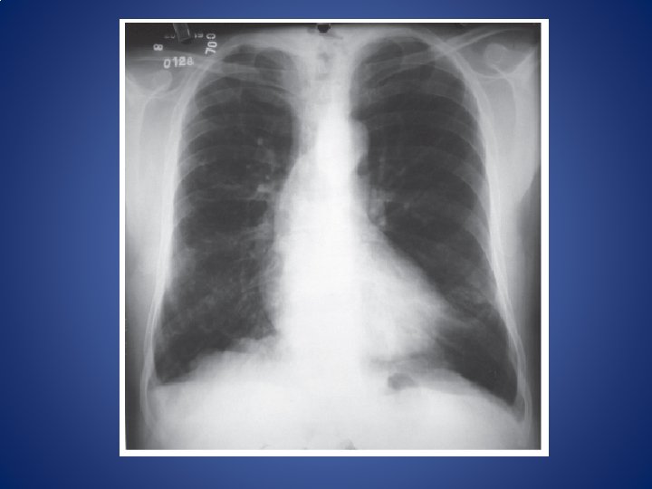
CASO CLÍNICO • Paciente masculino de 79 años, refiere disnea de esfuerzo progresiva desde

CASO CLÍNICO • Paciente masculino de 79 años, refiere disnea de esfuerzo progresiva desde hace un par de años. Al examen PA y frecuencia cardiaca normales, tolera decúbito, cianosis distal, impulso ventricular derecho con segundo ruido cardiaco muy aumentado en el área pulmonar. Pobre excursión (amplexación) de ambos hemitórax, crepitantes dispersos en ambos campos pulmonares. • a. Tipos de enfermedades restrictivas. Causas • b. Consecuencias hemodinámicas, hematológicas, gasométricas, espirométricas