CASO CLNICO MIRIAM PERTEGAL RUIZ R 3 Hospital

























- Slides: 25
CASO CLÍNICO MIRIAM PERTEGAL RUIZ R 3, Hospital Universitario Virgen de la Arrixaca
33 AÑOS AP: Fumadora de 20 cigarrillos al día AG: Eumenorreica. Con estudio de esterilidad normal AO: G 1 actual tras FIV con DGP por síndrome de MEN 2 A en el marido (con afectación suprarrenal y tiroidea). Se transfieren 2 embriones el 30/01/10
CASO CLÍNICO. Evolución. 25/2/10 Ingreso en reposo absoluto. Hb: 13, 4 g/dl. Tras informar a la paciente de la situación y ante un embarazo tan valioso se decide CONDUCTA EXPECTANTE. En los días sucesivos presenta metrorragia escasa-moderada de forma intermitente. 1/3/10 en eco de control se comprueba FC (-) en el embrión cervical. Ante la INTERRUPCIÓN DE LA GESTACIÓN CERVICAL se decide continuar con la actitud conservadora. 6/3/10 Se agudiza la metrorragia. Hb: 10, 8 g/dl. Se decide tomar una actitud activa. Se valoran las distintas posibilidades y la paciente decide la finalización de la gestación completa. Se plantea la realización de MTX INTRAARTERIAL + EMBOLIZACIÓN PROFILÁCTICA art. uterinas.
CASO CLÍNICO. Evolución.
EMBOLIZACIÓN DER. IZQ.
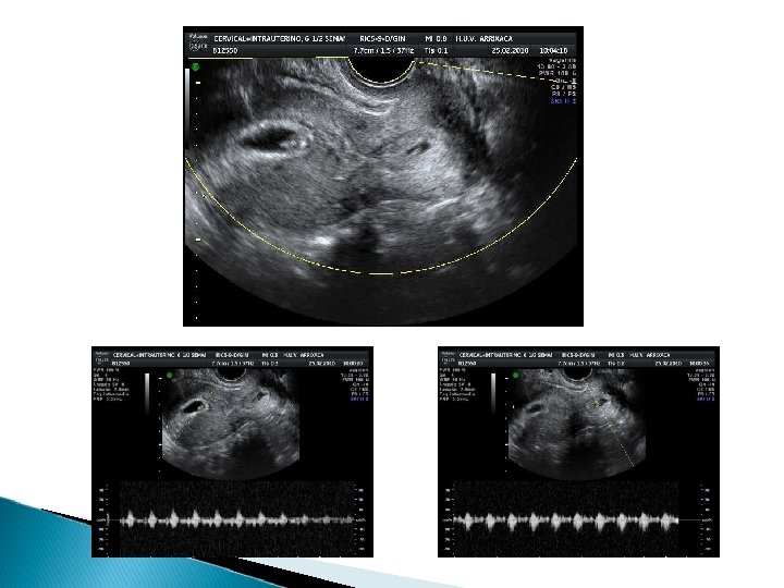
CASO CLÍNICO. Evolución. 12/3/10 Se transfunden (profilácticamente) 2 concentrados de hematíes por Hb de control en 8, 6 g/dl. ECO: Se mantienen ambos sacos. En el intrauterino FC (-). En los días sucesivos la paciente presenta una evolución satisfactoria, con ligeras molestias abdominales y spotting intermitente. La β- HCG satisfactoriamente. 29/3/10 ALTA control ambulatorio hasta β- HCG: 0 β- HCG: 43 UI/L ECO: GE de 10 mm. Con escasísimos restos. A nivel cervical, zona irregular hiperrefringente de 12 x 7 mm con escasos vasos sanguíneos.
CASO CLÍNICO. Evolución β-HCG.
CASO CLÍNICO: Evolución hemograma.
EMBARAZO ECTÓPICO. PROTOCOLO
TROMPA ( 98%): Ampular 80% Istmico 12% Cornual (intersticial) 2, 2% Fimbrias 6% OTRAS MÁS RARAS: ABDOMEN 1, 4% OVARIO 0, 15% CÉRVIX 0, 15% Ojo: en TRA estas localizaciones pueden llegar a alcanzar hasta el 7%. En FIVTE (3 -4%): Tubárica 82% Heterotópica 12% (93% tubárica) 4, 5% abdominal u ovárica 1, 5% cervical
Se encuentran en el 25 -50% de los casos En el caso de la FIVTE el uso de la progesterona y/o clomifeno parecen intervenir en la adecuada movilidad de la trompa (al igual que con el uso de anticonceptivos con gestágenos exclusivamente como la píldora postcoital o el DIU de levonorgestrel).
Triada clásica: DOLOR AMENORREA/RETRASO MENSTRUAL SANGRADO VAGINAL Diagnóstico: HISTORIA CLÍNICA Y EXP. FÍSICA ECOGRAFÍA β-HCG (>1000 -2000 UI/ml) La visualización ecográfica de una gestación intrauterina, practicamente excluye el EE. El embarazo heterotópico se debe de tener en cuenta en pacientes sometidas a TRA.
EXPECTANTE Asintomática. No accidentado β-HCG < 1500 m. UI/ml y en ↓ Deseo genésico • Citar en 48 -72 h para control clínico, ecográfico y de β-HCG. • Debe modificarse la actitud en caso de que las cifras de β-HCG aumenten o se mantengan en meseta. • Efectivo en un 69% de los casos seleccionados. • OJO: Se han descrito roturas tubáricas con β-HCG<100 m. UI/l QUIRÚRGICO MÉDICO Cuando no cumple criterios para tratamiento médico o expectante. Preferible SALPINGUECTOMÍA LAPAROSCÓPICA. Si inestabilidad hemodinámica LAPAROTOMÍA. METOTREXATE SIEMPRE CONSENSUADO CON LA PACIENTE
METOTREXATE: antagonista del ac. folico que interfiere en la síntesis de ADN y multiplicación celular. El trofoblasto por su rápida proliferación es muy vulnerable a su acción. Con una ADECUADA SELECCIÓN DE LOS PACIENTES, es casi tan efectivo como el tratamiento quirúrgico y más eficiente al permitir el tratamiento ambulatorio. Administración INTRAMUSCULAR en región glútea y en DOSIS ÚNICA de 50 mg/m 2 de superficie corporal. 50 mg Peso (Kg) x talla (cm) x 0, 5 3600 DOSIS HABITUAL 75 -90 mgr. Tasa de éxito del 87, 2% (63 -94%) con permeabilidad tubárica en el 81%. Tasa de embarazo del 61% y 7, 8% de ectópicos posteriores.
CRITERIOS DE INCLUSIÓN Mujer sana, estable HD. No signos de rotura. Diámetro máximo < 4 cm. β-HCG< 5. 000 -10. 000 m. UI/ml CRITERIOS DE EXCLUSIÓN ◦ ◦ β-HCG <5000 Efectividad >90% β-HCG >10. 000 Efectividad <82% Garantías de seguimiento. Consentimiento informado. Evitar embarazo en los 3 meses siguientes (teratogenicidad). La presencia de latido cardiaco y/o líquido libre no CI pero menor probabilidad de éxito. Enfermedad renal o hepática previa. Anormalidad del hemograma: leucocitos < 2. 000 /mm 3, plaquetas < 100. 000 /mm 3, GOT y/o GPT > 30 U/l, Cr > 1, 5 mg/dl. No deseo de seguimiento. Ectópico heterotópico. Tratamiento con AINEs o diuréticos (↑ toxicidad).
Tener β-HCG y analítica completa previas. Alertar a la paciente de: Posibilidad de dolor (60 -75%). Tomar paracetamol (1 gr/6 -8 h), si no cede acudir a hospital. Permanecer en la ciudad. No relaciones sexuales. No tomar alcohol en 7 días. Seguimiento clínico y analítico. Eco ante sospecha de rotura tubárica. Día 4: β-HCG y anamnesis. OJO: FRECUENTE (85%) ↑ β-HCG (<30%) Día 7: β-HCG , hemograma (leucocitos) y anamnesis. Día 14: β-HCG y anamnesis. Días 21, 28, 35: β-HCG hasta <10 -20 m. UI/ml Entre el 4º y el 7º día la β-HCG debe ↓ al menos un 15% de la cifra del día 4. Si no (14%), repetir dosis en el otro glúteo si leucocitos normales. Máximo 3 dosis. ► Confirmar ↓ β-HCG días 11 y 14. Si no respuesta LAPAROSCOPIA.
HETEROTÓPICO CERVICAL TRATAMIENTO
El embarazo cervical tiene un alto riesgo de causar una hemorragia importante requiriendo HISTERECTOMÍA hasta en el 50% de los casos. El manejo es muy desafiante, sobre todo si se intenta conservar el embarazo intrauterino. Si no hay sangrado genital se puede hacer, bajo anestesia espinal, un legrado evacuador de la masa cervical sin dañar el endometrio, mediante guía ecográfica abdominal a través de la ventana vesical (con 150 -200 ml de orina). Si apareciera sangrado intentariamos controlarla mediante: taponamiento vaginal Sutura de las paracervicales Inserción intracervical de sonda de Foley
Otras técnicas de manejo conservador son: Terminación selectiva del cervical (TSC) mediante inserción ecoguiada de Cl. K o glucosa hiperosmolar intrasaco. TSC mediante resección histeroscópica. TSC mediante cerclaje cervical Shirodkar (suturas a través del cuello, no expuestas). OJO Estas técnicas, en caso de preservar tejido trofoblástico, conllevan riesgo importante de CONTRACCIONES, RPM, INFECCIÓN Y SANGRADO POSTPARTO. Manejo conservador con finalización completa de la gestación: Embolización arteria uterina. MTX im ó MTX intraarterial + embolización profiláctica.
BIBLIOGRAFÍA:
GRACIAS A: HUVA) DR. F. MACHADO LINDE (Unidad Ginecología HUVA) DR. F. GARCÍA- SANCHEZ (Unidad de Ecografía DR. CAPEL (Radiología Intervencionista HUVA)