Caso Clnico Medicina Interna Ciruga Dr Cesar Zavala


























































- Slides: 58
Caso Clínico Medicina Interna Cirugía Dr. Cesar Zavala R 3 MI Dr. Mauricio García R 2 CX
Ficha de Identificación Sexo: Masculino Edad: 78 años Lugar de Residencia: Monterrey Originario: Guanajuato Religión: Católico Ocupación: Comerciante, industria plástica Interrogatorio: Directo Confiabilidad: moderada Fecha de Ingreso: 21/04/2017 y 26/06/2017
Motivo de Consulta: Dolor en miembros inferiores, edema y ulceras en miembros inferiores
Antecedentes • Heredo – Familiares – Padre Finado a los 70 años por Ca de Colon – Madre finada a los 67 años durante procedimiento quirúrgico durante la anestesia – Hermano finado a los 72 años por cirrosis hepática (alcohólica)
Antecedentes • Personales Patológicos – Osteoartritis de ambas rodillas que se intervino de manera quirúrgica ambas en 2014 con la colocación de prótesis – Internamientos previos por Enfermedad Divertivcular – Insuficiencia Venosa periférica en tratamiento no especificado desde el año 1999
Antecedentes • Personales Patológicos – Obesidad Mórbida – Hipertrofia Prostática – Enfermedad hemorroidal – Esteatosis Hepática – Dislipidemia actualmente sin tratamiento
Medicamentos Actuales • • Diosmina e hisperidina Clopidogrel Aspirina Pantoprazol
PEEA • Inicia hace 2 años con edema de miembros inferiores, ascendente, duro y progresivo • Algunos meses posteriores inicia con ulceras en miembros inferiores • Con 6 meses de evolución presenta cianosis en falanges de miembros inferiores.
IPAS • Neurológico: Niega cefalea, fotofobia, sincope, lipotimias, fiebre • Respiratorio: Niega disnea, tos, hemoptisis • Cardiovascular: Niega disnea, DPN, ortopnea • Gastrointestinal: niega diarrea, nauseas, vómitos, hematemesis, melena hematoquezia, niega perdida de peso
IPAS • Genitourinario: afirma nicturia, pujo y tenesmo urinario, Niega disuria, hematuria. • Músculo-esquelético: Lo referido en el PEEA, niega artralgias, mialgias • Sistema Linfático: Niega adenopatías
Exploración Física T/A: 130/85 mm. Hg FC: 81 lpm FR: 18 rpm Peso: 130 kg Talla: 1. 70 m IMC: 44 kg/m 2 T: 36. 8 o. C • Hábito exterior: Consciente, orientado en tres esferas, mucosas con adecuada hidratación. Sin facies características • Neurológico: Fuerza y ROTS normales, pares craneales normales, no signos meníngeos. • Hemodinámico: Tendencia a hipertensión, ruidos cardiacos rítmicos, regulares , tono e intensidad normal. • Ventilatorio: bien ventilados
Exploración Física • Gastrointestinal: abdomen globoso a expensas de panículo adiposo , circulación colateral , hernia umbilical , sin datos de irritación peritoneal, no impresiona ascitis. • Genitourinario: con dificultad para inicio de micción, no se palpa globo vesical , sin dolor a palpación • Hematoinfeccioso: afebril, • Extremidades Inferiores: Edema duro, simétrico, sin godette, con hiperpigmentación bimaleolar, bilateral, presencia de ulcera de bordes irregulares, excavado, de fondo limpio
Laboratorios-Ingreso BH Leucos 6. 9 Neu 4. 4 Linf Hb 1. 6 PB 6/11/15 Glucosa 99 mg/dl Creat 0. 7 mg/dl BUN 14 mg/dl A. Úrico 4. 2 mg/dl 13. 9 g/dl Hct 43. 7% Tiempos de coagulación VCM 93. 2 fl Tiempo de protrombina(TP) 10. 9 HCM 29. 6 pg INR 1. 01 Plaquetas 191 Tiempo parcial Tromboplastina (TPT) 28. 4
Estudio de la Ulcera • Anamnesis • Examen físico • Estudios complementarios
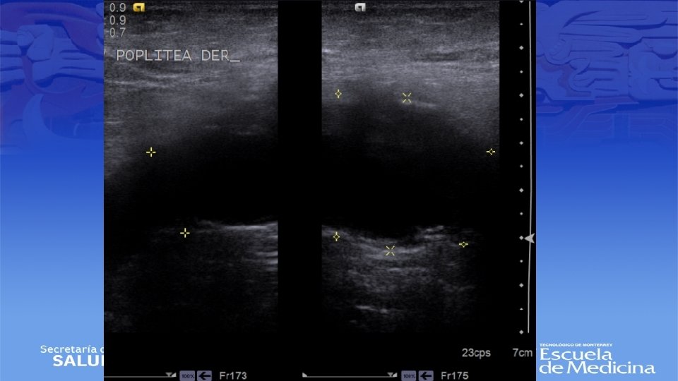
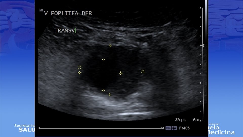
ECO Doppler
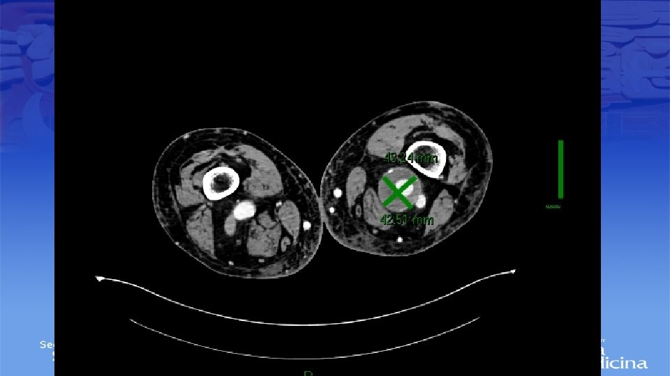
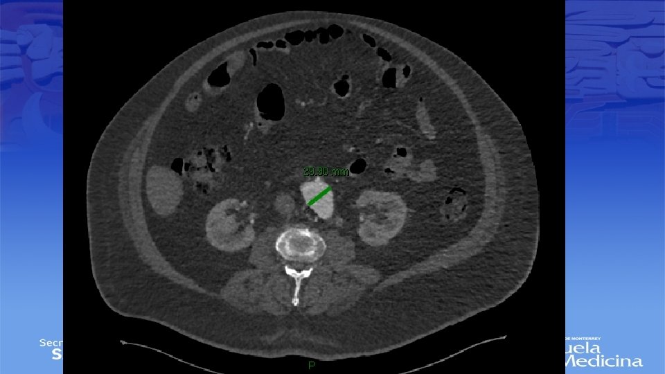
Angiotac
Impresión Diagnóstica • IDX: Aneurisma Poplíteo bilateral
Revisión Bibliográfica- Aneurisma Poplíteo • Es un hallazgo incidental • Pueden encontrarse solas o en conjunto con otros aneurismas • Normalmente asintomáticas • Síntomas isquémicos de Miembros inferiores
Condiciones Anatómicas • Continuidad de la arteria femoral superficial • Aneurismas verdaderos • Fusiformes o saculares
Condiciones Anatómicas
Patogénesis • Media y adventicia proveen la resistencia de la pared – Elastina – Colágeno – glicosaminoglicanos
Patogénesis • Formación del aneurisma – Inflamación – Inmunológico – Mecánica – Genética • Ateroesclerosis, Infecciones( Micóticas, Sífilis), trauma • Expansión y trombosis
Epidemiologia • Son mas frecuentes que los femorales pero menos frecuente que los abdominales • 1% de poplíteos y 4. 9% abdominales • Mas frecuente en hombres y a menor edad
Epidemiologia • Representa mas del 80% de los aneurismas periféricos • El segundo aneurisma en frecuencia solo después del aneurisma de aorta abdominal
Factores de Riesgo • • • Tabaquismo HAS Hombres Edad avanzada Arteriomegalia
Presentación Clínica • Asintomáticos: – 30 -40% asintomáticos – Hallazgo incidental • Sintomáticos – 60 – 70% – Tromboembolismo, efecto de masa, ruptura
Presentación Clínica • Isquemia crónica: – claudicación – Estenosis – Oclusión por formación de trombos – Embolización ( “blue toe síndrome”)
Presentación Clínica • Isquemia Aguda: – Trombosis abrupta que compromete la viabilidad de la extremidad – Amputación sucede en el 20 -60% de los pacientes
Presentación Clínica • Ruptura – Sucede en menos del 5% de los pacientes – Se contienen en el espacio poplíteo – Muy doloroso
Presentación Clínica • Síntomas compresivos locales – Muy infrecuentes suceden en aneurismas mayores de 3 cm – Sensación de opresión por detrás de la rodilla – Alteraciones sensitivas y o motoras (Nervio ciático, tibial, o peroneal) – Compresión de las venas poplíteas dando sintomatología de insuficiencia venosa
Diagnostico • Ultrasonido Doppler, Angiotac, angioresonancia • Arteriografía es mas apropiada para sintomatología aguda
Tamizaje • Aneurisma poplíteo único tiene un riesgo de presentar aneurisma abdominal en 40% de los casos • Aneurisma Bilateral hasta en un 70% de los casos • Guías Clínicas – Masculinos con tabaquismo + en edades de 65 -75 años – Femeninas con antecedentes familiares de aneurismas
Tratamiento • Quirúrgico o conservador • Rol de la terapia antitrombotica y trombolisis – Heparina intravenosa: trombosis o embolización distal, isquemia crónica que compromete el miembro inferior – Trombolisis: Debatible ya que lisar un trombo puede hacer que fragmentos mas pequeños obstruyan mayor cantidad de vasos distales – Warfarina: En candidatos no quirúrgicos o post trombolisis – Antiplaquetarios: no hay estudios en aneurismas pero potencialmente útil
Abordaje
Indicaciones quirúrgicas • Sintomáticas (60 – 74% presentan síntomas) – Isquemia aguda de extremidad, independientemente del tamaño. • Asintomáticas – Aneurismas mayores a 2 cm de diámetro • Relativas • Aneurismas menores de 2 cm asintomaticos con trombosis asociada • Se prefiere cirugía convencional a cirugía endovascular
Cirugía de emergencia • Establecer viabilidad de la extremidad (buscar deficiencia motora o sensitiva) • Sin daño se inicia anticoagulación sistémica y se realiza angiografía en busca de algún vaso viable para bypass. • Si no se encuentran se realiza trombolisis dirigida • Si se encuentra daño el bypass sigue siendo el mejor tratamiento • Si no hay vaso viable se realizara trombectomía tibial
Cirugía endovascular • Para pacientes con alto riesgo quirúrgico • Deben de tener al menos 2 cm de arteria proximal y distal sin patología para anclar la endoprótesis • Se repite la angiografía durante el procedimiento para selección de la endoprótesis correcta • Debe de ser 10 a 15% mas grande que el diámetro del vaso
Resultados • Pacientes asintomáticos: permeabilidad a 5 años 85% y conservación de extremidad 95% • Pacientes sintomáticos: permeabilidad a 5 años 60% y conservación de extremidad 70% • Terapia endovascular a las 12 meses la permeabilidad se encuentra entre 75 – 100%. A 36 meses 80 – 85%.