CASO CLINICO Volpe Jos Ignacio Motivo de consulta


























- Slides: 26
CASO CLINICO Volpe , José Ignacio
Motivo de consulta § Control de imagen nodular en pulmón § Asintomático § Ex tbq hace 15 años, fumo 30 paq/año § No presentaba otros antecedentes
Alguien puede describir las imágenes? ?
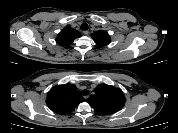
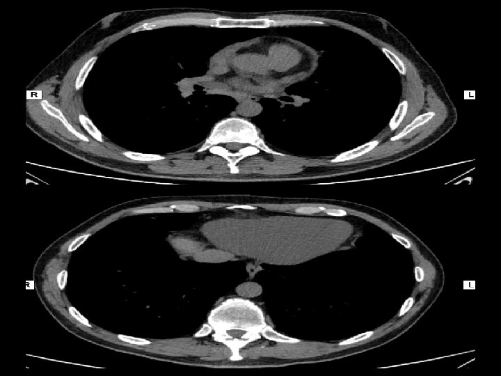
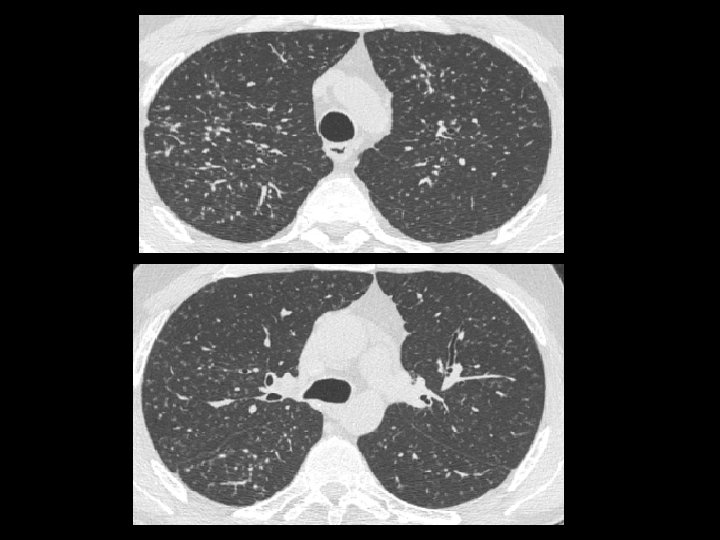
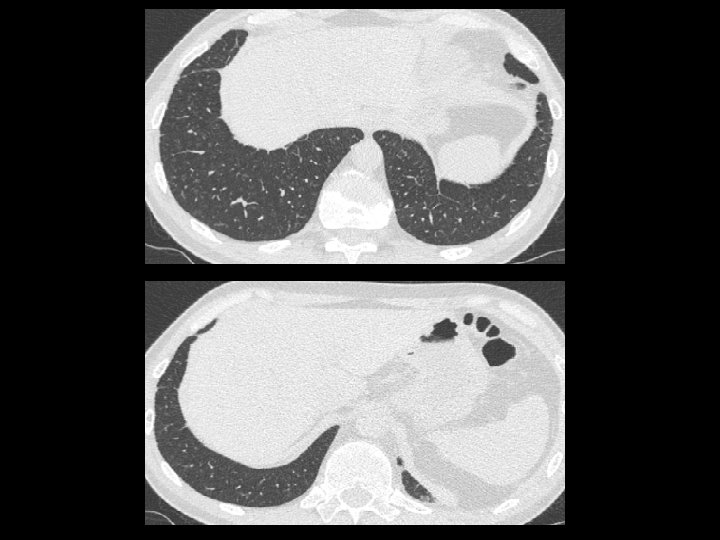
En ambos hemitórax se observan múltiples imágenes nodulillares de escasos milímetros de distribución difusa, predominando en los lóbulos superiores, de localización aleatoria En topografía del LM se observan aisladas prominencias bronquiales con sutiles cambios inflamatorios peribronquiales sin evidencia de consolidación. Pequeñas imágenes ganglionares a nivel supraclavicular en rango no adenopático. En topografía del espacio paratraqueal derecho y espacio subcarinal así como también a nivel hiliar bilateral se observan pequeñas imágenes ganglionares algunas con calcificaciones en su superficie de corte. Derrame pericárdico.
Le harían alguna otra pregunta que ayude al diagnóstico?
Profesión: mecánico dental
Diagnósticos?
Diagnósticos diferenciales ? ? ? § Sarcoidosis § Beriliosis § Histiocitosis de células de Langerhans
BERILIOSIS
BERILIOSIS § La beriliosis es causada por inhalación u otra exposición (como por medio de una herida abierta de la piel) al polvo o gases de berilio. § El berilio es un elemento metálico que se encuentra en las rocas, el carbón, el suelo y el polvo volcánico. Se utiliza en ciertas industrias.
USOS Y EXPOSICION § Industria aeroespacial § Industria electrónica § Industria de fibra óptica § Minería § Armas y reactores nucleares § Tecnologías de laboratorio § Preparación de aleaciones dentales § Metales chatarra § Fabricación de: § § Espejos Palos de golf Microondas Cuadros de bicicleta
CLINICA Puede ser aguda o crónica § § § AGUDA aparecen súbita y rápidamente. Los principales síntomas se deben a una inflamación pulmonar grave. Estos síntomas incluyen: Tos, posiblemente hemoptisis Angor disnea Pérdida de peso CRONICA se desarrollan lentamente. Algunas veces, los síntomas pueden no aparecer hasta muchos años después de la exposición al berilio. Los síntomas de beriliosis crónica pueden incluir: Tos seca Pérdida de peso Fatiga Angor Disnea
Forma crónica Caracteristicas radiológicas • • Linfoadenopatías hiliares bilaterales opacidades reticulonodulillares difusas en lóbulos medios y superiores
Adenopatías hiliares opacidades nodulares difusas con nódulos más grandes en las zonas pulmonares superiores
Imágenes características en tc: • Pequeños nódulos parenquimatosos distribuidos predominantemente en región peribroncovascular o en septos interlobulillares ( + frec ) • Engrosamiento septal interlobulillar(50%) • Adenopatías mediastinales (39%) • Engrosamiento paredes bronquiales (46%) • Opacidades en vidrio esmerilado (32%) • Patrón en panal de abeja (7%)
Linfoadenopatía hiliar Adenopatía mediastínica
Pequeños nódulos peribroncovasculares y a lo largo de los septos interlobulares con una distribución perilinfática
Nódulos centrolobulillares y perilinfáticos Vidrio esmerilado
Opacidades nodulares, bronquiolectasias nódulos subpleurales
Muchas gracias!!!!!