CASO CLINICO M A PELAGATTI ASMA M G

















- Slides: 17
CASO CLINICO M. A. PELAGATTI
ASMA • M. G. , 9 anni, femmina, secondogenita, nata a termine da parto eutocico da genitori non consanguinei. • All’anamnesi patologica remota si evidenzia allergia alla Parietaria con sintomatologia asmatica. L’ ultimo episodio di asma viene riferito all’età di 3 aa. Da allora i genitori riferiscono benessere.
All’anamnesi patologica prossima risulta che dalla sera precedente la paziente ha presentato iperpiressia e nella notte comparsa di dispnea ingravescente per cui si è reso necessario l’accesso in PS. All’ingresso in PS la paziente presentava: • Condizioni generali mediocri • Pallore cutaneo • Temperatura ascellare: 36. 4°C • Faringe lievemente iperemico, membrane timpaniche indenni • Addome piano, trattabile, non dolente né dolorabile. Non visceromegalie • Peso Kg: 37.
• Si rilevava tachidispnea con evidenti • • rientramenti al giugulo ed intercostali; al torace suono chiaro polmonare su tutto l’ambito. All’auscultazione: diminuzione della trasmissione del respiro con fischi, sibili e gemiti su tutto l’ambito. Veniva misurata la Saturazione di O 2 in aria che risultava 85%; in O 2 terapia (O 2 5 L/min) si determinava un significativo miglioramento della saturazione raggiungendo il 98%
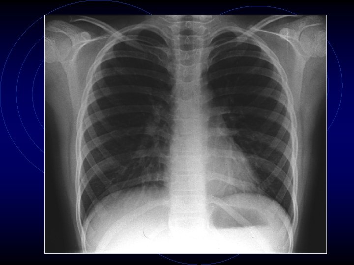
• Le indagini ematochimiche evidenziavano una modesta leucocitosi neutrofila (GB: 13340, N: 89, 3%) con PCR nei limiti della norma (< 0, 46 mg/dl) così come transaminasi, ionogramma, glicemia, azotemia, creatininemia, elettroforesi delle proteine • Veniva quindi eseguita radiografia del torace che dimostrava una modesta iperespansione dei campi polmonari bilateralmente con accentuazione del disegno polmonare
• Veniva quindi stabilizzata la paziente con O 2 terapia in continuo ed avviata terapia reidratante ed antibiotico terapia di copertura. • In considerazione della grave broncoostruzione è stata iniziata terapia cortisonica (Solu. Medrol 40 mg e. v. ) ed aerosolica con salbutamolo.
• In considerazione del lento miglioramento veniva associato alla terapia anche Ipratroprio Bromuro; nonostante il miglioramento della saturazione di O 2 persisteva quadro di grave broncostruzione. In terza giornata si assisteva ad un peggioramento della dispnea e desaturazione nonostante O 2 terapia.
• Veniva quindi intrapresa terapia con teofillina per via endovenosa che determinava graduale miglioramento della funzione respiratoria. Solo in quinta giornata si verificava un lento miglioramento delle condizioni cliniche. La paziente entrava in fase di convalescenza dal settimo giorno
• Sierologicamente veniva confermato il sospetto diagnostico di infezione da Mycoplasma; infatti la titolazione ha evidenziato il valore di 1: 160. • Al successivo controllo si evidenziava un ulteriore aumento del titolo
• Il caso presenta un peculiare interesse per il rapporto tra Mycoplasma e asma. In questo caso la difficoltà diagnostica sulla possibile etiologia da Mycoplasma era legata al fatto che era preesistente una patologia asmatica e soprattutto perché il quadro radiologico era poco significativo, anche se la patologia da Mycoplasma tende a presentarsi con quadri radiologici polimorfi.
• La letteratura internazionale sottolinea la stretta correlazione tra infezione da batteri atipici e riacutizzazione asmatica (Pediatr Pulmonol. 2003 Feb; 35 (2): 75 -82) • Numerose segnalazioni evidenziano il ruolo di attivazione svolto da questi agenti sulla iperreattività bronchiale e sul pattern citochinico (Am J Respir Cell Mol. Biol. 2001 May; 24 (5): 577 -82 - Chest. 2002 Jun; 121 (6): 1782 -8) • La presenza di micoplasma è frequentemente associata a ricovero per riacutizzazione di asma (Am J Respir Crit Care Med 2003 Feb 1; 167 (3): 406 -10)
• In questo caso non è mai stato evidenziata anemia, problema che deve essere sempre tenuto in considerazione in presenza di infezione da Mycoplasma. L’associazione con 2 antibiotici trova giustificazione per la gravità del quadro clinico. • L’infezione da Mycoplasma pneumoniae può dare manifestazioni cliniche gravi, sia respiratorie che ematologiche, senza necessariamente essere comprovata da evidenza radiologica.
• E’ sempre da tenere in attenta considerazione l’anemizzazione acuta da agglutinine a frigore, evenienza drammatica talora gravata da esiti anche fatali. • La risposta alla terapia mirata è tanto più efficace quanto più precoce è l’inizio del trattamento; a questo proposito è utile sottolineare che, in urgenza, è giustificato l’uso di terapia antibiotica con ampicillina protetta o cefalosporina in associazione a macrolide ancor prima di essere in possesso di eventuale riscontro sierologico di infezione da Mycoplasma.
• La riacutizzazione di sintomi asmatici, specie se accompagnati da corteo sintomatologico infettivo, deve far sospettare, anche al di sotto dei 5 anni, la presenza di Mycoplasma pn. ; la terapia, di conseguenza, deve essere volta sia al supporto della funzione compromessa, che all’eradicazione dell’agente infettivo con prevenzione delle complicanze gravi.