CASO CLINICO Dra Logrado Flavia Seccin Obstructivas L
CASO CLINICO Dra Logrado Flavia Sección Obstructivas
L. A Femenina 68 años Antecedentes: Asma en la infancia Enfermedad Aórtica Insuficiencia Cardíaca TBQ de 22 p/y
Síntomas: Disnea m. MRC grado 2 Tos a predominio matutino Expectoración mucosa matutina
Exámen físico: Buena mecánica ventilatoria Murmullo vesicular conservado Sin ruidos agregados Saturación al AA: 96%
PRIMER PLANTEO Presenta Asma? Presenta EPOC? Presenta ambas?
EFR
ESPIROMETRÍA Pre BD Post. BD CVF 2. 00 (96%) 2. 15 (103%) VEF 1 1. 19 (69%) 1. 42 (82. 3%) VEF 1/CVF 59. 5 66. 5
Se inició cesación tabáquica Se indicó GCI + LABA
LABORATORIO
Hemograma dentro de parámetros normales Fórmula Ig. E : 347 Resto s/p conservada
ECOCARDIOGRAMA
Y AHORA? ? ? Antecedente de asma EFR con rta a BD > a 200 ml y < a 400 ml Ig. E elevada TBQ actual Disnea + Tos + expectoración Asma vs EPOC vs ambas
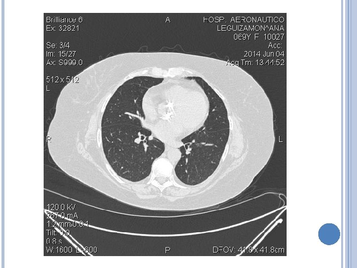
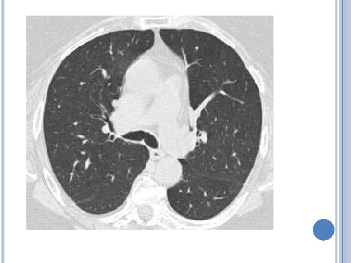
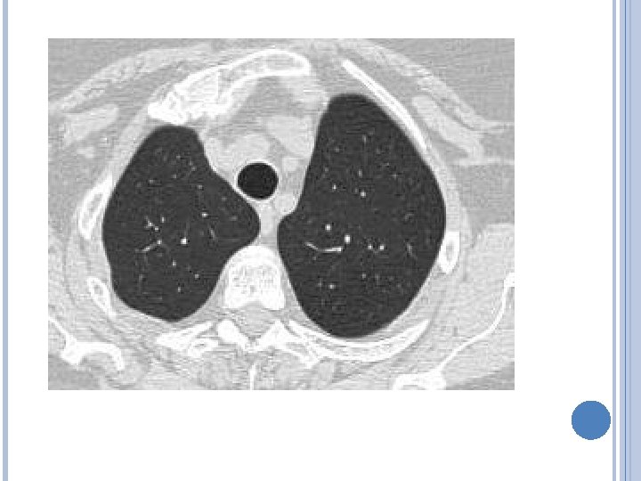
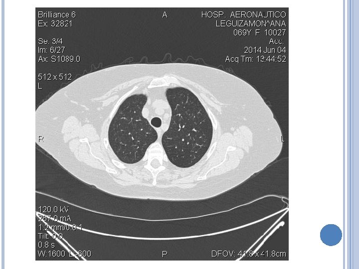
IMAGENES
EVOLUCIÓN Continúa sintomática En cesación tabáquica Utiliza adecuadamente el dispositivo indicado …. .
Se agrega Montelukast 10 mg/día Se deciden completar estudios
EFR COMPLETO
EFR CVF 1. 70 (70%) 1. 90 (78%) VEF 1 1, 05 (56%) 1. 25 (66%) VEF 1/CVF 62 66
Volúmenes Pulmonares VC 2. 02 (83%) IC 1. 72 (107%) ERV 0. 31 (39%) RV 1. 80 (91%) TLC 3. 82 (85%) RV/TLC 47
EFR Volúmenes Pulmonares CVF 1. 70 (70%) 1. 90 (78%) VEF 1 1, 05 (56%) 1. 25 (66%) VEF 1/CVF 62 66 VC 2. 02 (83%) IC 1. 72 (107%) ERV 0. 31 (39%) RV 1. 80 (91%) TLC 3. 82 (85%) RV/TLC 47 Test marcha 6’ Dist recorrida 380 mts Sat inicial 96% Sat final 94% Borg Inicial 0 Borg final 3 DLCO 15. 5 (81%) DLCO/VA 5. 2 (117%)
FUNCIONAL RESPIRATORIO Ago 2011 Pre. BD Ago 2011 Post DB Dic 2013 Pre. BD Dic 2013 Post. BD Ago 2014 Pre. BD Ago 2014 Post. BD CVF 1. 38 (63, 5) 1. 58 (72. 9) 2. 00 (96) 2. 15 (103. 2) 1. 70 (70) 1. 90 (78) VEF 1 0. 75 (42) 0. 90 (50. 1) 1. 19 (69) 1. 42 (82. 3) 1. 05 (56) 1. 25 (66) VEF 1/CV F 54. 6 56. 9 59. 5 66. 5 62 66 VC 2. 02 (83) IC 1. 72 (107) ERV 0. 31 (39) RV 1. 80 (91) TLC 3. 82 (85) RV/TLC 47 DLCO 15. 5 (81) DLCO/VA 5. 20 (117) Dist recorrida 380
NUEVA CONSULTA Persiste con síntomas Continúa sin fumar Se agrega LAMA ….
Que opinan ustedes? ? • Cuál es el diagnóstico para ustedes? • Le agregarían otro tratamiento? • Dada la persistencia sintomática indicarían Ac monoclonales anti Ig. E? • Harían otro estudio para tratar de confirmar el diagnóstico? • Le harían esputo inducido?
MUCHAS GRACIAS
- Slides: 30