Casito en 5 minutos 1 Mara Josefina Colombo
Casito en 5 minutos… #1 María Josefina Colombo
Varón de 17 años Poli trauma- accidente de transito hace 2 hs. HEMATOMA TORACICO ANTERIOR IZQUIERDO Y EN HEMICARA DERECHA. Ureterorragia
Ureterorragia = Trauma uretral? Estudio dirigido!
Extravasación del contraste con disrupción de la uretra membranosa posterior Compromiso parcial del diafragma urogenital.
Determinar sitio de disrupción/ruptura Compromiso vejiga? Ver: extravasación Fracturas de pelvis + frec hombres Tipo 3 injurias posterior 20% afectacion vejiga
TIPO 1 Estiramiento posterior de la uretra. Diastasis del pubis. TIPO 2 Ruptura de uretra posterior por debajo de diafragma (sin lesión)
TIPO 3 Ruptura uretra posterior y diafragma. extravasación por uretra membranosa. TIPO 4 Contraste extraperitoneal. Ruptura de vejiga. Hematoma perivesical Distasis de pubis
Conclusión Complicacion frecuente en trauma pelvico! 24 % en fx. Buscar trauma uretral y que tipo es? Conocer la anatomía y los métodos. Determinar grado de trauma y sus complicaciones.
Casito de 5 min… #2 • Varón de 28 años. • TEC con perdida de conocimiento por choque en Moto vs otra moto. • Hematoma bipalpebral, no impresiona lesión ocular, con movilidad y agudeza visual conservada.
Son fracturas/ espondilosisis? ? Busquemos falsos !!
Diagnósticos diferenciales? ? ? Núcleos de osificación 2 darios Hendiduras/grietas (Clefts) Núcleos de Schmorl Limbus vertebra Improntas vasculares Malformaciones Oseas Artificios
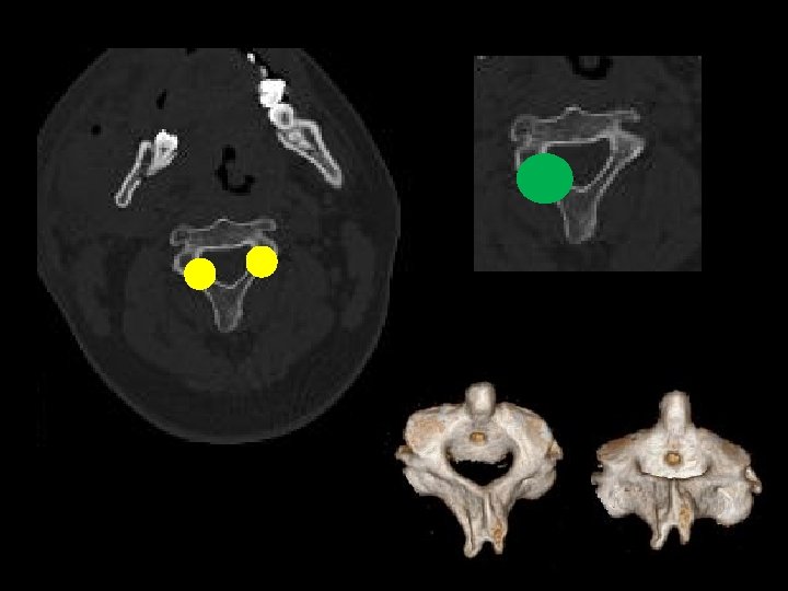
Ejemplos! Arco anterior bipartito Arco posterior fusión incompleta Fx vs no fx !!
Fracturas vs nucleos de osificacion secundarios Ver: bordes irregulares vs bordes esclerosos y lisos!!!
Sitios de hendiduras!
Gracias!!!!!
- Slides: 22