Case presentation DR AHMED KENSARAH History This is

  • Slides: 51
Download presentation
Case presentation DR. AHMED KENSARAH

Case presentation DR. AHMED KENSARAH

History This is a 60 year old Saudi lady. known case of • HTN

History This is a 60 year old Saudi lady. known case of • HTN • Hypothyroidism • RA C/O Left large ulcerating breast mass.

History of present illness • Lt breast lump 6 years ago • Ignored •

History of present illness • Lt breast lump 6 years ago • Ignored • in last 1 year. • • The mass increased in size Bloody nipple discharge Skin changes Fungating Ulcer

History • No Family history of breast cancer • No history of benign breast

History • No Family history of breast cancer • No history of benign breast disease or biopsy • No history of smoking.

History • Age of menarche: 14 • Age of menopause : 50 • She

History • Age of menarche: 14 • Age of menopause : 50 • She had her 1 st child birth at 30 years of age • No History of OCP

 • Systemic Review unremarkable • Past Surgical History Lateral anal sphincterotomy 2 years

• Systemic Review unremarkable • Past Surgical History Lateral anal sphincterotomy 2 years back • Allergies -ve • Medication – Thyroxin – Mobic – Capotin

Physical Examination Vital signs CVS Unremarkable Chest Abdomen

Physical Examination Vital signs CVS Unremarkable Chest Abdomen

Breast Examination • Right breast Normal with free axilla • Left breast Enlarged Red

Breast Examination • Right breast Normal with free axilla • Left breast Enlarged Red Edematous Fungated ulcer Bloody discharge

 • Left breast Firm Hot Tender Left arm swelling No axillary LN

• Left breast Firm Hot Tender Left arm swelling No axillary LN

Investigation Blood work: • • CBC U&E LFT Serum Calcium NORMAL

Investigation Blood work: • • CBC U&E LFT Serum Calcium NORMAL

Investigation Radiological • Mammogram – Left breast : was not done. – Right breast

Investigation Radiological • Mammogram – Left breast : was not done. – Right breast : Benign prominent ducts.

Investigation Ultrasound : • Left : – Whole Left breast parenchyma was involved –

Investigation Ultrasound : • Left : – Whole Left breast parenchyma was involved – single hypoechoic L. N in the Left axilla measuring 1. 8 cm. • Right: – Normal appreaing parenchyma. – Multiple small L. N in the Right axilla.

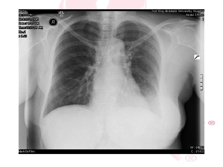
CHEST X-RAY

CHEST X-RAY

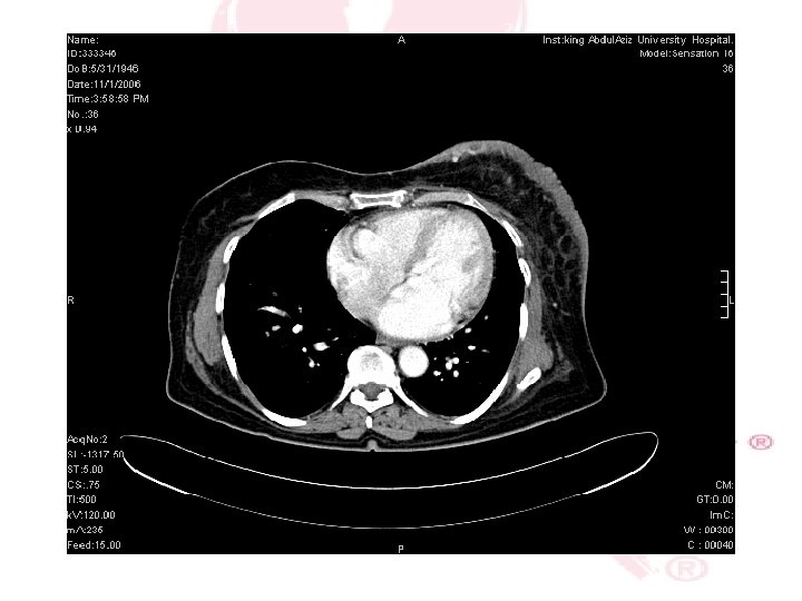
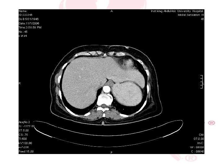
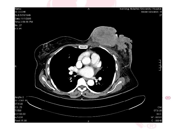
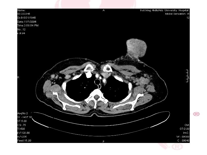
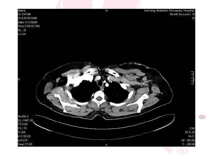
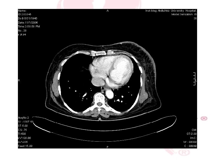
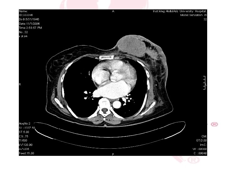
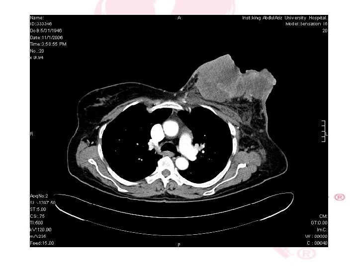
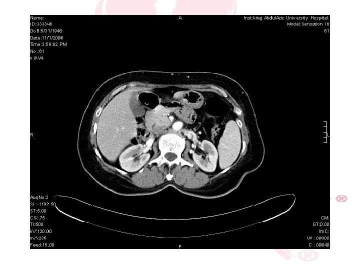
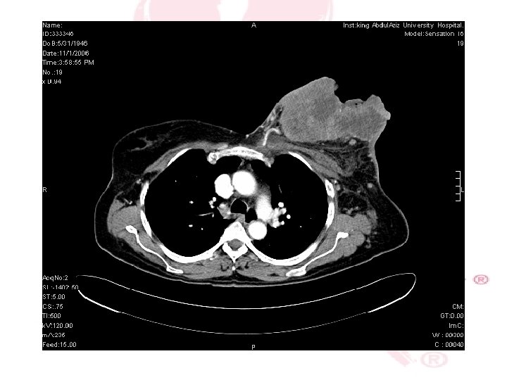
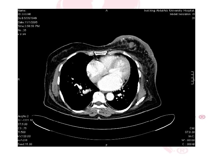
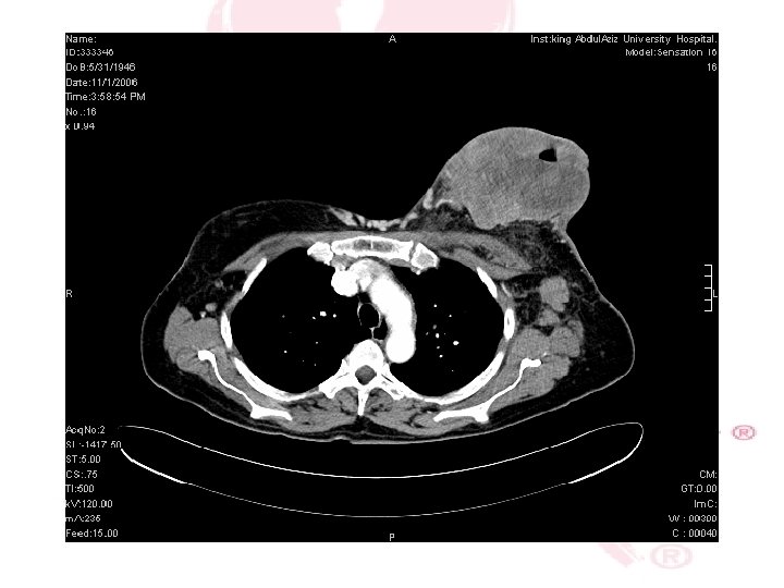
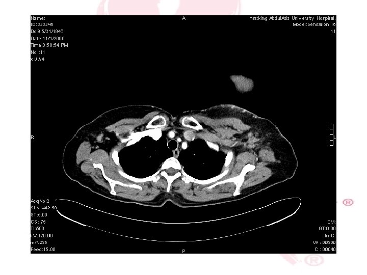
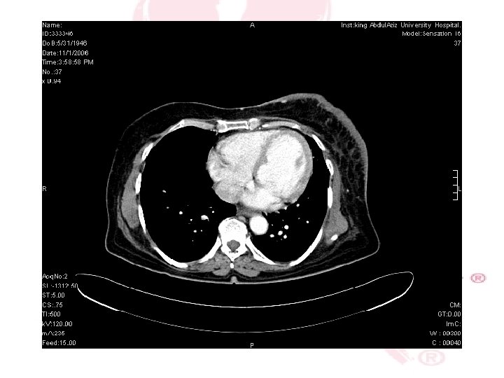
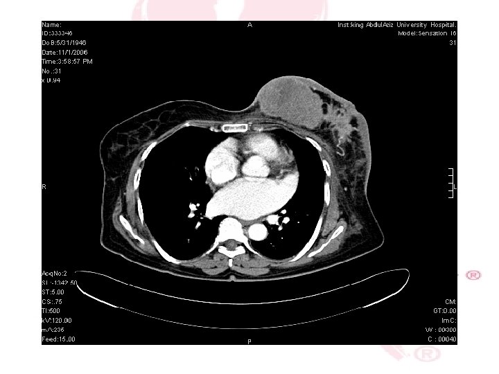
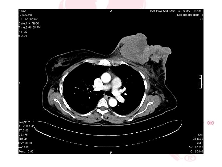
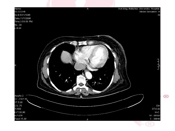
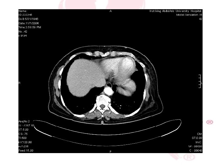
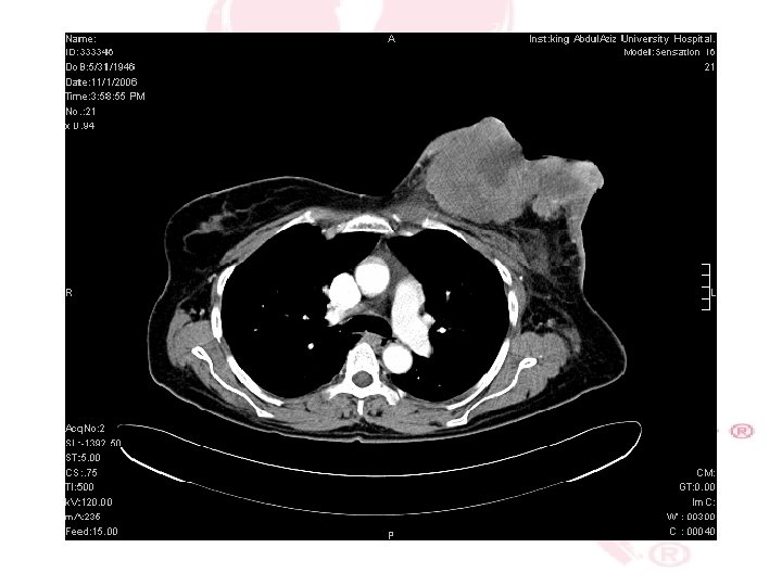
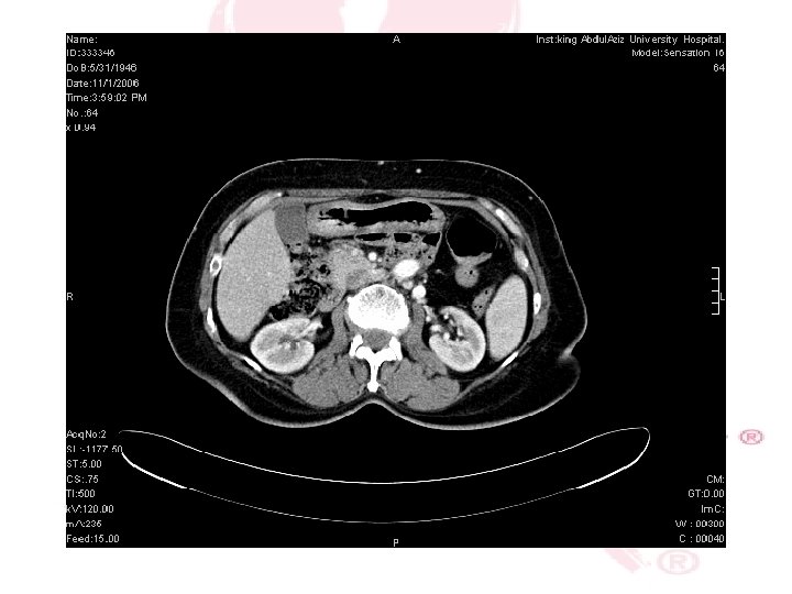
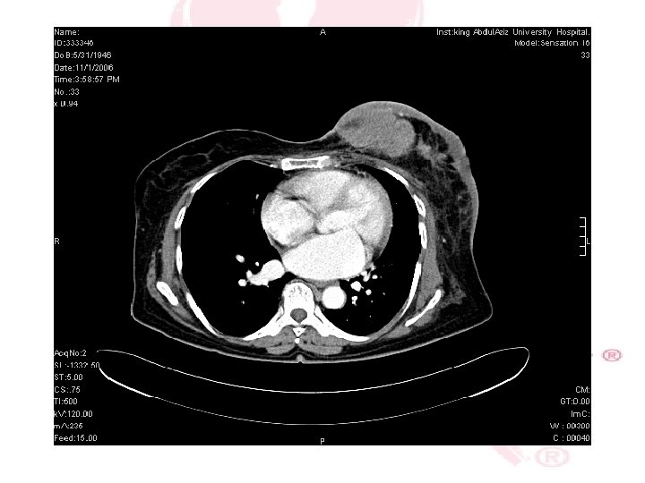
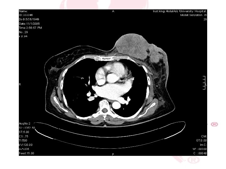
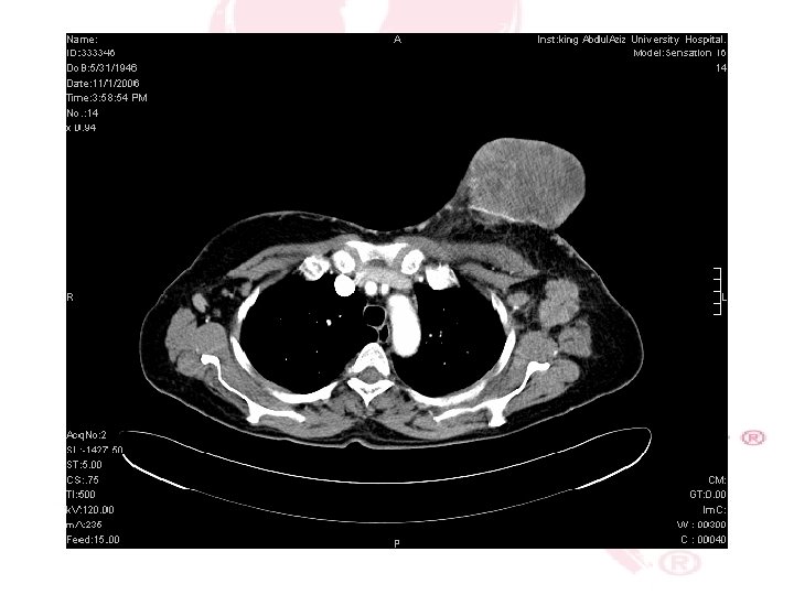
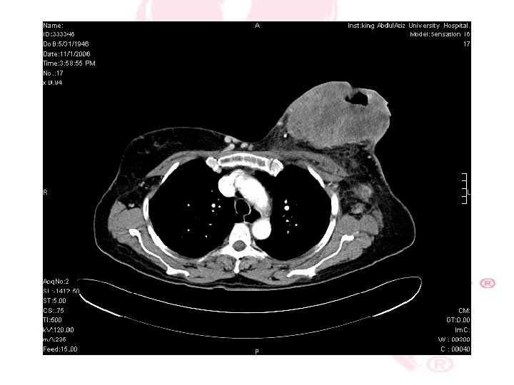
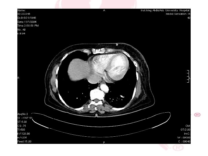
CT SCAN CHEST , ABDOMEN &PELVIS

CT SCAN CHEST , ABDOMEN &PELVIS

Bone scan

Bone scan

Histopathology True cut Biposy Invasive Ductal Carcinoma ER/PR Status : +ve HER 2 score

Histopathology True cut Biposy Invasive Ductal Carcinoma ER/PR Status : +ve HER 2 score : +1

Diagnosis Invasive Ductal Carcinoma. Stage 3 Locally advanced Breast Cancer.

Diagnosis Invasive Ductal Carcinoma. Stage 3 Locally advanced Breast Cancer.

mangement referred to the Oncology. Started on the AC Regimen ( Adriamicin, Cyclophosphamide) 4

mangement referred to the Oncology. Started on the AC Regimen ( Adriamicin, Cyclophosphamide) 4 cyles, once every 3 weeks. It will be followed by the taxanes for 4 cyles.

mangement Down staging of the tumor for operation. MRM with axillary L. N dissection.

mangement Down staging of the tumor for operation. MRM with axillary L. N dissection. Plastic surgery Referral for possible Pectoralis Muscle flap.