Case 4 Unstable pertrochanteric fracture and augmentation AOTrauma
Case 4 Unstable pertrochanteric fracture and augmentation AOTrauma Course Fragility Fractures and Orthogeriatrics
Case description • 82 -year-old woman • Stumbled on carpet at home • Has lived alone there for 2 months following the death of her husband • Was mobile with walker • Parker-Score of 5, ADL Barthel 75 pts, in an older chart a Mini. Mental-Score of 23 is mentioned
Medical history • • Heart failure Hypertension Dementia Coronary heart disease Hypoacusis Macular degeneration Gastroesophageal reflux
Medication • • • Lansoprazol Lisinopril Nicorandil Furosemid Oxazepam Aspirin Potassium chloride Zolpidem Mirtazapin
Preoperative examinations • • • X-rays Thoracic X-ray ECG Lab Seen by internal specialist • Intermediate risk • Seen by anesthesiologist • ASA III
What’s next? • • DHS PFN(a) Blade plate. . . ? ? ?
Treatment • Cleared for surgery within 8 hours • PFNA • General anesthesia
Typical distribution of contrast fluid Note: no contrast dye within the hip joint
3 months later • Back home after 4 weeks rehabilitation • Mobile with walker alone • Better mood
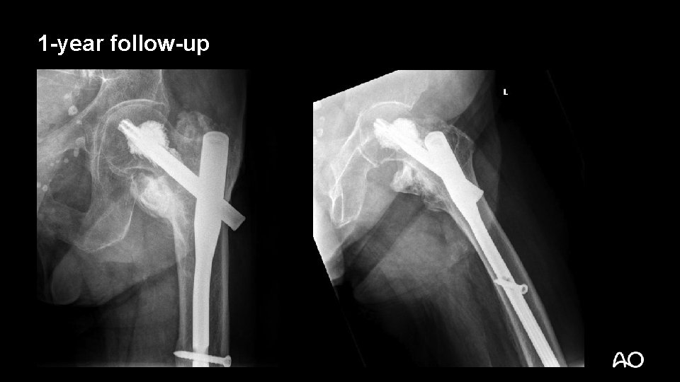
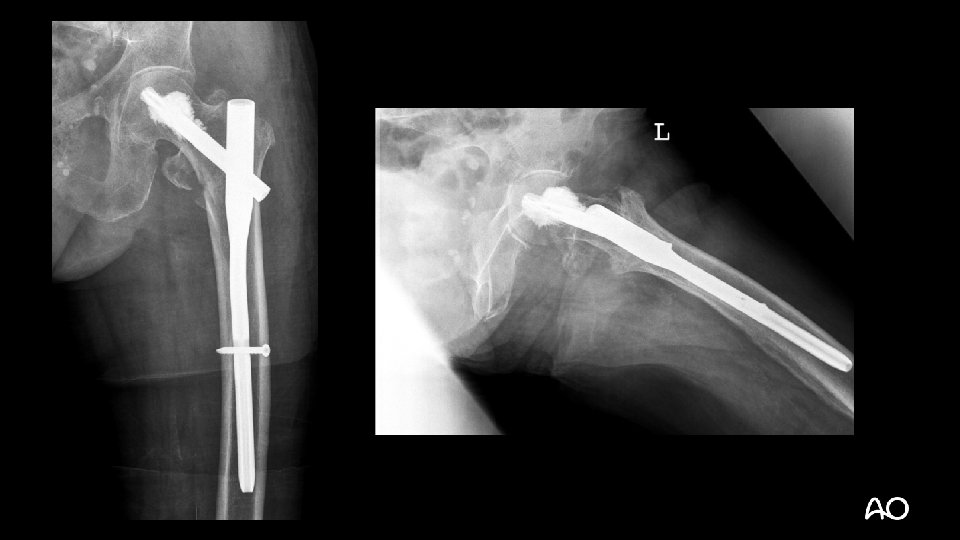
1 -year follow-up
Take-home messages • Standardized augmentation is an option in unstable hip fractures • Comorbidities and assessment of functional status are essential to avoid peri- and postoperative complications (eg, delirium) • Preoperative tests have to be used appropriately and after individual decisions
Thank you Return to list of cases
- Slides: 14