CASE 1 Class I Extraction in permanent dentition

  • Slides: 37
Download presentation
CASE 1 Class I Extraction in permanent dentition

CASE 1 Class I Extraction in permanent dentition

Medical and Dental History • N-S • Onset of menarchy : 6 mo ago

Medical and Dental History • N-S • Onset of menarchy : 6 mo ago

Initial Facial Photographs

Initial Facial Photographs

Initial Intra-oral Photographs

Initial Intra-oral Photographs

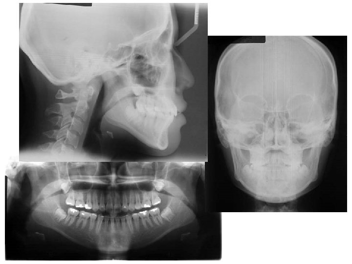
Initial Panoramic Radiograph

Initial Panoramic Radiograph

Initial PA Cephalogram Mx width Mn width Difference ANS-Me 68 mm 90 mm 22

Initial PA Cephalogram Mx width Mn width Difference ANS-Me 68 mm 90 mm 22 mm 0º

Initial Lateral Cephalogram

Initial Lateral Cephalogram

Problem List 1. 2. 3. 4. Lip fullness Proclined Upper and Lower incisors Shallow

Problem List 1. 2. 3. 4. Lip fullness Proclined Upper and Lower incisors Shallow Over bite Crowding ↑ 9. 5 mm ↓ 3. 5 mm

Treatment Plan 1. 2. 3. 4. 5. 6. 7. Banding & bonding 4’s extraction

Treatment Plan 1. 2. 3. 4. 5. 6. 7. Banding & bonding 4’s extraction Alignment & leveling w/o U 3’s partial retraction Space closure Finish & debonding Retention ↑Hawley, ↓L-bonded

Treatment Progress

Treatment Progress

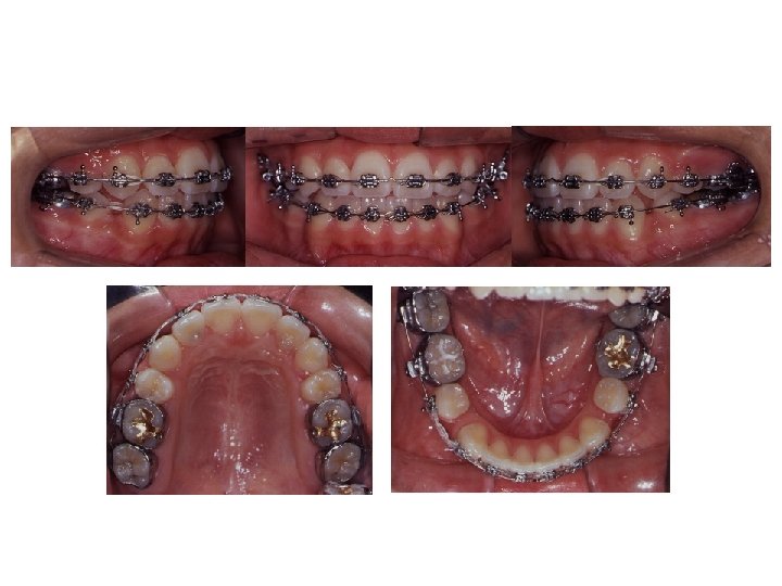
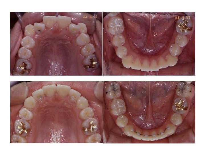
Final Intra-oral Photographs

Final Intra-oral Photographs

Final Facial Photographs

Final Facial Photographs

Facial Changes

Facial Changes

Dental Changes

Dental Changes

Panoramic Changes

Panoramic Changes

Lateral Cephalometric Changes

Lateral Cephalometric Changes

Changes in Lateral Ceph Measurements Pre-treatment Post-treatment SNA SNB ANB Wits U 1 to

Changes in Lateral Ceph Measurements Pre-treatment Post-treatment SNA SNB ANB Wits U 1 to NA L 1 to NB Go. Gn. Sn FMA IMPA UL LL 81º 78. 5 º 2. 5 º -4 mm 7 mm/35 º 8. 5 mm/33 º 38. 5 º 31 º 96 º 0 mm 3. 5 mm 81º 79. 5 º 1. 5 º -5 mm 6 mm/25. 5 º 6 mm/28 º 39 º 31 º 90 º -1 mm 3 mm

Overall Face Superimposition A-B

Overall Face Superimposition A-B

Maxillary Superimposition A-B

Maxillary Superimposition A-B

Mandibular Superimposition A-B

Mandibular Superimposition A-B

Superimposition A-B

Superimposition A-B

2 years in retention

2 years in retention

Overall Face Superimposition B-R

Overall Face Superimposition B-R

CASE 2 Class II Division 1 Malocclusion

CASE 2 Class II Division 1 Malocclusion

CASE 3 Deep Overbite Malocclusion

CASE 3 Deep Overbite Malocclusion

CASE 4 Class III Malocclusion

CASE 4 Class III Malocclusion

CASE 5 Optional Case

CASE 5 Optional Case