Cas clinique interactif Enseignement smiologie P 2 Madame
















- Slides: 16
Cas clinique interactif Enseignement sémiologie P 2
Madame P. n 38 ans n Est adressée aux urgences pour dyspnée aigue n 39°c n Le médecin traitant ne vous donne aucun autre renseignement dans son courrier. n Quelle est votre démarche clinique? n
1. 2. 3. 4. 5. 6. 7. Interrogatoire Examen physique Formulation d’hypothèses diagnostiques Examens complémentaires permettant de discriminer les hypothèses les unes des autres Conclusion Mise en route du traitement adapté au diagnostic retenu Evaluation de l’efficacité du traitement introduit
Comment menez vous votre interrogatoire? 1. 2. 3. 4. 5. 6. 7. Motif de consultation Antécédents personnels (dont gynécologiques) et familiaux Addictions (tabac, alcool, autres drogues) Notions de voyage Profession Traitements en cours Histoire de la maladie
Antécédents n n n Phlébite il y a 2 ans 1 Fausse couche Tabac 30 PA (débuté à l’âge de 16 ans sevré depuis 3 mois) Ethylisme chronique (1 bouteille de vin par jour) Pas de voyage Pilule oestro-progestative
Comment reconstituer l’HDLM n - Définir la dyspnée: Date de survenue: aiguë/chronique Rythme: intermittent/ permanente Horaire: tôt le matin/ nuit Mode d’apparition: brutale/ progressive Temps: inspiratoire/expiratoire Intensité: au repos Y a-t-il des signes d’accompagnement ?
Le patient décrit: Une dyspnée de survenue brutale, la veille au soir n Avec une fièvre élevée et des frissons n Douleur basithoracique droite d’apparition brutale n Une toux avec des expectorations purulentes « rouillées » apparues ce matin n
Décrivez les temps principaux de votre examen clinique Recherche de signes de gravité: n Neurologiques: score de glasgow n Cardiovasculaires: marbrures, TA<8/5, FC>120/min. n Respiratoires: FR>30, signes de lutte, signes d’épuisement, signes d’hypercapnie 2. Examen respiratoire en 4 temps: n Inspection n Palpation des vibrations vocales n Percussion n Auscultation 3. Examen cardiovasculaire: n Auscultation n Recherche de signes d’insuffisance cardiaque droite n Recherche de signes de phlébite 1. 4. Reste de l’examen clinique complet
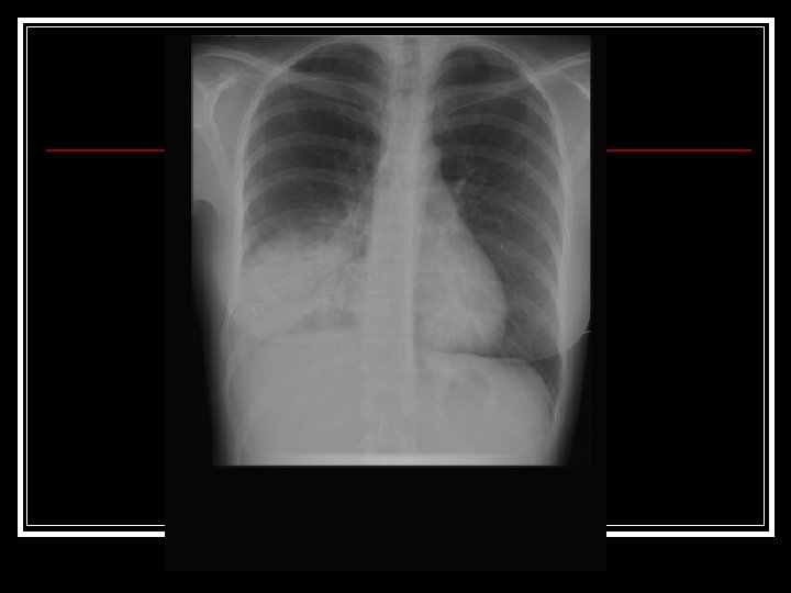
A l’examen physique, on retrouve: n n n n Absence de signes de gravité Majoration des vibrations vocales en base droite Matité en base droite Souffle tubaire en base droite Entouré d’un foyer de crépitants BDC réguliers, sans souffle Absence de signe d’insuffisance cardiaque droite Absence de signe de phlébite
Définissez les râles crépitants Bruits fins, secs, superficiels n Éclatants en bouffée n En fin d’inspiration n
Définissez le souffle tubaire Bruit glottique transmis sans altération de son timbre à la paroi n Maximum d’intensité à l’inspiration n Rude, de tonalité élevée n Comparé au bruit fait lorsque l’on souffle dans un tuyau de bois n Traduit une condensation du parenchyme pulmonaire n
Hypothèses diagnostiques? n Pneumopathie infectieuse de la base pulmonaire droite (le plus probable) n - Diagnostiques différentiels devant une dyspnée aigue: Exacerbation aigue de BPCO Syndrome de Détresse Respiratoire Aigue Embolie pulmonaire (possible) Œdème aigu pulmonaire (contexte clinique non correspondant) Epanchement pleural abondant (contexte clinique non correspondant) Pneumothorax (contexte clinique non correspondant)
Dans ce contexte vous devez demander les examens complémentaires suivants: Bilan biologique: NF, PCR, PCT, Iono sanguin, urée, créatininémie, bilan hépatique n Gazométrie artérielle n ECG n Radiographie de thorax n