Cas clinique COREVIH de Caen Femme de 36






















- Slides: 22
Cas clinique COREVIH de Caen
Femme de 36 ans • Consultation début avril 2011 • ATCD – Côte d’Ivoire – En France depuis mars 2011 – Veuve sans enfant, vit chez sa sœur – Fièvre typhoïde en 2009 • Fièvre, amaigrissement, arthralgies, dyspnée et toux • Séropositivité VIH 1
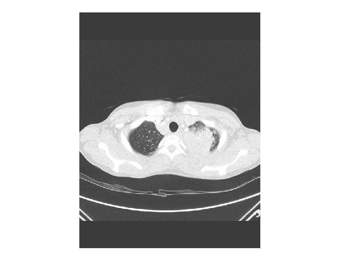
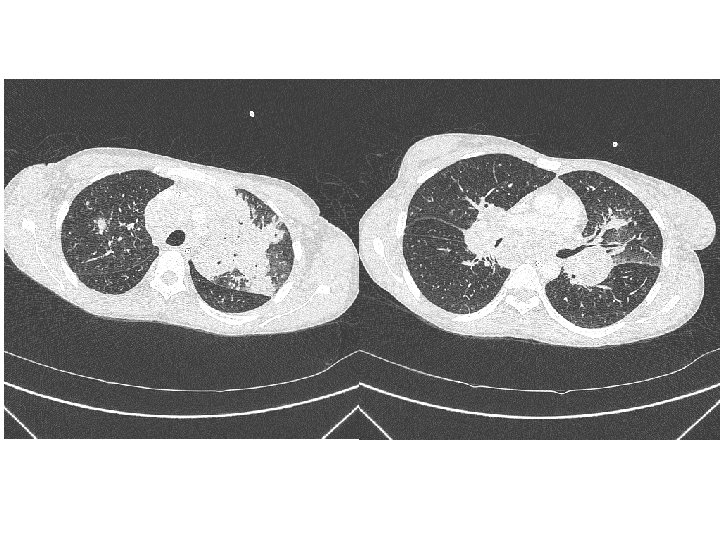
• Hospitalisation à Alençon • Examen physique peu contributif, petites adénopathies cervicales • Radiographie thoracique: pneumonie alvéolointerstitielle du sommet gauche • Hb= 6, 8 g/dl, GB= 4160/mm 3 (L=540/mm 3) • Lymphocytes CD 4= 45/mm 3 • ARN VIH= 494 340/mm 3 • Absence de mutation de résistance • BK crachats: BAAR (M. tuberculosis)
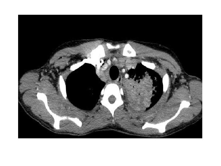
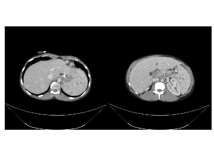
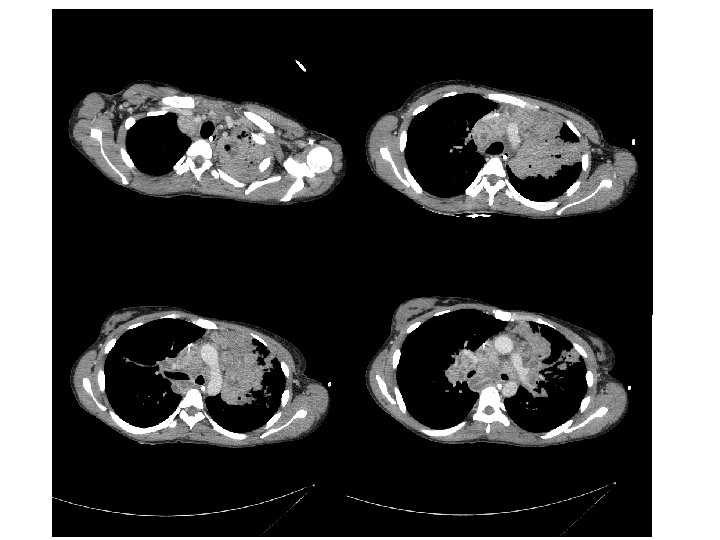
• Traitement de la tuberculose pulmonaire – Quadrithérapie débutée le 07 mai 2011 • Traitement de l’infection par le VIH – Truvada® Sustiva® le 19 mai 2011 (J 12) • Le 24 mai 2011 – Persistance de la fièvre (T=39 -41°C) – Scanner thoraco-abdomino-pelvien • Syndrome de masse ganglionnaire hilaire bilatéral sous carénaire, loge de Barety, latéro-trachéal et médiastinal • Foyer de condensation pulmonaire gauche • Transfert au CHU le 27 mai 2011
• • • • Hémocultures stériles ECBU stérile Antigène soluble de Cryptococcus négatif Sérologie des candidoses négative Antigénémie et sérologie aspergillaire négatives Sérologie histoplasmose négative Ag Hbs négatif, Ac HBc positifs Sérologie VHC négative TPHA/VDRL négatif Sérologie CMV: Ig. G+, ADN CMV non détectable Sérologie EBV: Ig. G EBNA, ADN EBV 11 400 copies/ml Sérologie HHV 8 négative, ADN HHV 8 non détectable Frottis sanguin, goutte épaisse négatifs Sérologie toxoplasmose négative
• BK crachats positifs: 10 BAAR/champ • Fibroaspiration et LBA 10. 3 E cloacae, quelques colonies de C. albicans Absence de Nocardia, Rhodococcus Recherche de Légionelle négative Mycologie négative Absence de virus respiratoire, Mycoplasma ou Chlamydia pneumoniae – Absence d’HSV, de CMV – Cultures positives à M. tuberculosis – – – • Hypothèses – – IRIS LMNH Histoplasmose Pneumonie à germes multi. R
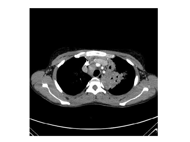
• Suspicion de surinfection bactérienne – Tazocilline®, Vancomycine®, Amiklin® débutée le 28/05 • En l’absence d’amélioration – Médiastinoscopie le 06/06: biopsie d’un ganglion de la loge de Barety • Inflammation granulomateuse à cellules épithélioïdes, nécrosante avec présence de BAAR • Bactériologie: 1300 BAAR/champ • Absence d’argument en faveur d’une hémopathie (ana-path, cytométrie de flux) • Diagnostic: IRIS – Traitement par corticothérapie à 1, 5 mg/kg/j puis 1 mg/kg/j
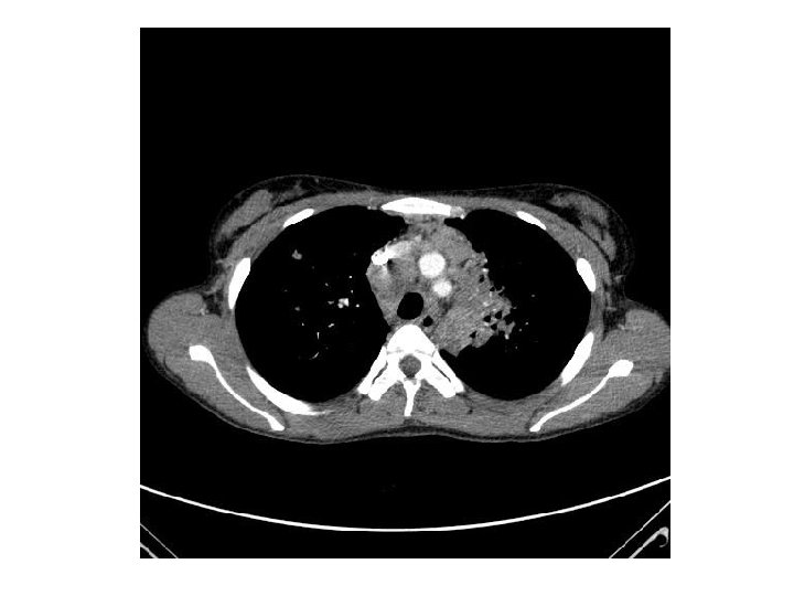
Evolution… Reste fébrile 39 -41°C 22/06: Fibroscopie bronchique 28/06: Antibiothérapie à large spectre 28/06 (J 17)Corticothérapie interrompue car absence d’amélioration • 15/07: Fibroscopie bronchique, TDM TAP • •
• 30/07: Reprise de la corticothérapie à 2 mg/kg/j pendant 21 j puis 1, 5 mg/kg/j • Vérification de la bonne observance thérapeutique • Antituberculeux par voie IV • Taux sériques antituberculeux normaux • Accalmie…avec une température qui diminue (38 -39°C) • Sortie le 20/08
• Hospitalisée le 03/09: Fièvre – Fibroscopie bronchique et Biopsie ganglionnaire le 29/09 (inflammation granulomateuse à cellules épithélioïdes) • Poursuite de la décroissance de la corticothérapie (30 mg/j le 06/10) • Amélioration progressive, sortie le 06/10/2011
INHN RFM ETB PRZ MXF PIPTA DORI AMK CTM 29 -Jul 27 -Jul 25 -Jul 23 -Jul 21 -Jul 19 -Jul 36 17 -Jul Fibro-LBA 22/06 15 -Jul 13 -Jul 11 -Jul 09 -Jul 07 -Jul 05 -Jul 03 -Jul 01 -Jul 29 -Jun 27 -Jun 25 -Jun 23 -Jun 21 -Jun 19 -Jun Médiastino 17 -Jun 15 -Jun 38 13 -Jun 40 11 -Jun 09 -Jun 07 -Jun 05 -Jun 37 03 -Jun 01 -Jun 30 -May 28 -May 26 -May 24 -May 22 -May 41 MAI-JUIN-JUILLET 39 CTC 1, 5 puis 1 Fibro-LBA 19/07 35
INHN RFM ETB PRZ MXF PIPTA DORI AMK VANC n n -Ja 16 31 -Ja n n -Ja 24 17 n ec -D 10 02 39 -Ja n -Ja AOUT à JANVIER 27 20 n ov -N -Ja n DOM 13 05 30 -Ja n -Ja CTC 1, 5 puis 0, 75 23 16 n ct -Ja -O n n -Ja 09 01 25 n n -Ja 18 14 -Ja n -Ja 39. 5 11 07 ep CTC 2 -S n -Ja n -Ja n 37. 5 03 28 21 17 14 10 -Ja ug -A 37 07 02 40 3 mois > 39°C 6 mois > 38°C 38. 5 38 DOM CTC < 0, 5 36 35. 5
Evolution immunologique CD 4/mm 3 160 140 120 100 80 CD 4/mm 3 60 40 20 0 5/1/11 6/1/11 7/1/11 8/1/11 9/1/11
Evolution virologique ARN VIH Log 6 5 4 3 ARN VIH Log 2 1 0 5/1/11 6/1/11 7/1/11 8/1/11 9/1/11