CAREERS IN RADIOLOGIC TECHNOLOGY FINAL RADIOLOGIC TECHNOLOGIST RADIOGRAPHER















































































































- Slides: 111
CAREERS IN RADIOLOGIC TECHNOLOGY (FINAL) • RADIOLOGIC TECHNOLOGIST – RADIOGRAPHER – X-RAY TECHNOLOGIST • “ TECHNICIAN” – Limited License • RADIOLOGIST – Medical doctor
What does a Radiologic Technologist do? 2
A “Radiologic Technologist” (or Radiographer) • Medical Professional – In a challenging field • Safely uses x-rays to image anatomy – Positions – Using sophisticated technology – Practices radiation protection • Provides quality-diagnostic images – Assists DR – Communicates with patient – Practices patient privacy 3
Registered Technologist R. T. • Dawn Charman, M. Ed. , RT (R)(M), CRT(R)(F) • Kelly Clark, M. S. R. T. RT (R)(CT), CRT(R)(F) • Mina Colunga, B. S. R. T. RT (R), CRT(R)(F) ARRT – R. T. State of California– C. R. T. 4
Radiologic Technologist • ECC program is for an entry level into the profession • Radiation Therapy and Nuclear Medicine would require additional education Certification/licenses • ARRT- American Registry of Radiologic Technologies – Provides national certification • CRT-- California Registered Technologist – After completing ARRT exam you pay a fee and get your California license to practice – A separate test is taken for fluoroscopy 5
Certification vs. License • ARRT – National certification • R. T. – Must take an exam • Pass with 75% – Can take this after completing program • CRT – State Licensing – Must pass ARRT exam to get this – Pay fee to get radiography license (R) – Take fluoroscopy exam and pay a fee for (F) license
All types of EXAMS & PEOPLE • • • Head to toes Trauma Special procedures Critical patients Walk ins Surgery • • • Infants Elderly All classes All ethnicity All backgrounds
Radiologic Technologist • Must be able to communicate effectively with: • Patients, staff, & peers • Must use: • good judgment • Critical thinking skills FIG. 4– 2 Radiologic science professionals must use advanced critical thinking skills when handling all patient care situations. 8 Elsevier items and derived items © 2007, 2003 by Saunders, an imprint of Elsevier Inc.
Critical Thinking • Involves sound, professional judgment • Applied with high ethical standard • And integrity 9
Critical Thinking • • Analysis Synthesis Evaluation Critique • Achieved through – Role Playing – Lab experiments – Case Studies
Patient Communication • Interacting with the patient • Interacting with family and friends • Methods of Effective Communication • Age as a factor in Patient Interactions 11
Communication & Adapting to Special Condition Patients • • • Traumatized Patients Visually Impaired Patients Speech and Hearing Impaired Patients Non-English Speaking Patients Mentally Impaired Patients Substance Abusers 12
Education in the Radiologic Sciences at ECC • Didactic Curriculum (lecture) – Specifically describes the objectives – What the students will learn – How they will learn (instructional activities) • Clinical – Hospital training – Apply didactic principals to clinical setting 13
RT Programs Didactic and Clinical Education FIG. 5– 1 The articulation of didactic, laboratory, and clinical instruction. (From Ford C, ed: Clinical education for the allied health professions, St Louis, 1978, Mosby. ) 14
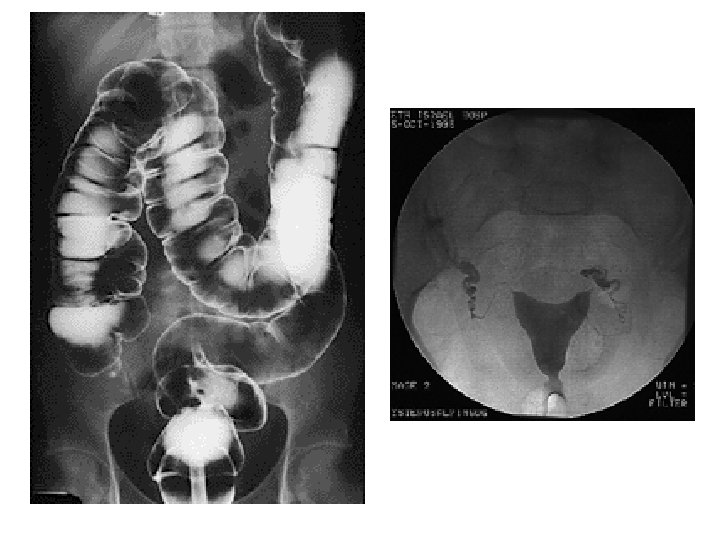
Types of Diagnostic Exams • • • Chest Extremities Skull/ Facial Spine Gastrointestinal Interventional 15
LEARNING • COGNITIVE – – thought / knowledge • PSYCHOMOTOR – – physical actions • AFFECTIVE – – guided by feelings 16
Some studies of spinal trauma have recorded a missed injury rate as high as 33%. 17
Comminuted Open 18
ELDERLY 19
INFANTS & CHILDREN 20
SURGERY 21
Fluoroscopy 22
TECHNOLOGIST • FLUOROSCOPY • Dawn Charman RT (R), (F) • CONTRAST MEDIA (X-RAY DYE)
24
25
ARRT Standards Accrediting Agencies • Joint Review Committee on Educational Programs in Nuclear Medicine Technology (JRCNMT) • Committee on Accreditation of Allied Health Education Programs (CAAHEP) in collaboration with the Joint Review Committee on Education in Diagnostic Medical Sonography (JRC-DMS) • Regional Institutional Accrediting Agencies (degree-granting divisions) WSAC • Conjoint Accreditation Services of the Canadian Medical Association • Australian Institute of Radiography 26
Accrediting Agencies • SCHOOLS/PROGRAMS • JRCERT: Joint Review Committee on Education in Radiologic Technology • HOSPITAL ACCREDITATION • JCAHO : Joint Commission on Accreditation of Healthcare (Hospital) Organizations 27
“Alphabet Soup” NATIONAL & STATE LICENSES ARRT = (R. T. ) American Registry of Radiologic Technology R. T. – Certification in Radiologic Technology CRT – Certified Radiologic Technology State of California, Dept of Health - Radiation Health Branch – Licensing to practice in California C. R. T. (R) (F) (M) Radiography, Fluoroscopy, Mammography 28
5 Primary Exams • Radiography (R) • Nuclear Medicine Technology (NM) • Radiation Therapy (T) • Sonography (US) (RDMS) • Magnetic Resonance Imaging (MR) 29
Post Primary • Cardiovascular. Interventional Radiography (CVIT) – Note: No longer available for new candidates • Mammography (M) • Computed Tomography(CT) • Magnetic Resonance Imaging (MR) or (MRI) – Note: Both a primary and postprimary track • Quality Management (QM) • Sonography (US) or (RDMS) – Note: Both a primary and postprimary track • • Bone Densitometry (BD) Vascular Sonography Cardiac-Interventional Radiography (CI) • Vascular-Interventional Radiography (VI) • Breast Sonography • Registered Radiologist Assistant (RA)
“Alphabet Soup” KNOW THESE! J. R. C. E. R. T Joint Review Committee on Education in Radiologic Technology J. C. A. H. O – Joint Commission of Accreditation of Healthcare Organizations A. R. R. TAmerican Registry of Radiologic Technologists 31
Beyond Diagnostic Radiography Advanced Modalities 32
ADVANCED SKILL LEVELS • • CAT SCAN (CT) MRI (MR) ANGIOGRAPHY (CIT) (CV) RADIATION THERAPY (T) MAMMOGRAPHY (M) Bone Densitometry (BD) ULTRASOUND (RDMS) NUCLEAR MEDICINE(NM) – PET – SPECT • MANAGEMENT (BS) • EDUCATION (BS, MEd, Ph. D EDD) 33
MAMMOGRAPHY Dawn Charman, RT (M) RADIOGRAPHIC IMAGING OF THE BREAST Diagnostic for breast cancer 34
Bone Densitometry “low dose Radiation” 36
BONE DENSITOMETRY • JOE RUIZ, RT (R) (BD) • POST PRIMARY EXAM BEGAN IN JANUARY 2001 • ? ? ? May also have certification w/o RT ? ? • MEASURING MINERAL CONTENT AND DENSITY OF BONES 37
FIG. 1– 7 A nuclear medicine technologist performs procedures requiring the use of radioactive substances. (Courtesy of Philips Medical Systems. ) 38
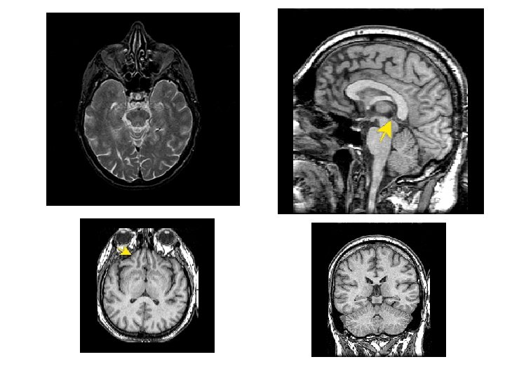
CAT SCAN & MRI 39
Computed Tomography • Kelly Clark, RT (R) (CT) • 1995 began post primary exam
CT SCANNER • USES • RADIATION – AND A COMPUTER • TO RECONSTRUCT • IMAGES • 3 -D FIG. 1– 9 A computed tomographic technologist uses a computerized x-ray system to produce sectional anatomic images of the body. (Courtesy of Philips Medical Systems. )
C T SCANNER 42
43
Electron Beam Tomography EBT WHOLE BODY SCANNER 44
Risk factor • HIGH DOSES ? • WHAT YOU DON’T • KNOW ……. • ‘FALSE POSITIVE’S” • NOW THAT YOU KNOW – WHAT ARE YOU GOING TO DO ABOUT IT? =
Radiation Dose • EBT scans expose the patient to about 1/5 th the radiation of a multi-slice CT scanner. • OR so they tell you. . • $$$$ 46
Magnetic Resonance Imaging • RT (R) (MRI) or • RT (T) (MRI) or (N) (MRI) • 1995 ARRT began post primary exams
MRI SIGNAL PRODUCTION • Images are crated by interaction of Magnet field, radio waves with tissue • Atoms – Nucleus – Electrons
49
MRI SAFETY USE NON MAGNETIC MATERIALS CAN CAUSE HARM TO PATIENT & PERSONELL 1 REPORTED DEATH FROM O 2 TANK & 6 YO PATIENT
MRI • NOT IONIZING RADIATION • USES MAGENTIC RESONANCE • (RADIO WAVES) • Jane Schultz, R. T. (MR) 51
52
53
54
RADIOGRAPHY VS MRI BONE vs. Soft Tissue 55
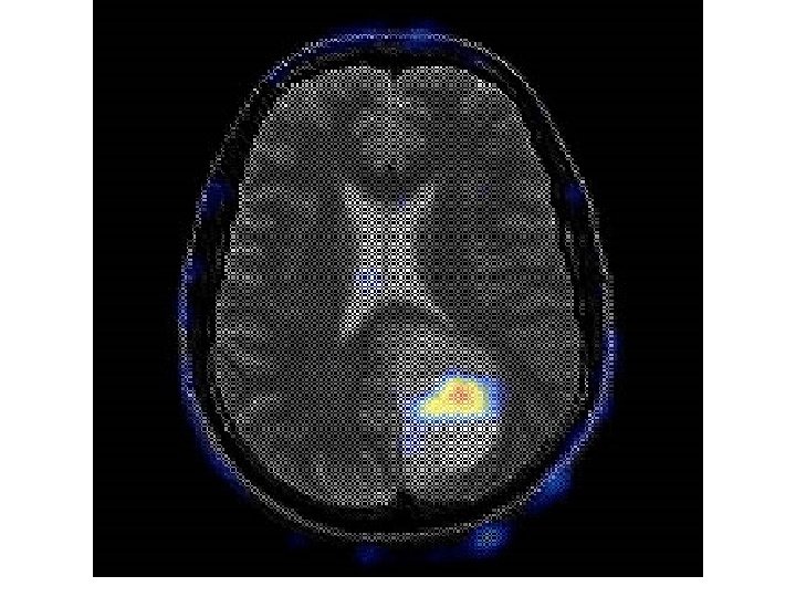
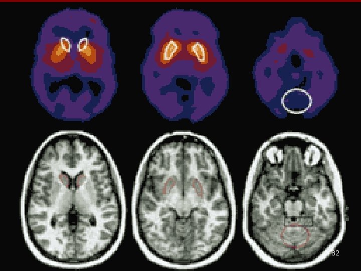
PET Scan & SPECT Scan • PET = Positron Emission Tomography • Single Photon Emission Computed Tomography • X-rays/MRI with Radioisotopes 56
57
58
• PET Scan showing diffuse spread of prostate cancer to bone. PET has the advantage over traditional bone scanning in its ability to differentiate active from dormant disease. 59
60
ANGIOGRAPHY/ CARDIOVASCULAR INTERVENTIONAL TECHNOLOGY is a specialized radiographic examination where the images of the blood vessels of the body are demonstrated by injection of contrast media. 61
CARDIAC-INTERVENTIONAL RADIOGRAPHY • Mike Smith, RT (R) (CI) • POST PRIMARY EXAM BEGAN IN JANUARY 2003
INTERVENTIONAL RADIOGRAPHY • ANGIOGRAPHY • CARDIAC CATH • + MANY OTHERS • RT (CV) (CIT) (CVIT) 63
ANGIOGRAPHY is a specialized radiographic examination where the images of the blood vessels of the body are demonstrated by injection of contrast media 64
Cardiovascular Interventional Radiography • Jane Smith, RT (R) (CVI) • Angiography • 1991 began post primary exam for CVIT Radiographers
66
Angiography of Heart vessels • http: //images. google. com/imgres? imgurl=http: //w ww. nhlbi. nih. gov/health/dci/images/stent_resten osis. gif&imgrefurl=http: //www. nhlbi. nih. gov/healt h/dci/Diseases/stents_all. html&usg=__x. Dl bsa. X 9 Jhu. Ybp. Voj. Lcz 19 apr. I=&h=513&w=450&sz=59&hl=en&start=20&tbnid =v. Wwqa. G-RNW 7 MM: &tbnh=131&tbnw=115&prev=/images%3 Fq% 3 Dabdominal%2 Bstents%26 gbv%3 D 2%26 hl%3 Den 67
Angiography 68
VASCULAR-INTERVENTIONAL RADIOGRAPHY • JOE CAR, RT (R) (VI) • POST PRIMARY EXAM BEGAN IN JANUARY 2003
70
71 71
NUCLEAR MEDICINE use radioactive isotopes to make images 72
Nuclear Medicine • RT (NM) • ARRT or NMTCB
NM – Images collected after injections of a RADIOISOTOPE 74
The tracer travels into the blood vessels until it arrives to the bone 75
PET Scan & SPECT Scan • PET = Positron Emission Tomography • Single Photon Emission Computed Tomography 76
77
Prostate cancer metastasized in bones 78
PET NUCLEAR MED + CT or MRI- co-registration 79
80
81
82
RADIATION THERAPY R. T. (T) • • 2 YRS ADDITIONAL EDUCATION CITY OF HOPE LLU CAL STATE LONG BEACH • The branch of Radiology that involves the treatment of disease by means of high energy x 83 rays or radioactive substances
84
85
RADIATION THERAPY • branch of Radiology that involves the treatment of disease by means of high energy x-rays (GAMMA) or radioactive substances
Radiation Therapy • RT (T) = Registered technologist in radiation therapy technology • Medical dosimetrists are involved in treatment planning and dose calculations • 1 -4 year program 87
88
ULTRASOUND uses a technique similar to Navy SONAR to produce diagnostic images. 89
ULTRASOUND Cypress College Orange Coast LLU 1 – 2 years 90
Diagnostic Medical Sonographers • RT (R) (S) or RT (S) or (RDMS) • American Registry of Diagnostic Medical Sonographers • ARRT in 1999 began post primary exam • ARRT in 2005 began primary exam
Ultrasound beam is transmitted and reflected – as special crystal at the end of the transducer can determine the type of tissue Determines depth 92
Uses SOUND WAVES (NOT X-RAYS) “real time” images 93
ULTRASOUND uses a technique similar to Navy SONAR to produce diagnostic images. 94
19 Week fetus • http: //images. google. com/imgres? imgurl=http: //e mbryology. med. unsw. edu. au/movies/usound/19 weeklabel 2. jpg&imgrefurl=http: //embryology. med. unsw. edu. au/movies/usound/Hum 19 w 4 D. htm&u sg=__Ef. Di. Z 2 qd. LFEQ_ZGPy 9 YS 628 Qy. PI=&h=3 79&w=358&sz=11&hl=en&start=71&tbnid=Qq. ST byck. VIj. YM: &tbnh=123&tbnw=116&prev=/images%3 Fq %3 Dfetal%2 Bultrasound%26 gbv%3 D 2%26 ndsp %3 D 20%26 hl%3 Den%26 sa%3 DN%26 start%3 D 60 95
96
98
2 D vs. 3 D/4 D
U/S & the “real thing” 100
Breast Sonography • Post Primary Exam • Valuable for Technologists that specialize in Mammography 101
VASCULAR ULTRASOUND 102
New - RA • • Radiology Assistant (Like PA) Weber State (On line – Utah) LLU 3 others in US (2007 – more) $$$$ NEW GRADS = 100 K/YEAR (? ) PART OF RADIOLOGIST GROUP As of 2007 – NOT APPROVED BY STATE to Work as RA in California 103
Additional Opportunities • • • Education Administration Management (QM) Commercial Radiologist Assistant = RA
RADIOLOGY ASSISTANT RA • LLU • 2 YRS RT • BA DEGREE • WEBER STATE • 6 YR RT
OTHER PATHWAYS • SALES • APPLICATIONS SPECIALIST • INDUSTRIAL X-RAY • MANAGEMENT (DEGREE) • EDUCATON 106
TRAVELING TECHNOLOGIST = SEE THE WORLD AND GET $$$ 107
Other working opportunities… • Registry (local) • Registry (out of state) • X rays taken around the world !!
Variety of Work Settings • physicians offices, • • clinical outpatient facilities, • free standing imaging centers, • mobile imaging centers • portable services to rehabs • Mammo’s to under privileged areas • Urgent care
SALARY RANGES RT’s • NEW R. T. = $ 25 -$38 PER HOUR • ON-CALL + O. T. $45, 000 – $60, 000 YR • ADVANCE SPECIALTIES • $ 30 - $50 PER HOUR • A GREAT SHORTAGE IN ALL HEALTH CARE – A GREAT NEED TO AQUIRE NEW TECHNOLOGIST TO THIS AREA 110
Professional Organizations • ASRT – American Society of Radiologic Technologist • CSRT – California Society of Radiologic Technologists • RTEC – Radiologic Technology Educators of California • International Societies, other state societies, other modalities 111