Caractersticas del VIH Ignacio Santos y Vicente Estrada
































































- Slides: 64
Características del VIH Ignacio Santos* y Vicente Estrada** * Hospital La Princesa. Madrid ** Hospital Clínico. Madrid
Índice v Virología y Patogenia de la infección por el VIH v Historia natural de la infección por el VIH v Enfermedades no definitorias de sida asociadas al VIH v Enfermedades definitorias de sida
Virología y Patogenia de la infección por el VIH
Virus de la inmunodeficiencia humana (VIH) • Retrovirus humano de la familia de los lentivirus. Tiene una envoltura con tres capas concéntricas: – Interna o Core: ARN de una sola cadena, la nucleoproteína y las enzimas de las fases precoces de la replicación, que son: • Proteasa: da lugar a proteínas estructurales para el virus maduro • Transcriptasa inversa: convierte el ARN viral en ADN proviral • Integrasa: necesaria para la inserción del ADN proviral en el ADN genómico celular – Intermedia: nucleocápside proteica, de forma icosaédrica – Externa o envoltura: membrana lipídica con una matriz proteica, y la glicoproteína de envoltura que protruye a través de la membrana.
Grupos, tipos y subtipos • VIH-1: agente causante del SIDA descrito en primer lugar. – Tiene 9 genotipos: A, B, C, D, E, F, G, H y U, basados en la secuencia del gen env (en el mundo occidental el más importante es el B) – Estos 9 genotipos se engloban dentro del subtipo M (VIH-1, subtipo M) – Subtipo O del VIH-1 se clasifica aparte por diferencias estructurales (pocos casos descritos) • VIH-2: descubierto en pacientes africanos en 1986 – Fundamentalmente en África Occidental – Menos patógeno, evolución más lenta, menos infectividad, menor transmisión perinatal – En España descritos pocos casos
Mecanismo de la infección • Comienza cuando un virus encuentra una célula con un receptor para ese virus: la molécula CD 4 (su ligando natural son las moléculas del complejo mayor de histocompatibilidad de clase II). • Se unen la molécula CD 4 y la gp 120, entrando el virus en la célula • Otras células que expresan CD 4 y se pueden infectar son: – – – Monocitos Macrófagos Células dendríticas presentadoras de antígeno Células de Langerhans de la epidermis Muchas otras distribuidas por todo el organismo
Mecanismo de la infección • Una vez que entra el virus, su ARN se convierte en ADN de doble cadena por la acción de la enzima transcriptasa inversa. • Posteriormente, el ADN viral se integra en el genoma del ADN del huésped (en esta fase se denomina provirus), mediado por la enzima integrasa. • Esto le permite al virus un mecanismo de replicación indefinido, pudiendo codificar todas las proteínas del virus, hasta formar nuevos viriones con proteínas precursoras que se transformarán en maduras gracias a la acción de la enzima proteasa.
Correceptores • Son moléculas que están en la superficie celular y ayudan al VIH a entrar en esa célula, tras unirse a la molécula CD 4 • Esas moléculas tienen una función fisiológica en esas células y es la de servir de receptores para una proteínas llamadas Quimioquinas que: – Actúan en los fenómenos de migración leucocitaria, en la expresión de moléculas de adhesión y en la generación de la respuesta inflamatoria. – Son sintetizadas por linfocitos, monocitos y células polimorfonucleares.
Correceptores • Se dividen en 3 grupos: – CC quimioquinas (virus con tropismo CCR 5) – CXC quimioquinas (virus con tropismo CXCR 4) – C quimioquinas • Esto tiene implicaciones terapéuticas muy importantes: la inhibición o bloqueo de los correceptores puede evitar la entrada del virus dentro de la célula.
Fisiopatología y patogenia • Severa inmunodeficiencia derivada del déficit progresivo cuantitativo y cualitativo de la subpoblación de linfocitos T CD 4+ lo que expone al paciente a sufrir infecciones oportunistas y neoplasias
Historia natural de la infección
1. Primoinfección por VIH: • • • Ocurre en el momento del contagio, aunque no da síntomas en todos los pacientes Da lugar a diseminación del VIH hacia los órganos linfoides, donde la infección va a quedar latente Se infectan las células CD 4+, se replica el VIH dentro de ellas dando lugar a un pico en la viremia y a su vez diseminación hacia otros ganglios y a SNC 2. Infección crónica o latente: a pesar de la vigorosa respuesta inmunitaria, no es posible eliminar el virus y queda como infección latente clínicamente, que puede durar 10 años hasta que se desarrolla enfermedad clínica. En todo este tiempo están asintomáticos. 3. Enfermedad avanzada por VIH: tras ese periodo de latencia, la cifra de CD 4 baja y aparecen las complicaciones y la muerte si no se tratan.
Pacientes no progresores a largo plazo • Ocurre en <5% de los infectados: – – – >10 años de infección Cifras normales de CD 4 sin tratamiento Carga viral baja Inmunidad normal ¿Respuesta inmunitaria vigorosa? ¿Virus defectuoso?
Respuesta inmunitaria al VIH • La respuesta disminuye la viremia plasmática y enlentece la progresión, pero no consigue la erradicación 1. - Humoral: los Ac aparecen a las 3 semanas de la infección (a veces 3 meses): “periodo ventana” – Van dirigidos contra todos los Ag: los primeros contra p 24 y p 17 2. - Celular: se forman linfocitos T CD 4+ y CD 8+ dirigidos frente al VIH
Clasificación • Categoría A: incluye: – Infección asintomática por el VIH – Linfadenopatía generalizada persistente – Infección aguda
Clasificación • Categoría B: incluye pacientes con síntomas no incluidos en la categoría C o con síntomas no relacionados pero que puede verse complicado por el VIH: – – – – angiomatosis bacilar candidiasis oral endocarditis, meningitis, sepsis, neumonías candidiasis vulvovaginal displasia de cervix fiebre o diarrea de más de 1 mes leucoplaquia vellosa herpes zóster (2 ó más episodios o multidermatómico) PTI Listeriosis Polineuropatíam periférica Enfemedad pélvica uinflamatoria Nocardiosis
Categoría C
Vigilancia Epidemiológica del VIH y SIDA en España Actualización 30 de junio de 2015
Enfermedades no definitorias de sida asociadas al VIH
Clínica de la primoinfección • Suele aparecer entre 3 -6 semanas después del contagio • Síntomas en 50 -70% de los individuos, similares a una mononucleosis infecciosa (¡ojo, no se relaciona con VIH!) • Persisten de una a varias semanas, remiten espontáneamente y tras ellos suele aparecer la fase de latencia clínica. • Síntomas generales: – – – Fiebre Adenopatías Cefalea, artralgias, mialgias Malestar general Anorexia, pérdida de peso • Náuseas, vómitos, diarrea • Neurológicos – Meningitis aséptica, encefalitis – Neuropatía periférica – Mielopatía • Dermatológicos – Exantema de diversas características
Enfermedad sintomática precoz Pueden aparecer multitud de cuadros clínicos • Linfadenopatía generalizada persistente: ganglios linfáticos aumentados de tamaño (>1 cm) en dos o más localizaciones extrainguinales durante más de 3 meses y sin causa evidente • Candidiasis oral • Leucoplaquia vellosa • Herpes zóster • Trombocitopenia • Molluscum contagiosum • Herpes simple recidivante • Condilomas acuminados • Aftas orales
Candidiasis Oral • Microorganismo comensal de la cavidad oral (la mayoría son C. albicans) • Muy frecuente en los pacientes VIH+ en todos los estadios. • Muy buena respuesta al tratamiento Clínica – Problemas para tomar alimentos fuertes – Cambios en el gusto Apariencia • Pseudomembranosa: placas blancas en mucosa oral que dejan superficie sangrante al desprenderse • Eritematosa: placas eritematosas en paladar y en superficie dorsal de la lengua • Hiperplásica: lesiones blanquecinas que no se pueden quitar con raspado. Diagnóstico diferencial con leucoplaquia vellosa • Queilitis angular: eritema con fisura o ulceración en las comisuras de la boca
Candidiasis Oral Diagnóstico: • Por la apariencia clínica. El cultivo no ayuda al diagnóstico aunque sea positivo, sólo sirve para identificación de la especie. Tratamiento: • Tópico con Nistatina en enjuagues, 7 días • Sistémico con Fluconazol en solución o en comprimidos, 7 días. Profilaxis • Primaria no indicada • Secundaria indicada si episodios muy repetidos. Fluconazol 100 mg una vez a la semana
Leucoplaquia vellosa oral • Ocurre en el 20% de los pacientes asintomáticos • En cualquier estadio de la enfermedad • Etiología poco clara, se ha relacionado con el virus de Epstein-Barr, con el virus del papiloma humano y con candidiasis. Clínica • Generalmente asintomática • Apariencia de lesiones blanquecinas en márgenes laterales de la lengua, con pliegues o salientes, a veces con aspecto de vellosidades Diagnóstico • Por la apariencia • Biopsia: hiperplasia epitelial con capas de paraqueratina engrosadas, con células espinosas vacuoladas • Definitivo: requiere demostración del virus de Epstein-Barr Tratamiento • No requiere
Enfermedades definitorias de sida
Candidiasis esofágica • Es la causa más frecuente de disfagia en pacientes VIH+ (42 -79%) • Generalmente producida por C. albicans • No amenaza la vida pero produce importante morbilidad. Clínica • Disfagia a cualquier nivel, para sólidos y/o líquidos. • No suele producir fiebre ni otros síntomas, aunque puede haber pérdida de peso por disminución de la ingesta • Suele acompañarse de candidiasis oral Diagnóstico • Presuntivo, por la presencia de candidiasis oral y disfagia. • Definitivo, por endoscopia y visión de las lesiones exudativas blanquecinas focales o difusas, en asociación con hiperemia de la mucosa y friabilidad. • Si se recogen muestras se pueden ver los hongos en la biopsia. Un cultivo positivo de una biopsia esofágica no es diagnóstico de candidiasis. Tratamiento: muy buena respuesta • De elección, Fluconazol por vía oral, dos semanas. Profilaxis • Primaria, no indicada • Secundaria, depende del número de episodios y la gravedad. No indicada de rutina.
Candida: esofagitis (imagen endoscópica)
Neumonía por Pneumocystis jiroveci (antes carinii) • • • Hongo con 3 estadios de desarrollo: trofozoito, prequiste y quiste. Causa de fallecimiento en el 15 -20% de SIDA Incidencia: – <200 CD 4: 8% a los 6 meses, 18% al año – >200 CD 4, 0, 5% a los 6 meses Clínica: • Forma de presentación insidiosa a lo largo de varias semanas con: – Fiebre – Tos seca – Dolor retroesternal – Disnea • Expl. física: no signos típicos de neumonía en la auscultación • Expl. comp. : discreta leucocitosis, aumento de LDH, hipoxemia con alcalosis respiratoria • Rx. tórax: – Normal en el 39% – Pueden aparecer diferentes patrones, pero lo más frecuente es el infiltrado intersticial bilateral.
Neumonía por Pneumocystis carinii: infiltrado difuso
Neumonía por Pneumocystis carinii: infiltrado de predominio hiliar
Neumonía por Pneumocystis jiroveci (antes carinii) Diagnóstico: • Clínico: de forma presuntiva ante la presencia de fiebre, tos seca y disnea de >2 semanas de evolución, con Rx tórax sugerente. Iniciar tratamiento. • Lavado broncoalveolar por broncoscopia: hallazgos de quistes de P. jiroveci por tinción de plata o de Giemsa. • Esputo inducido Tratamiento: • Cotrimoxazol: tratamiento de primera elección, respuestas del 67 -97% – Si neumonía leve-moderada, usarlo por vía oral – Si neumonía grave, vía i. v. – Dosis de 15 -20 mg/Kg/día del componente trimetroprim (1/5 sulfametoxazol), repartido cada 6 horas, durante 21 días. – Efectos secundarios: • Exantema • Fiebre medicamentosa • Náuseas, vómitos • Pancitopenia – Usar ácido folínico a dosis de 15 mg día para contrarrestar toxicidad medular
Neumonía por Pneumocystis jiroveci (antes carinii) • Pentamidina, de segunda elección – Vía i. v, 4 mg/Kg, en una sola dosis, durante 21 días – Efectos secundarios • Hipotensión • Hipoglucemia • Pancreatitis • Nefrotoxicidad • Corticoides: administrarlos en las primeras 72 h del tratamiento. En casos moderados o graves (p. O 2 <75 mm Hg), tienen resultado beneficioso con mejoría de la evolución y de la supervivencia. Dosis y tiempo variable según estudios. Profilaxis • Primaria, en pacientes con CD 4<200 y que nunca la hayan padecido. – Cotrimoxazol: 1 comprimido de la presentación Forte, 3 días en semana, primera elección • Secundaria, en pacientes que ya hayan padecido un episodio, las mismas pautas que para la primaria. • Puede suspenderse cuando alcancen más de 200 linfocitos CD 4+ con el tratamiento.
Toxoplasmosis cerebral • Producida por Toxoplasma gondii, parásito intracelular de distribución universal. • El gato es el huésped definitivo, el resto de mamíferos y aves son huéspedes intermediarios. • Vías de transmisión: generalmente por vía oral, por ingesta de ooquistes presentes en excrementos de gatos, carne poco cocinada, verduras o agua contaminada con quistes • Patogenia: tras la ingesta de quistes, las enzimas digestivas rompen la pared y se liberan los bradizoítos y esporozoítos, que invaden sangre y otros tejidos. Se quedan los quistes en estado latente en cerebro, músculo y corazón y se reactivarán ante inmunodepresión severa. • Respuestas cercanas al 90% en primer episodio Clínica: • Curso subagudo • Fiebre, cefalea, alteración del estado mental, convulsiones y signos de focalidad neurológica (paresias de extremidades, de pares craneales, inestabilidad de la marcha, etc) • Áreas más afectadas: tronco del encéfalo, ganglios basales.
Toxoplasmosis cerebral Diagnóstico: • Definitivo: biopsia de las lesiones cerebrales, pero esto no se hace prácticamente nunca. • De presunción: – Presentación clínica característica – Hallazgos radiológicos – Serología para toxoplasma positiva (ELISA Ig. G), aunque un resultado negativo al comienzo del episodio no lo excluye – Respuesta adecuada al tratamiento Hallazgos radiológicos: • TAC cerebral contraste o RMN cerebral: lesiones hipodensas, casi siempre múltiples, rodeadas por captación anular de contraste. ANTE UN PACIENTE VIH+ CON SÍNTOMAS NEUROLÓGICOS Y LESIONES CEREBRALES QUE CAPTAN CONTRASTE, INICIAR TRATAMIENTO EMPÍRICO ANTI-TOXOPLASMA.
Encefalitis por Toxoplasma gondii: TAC
Toxoplasmosis cerebral Tratamiento: • De primera elección: Sulfadiazina + Pirimetamina por vía oral. Debe administrarse ácido folínico a dosis de 15 mg/día para contrarrestar la toxicidad hematológica de ambos preparados. El tratamiento debe mantenerse durante 6 -8 semanas. – Efectos secundarios: • • Pancitopenia Exántema cutáneo Insuficiencia renal Cristaluria por sulfadiazina • De segunda elección: Clindamicina asociado a Pirimetamina y ácido folínico – Efectos secundarios: Diarrea por Clostridium difficcille • Corticoides si hipertensión intracraneal
Toxoplasmosis cerebral Profilaxis • Primaria – Si nunca han padecido un episodio y tienen serología Ig. G negativa para toxoplasma, evitar contactos con gatos o ingesta de carne poco hecha. – Si tienen serología positiva y <200 CD 4, Cotrimoxazol 1 comprimido Forte 3 veces en semana. Cuando >200 CD 4 puede retirarse. • Secundaria: si ya han tenido un episodio, tras el tratamiento de inducción de 6 -8 semanas, se mantiene tratamiento preventivo con Sulfadiazina + Pirimetamina + ácido folínico a mitad de dosis. • Cuando alcancen >200 linfocitos CD 4+ con el tratamiento antirretroviral, puede suspenderse.
Criptococosis • Producida por Cryptococcus neoformans, hongo levaduriforme. • Distribución universal, se adquiere por inhalación de esporas presentes en las heces de palomas • La infección se disemina desde un foco pulmonar, afectando al sistema nervioso central en el 85% de los pacientes
Criptococosis Clínica: • Meningoencefalitis subaguda, con síntomas inespecíficos: – Fiebre 65% – Malestar general 76% – Cefalea 73% – Náuseas y vómitos 42% – Rigidez de nuca 22% – Deterioro cognitivo 28% – Convulsiones 4% • Criptococomas: lesiones cerebrales múltiples con captación de contraste en anillo. Provocan déficits neurológicos focales • Infección pulmonar: en el 40%, casi siempre asociada a meningoencefalitis. Tos, fiebre y disnea. Hallazgos radiográficos variables: derrame pleural, infiltrados alveolares, infiltrados intersticiales. • Lesiones cutáneas: de características inespecíficas, en el 10% de los pacientes. • Otras localizaciones: prostatitis, endoftalmitis, pericarditis. La próstata puede actuar de reservorio de infección latente. • SIEMPRE QUE SE ENCUENTRE CRIPTOCOCOSIS EN CUALQUIER LOCALIZACIÓN, DESCARTAR QUE HAYA AFECTACIÓN MENINGEA. LA NORMALIDAD DEL LCR NO EXCLUYE MENINGITIS CRIPTOCÓCICA.
Diarrea por Cryptosporidium • Protozoo que produce diarrea en huéspedes sanos, sobre todo en viajeros y cuidadores de animales. • Se considera diagnóstico de SIDA cuando dura más de 1 mes Clínica • Diarrea de diferente gravedad: desde leve autolimitada, hasta diarrea grave que puede comprometer la vida • Dolor abdominal espasmódico • Náuseas y vómitos • Importante pérdida de peso, a veces se acompaña de malabsorción • Es rara la fiebre Diagnóstico • Examen de las heces con método de Ziehl-Nielsen modificado • Biopsia yeyunal: partículas esféricas adheridas al borde en cepillo de la mucosa, atrofia de vellosidades, ensanchamiento de criptas e infiltrado de células mononucleares de la lámina propia. Tratamiento • Se debe hacer tratamiento sintomático: dieta, sueroterapia, nutrición parenteral • Se han ensayado Paromomicina, azitromicina, espiramicina, Nitazoxanida, que pueden probarse en todos los casos
Retinitis por Citomegalovirus • Era una de las I. O. más frecuentes, con prevalencia del 20 -25% en los pacientes con SIDA, hasta la aparición de los inhibidores de la proteasa • Aparece en pacientes con <50 CD 4 Clínica • En algunos casos puede ser asintomática • Afectación uni o bilateral • Fotopsias, miodesopsias, defecto campimétrico y disminución de la agudeza visual • Produce ceguera rápidamente si no se trata Diagnóstico • Inspección del fondo de ojo. Hacerla de rutina en pacientes con <50 CD 4 por la frecuencia de infección asintomática. • Edema, necrosis retiniana, hemorragias, perivasculitis (imagen en queso y tomate) • No sirve la serología para CMV ni el cultivo ni la antigenemia de CMV.
Retinitis por Citomegalovirus Tratamiento • Inducción: Ganciclovir por vía i. v. durante 21 días, valganciclovir oral, tratamientos intravítreos on ganciclovir… • Este tratamiento debe seguirse del tratamiento de mantenimiento: – de por vida – con el mismo fármaco con el que se hizo el tratamiento de inducción, aunque a mitad de dosis Profilaxis • Secundaria: el tratamiento de mantenimiento • Primaria: no indicada
Retinitis por CMV necrótica terminal
Tuberculosis • Los síntomas dependen del grado de inmunosupresión – Cifra de CD 4 >200, cuadro clínico y radiológico (pulmonar) similar a la población normal – Cifra de CD 4 <200, frecuente la diseminación extrapulmonar, con o sin afectación pulmonar concomitante y con cuadro radiológico atípico. • En la extrapulmonar puede afectarse cualquier órgano (cerebro, riñón, ganglios. . . ) • Mayor frecuencia de micobacteriemia (hasta 40%) • Mayor frecuencia de tuberculosis multirresistente al tratamiento. Hacer estudio de sensibilidad. • Diagnóstico como en no VIH, aunque a veces se necesitan estudios más agresivos (biopsias) por negatividad de las pruebas habituales • Tratamiento por lo general más prolongado, dependiendo de la localización, y con 4 fármacos (rifampicina, isoniazida, pirazinamida y etambutol).
Micobacterias atípicas • Poco frecuentes en nuestro medio • Más frecuentes en varones y drogadictos • El 89% de los casos tienen <50 CD 4 Especies patógenas: • Micobacterium avium intracelullare 73%. También llamado Complejo MAI o MAC • Micobacterium xenopi 21% • Micobacterium kansasii 6% Patogenia • El complejo MAI se encuentra en las heces de los pájaros, de donde puede pasar al suelo y al agua potable • A pesar de estos hallazgos, no está claro cuál es la fuente de infección • Tampoco se conoce con claridad si la infección que produce enfermedad es una infección reciente o es una reactivación de un reservorio endógeno
Micobacterias atípicas-Clínica LINFADENITIS • Aumento localizado o generalizado de adenopatías con o sin fiebre • Granulomas típicos en biopsia sólo en 1/3 • Bacilos ácido-alcohol resistentes (BAAR) en ganglio: – >100 CD 4, pensar en Tuberculosis – <100 CD 4, pensar en tuberculosis y MAC INFECCIÓN PULMONAR • Síntomas leves: tos, expectoración, disnea, fiebre, sudoración • RX de tórax: – – – Infiltrado intersticial o retículo-nodular 50% Infiltrado alveolar 20% Afectación sólo de lóbulos superiores <10% Adenopatías hiliares <15% Cavitación <5% Derrame pleural: raro
Micobacterias atípicas-Clínica GASTROINTESTINAL • Diarrea, dolor abdominal, signos de malabsorción, pérdida de peso • Adenopatías retroperitoneales • Úlceras en la mucosa intestinal INFECCIÓN DISEMINADA • Fiebre, escalofríos, sudoración • Debilidad • Náuseas, vómitos, diarrea, dolor abdominal • Pérdida de peso • Hepatoesplenomegalia • Linfadenopatía • Anemia, trombopenia, aumento de fosfatasa alcalina • Hemocultivos + en 86 -98% • Puede aislarse en casi todos los órganos
Micobacterias atípicas Diagnóstico • Aislamiento e identificación en cultivo de un sitio estéril: sangre, hígado, médula ósea, LCR • Siempre hay que descartar que se trate de una contaminación de laboratorio • Aislamiento en esputo, broncoaspirado, heces, descartar que se trate de una colonización (la micobacteria no está produciendo síntomas) y buscarlas en otros órganos (sangre, médula ósea…) • PACIENTE VIH+ CON AFECTACIÓN PULMONAR Y MAC EN 3 Ó MÁS MUESTRAS (ESPUTO, BRONCOASPIRADO, LAVADO BRONCOALVEOLAR), SIN OTRA CAUSA APARENTE, INICIAR TRATAMIENTO ANTI-MAC
Micobacterias atípicas Tratamiento • Claritromicina 500 mg/12 h ó Azitromicina 600 mg/día + • Otro antimicobacteriano: – – Etambutol 600 -1000 mg/ 12 h Ciprofloxacino Rifampicina, Rifabutina Amikacina • Puede ser útil la asociación de 3 fármacos (para MAC Claritromicina + Etambutol + Rifabutina) • Tratamiento de por vida, recaídas si abandono, aunque se puede plantear la retirada tras 12 meses si CD 4 >100 Profilaxis • No indicada en España por la baja prevalencia
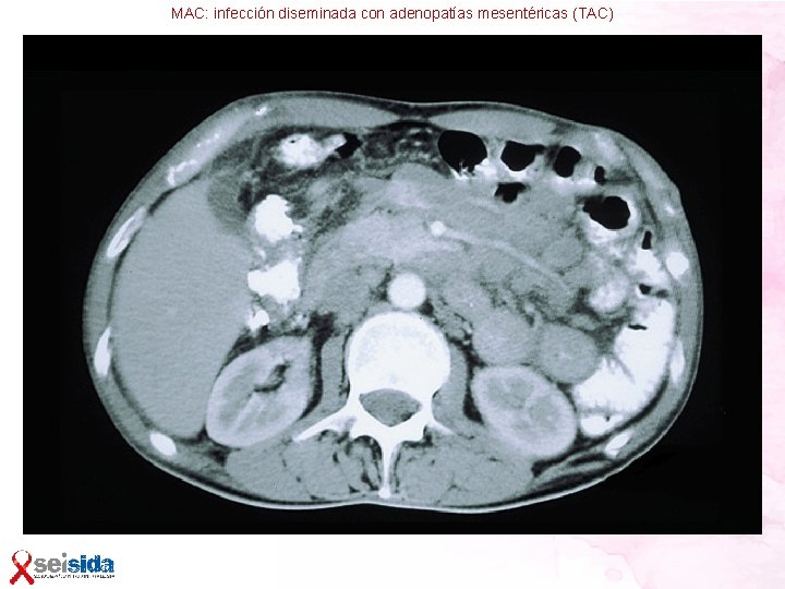
MAC: infección diseminada con adenopatías mesentéricas (TAC)
Leucoencefalopatía multifocal progresiva • Ocurre en la enfermedad por VIH muy avanzada Etiología: virus JC • Produce una enfermedad desmielinizante, con lesiones confluyentes en sustancia blanca subcortical • Histología: edema de oligodendrocitos, con inclusiones intranucleares que son las partículas del virus JC Clínica • Déficits focales de curso subagudo, en principio sin alteración del nivel de conciencia Diagnóstico: • Por los síntomas, asociado a hallazgos radiológicos en RMN cerebral: lesiones en sustancia blanca, hiperintensas en T 2, y tras haber descartado otras etiologías • Estudio por PCR en LCR. Resultados poco sensibles Tratamiento • No existe un tratamiento eficaz, la mejor opción es iniciar u optimizar el TAR con pautas potentes y con buena penetración en SNC
Leucoencefalopatía multifocal progresiva: RM
Sarcoma de Kaposi • El tumor maligno más frecuentemente encontrado en los pacientes VIH+ • A diferencia del Sarcoma de Kaposi no asociado al SIDA, tiene un curso clínico agresivo y diseminado en la mayoría de los pacientes. • Patogénesis incierta. • Puede presentarse con cualquier grado de inmunosupresión • Se origina en las células mesenquimales (endoteliales y musculares lisas) • Característicamente multicéntrico • El 94% de los casos son varones homosexuales, 4% ADVP y 1% heterosexual Etiología: por ser predominante en varones homosexuales, se ha barajado siempre un agente transmisible y probablemente a través de las relaciones sexuales. El agente implicado es el Virus Herpes asociado al Sarcoma de Kaposi (KSHV) o Herpes virus tipo 8 (HHV 8)
Sarcoma de Kaposi-Clínica • En >90% la localización es cutánea, y puede coexistir con otras localizaciones • En 5% afectación exclusiva de la mucosa oral Cutánea: nódulos, placas, lesiones en látigo, de color rojo-violáceo, diseminadas en el 70%, en cabeza, cuello y parte superior de tronco sobre todo, de 0, 5 -2 cm de diámetro. Al principio asintomáticas, pero tienden a confluir, dando: – – Edema y equímosis perilesional Masas exofíticas con necrosis y ulceración Hemorragias Sobreinfección Orales: en 50%, sobre todo en paladar y en mucosa gingival Adenopatías: 10 -60%. Puede ser exclusiva, con buen pronóstico Visceral: hasta en 50% en su evolución. A veces sólo visceral, puede ser la forma inicial. Los órganos más afectados son: estómago, duodeno, colon (hemorragias), pulmonar (suele ser asintomática) Diagnóstico: histológico o de visu por una persona experta.
Sarcoma de Kaposi Tratamiento • No siempre se debe iniciar, sólo si hay afectación visceral, si produce síntomas o si es estéticamente inaceptable para el paciente. – Radioterapia local, para lesiones no muy numerosas y sólo cutáneo – Tratamiento antirretroviral, hay muchos casos descritos de respuesta a este tratamiento, sobre todo en pacientes con CD 4 muy bajos (<200) – Quimioterapia: actualmente de elección para lesiones cutáneas múltiples, que progresan o si hay afectación visceral, con Doxorrubicina liposomal (Adriamicina liposomal). Permite dosis mayores del agente mientras se minimiza la toxicidad sistémica.
Sarcoma de Kaposi: lesión en paladar
Sarcoma de Kaposi: lesiones cutáneas pequeño tamaño
Linfomas no Hodgkin • • • Incidencia entre 6 -10% 75% en pacientes con <50 CD 4 20% en pacientes con >200 CD 4 Casi siempre son de estirpe B y de alto grado o intermedio Diagnostican SIDA: – – LNH-B o fenotipo inmunológico desconocido Linfoma de células pequeñas hendidas de alto grado (Burkitt o no) Linfoma de células grandes Linfoma cerebral primario: éste aparece en pacientes con <50 CD 4, con diagnóstico de SIDA previo y produce síntomas como confusión, letargia. Radiológicamente puede ser indistinguible de la toxoplasmosis cerebral. Asociado a infección por virus de Epstein-Baar. • Factores de buen pronóstico: – Escasa afectación del estado general (Karnosfsky >60) – Ausencia de otras enfermedades diagnósticas de SIDA – CD 4 >100 • Tratamiento: como en pacientes no VIH+