CANCER PULMONAR CANCERUL PULMONAR O ADEVARATA EPIDEMIE GLOBALA
CANCER PULMONAR
CANCERUL PULMONAR, O ADEVARATA EPIDEMIE GLOBALA Undeva, în lume, o persoană moare de cancer bronhopulmonar la fiecare 30 de secunde. Această afecţiune este principala cauza de deces prin cancer la nivel global. Anual se înregistreaza mai mult de 1, 3 milioane de cazuri noi şi peste 1, 2 milioane de decese. “În Europa, la fiecare 2 minute o persoană moare din cauza cancerului bronhopulmonar. În Europa Centrală şi de Est sunt înregistrate anual 119. 419 de cazuri noi şi 108. 982 de decese prin această boală. Rata de supravieţuire la 5 ani pe teritoriul Europei variază între 16, 1% si 8%".
DEFINIŢIE ŞI CLASIFICARE Cancerul pulmonar constă în creşterea necontrolată a celulelor anormale în unul sau ambii plămâni. Ulterior se formează aglomerările de celule canceroase (tumorile) care împiedică funcţionarea normală a plămânului şi în final îl distrug. Tipurile de cancer pulmonar Există mai multe tipuri de cancer pulmonar, dar, în general, se disting două categorii: • Cancer pulmonar cu celule mici (CPCM) predominant la circa 25% din cazuri • Cancer pulmonar cu celule non-mici (CPCNM) predominant la circa 75% din cazuri Fiecare provine din diferite tipuri de celule anormale.
Carcinomul pulmonar se dezvoltă din epiteliul bronhiilor si rar din epiteliul alveolar. CANCERUL CENTRAL § § Constituie 45 -50% din cazuri de cancer pulmonar. Se dezvoltă în mucoasa bronhiei principale, lobare şi în partea iniţială a bronhiei segmentare sub formă de nodul mic sau polip.
ETIOLOGIE § § § Inspirarea substanţelor cancerigene, fumatul. Modificări precanceroase ale epiteliului bronhiilor de calibru mare (hiperplazia, metaplazia, displazia pavimentoasa) Modificări genetice.
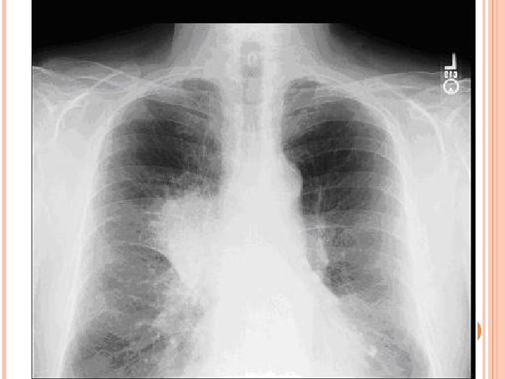
ASPECTE RADIOLOGICE Imaginea radiologica depinde de: topografie, dimensiuni, direcţia de creştere (intra- sau extrabronşică). o Dezvoltare intrabronşica - Produce semne radiologice ce traduc prezenţa tumorii şi semne ce exprimă tulburări secundare de ventilaţie. Ø Bronhografia - imagine lacunară în lumenul bronhiei sau o eroziune parietală.
Ø TC-imagine opaca dezvoltata in bronhie. Ø Ex. radiologic standart - semnalizează tulburări de ventilaţie. În obstrucţie incompletă - emfizem = hipertransparenţa regiunii respective. În obstrucţie completăatelectazie = opacifiere intensă, omogenă a regiunii respective însotită de retracţia formaţiunilor anatomice din vecinătate. o Dezvoltarea extrabronşica
1. Cancerul masiv al hilului(nodos) Reprezintă o imagine opacă, densă, de forma semicirculară sau semiovală, omogenă cu contururi regulate şi netede suprapuse peste hil. În cursul dezvoltării, conturul devine neregulat, cu prelungiri lineare dispuse radiar de la periferia formaţiunii tumorale spre marginea cimpurilor pulmonare, de-a lungul formaţiunilor vasculare şi interstiţiale.
2. CANCERUL BRONHOGEN «RAMIFICAT» Reprezinta o forma de cancer central în care tumora primară este acoperită de organele mediastinului. Pe imaginea radiografică se evidentiază prelungirile invazive pe calea limfaticelor.
3. CANCERUL LOBAR ( «PNEUMONIA CANCEROASA» ) Se caracterizează prin dezvoltare progresivă ce cuprinde un lob întreg. Radiologic, lobul apare intens şi omogen opacifiat, mărit în volum, iar scizura vecina poate fi împinsa.
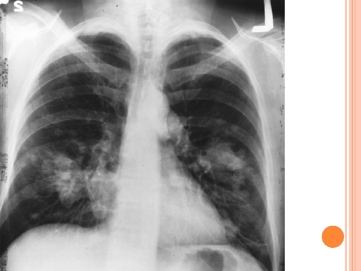
CANCERUL PERIFERIC §Se dezvoltă din epiteliul bronhiilor de calibru mic (segmentare, subsegmentare) sau bronhiolelor , rareori în epiteliul alveolar. §Se depistează în 50 -55% cazuri de cancer pulmonar. §Nu se manifestă clinic, se depistează la un examen ocazional. §Nu afectează pleura sau bronhia principală şi segmentară
ETIOLOGIE § Substanţe cancerigene, care pătrund cu sângele şi limfa § Procese inflamatorii cronice § Modificări precanceroase (hiperplazie, displazie, metaplazia epiteliului) § Focare de pneumoscleroză, cicatrice post tuberculoasă, pneumonie, infarct pulmonar, în jurul corpilor străini § Modificări genetice
ASPECTE RADIOLOGICE Radiologic se traduce ca o opacitate rotundă sau ovală, de dimensiuni mici omogenă cu contururi netede, intensitate mică cu sediul în parenchimul pulmonar, fără legatură aparentă cu hilul. Uneori se întilneşte o usoară «ombelicare» a conturului care devine bi- sau poli- arcuat.
În evoluţia ulterioară, odată cu creşterea dimensională, opacitatea pierde netitatea şi regularitatea contururilor, datorită infiltrării ţesuturilor învecinate pe calea spaţiilor limfatice; la nivelul hilului devine aparentă adenopatia tumorală.
CANCERUL DE V RF Tumora se dezvoltă în zona apexului pulmonar şi are un caracter infiltrativ local (plex brahial, mediastin, corpi vertebrali, coaste) Radiologic: - opacitate în zona apexului pulmonar - dezvoltarea implică invazie pleuro -parietală - distrugerea arcurilor costale posterioare C 1, C 2
- distrugere de apofize transverse vertebrale D 1 -D 2 - infiltraţia plexului brahial cu durere în braţ şi paralizie in membru superior - tulburări din partea simpaticului cervical (sdr. Claude. Bernard-Horner-enoftalmie unilaterala, ptoza palpebrala, mioza)
SARCOMUL PULMONAR Este o tumoră malignă rară, cu originea în structurile conjunctive, caracterizat printr-o evolutie rapida, in cursul careia poate atinge dimensiuni considerabile. Se intilneste mai des la persoanele peste 40 de ani, dar poate fi intilnit la persoane tinere si copii. Radiologic – initial apare opacitate rotunda sau ovala unica situata in parenchim. Cresterea rapida conduce la constituirea unei opacitati intinse, care poate interesa un lob in intregime; in acest caz, volumul lobului apare marit.
COMPLICATII metastazare la distanta si controlateral complicatii septice locale necroza si ulceratia tumorii propagare locala
CANCERUL PULMONAR FĂRĂ CELULE MICI Este clasificat în trei subtipuri: Adenocarcinoame localizate în glandele mucoase. Carcinomul scuamos sau epidermoid localizat în tubii bronşici. Carcinomul cu celule mari aflat aproape de suprafaţa pulmonară. Aproape întotdeauna cancerul pulmonar începe într-un plămân şi dacă nu este tratat poate disemina la nivelul ganglionilor limfatici şi în alte ţesuturi din torace (inclusiv plămânul opus). De asemenea, cancerul pulmonar poate metastaza în oase, creier, ficat sau alte organe.
CANCERUL CU CELULE MICI Este mai agresiv , creşte şi diseminează rapid. Există două stadii ale bolii: limitat şi extensiv. De cele mai multe ori la momentul diagnosticului există deja metastaze. Statistici: Aproximativ 339. 000 de cazuri noi au fost diagnosticate în 2001, reprezentând 26% din totalitatea noilor cazuri de cancer. Aproximativ 314. 000 de români vor muri de cancer pulmonar în 2002, reprezentând 56% din totalitatea deceselor prin cancer. Cancerul bronho-pulmonar se situează pe locul doi după cel de prostată la bărbaţi şi cel de sân la femei. Ca mortalitate ocupă primul loc la ambele sexe. Anual cancerul pulmonar determină moartea mai multor bărbaţi şi femei decât cancerul de prostată şi de sân sau colorectal. între 1960 şi 1990 decesele prin cancer pulmonar în rândul femeilor au crescut cu aproximativ 40%.
SIMPTOMATOLOGIE O lungă perioadă de timp boala nu are nici o manifestare, diagnosticul fiind întâmplător. Semnele şi simptomele cancerului pulmonar sunt iniţial nespecifice şi adesea sunt confundate cu ale unor afecţiuni mai puţin grave.
MANIFESTĂRI RESPIRATORIII Dispnee (dificultate la respiraţie). Modificarea caracteristicilor tusei la un fumător Persistenţa tusei la un nefumător. Durerea toracică Modificarea sputei (culoare, cantitate) Prezenţa sângelui în spută Wheezing (respiraţie şuierătoar e) Infecţii respiratorii repetate, greu tratabile. Alte semne şi simptome ale cancerului pulmonar pot să nu fie de origine respiratorie Oboseala Pierderea apetitului Tulburări de echilibru, de vedere, ale memoriei. Scădere ponderală nejustificată. Febră De asemenea, pot exista semne şi simptome determinate de diseminarea bolii în alte zone ale organismului. În funcţie de organele afectate, acestea pot include cefalee, slăbiciune generală, durere, fracturi osoase, sângerări sau cheaguri de sânge.
DIAGNOSTICUL CANCERULUI PULMONAR Diagnosticarea precoce a cancerului pulmonar este capitală pentru îmbunătăţirea şanselor de supravieţuire. Se folosesc o serie de teste, de la simplul examen clinic la metode imagistice sofisticate: Examenul clinic - este important pentru evidenţierea semnelor de boală. Examenul toracelui (inspecţie, palpare, percuţie, Radiografia toracică este cea mai simplă metodă ce poate ridica suspiciunea de cancer pulmonar. Bronhoscopia reprezintă vizualizarea corectă a arborelui bronşic şi recoltarea de ţesut pentru examenul anatomo-patologic(biopsie) Examenul citologic din spută, aspirat, lavaj sau brosaj sau examanul anatomo-patologic al materialului tisular sunt metodele care pun diagnosticul de certitudine(prezenţa celulelor canceroase) Tomografia computerizată (TC) este metoda prin care se precizează stadiul bolii, de care depinde conduita terapeutică. Rezonanta Magnetica Nucleara RMN este similară TC cu excepţia că foloseşte un câmp magnetic în locul razelor X pentru a crea imaginea structurilor analizate. Tomografia cu emisie de pozitroni (PET-scan) este o metodă nouă, sofisticată, cu unele avantaje faţă de TC sau RMN.
TESTELE PENTRU DEPISTAREA CANCERULUI PUMONAR TESTE SEMNIFICAŢIA / ROLUL TESTULUI Teste de sânge - Pot ajuta în aprecierea stării generale de sănătate şi a posibilei răspândiri a cancerului pulmonar. Furnizează informaţii privind : • Activitatea rinichilor şi a ficatului - Creatinina/LFT • Echilibrul biochimiei corpului - calciu/proteine suficiente • Vulnerabilitatea la infecţii - număr de celule albe • Susceptibilitatea la vânătăi/sângerări Radiografia osoasă O radiografie realizată după injectarea în venă a unei cantităţi mici de substanţă radiodioactivă, pentru a evidenţia orice zonă a oaselor care a fost afectată de cancer, traume sau inflamaţii. În mod obişnuit, este făcută ambulatoriu. Bronhoscopia Examinarea, fotografierea şi, recoltarea prin biopsie când este posibil – a unei mici cantităţi de ţesut din interiorul plămânilor. Proba poate fi malignă (canceroasă) sau benignă.
TRATAME NT Noile opţiuni terapeutice au crescut semnificativ ratele de supravieţuire de-a lungul ultimilor decade. Există trei modalităţi principale de tratament: Chirurgia: operaţia de îndepărtare a tumorii (şi a ţesutului înconjurător, a unei părţi din pulmon sau a întregului pulmon). Chimioterapia: Tratamentul cu droguri anticanceroase pentru micşorarea sau distrugerea tumorii. Radioterapia: tratamentul ce foloseşte radiaţii ionizante(raze X, radium, neutroni) ţintit pe volumul tumoral
ALTELE Radiografia la nivelul pieptului O simplă radiografiere a pieptului care poate, uneori, să evidenţieze afecţiuni inflamatorii, infecţii, cicatrici sau excrescenţe. Radiografie CT (tomografie computerizată) O radiografie care arată o imagine tridimensională a organelor corpului. Sesizează apariţia metastazelor la alte organe şi eventuala afectare a nodulilor limfatici (glande) sau a vaselor de sânge. Uneori se administrează un lichid pentru evidenţierea anumitor organe. Radiografia este nedureroasă, dar dă senzaţia de apăsare în timpul rotirii aparatului în jurul corpului. Anunţaţi personalul medical dacă suferiţi de claustrofobie pentru a vă ajuta în timpul radiografiei. Teste de funcţionare a plămânilor Aceste teste stabilesc buna funcţionare a plămânilor (capacitatea de aer/oxigen). Ajută la alegerea tratamentului adecvat – chirurgie, radioterapie - sau evidenţiază alte boli pulmonare active, de ex. emfizemul. Aceste teste simple implică, de obicei, expirarea într-un dispozitiv. Mediastinoscopie O procedură chirurgicală pentru a examina nodulii limfatici de sub osul pieptului (va lăsa o cicatrice mică). Acest test cere o anestezie generală şi o scurtă internare. Radiografie RMN (Rezonanţă magnetică nucleară) Radiografiere cu ajutorul unui aparat – procedură nedureroasă dar zgomotoasă, asemănătoare tomografiei computerizate, care oferă un alt tip de imagine tridimensională prin utilizarea unui câmp magnetic în locul razelor X. În timpul radiografierii se vor scoate bijuteriile, care ar putea fi magnetizate. Comunicaţi personalului dacă suferiţi de claustrofobie, ca să vă ajute în timpul procedurii.
Radiografie PET (Tomografie cu emisie de pozitroni) Obţinerea unei radiografii care oferă imagini a tumorilor maligne din tot corpul. O radiografie PET ar trebui efectuată înainte de operarea tumorii pulmonare şi radioterapia radicală, pentru a vă asigura de eficienţa unui tratament curativ (radiografia PET este mai exactă decât tomografia computerizată). Radiografie PET poate fi folosită totodată pentru a investiga un cancer suspectat, dacă diagnosticul nu a fost posibil folosind alte teste. Pentru evidenţierea celulelor canceroase active se injectează un marker radiologic. Radiografia este nedureroasă, silenţioasă şi nu veţi fi introdus în întregime în aparat în timpul examinării. Spută O analiză de spută poate ajuta la stabilirea existenţei infecţiei sau a sângelui în spută. Acest test se poate face în spital sau în regim ambulator. Ultrasunete Este o radiografie nedureroasă care foloseşte ultrasunetele pentru vizualizarea interiorului corpului. Se foloseşte în examinarea rinichilor, ficatului şi plămânului. Este utilizată adesea pentru a determina existenţa lichidului în plămâni.
FACTORII DE RISC: Fumatul Expunerea la anumite substanţe industriale, precum arsenic, radon, azbest, nichel, crom Unele substanţe chimice organice: hidrocarburi aromatice policiclice Expunerea la radiaţii din surse ocupaţionale, medicale sau de mediu Poluarea aerului Boli pulmonare cronice
UTILITATEA INVESTIGAŢIILOR PARACLINICE ÎN CBP PRECOCE Înainte de abordarea investigaţiilor paraclinice utile diagnosticului CBP precoce as vrea să menţionez faptul că acest CBP precoce (tocmai datorită stadiilor iniţiale) poate fi împărţit în: - CBP precoce central: 99 cazuri (75, 6%); - CBP precoce periferic: 32 cazuri (24, 4%). Dacă etiologia si simptomatologia CBP precoce au fost tratate per ansamblu, neexistând diferenţe majore, la investigaţiile paraclinice se utilizează frecvent această împărţire datorită abordului diagnostic diferit în cele 2 situaţii. Radiografia pulmonară a reprezentat primul pas în diagnosticul CBP precoce în judeţul Constanţa, fiind o investigaţie screening. Ea a arătat modificări la 97% din pacienţii cu CBP precoce, modificări care integrate contextului clinic au pus semne de întrebare si au determinat investigaţii suplimentare. “Aceste aspecte radiologice au fost dependente de localizarea centrală sau periferică a tumorii, de prezenţa obstrucţiei bronsice sau a infecţiei. Din analiza bolnavilor studiaţi putem concluziona că CBP precoce a fost predominant central (75% în lotul nostru faţă de 80% în literatură (26, 27)), localizat pe dreapta (60%, identic cu cel din literatură), localizat la nivelul lobilor superiori (60%, de asemenea identic cu cel din literatură (26, 27)). ”
Pacientul, în vârstă de 40 de ani, fumător, se prezintă la Urgenţă pentru discomfort toracic şi o stare de slăbiciune generalizată. Cu ceva timp în urmă a remarcat o formaţiune la nivelul peretului toracic stâng care a crescut în dimensiuni în ultimele 3 luni. Recent a apărut parestezie la nivelul pielii care acoperă masa tumorală, pacientul menţionând faptul că a scăzut şi gradul de mobilizare al umărului său stâng.
Bărbatul este cunoscut ca fiind alcoolic, are o dentiţie precară şi acuză apariţia frecventă a unor abcese dentare, utimul din acesta apărând cu 2 luni în urmă şi remitându-se spontan. În ultimul an el reclamă o tuse seacă, neproductivă, însotită noaptea de transpiraţii. De asemenea, pacientul a pierdut în greutate în ultimele 4 săptamani. Între antecedentele sale ar mai fi de menŢionat o bronşită astmatiforma în copilărie. La examenul fizic pacientul este afebril, cu semne vitale stabile. Formaţiunea toracica are aproximativ 6 cm, este localizată în jurul mamelonului stâng, este fermă, imobilă şi nedureroasă la palpare. Pielea adiacentă nu prezintă nici o modificare din punctul de vedere al aspectului. Examenul pulmonar nu relevă nimic patologic, asemenea celui cardiovascular.
formaţiune pleurală stânga
Extensia masei pleurale stangi la CT
Formatiune extinsa in parenchimul pulmonar, insotita de adenopatie
Radiografia toracelui anterior si cea laterala evidentiaza o formatiune opaca in plamanul stang, cu extindere pleurala, cu ingrosarea apicala a pleurei si o zona cicatriceala in lobul superior. La computer tomograf se poate vizualiza de asemenea aceasta formatiune si extinderea si dimensiunile ei (10. 8 X 4. 1 cm). Mai mult decat atat, se sesizeaza o ingrosare a periostului coastelor adiacente. RMN-ul cu contrast aduce in atentia medicilor adenopatia supraclaviculara stanga si subliniaza extinderea pana la nivelul pectoralului mare a formatiunii, respectiv in profunzimea parenchimului pulmonar. Diagnostic?
La momentul finalizării investigaţiilor cel mai probabil diagnostic a fost considerat neoplasmul (sarcom, cancer pulmonar, mezoteliom, limfom sau osteosarcom). Însă. . .
Pentru realizarea diagnosticului diferential medicii au efectuat o biopsie care surprinzator nu a evidentiat diviziuni celulare aberante, in schimb a adus diagnosticul prin relevarea inflamatiei cronice si a tesutului de granulatie care continea Actinomyces. Acesta a fost confirmat prin coloratii PAS, Gomori si Gram. Tratamentul cu penicilina G injectabila a fost imediat demarat (4 milioane de unitati la 4 ore timp de 6 saptamani). La momentul respectiv s-a stabilit refacerea CT-ului dupa 4 saptamani deoarece este cunoscut faptul ca in mod frecvent actinomicoza este cantonata pe tesuturi maligne. Cazul pacientului insa a fost unul fericit, la 3 luni de la diagnosticare formatiunea toracica s -a remis complet.
Actinomicoza este o afectiune cronica supurativa granulomatoasa, cauzata de specii din familia Actinomyces, cel mai frecvent de A. israeli. Localizarea cea mai des intalnita este cea cervicofaciala, insa cea toracica nu este deloc de ignorat. Incidenta sa in randul persoanelor imunosupresate este mai ridicata decat la cele normale. Intre semnele si simptomele bolii de mentionat sunt pierderea in greutate, cvasiconstant intalnita, febra, uneori, si in functie de localizare extinderea in tesuturile adiacente. Actinomicoza poate aparea in orofaringe, motiv pentru care persoanele edentate sunt mai susceptibile la infectie. Boala este subapreciata si diagnosticata dificil deoarece este relativ rar intalnita. De asemenea aspectul sau radiologic foarte asemanator cu al tesuturilor maligne impun biopsia ca metoda principala de diagnostic diferential. Modificarile analizelor de laborator care o insotesc sunt de asemenea nespecifice. Se poate gasi o leucocitoza medie sau markeri inflamatori precum CRP ridicati, insa investigatiile suplimentare sunt absolut necesare. Din fericire tratamentul de electie pentru actinomicoza este penicilina intravenoasa pentru 2 -6 saptamani, sau, ca substiuent pentru pacientii alergici la penicilina, se utilizeaza amoxicilina vreme de 6 -12 luni. Interventia chirurgicala se efectueaza numai in cazurile unor complicatii precum fistulizarea sau empiemul.
[Întrebări? ] [Mulţumesc pentru atenţie] [Discuţii…] [Sugestii…]
- Slides: 47