Bunny Bunny is a twoweekold Quarterhorse filly presenting
Bunny • Bunny is a two-week-old Quarterhorse filly presenting with pneumonia, and severely swollen hocks, and difficulty standing and walking. • History • Joint problems for five days (presented 18 June 2008, problems began on Friday, 13 June 2008) • Diarrhea at 1 week of age, but resolved by the time of presentation. • Patent urachus
• She was evaluated by another mixed-practice veterinarian in the field as soon as she was noted to be lame (on the 13 th) and was placed on Nuflor (florfenicol) and told them to administer a second dose in 3 days and that "she would be fine. " • When she did not improve after the second dose of Nuflor, the client contacted the field veterinarian who recommended hauling the foal to Okotoks for evaluation. Dr. Reid examined the filly.
• Your Assessment • What do you need to know about the MSK system to improve your diagnostic investigation? • What do you need to know about pediatrics • What do you need to know about Nuflor to improve your diagnostic investigation? • Recommendations/Options Offered to Client • What tests might you recommend? • What do you need to know before you predict the natural history of this patient’s problem?
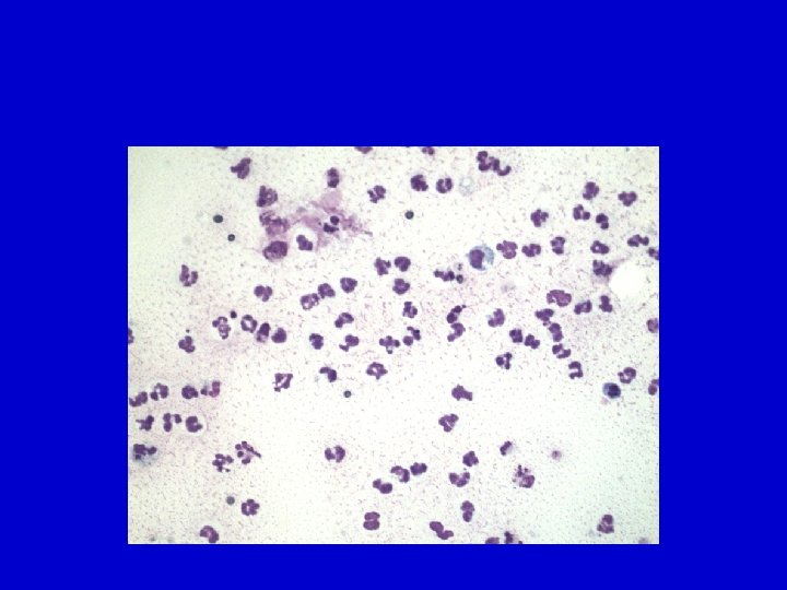
• Dx tests–follow-up • Culture and sensitivity • Final examination • Cytology slides • Culture of SF showed growth of Salmonella typhimurium • X-rays show osteomyelitis of talus in left hock
Finale • Choices?
- Slides: 7