Bruce R Wall MD FACP February 2 nd
Bruce R. Wall, MD, FACP February 2 nd, 2009
“I never questioned the integrity of an umpire… their eyesight, yes…” Leo Durocher “About the only problem with success is that is does not teach you how to deal with failure” Tommy Lasorda “I think the good Lord is a Yankee” Mariano Rivera “If you come to a fork in the road, take it…” Yogi Berra
AD-PCKD (AR-PCKD) Acquired renal cystic disease Tuberous sclerosis – angiomyolipoma AD-Von Hippel Landau Benign simple cysts – 25% on sonogram; perhaps 50% males have cyst on CT scan Medullary sponge kidney – tubular dilatation collecting ducts, confined to the medulla Bilateral parapelvic cysts – benign X linked orofacialdigital syndrome type I
Multiple renal cysts Forehead plaques Hypomelanotic macules Retinal hamartoma (nodular) Rectal polyps Gingival fibromas Brain, eyes, heart, liver, kidney, skin, CNS are affected
Multiple renal cyts Retinal hemangiomas Renal clear cell carcinomas CNS hemagioblastomas Pheochromocytoma Pancreatic cysts Epididymal cysts
Occurring in 1 in every 400 to 1000 births < 50% will be diagnosed (clinically silent) Most families abnormal chromosome 16 (called PKD 1 locus) Other gene is on chromosome 4 (PKD 2 locus) PKD 1 96% of North America; 85% of Europe Both encode proteins aka “polycystin I & II” PKD 1 gene is adjacent to gene of Tuberous sclerosis (TSC 2), associated with cyst formation (angiomyolipoma) Genotype/phenotype correlation with PKD 1 & 2 “unclear” – immense size, complexity, allelic heterogeneity
Genomic duplication of PKD 1 “like genes”; therefore, screening for mutations is difficult due to large number Negative Family History may occur in up to 25% of cases, even with sonogram that is very suggestive of PCKD There may be no affected parent (or no diagnosis in the parent) Could easily be a new mutation Ten or more cysts = likely good criteria for DX
Multi-center NIH funded study ACE vs ACE & ARB medication to slow rate of loss of function Preserved kidney function arm (GFR > 60) Advanced kidney disease (30 to 60 ml/min) Rumors about use of VAPTINS
Localized in renal tubular epithelia, hepatic ductules, pancreatic ducts (all sites in PCKD) Integral membrane protein Overexpressed in most cysts in kidney from PCKD patients Cause abnormalities in renal cilia May induce cell cycle arrest Why is there variable phenotypic expression? Defect is present in 100% of cells, yet only 10% of tubules form cysts… (second hit hypothesis? ) Therefore – mechanism of cyst formation and growth is unclear (abnormal differentiation or cell maturation)
Easy diagnosis in overt disease: flank pain, positive family history, CRI, large kidneys with multiple bilateral cysts on CT or sonogram Cysts in liver, pancreas, and spleen What do you do with otherwise unexplained CRI, hematuria, with negative family history?
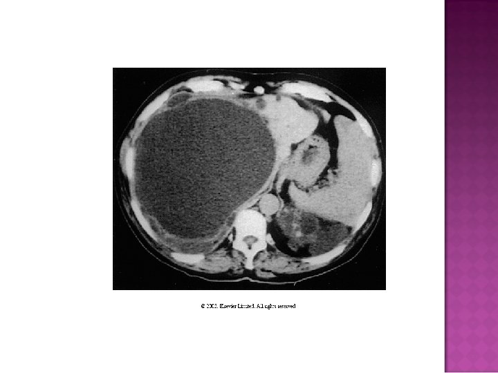
Bilateral cystic disorder in kidneys with ESRD from non-cystic disease 25 to 40% replacement of renal parenchyma CT scan or US demonstrating > 5 cysts
Incidence in ESRD patients may be > 25% Grantham and Levine report 40% incidence with 6% tumors… May occur in any patient with creatinine above 3 mg% Geographic incidence is elevated in Japan
Gross findings: overall kidney size is smaller Mean weight 76 gms Cysts may be cortex or cortico-medullary Usually less than 2 -3 cms Clear fluid, rarely hemorrhagic
Only when complicated by hemorrhage or tumor For tumors > 3 cm? ? Symptoms of malignancy Part of pre-transplant work up
ACKD occurs in ESRD with all causes of renal failure May be common Pathogenesis is poorly understood Function of total duration on dialysis Risk for RCC is elevated Screening is controversial
- Slides: 41