BRONCHIECTASIE Con il termine bronchiectasia si indica una
BRONCHIECTASIE Con il termine bronchiectasia si indica una particolare malformazione anatomica cronica dei bronchi che perdono la loro caratteristica di “tubi” a pareti parallele, per divenire tortuosi, dilatati e sfiancati in vari punti lungo il loro decorso. Tale caratteristica fa perdere alla struttura bronchiale la possibilità di drenare facilmente all’esterno le secrezioni protettive prodotte dalle ghiandole bronchiali che si trovano lungo la loro parete, e facilita l’accumulo di catarro all’interno delle vie aeree. In tal modo i secreti prodotti vengono a rappresentare un terreno ottimale per la crescita batterica, favorendo la comparsa e la persistenza di fenomeni infiammatori ed infettivi che nel tempo divengono cronici (senza più possibilità di guarigione).
Si distinguono due diversi tipi di bronchiectasie in funzione dei momenti in cui le stesse si formano: Bronchiectasie congenite: Sono molto rare e sono già presenti alla nascita, rappresentando un momento malformativo del feto e del neonato. Quando presenti, determinano una serie di infezioni respiratorie molto precoci e talora molto gravi del bambino, compromettendo talora anche in modo importante il processo di crescita.
Bronchiectasie acquisite: sono le più comuni e si formano dopo la nascita. La principale causa è rappresentata da precoci infezioni neonatali dell’apparato respiratorio, in grado di determinare una vera e propria azione distruttiva sulle pareti bronchiali ad opera di batteri aventi tale capacità. Una pertosse nel neonato, ad esempio, è spesso causa di sviluppo di bronchiectasie nelle fasi successive all’infezione, facilitando la formazione delle stesse attraverso l’opera di costante sfiancamento meccanico delle pareti bronchiali operato dalla tosse insistente e dall’infezione bronchiale su bronchi particolarmente delicati in questa fase della vita. Anche le polmoniti in epoca neonatale sono spesso causa di bronchiectasie. Altra causa rilevante è rappresentata dalla tubercolosi (TBC da bacillo di Koch), e dalle conseguenze che tale malattia respiratoria determina sulle vie aeree in termini di distruzione e rimaneggiamento delle strutture bronchiali a distanza di anni dall’infezione tubercolare. In questo caso non è tanto il meccanismo da “pulsione” (tosse) a determinare il principale fattore causale, quanto invece un meccanismo di trazione dei bronchi ad opera di cicatrici retraenti che “stirano” i bronchi dall’esterno provocando le caratteristiche malformazioni.
Per quanto non si possa fare una distinzione troppo rigorosa per ciò che si riferisce alla sede ove si localizzano, in linea di massima si può affermare che le bronchiectasie si localizzino in due diversi settori dei polmoni in funzione del loro momento formativo: bronchiectasie prevalenti alle basi polmonari: è la sede più comune per le bronchiectasie congenite e per quelle acquisite con meccanismo di complicazione post-infettiva (esito di pertosse, polmoniti neonatali, ecc. ). bronchiectasie prevalenti agli apici polmonari: sono quasi esclusivamente rappresentate da quelle post-tubercolari, generate in questa sede dai meccanismi da trazione operati dalle cicatrici e dai tralci di tessuto fibroso presente in queste regioni del polmone sede dei precedenti processi tubercolari.
Quadri Broncografici di bronchiectasie
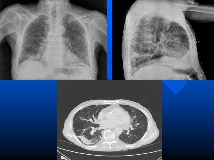
Immagini T A C di bronchiectasie
In base a ciò che si è detto prima, le bronchiectasie possono rendersi manifeste attraverso quadri di bronchite cronica ( bronchite cronica bronchiectasica) caratterizzati da importanti fenomeni infettivi delle vie aeree, con tosse catarrale ed emissione di espettorazione muco-purulenta o francamente purulenta (pus), febbre anche elevata, facile affaticabilità e compromissione dello stato generale, dolore toracico nel caso meno favorevole di evoluzione polmonitica, episodi emorragici anche di entità rilevante e difficoltà respiratoria talora notevole (dispnea) fino all’insufficienza respiratoria nei pazienti con storia datante da molti anni.
DIAGNOSI clinicamente è possibile sulla base di una sintomatologia bronchitica ricorrente che non trovi spiegazione. Dal punto di vista strumentale, rmai in disuso le vecchie metodiche radiologiche broncografiche, oggi la diagnosi di bronchiectasie è possibile ed agevole attraverso un semplice esame TAC del torace ad alta definizione senza mezzo di contrasto (HRCT-Torace). Esami complementari, quali gli esami colturali batteriologici sull’espettorato per la ricerca di germi residenti anche pericolosi e le prove di funzionalità respiratoria sono utili strumenti per orientare correttamente la prevenzione degli episodi infettivi e la terapia.
Sintomi presentati dal paziente (suppurativi o emorragici), si va dalla terapia della bronchite acuta suppurativa con la somministrazione di antibiotici e di tutti i presidi farmacologici più utili in tale situazione, fino ad arrivare alla somministrazione di ossigeno nei pazienti che presentino il quadro dell’insufficienza respiratoria. Diviene fondamentale la prevenzione degli episodi di riacutizzazione bronchiale, limitando il contatto con persone potenzialmente fonte di infezione per il paziente ed insegnando allo stesso tutta una serie di misure utili alla buona gestione della persona e dei contatti sociali meno rischiosi. Nei quadri emorragici diviene prevalente la necessità di controllo dell’emorragia (emoftoe) non solamente attraverso il trattamento della stessa nella fase acuta, ma soprattutto attraverso l’istruzione del paziente per ridurre le possibilità che l’emoftoe si ripresenti (non consumare alimenti e bevande troppo caldi, non esporre il torace al sole per un periodo di tempo troppo prolungato, controllare periodicamente la pressione arteriosa, ecc. ).
Nei gravi casi di emoftoe massiva con rischio per la vita, è possibile praticare un intervento di embolizzazione in urgenza delle arterie bronchiali per via angiografica. Tale metodica consente spesso di arrestare l’emorragia in atto, per quanto tale tipo di trattamento comporti in un certo numero di casi il rischio sicuramente non trascurabile di provocare quadri di paralisi irreversibile degli arti inferiori per embolizzazione di rami arteriosi collaterali destinati alla irrorazione sanguigna del midollo spinale. In casi estremi ed urgenti è possibile ricorrere all’intervento chirurgico di resezione di limitate aree polmonari, quando addirittura di interi lobi se presenti fenomeni suppurativi gravi non più controllabili con la sola terapia medica. Utili risultano poi gli esercizi di ginnastica respiratoria in grado di facilitare l’eliminazione delle secrezioni catarrali bronchiali (fisiokinesiterapia respiratoria – FKTR). Nei quadri clinici più avanzati e deteriorati non è impossibile pensare di ricorrere anche alla via del trapianto polmonare.
Bronchite acuta - Processo respiratorio catarrale acuto che colpisce le vie bronchiali a vario livello; di preferenza nelle ramificazioni prossimali, isolatamente ( bronchi principali , lobari , segmentari) o in associazione a compartecipazione tracheale (tracheo-bronchiti ). -- Trasmissione per via inalatoria di agenti etiologici batterici e/o virali o virulentazione di agenti saprofiticamente esistenti nei settori alti delle vie respiratorie -- Fattori predisponenti sono le perfrigerazioni, il sovraffaticamento, la persistente o temporanea irritazione delle vie aeree da parte di fattori nocivi (fumo di sigaretta, polveri o vapori irritanti)
Sintomatologia Manifestazioni di ordine generale: malessere, cefalea, mialgie, temperatura febbrile Bruciore retrosternale o dolore urente che aumenta con i colpi di tosse Tosse secca , stizzosa, insistente scarsamente produttiva. A volte nella fase di estensione ai bronchi più distali assume carattere umido con espettorato più o meno abbondante a volte mucopurulento Obiettivamente presenza di ronchi e/ o rantoli modificabili con i colpi di tosse RX in genere negativo Decorso in genere da pochi giorni a qualche settimana In alcune forme virali residua tosse secca insistente
Broncopolmoniti Processi infiammatori acuti che colpiscono con focolai unici o multipli circoscritti territori lobulari del polmone , e le vie bronchiali afferenti, in rapporto ad agenti microbici di varia specie Batteri: Streptococco p. , Haemophilus I. , Klebsiella P. , Moraxella C. , Primitive in soggetti senza altre affezioni Secondarie ad altri quadri morbosi di pertinenza anche non polmonare: influenza, morbillo, tracheiti, traumi toracici, alterazioni cardio circolatorie, malattie metaboliche (ad es. diabete ), soggetti defedati, allettati, nel post-operatorio Frequenti in bambini e anziani specie nei mesi invernali
Sintomatologia Insorgenza acuta nelle forme primitive: improvviso rialzo termico, tosse, dispnea, tachicardia, dolore toracico Nelle forme secondarie il quadro si instaura gradualmente e quasi inavvertitamente All’obiettività toracica frequente presenza di rantoli a piccole e medie bolle nella zona interessata. A volte nelle forme intraparenchimali l’ascoltazione può essere muta RX. : opacità variamente addensate , ad immagine rotondeggiante, ovalare, tenuemente sfumata in periferia
Broncopolmonite sup. dx. Rx normale dopo terapia
Broncopolmonite da Mycoplasma
Broncopolmonite da Chlamidia
Decorso-prognosi e terapia In 7 – 10 g. g. sotto terapia si ha la risoluzione Nei soggetti in età avanzata, allettati, compromessi lo stato morboso può protrarsi per 2 – 3 settimane e nei casi di gravi compromissioni organiche può avere esito letale Ascessualizazione, pleurite o empiema, sepsi, meningiti possono complicare il quadro Trattamento chemio antibiotico indispensabile Terapia di supporto specie in pazienti con copatologie o compromessi
Polmonite Flogosi batterica acuta del polmone caratterizzata dalla produzione di essudato fibrinoso nelle cavità alveolari, con impegno di una parte di lobo, di tutto un lobo, di più lobi o di un intero polmone L’agente eziologico più frequente rimane ancora oggi il Diplococco P. , mentre con proporzioni inferiori entrano in causa Klebsiella P. , Haemophilus I. , Serrati M. Maggiormente colpito il sesso maschile nella 3 -4 -5 decade in inverno e all’inizio della primavera
Sintomatologia Improvviso , violento dolore toracico puntorio o trafittivo Rapida elevazione termica fino a 40° Frequente comparsa di herpes labiale Obnubilamento del sensorio, agitazione psicomotoria, delirio possono essere presenti Cianosi dei pomelli , lingua e labbra secche, dispnea con respirosuperficiale, tachicardia Tosse prima secca si accompagna in 4 – 5 giornata ad espettorato abbondante rugginoso
Sintomatologia Il reperto obiettivo toracico prima mostra lieve ipofonesi con M. V. ridotto, e successivamente ottusità completa della zona , e comparsa all’ascoltazione di rantoli crepitanti RX. : intensa opacità della zona colpita
POLMONITE PNEUMOCOCCICA Dopo antibioticoterapia 26
Polmonite da Pseudomonas
Terapia Chemiantibiotici Terapia di sostegno Ossigeno Assistenza respiratoria nei casi più gravi Il malato di polmonite rimane sempre comunque un malato molto grave per il quale i vari mezzi terapeutici vanno affiancati ad una vigile sorveglianza allo scopo di evitare ricadute e cogliere subito eventuali segni di complicanze sempre possibili ( ascessualizzazioni, endocarditi, meningiti ecc. )
Ascesso polmonare L’ascesso polmonare è una cavità suppurativa localizzata al polmone, contenente pus e prodotti della necrosi del tessuto polmonare, contornata da un’area infiammatoria più o meno vasta. L’ascesso polmonare può essere unico o multiplo, presente in un solo polmone o in entrambi, di dimensioni variabili da qualche millimetro a 4 -6 centimetri. I batteri più frequentemente riscontrabili nel materiale purulento sono gli Streptococchi aerobi e anaerobi, ma molti altri agenti batterici possono sostenere l’infezione e tra questi Staphylococcus aureus, Klebsiella pneumoniae ed Haemophylus influenzae.
CAUSE - passaggio nelle vie aeree di materiale proveniente dalle vie digestive (vomito e rigurgito), favorito da situazioni quali il coma, l’alcoolismo acuto (ubriachezza), - localizzazione di materiale infetto al polmone proveniente da ascessi dentali - persistenza di una sacca di materiale infetto che si ascessualizza successivamente ad una polmonite - immunodepressione ed infezioni fungine polmonari in pazienti immunodepressi per AIDS, tossicodipendenza e malattie gravemente debilitanti -embolisettici - semplice batteriemia in presenza di infezioni batteriche dell’organismo senza vera e propria presenza di emboli settici
CAUSE - tumori polmonari maligni primitivi o secondari (metastatici) che favoriscano la suppurazione come conseguenza dell’ostruzione di un bronco o secondariamente alla sovra-infezione di una zona centrale del tumore divenuta ischemica (non irrorata dal sangue) e resa per questo necrotica (cancro-ascesso) - corpo estraneo inalato e trattenuto nel tempo all’interno delle vie aeree senza sintomi di rilievo - cause apparentemente non riconoscibili - complicanza di infezione polmonare a partenza da bronchiectasie
SINTOMI Possibili sintomi inziali sovrapponibili a quelli di una polmonite : - febbre anche molto elevata, con le caratteristiche della febbre settica intermittente (puntate febbrili che compaiono anche più volte nella giornata accompagnate da brivido e che danno luogo a sfebbramento anche completo associato a sudorazione intensa) - tosse produttiva - espettorazione di materiale muco-purulento anche abbondante, talora misto a sangue, che può esitare nella “vomica”, consistente nell’improvvisa emissione dalla bocca di una grande quantità di materiale purulento misto a detriti necrotici proveniente dallo svuotamento improvviso dell’ascesso
SINTOMI - alito fetido con odore putrefattivo molto intenso (in caso di suppurazione da batteri anaerobi) nel caso in cui l’ascesso dreni anche solo parzialmente in un bronco. In altri casi (ascesso chiuso) tale sintomo può mancare - possibile presenza di dolore toracico (in caso di interessamento pleurico) - dispnea - anoressia - inappetenza - talora importante compromissione dello stato generale con diminuzione di peso - presenza talora, specie in caso di cronicizzazione dell’ascesso per mancata risposta alla terapia, di alterazioni morfologiche delle dita delle mani e dei piedi note come “dita a bacchetta di tamburo” (ippocratismo digitale o clubbing ungueale)
RX: Ascesso lobo sup. dx Immagine TAC
Ascesso polmonare Dopo terapia
Rx torace base Rx Torace dopo terapia
TERAPIA. -La terapia dell’ascesso polmonare comporta l’impiego di antibiotici per via generale (uso iniettivo intramuscolare o endovenoso), attraverso i quali è possibile ottenere la guarigione dell’ascesso specie se la terapia antibiotica viene condotta in modo mirato sulla base di un antibiogramma successivo ad emocoltura (isolamento di germi presenti nel sangue e provenienti dall’ascesso) o ad esame colturale praticato sul secreto bronchiale prelevato in corso di fibrobroncoscopia (gli esami praticati sull’espettorato emesso dal paziente attraverso la bocca sono un po’ meno affidabili in quanto inquinati da batteri presenti nel cavo orale). - La broncoscopia si giustifica solo in caso di mancata risposta alla terapia antibiotica o in caso di dubbia concomitanza di un tumore bronco-polmonare o di un corpo estraneo ritenuto. - In caso di persistenza dell’ascesso nonostante la terapia antibiotica si può rendere necessario procedere con la terapia chirurgica attraverso il drenaggio dell’ascesso per via percutanea o attraverso la sua rimozione per via toracotomica
- Slides: 39