Brain Anatomy and Physiology Dr Nevo Margalit Neurosurgery
Brain Anatomy and Physiology Dr. Nevo Margalit – Neurosurgery Tel Aviv Sourasky Medical Center
Scalp • Skin • Connective tissue (superficial fascia ( • Epicranial aponeurosis (galea aponeurotica ( • Loose areolar tissue • Pericranium • Occipitofrontalis muscle
Scalp
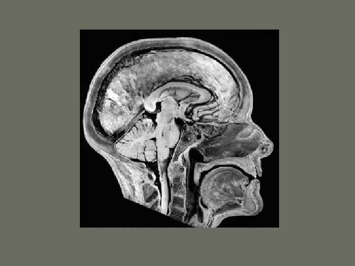
The Skull
The Skull
The skull
The Menings The 3 layers covering the brain • Dura: covers the brain and spinal cord. The venous sinuses run through the dura. 2 additional Parts of the dura are the Tentorium and the Falx Cerebri. • Arachnoid: Transparent, thin web structure. Creates a space around the brain called the sub arachnoid space where the CSF and the main blood vessels pass. • Pia: a very thin layer. Coats the brain and spinal cord and is inseparable from them.
Dura
Tentorium and Falx
Tentorium
Arachnoid
Arachnoid – Basal Cisterns
Parts of the Central Nervous System • • 2 hemispheres Brainstem Cerebellum Spinal cord
Each hemisphere has lobes: • • Frontal lobe Parietal lobe Temporal lobe Occipital lobe • Insular lobe • Limbic lobe
Lateral View
Insula
Gyruses and sulci • Each lobe is composed of gyruses separated by sulci • The topography can be defined by histology, anatomical relationships or function
Map Brodmann
Gyruses and Sulci
Functional areas
Function 2
Function 3
f-MRI
The Motor Strip
Fibers
Ventricles and CSF
Ventricles and CSF • CSF is produced by the choroid plexus in the ventricles • The circulation is from the lateral ventricles to the third through the Monroe- aqueduct- IV ventricle- sub arachnoid space in skull and spineabsorption in sss and other sinuses through arachnoid granulations
CSF Pathways
CSF Pathways
Arteries of the brain
Arteries of the brain • Anterior circulation – internal carotid artery, from common carotid in the neck. Bifurcates to MCA and ACA • Posterior circulation – vertebral arteries that join to form the basilar artery that will then bifurcate to 2 PCA
Circle of Willis • Communication between 2 sides – anterior communicating (a-com( • Communication between anterior and posterior circulation – posterior communicating (p-com( • Many anomalies may exist
Arteries in the neck
Arteries in the subarachnoid space
Arteries of the brain
Physiology
Blood supply to the brain • The brain gets 15% of the cardiac output and 20% of the oxygen consumption • The brain tissue gets in average 50 ml of blood per 100 gr of tissue per minute. The gray matter receives about 3 to 4 times more then the white matter • Total blood supply to the brain is about 500600 ml per minute
Factors Affecting the blood supply • Autoregulation • Biochemical changes – O 2 and CO 2 • Blood brain barrier - BBB
Autoregulation • Maintains a regular blood supply to the brain in changing blood pressures • The range is 50 -130 mm mercury • Possible mechanisms are the myogenic control, neurogenic and biochemichal control
CO 2 • The most important and powerful mechanism that controls brain blood flow • A change in 1 mm PCO 2 changes the flow in 4 -5% • PCO 2 of 70 gives a maximal vasodilatation. Above that the flow is pressure dependent
Hyperventilation • Hyperventilation lowers the PCO 2 • It has a strong effect but it is limited in time • Could be dangerous if not regulatedischemia • Can be regulated with a jugular bulb oximeter
BLOOD BRAIN BARRIER • The BBB is composed of the tight junctions in the endothelium cells of the blood vessels • Prevents passage of large molecules and even small ions like Na and Cl • Specific substances pass the BBB like glucose and amino acids
BLOOD BRAIN BARRIER • Because of the BBB, in the brain hydrostatic and oncotic pressures are not significant. The important parameter is the osmotic pressure • The BBB is damages in trauma, tumor, infarct, SAH and infection
BLOOD BRAIN BARRIER
Brainstem and Cranial Nerves
Brain stem • Has 3 parts: midbrain, pons and medulla • Transports all the information to and from the brain • Centers for breathing and blood pressure • The origin or endpoint for cranial nerves • Contains the center of consciousness • Creates connections to the cerebellum
Nuclei in the brain stem
Cranial nerves • 12 pairs of nerves • All cranial nerves except I and II originate from the brainstem • The nerves are sensory, motor or mixed • There are nuclei in the brainstem that are the origin or the endpoint of the cranial nerves
CN 1 - Olfactory Nerve • • • The sensation of smell Pure sensory nerve From the nose to the forebrain Very developed in some animals Tested an odorous substance
CN 2 - Optic N • Visual information from the eye to the brain • Pure sensory nerve • Belongs to the CNS and is not part of the PNS • Problems could result in field problem, acuity problem and more • Tested with a vision chart and field exam on confrontation
CN 3, 4, 6 - occulomotor, trochlear and abbducence • Nerves that control the movement of the eyes and the constriction of the pupil • Pure motor nerves • Problems result in unsynchronized eye movements and/ or dilated pupil • Tested with the patient following a finger and with light
CN 5 – Trigeminal N • The largest CN • Sensory and motor • Sensation from the face eyes, mouth, and motor for mastication muscles • Tested with touch and pin on face
CN 7 – Facial N • Motor nerve of the face and taste from the tongue • Motor and sensory • Tested with movement of the facial muscles
CN 8 – Vestibulocochlear N • The nerves for hearing and balance • Sensory nerves • The most common origin of a schwanoma • Tested by hearing test and balance function
CN 9 – Glossopharyngeal N • • Sensation from the pharynx Mainly sensory and small motor part Problems result in aspiration Tested with the gag reflex
CN 10 – Vagus N • Motor to the muscles larynx and pharynx and the parasympathetic of the body • Motor nerve • Problems result in hoarseness • Tested by opening mouth wide and saying “AH“
CN 11 – Accessory N • Nerve to the trapezius and sternomastoid muscles • Motor nerve • Tested with shoulder raise or turning the head
CN 12 – Hypoglossal N • Nerve to the muscle of the tongue • Motor nerve • Tested with movement of the tongue
- Slides: 86