BONE TUMORS Bone tumors n Bone tumors are
BONE TUMORS
Bone tumors n Bone tumors are classified into: q q n Primary bone tumors Secondary bone tumors ( Metastasis) Most are classified according to the normal cell of origin and apparent pattern of differentiation
Bone tumors n n n Bone-forming tumors Cartilage-forming tumors Miscellaneous tumors Hematopoietic tumors Fibrous tumors
Primary Bone Tumors Bone-Forming tumors q Osteoma q Osteoid osteoma and osteoblastoma q Osteosarcoma Cartilage-Forming tumors q Chondroma (Enchondroma) q Osteochondroma q Chondrosarcoma Miscellaneous tumors − Ewing’s sarcoma q Giant cell tumor of bone
n Bone-Forming Tumors
Osteoma n n n Osteoma are benign lesions of bone that in many cases represent developmental aberrations or reactive growths rather than true neoplasms. Site; Age; Gross: Histology:
Osteosarcoma n Osteosarcoma is a bone-producing malignant mesenchymal tumor.
Osteosarcoma n Incidence: Age: Sex: n Site : n n
Osteosarcoma Distribution
Osteosarcoma Radiograph
Osteosarcoma Gross features
Bone-Forming tumors; Tumor Type Locations Age Morphology Osteoma Facial bones, skull 40 -50 Exophytic growths attached to bone surface; histologically resemble normal bon Osteoid osteoma Metaphysis of femur and tibia 10 -20 Cortical tumors, characterized by pain; histologically interlacing trabeculae of woven bone Osteoblastoma Vertebral column 10 -20 vertebral processes; histologically similar to osteoid osteoma Primary Metaphysis of distal femur, proximal tibia, and humerus 10 -20 Grow outward, lifting periosteum, and inward to the medullary cavity; microscopically malignant cells form osteoid. Femur, humerus, pelvis >40 Complications of polyostotic Paget disease; histologically similar to primary osteosarcoma BENIGN MALIGNANT osteosarcoma Secondary osteosarcoma
Cartilage -Forming Tumors
Osteochondroma Morphology • Osteochondromas are mushroom shaped and range in size from 1 to 20 cm. • The outer layer of the head of the osteochondroma is composed of benign hyaline cartilage varying in thickness • Newly formed bone forms the inner portion of the head and stalk, with the stalk cortex merging with the cortex of the host bone.
Osteochondroma (exostosis) Gross
Osteochondroma (exostosis) Microscopic The cap is benign hyaline cartilage, resembling disorganized growth plate undergoing endochondral ossification. Newly formed bone forms the inner portion of the head and stalk
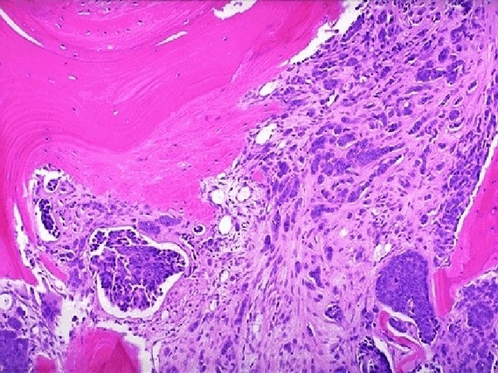
n Chondrosarcoma n. Chondrosarcomas comprise a variety of tumors sharing the ability to produce neoplastic cartilage
Chondrosarcoma Gross features n SITE; n pelvis, n shoulder, n ribs. n rarely involve the distal extremities.
Chondrosarcoma Microscopic n. These tumors are composed of lobules of cartilage with anaplastic chondrocytes in the lacunae and with focal enchondral ossification and calcification.
Cartilage-forming Tumors; Tumor Type BENIGN Osteochondroma Chondrosarcoma MALIGNANT Locations Age Morphology Metaphysis of long tubular bones 10 -30 Bony excrescences with a cartilaginous cap; may be solitary or multiple and hereditary Small bones of hands and feet 30 -50 Well-circumscribed single tumors resembling normal cartilage; arise with medullary cavity of bone; uncommonly multiple and hereditary Bones of shoulder, pelvis, proximal femur, and ribs 40 -60 Arise within medullary cavity and erode cortex; microscopically well differentiated cartilage-like or anaplastic
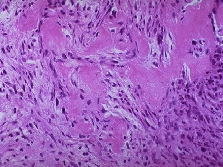
Giant Cell Tumor n This is a neoplasm that contains large numbers of osteoclast like giant cells admixed with mononuclear cells. n These tumors are slightly more common in females.
Giant Cell Tumor Gross
Giant Cell Tumor Microscopic
METASTATIC BONE TUMORS n Metastatic tumors are the most common malignant tumor of bone. n Pathways of spread: n Origin: The radiologic appearance of metastases n
- Slides: 35