Atrial septal defects David M Chaky MD Terminology

















- Slides: 17
Atrial septal defects David M. Chaky, MD
Terminology ► ASD = defect in the atrial septum of the heart which can be isolated anomaly or associated with other congenital heart lesions ► 10% of congenital heart lesions in children yet 30% of congenital heart lesions in adults
Types of ASD ► Foramen ovale is nl interatrial communication that in utero allows flow from IVC to enter the left atrium ► Secundum ASD is oval defect bordered by fossa ovalis ► Ostium primum defect occurs in anterior and inferior portion of the septum ► AV canal defect involves atrial and septal portions of the septum ► Sinus benosus defect occurs superiorly in atrial septum near SVC
Types of ASD
Pathology ► Embryological defect occurs in 5 th week of gestation ► ASD: low pressure shunts ► VSD, AVSD: high pressure shunts ► Eventually all shunts lead to pulmonary HTN if untreated ► Holt Oram syndrome = ASD with upper extremity anomalies ► Ostium primum and AVSD associated with trisomy 21 in 65% of children
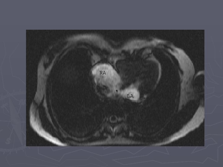
Imaging ASD ► Primary diagnosis made by echocardiography in infants and children ► MRI is emerging as accurate alternative for depiction of function, flow, and anatomy in older patients
Treatment ► Secundum = many spontaneously close, transcatheter percutaneous closure device if possible, large defects may need Dacron patch or direct closure ► Primum = surgery at age 3 -5 years (too close to AV valve for device closure) ► AV canal = surgery in 1 st year of life ► Sinus venosus = surgery
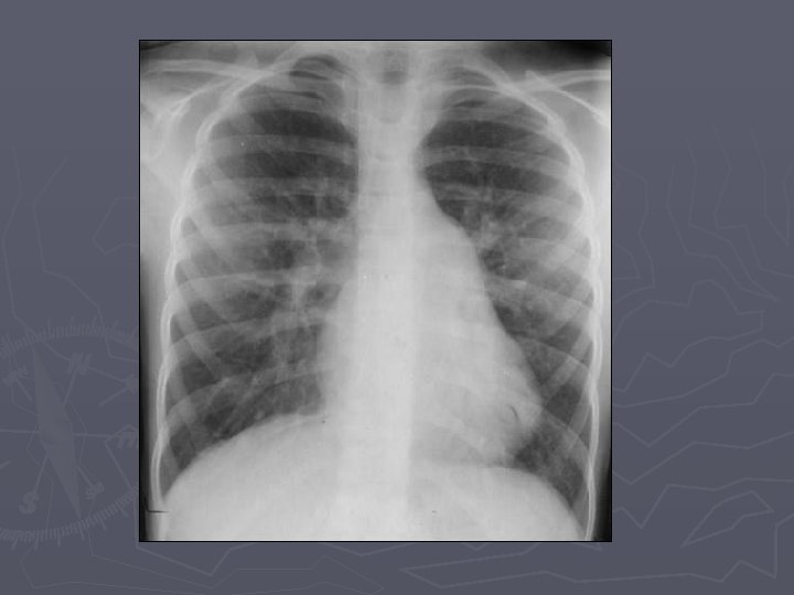
Findings ► XR – small to moderate defects have normal radiographs ► XR - large defects have cardiomegaly with the main PA normal or enlarged, with shunt vascularity, later on PA and RV enlarge ► CTA – defect in atrial septum, enlargement of RA, RV and PA ► MR – can quantify shunt volume on volumetric cine MR or velocity encoded cine MR
Findings ► Echo – “drop out” in atrial septum best seen on apical 4 chamber view ► Angio – can also be used for transcatheter percutaneous treatment
Differential diagnoses ► Normal chest ► VSD ► Pulmonary HTN ► Scimitar syndrome (Anomalous connection of the right pulmonary veins to the inferior vena cava results in a chest radiographic shadow that resembles a Turkish sword, hence the designation scimitar syndrome)
► Frontal chest radiograph in adult patient with the same entity (image 3) shows moderate to severe cardiomegaly with enlarged central pulmonary arteries and peripheral tapering of pulmonary vessels.
ASDS, particularly the sinus venosus defects, are commonly associated with anomalous connection of the right pulmonary veins, pariticularly the upper lobe veinds to either the right atrium or SVC.
References ► Kuhn, JP. CAFFEY'S PEDIATRIC DIAGNOSTIC IMAGING, 10 ed. , Mosby, 2004, pg 1381 Diangostic Imaging Pediatrics, Donnelly, Lane, MD Section 3 pages 104 -106, 2005.