Atipik Pnmoniler l PROF DR HALL YANARDA Toraks



















































































































- Slides: 115
Atipik Pnömoniler l PROF. DR. HALİL YANARDAĞ
• Toraks Dergisi 2002; 3 (ek 3): 1 -35. Giriş Toplum Kökenli Pnömoni (TKP), kişinin günlük yaşamı sırasında ortaya çıkan, risk gruplarında mortalite ve morbiditesi yüksek bir pnömonidir.
Toplum kökenli pnömoni • Yılda 4. 4 milyon ölüm • Mortalite hızı; Ayaktan tedavi hastalarında Hastanede tedavi edilenlerde Yoğun bakım hastalarında : : : • İngiltere ve ABD'de ölümlerin altıncı nedeni, infeksiyona bağlı ölümlerin ise birinci nedeni % 1 -5 % 12 % 40
Toplum kökenli pnömoni • Yıllık TKP sayısı • Hastaneye yatırılarak tedavi edilen : : 5, 6 milyon 1. 1 milyon Tedavi maliyeti • Hastaneye yatırılanların • Ayaktan tedavi olanların • Pnömoniye bağlı iş günü kaybı 4 milyar dolar 1 milyar dolar : 64 milyon gün
Pnömoni Patogenezi Ø Patojenin konağa girmesi ve kolonize olması Ø Patojenin akciğerlere ulaşması Ø Patojenin akciğeri invazyonu, üremesi ve toksik ürünler oluşturması Ø Konağın patojene yanıtı
Bakterilerin Akciğerlere Giriş Yolları Ø Aspirasyon Ø İnhalasyon Ø Hematojen Ø İnokülasyon Ø Kolonizasyon Ø Komşuluk
ETYOLOJİ Mikroorganizma n % Bilinmeyen 502 56 Bilinen Toplam 388 890 44 100 Polimikrobiyal etyoloji : % 14 Ramirez J. IDSA, 2000.
TANI • Kesin tanı : Kültür, seroloji. . . • Olası tanı : * Klinik ( tipik - atipik tablo ) * Radyolojik bulgular * Gram boyama
TANI Şikayet: Ateş, öksürük, balgam, plöretik ağrı Diğerleri (dispne, hemoptizi, halsizlik, iştahsızlık. . . ) Fizik bulgular: İnce raller, tuber sufl, matite Diğerleri (siyanoz, takipne, taşikardi. . . ) Radyoloji: Lober, interstisyel ve bronko-pnömoni, Diğerleri (abse, pnömatosel, plevral sıvı. . . )
TKP düşünülerek değerlendirmeye alınan hastalarda yapılması önerilen laboratuvar tetkikleri Akciğer grafisi Birinci Basamak ± Poliklinik/ Acil Servis + Yatan Hasta + Kan sayımı ± + + Biyokimya ± + + Balgamın Gram boyaması ± + + Balgam kültürü - - + Kan kültürü - - + Seroloji - - ± İdrarda Legionella antijeni - - ±* Torasentez - - +** Oksijen satürasyonu ölçümü - + + *: Legionella şüphesi varsa; **: plevral sıvı varsa
Tanımlama Ve Sınıflama Ø Etiyolojiye göre sınıflama Ø Radyolojik Sınıflama Ø Klinik Sınıflama l l Tipik Pnömoni Atipik Pnömoni
Pnömonilerde Etkenlere Göre Klinik Özellikler Tipik Pnömoni Atipik pnömoni Etkenler S. pneumoniae H. influenza M. pneumoniae C. Pneumoniae Viruslar Genel durum Kötü İyi Başlangıç Ani(saatler, günler) Sinsi (günler, haftalar) Değişken Klinik Yüksek ateş, Hafif ateş, kuru öksürük Hafif ateş Balgamlı öksürük Baş ve boğaz ağrısı Nezle, kuru Ses kısıklığı, miyalji, öksürük Hışıltı Akciğer dışı organ tutulumu Konjuktivit Fizik Muayene Ral, ronkus, hışıltı Hışıltı
Tipik / atipik pnömoni ayırımı Tanımlanan klinik ölçütler etkeni belirlemede yeterince güvenilir değil Genç , altta yatan ek hastalığı olmayan pnömonili grup için yararlı olabilir (Grup 1 hastalar)
Atipik Pnömoniler Ø Mycoplazma pneumoniae Ø Clamydia (c. Psittaci, c. Trachomatis ve c. Pneumonia) Ø Rickettsia (coxiella burnetti, Rickettsia rickettsii) Ø Virüsler: l l Çocuklarda: respiratuar sinsityal virüs parainfluenza Erişkinlerde: influenza A ve B, adenovirus (askerler arasında)
ATİPİK PNÖMONİLER Ø TARİHÇE Ø KLİNİK l l Akciğer Semptomları Akciğer Dışı Semptomlar
MİKOPLAZMA PNÖMONİSİ Ø Ø Ø Ø Atipik pnömonilerin en çok görülen türüdür ve tüm pnömonilerin %20 sini kapsar. Bu pnömoni çocuklarda ve gençlerde(5 -35 Yaş arası) daha sıklıkla görülür. Etkeni mycoplasma pneumoniae küçük bir bakteridir. Ancak akciğerde oluşan patolojik değişim virüs pnömonisine benzer. Riede rastalanan en sık bulgu özellikle alt loblarda yamalı tarzda bronkopnömonidir. Akciğer dışı komplikasyonları sık görülür (hemolitik anemi, tromboemboli, poliartrit, meningoensefalit, transversmiyelit). Kırgınlık, boğaz ağrısı ve kuru öksürük ile başlar. Tipik pnömonilerin aksine yavaş ilerler. Akut semptomlar genellikle 1 -2 hafta sürer. İlkbaharda sıktır.
Atipik Pnömoniler Ø Mycoplazma pneumoniae Ø Clamydia (c. Psittaci, c. Trachomatis ve c. Pneumonia) Ø Rickettsia (coxiella burnetti, Rickettsia rickettsii) Ø Virüsler: l l Çocuklarda: respiratuar sinsityal virüs parainfluenza Erişkinlerde: influenza A ve B, adenovirus (askerler arasında)
MİKOPLAZMA PNÖMONİSİ Muayenede ince-orta yaş railer duyulur. Hastalık ilerledikçe submatite ve matite alınır ve railer artarak daha kaba bir nitelik kazanır. Sibilan, ronflan railerde duyulur. Ø Radyografide; Yer yer nodüler, parçalı veya perihiler infıltrasyonlar, bazı vakalarda lober veya lobüler yoğunlaşma görülür. Ø Hastalığın ilk haftasından sonra %75 vakada kanda soğuk aglütünasyon oluşur. Soğuk aglütünasyon virüs, bakteri pnömonilerinde ve bazı kan hastalıklarında da pozitif olabilir. Mikoplasma pnömonisinde perifer ve santral nörolojik anormallikler, trombositopeni, deride eritem gibi komplikasyonlar gelişebilir. Ø Ø Hastaların %10 -20’sinde makülopapüler döküntüler vardır. Tanıda önemli bir ipucudur.
MYCOPLASMA PNEUMONIA B) Extrapulmonary manifestations Hemolysis Antibodies (Ig. M) to the I antigen on erythrocyte membranes producing a cold agglutinin response in about 60 % of patients Skin disease Mild erythematous maculopapular or vesicular rash Stevens-Johnson syndrome Central nervous system involvement Occurs in 0. 1 percent of all patients and in up to 7 % of patients requiring hospitalization - aseptic meningitis, peripheral neuropathy, transverse myelitis, cranial nerve palsies and ataxia Gastrointestinal symptoms Nonspecific (common) to those of pancreatitis (rare) Rheumatologic symptoms Arthralgias are common, actual arthritis is rare Cardiac manifestations Rhythm disturbances, congestive heart failure, chest pain, and conduction abnormalities Glomerulonephritis Probably autoimmune
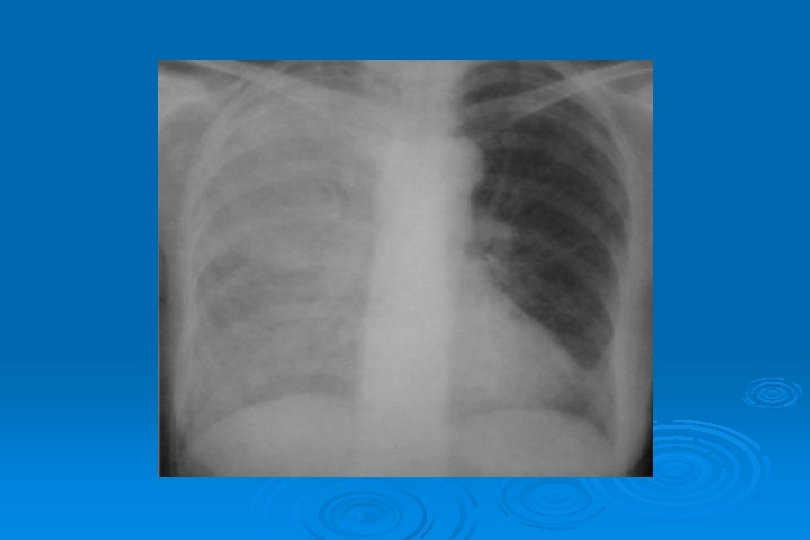
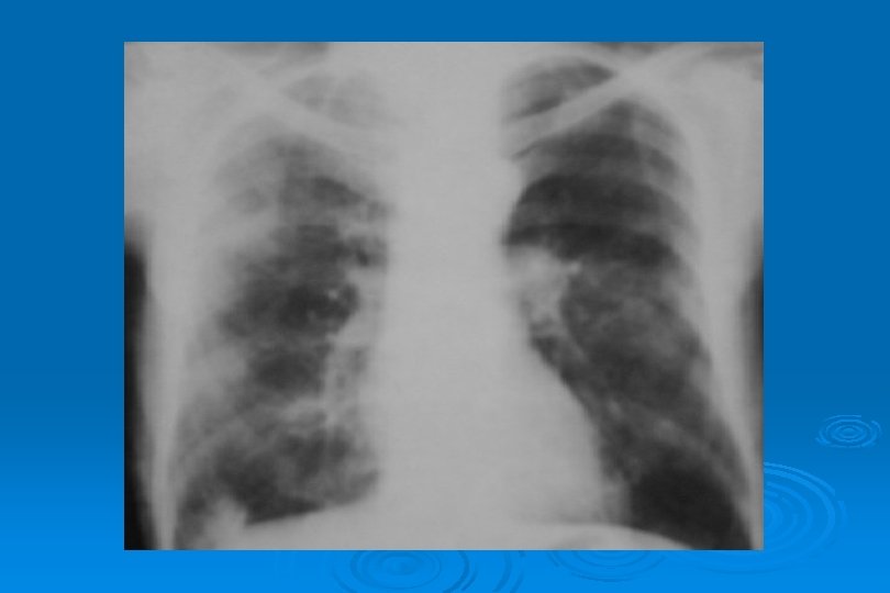
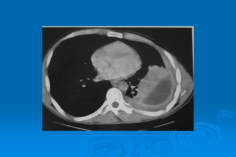
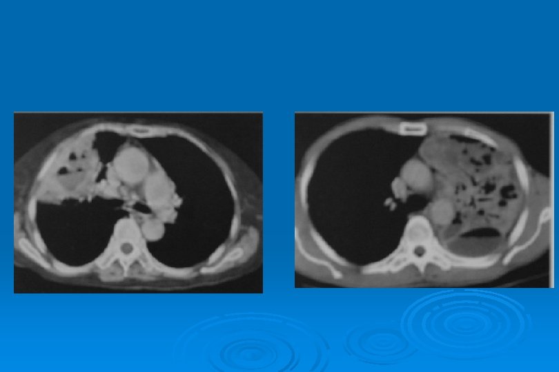
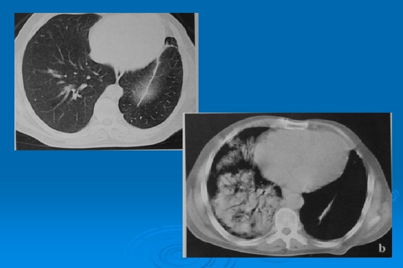
MİKOPLAZMA PNÖMONİSİ Yamalı, segmental veya lobar konsolidasyon veya buzlu cam yoğunluğu Ø İnterstisyumda kalınlaşma Ø Mozaik perfüzyon Ø
M. Pneumoniae Pnömonisi
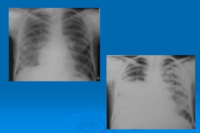
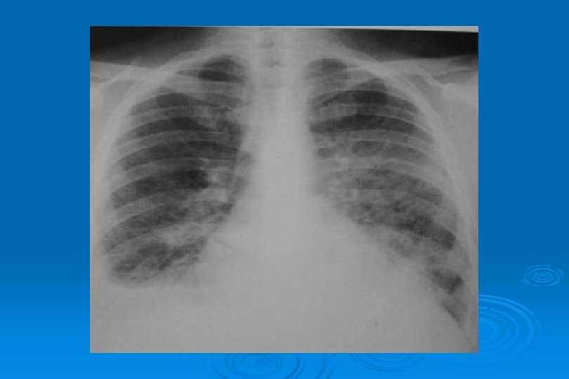
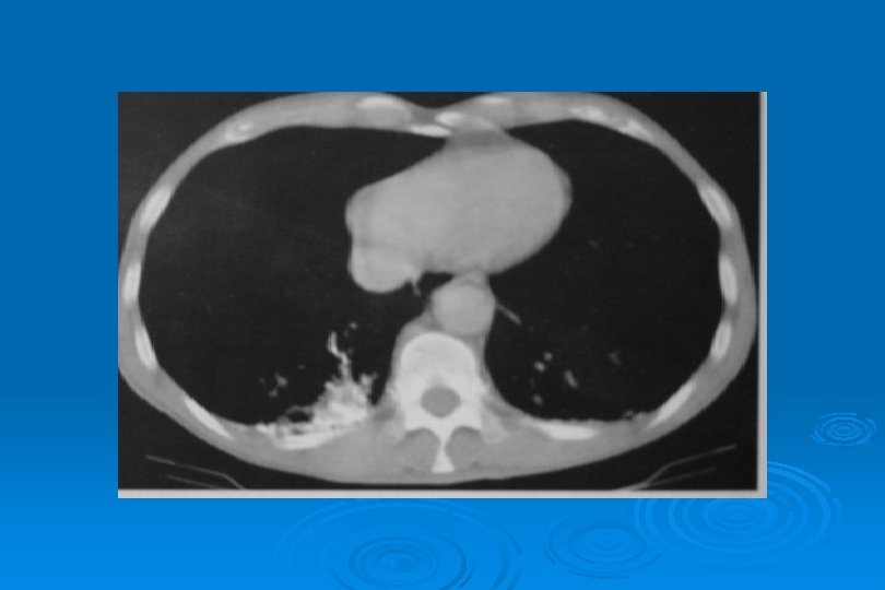
SİTOMEGALOVİRÜS • Birden fazla odakda, iki taraflı buzlu cam yoğunluğu ve konsolidasyon alanları • Milimetrik nodüller
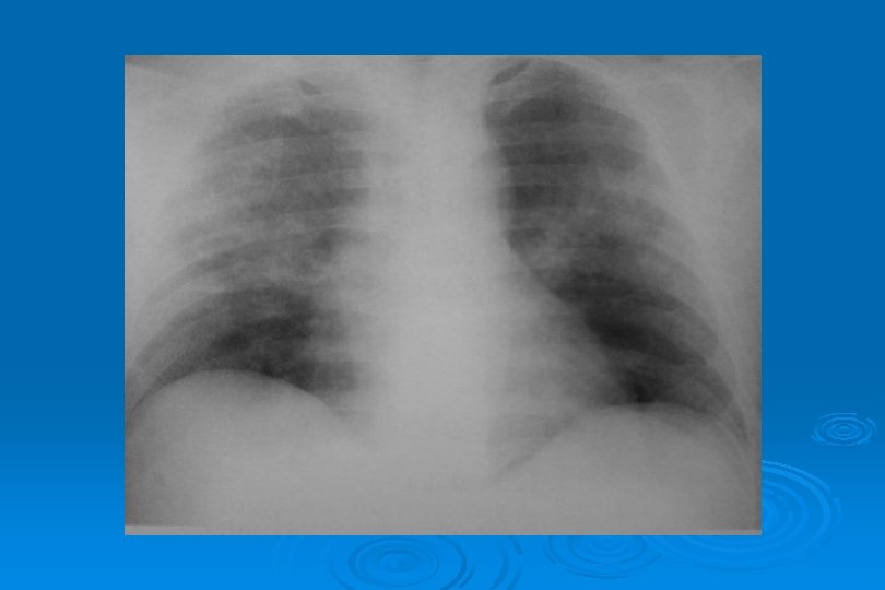
İnfluenza Virüs Pnömonisi
ATİPİK PNÖMONİ TANI Ø Balgamın Gram Boyaması Ø Serolojik Testler Ø Moleküler Tanı Yöntemleri
LEGIONELLA PNEUMONIA Chest radiograph All patients with Legionnaires' disease have radiographic abnormalities by day three The most common pattern is a patchy unilobar infiltrate which progresses to consolidation Diffuse, interstitial infiltrates, pleural effusions also are commonplace Immunosuppressed patient may have rounded pleural based opacities Cavitation is commonly seen in the immunosuppressed patient receiving corticosteroids Radiographic improvement lags behind clinical response by several days Complete resolution of infiltrates on chest radiograph occurs over one to many months
TREATMENT OF ATYPICAL PNEUMONIA Empiric therapy absence of PCR or a positive Gram stain for a pyogenic organism a) outpatient therapy • erythromycin, doxycycline, newer macrolides b) hospitalized patients • high dose erythromycin (1 g every 6 h IV) for Legionella, Mycoplasma and Chlamydia • doxycycline (100 mg BID IV) for Chlamydia • quinolone therapy is recommended if Legionella infection is documented
Akciğer grafisi Pnömoni tanısı Ø Ayırıcı tanı Ø Komplikasyonların tespiti Ø Ek patolojilerin saptanması Ø Hastalığın ağırlığının belirlenmesi Ø Tedaviye yanıtın değerlendirilmesi Ø Etyolojik tanı ( ! ) Ø
Balgam Gram boyaması Her hastaya yapalım mı? (+/-) Ø İmkan dahilinde yapılması önerilir. Ø Gram (+) diplokoklar her sahada hakim ve PNL’ ler içerisinde fagosite edilmiş olarak izleniyor ise Ø Pnömokoksik pnömoni tanısı oldukça güvenilirdir. etkiliyor * Her hasta balgam çıkaramıyor * Uygun örnek almak gerekiyor * Bekletilmeden incelenmeli * Önceden antibiyotik kullanımı sonuçları
Diğer tanısal incelemeler • Balgam kültürü: Yararı sınırlı • İnvazif alt solunum yolu örnekleri: Rutin önerilmiyor • Kan kültürleri: Hastaneye yatırılan olgularda • Serolojik testler, antijen aranması: Atipikler düşünüldüğünde • Rutin biyokimyasal incelemeler: Pnömoninin ağırlık ve komplikasyonlarının tespitinde
LOBER PNÖMONİ Ø Radyolojik olarak içinde hava bronkogramları bulunan birleşme eğiliminde opasifikasyonlara neden olur
LOBER PNÖMONİ Ø Tüm lobun tutulması erken antibiyotik tedavisi nedeniyle çok seyrek görülür
LOBER PNÖMONİ Ø Bazan lokal bir alanda kitleyi taklit eden yuvarlak (round) pnömoni görülebilir
Round pnömoni Ø Daha çok çocuklarda rastlanır Ø Alveoller arası ilişkiyi sağlıyan Kohn porları ile Lambert kanallarının yeterince gelişememesine bağlı Ø Etken sıklıkla S. Pneumoniae’dır
Eğer pnömoni alanında fazla miktarda ödem varsa lobda genişlemeye neden olur Ø Grafide inter lober fissürde sağlam loba doğru itilmeye neden olur Ø Lober genişleme en sık K. pneumoniae ve Legionella pnömonisinde görülür Ø
Pulmoner amfizemli hastalarda konsolidasyon alanı içerisinde sıvı ile dolmamış anfizematö büllere ait küçük lüsent alanlar
Nekrotizan pnömoni ile karışabilir Ø Hastanın eski grafisi, öyküsü, başlangıç grafisi Ø Nekrotizan pnömonide önce konsolidasyon birleşmeye meyilli ve homojendir Ø Takip grafilerinde küçük yuvarlak lusensi şeklinde nekrozlar ortaya çıkar Ø
BRONKOPNÖMONİ Mikroorganizma veya infekte materyalin bronş ve bronşiol epiteline yerleşmesi ve ülserasyona neden olması Ø Grafide yamalı konsolidasyon saptanır zamanla lober pnömoni olabilir Ø En sık S. aureus, M. tuberculosis, Gr(-) bakteriler, anaerobik bakteriler, L. Pneumophila’dır Ø S. pneumoniae, H. influenza ve P. aeruginosa Ø
İNTERSTİSYEL PNÖMONİ Ø Bakteriyel interstisyel pnömoni oldukça seyrektir Ø M. pneumoniae en sık rastlanılan etkendir Ø H. influenza, Branhamella catarrhalis, C. pneumoniae, C. trochomatis ve S. pneumoniae
İNTERSTİSYEL PNÖMONİ Ø İnce retiküler patern Ø Daha sonra milier veya retikülonodüler patern ve peribronşial kalınlaşmaya bağlı olarak bronkovasküler görünümlerde belirginleşme
İNTERSTİSYEL PNÖMONİ Ø Hastalık ilerledikçe bronkovasküler görünüm ( yamalı infiltrasyon) ortaya çıkar Ø En sık alt lobları, sol akciğeri tutar Ø Genelde tek lob tutulur
HEMATOJEN BAKTERİYEL ENFEKSİYONLAR Septik emboliler orta ve alt zon periferinde, plevra tabanlı lokal enfeksiyona neden olur Ø Genellikle multiple yerleşimli ve sıklıkla kavitasyon gösterir Ø
HEMATOJEN BAKTERİYEL ENFEKSİYONLAR Ø İV uyuşturucu kullanımı, bakteriyel endokardit, septik tromboflebit, İV kateter uygulaması, AC dışı enfeksiyonların veya abselerin komplikasyonu Ø En sık S. aureus’tur. Gr(-) basiller, anaeroblar, streptokoklar
ÇOK SAYIDA PULMONER NODÜL VEYA KİTLELER Ø Septik emboli dışında; l l l Nocardia Aktinomikoz M. tuberculosis Legionella Tularemi Q fever ve plag
PNÖMONİ KOMPLİKASYONLARI Ø Parapmömonik plevral effüzyon-infeksiyon Ø Bronkoplevral fistül Ø İnfeksiyonun göğüs duvarı ve mediastene perikarda yayılması Ø Nekrozis ve kavitasyon Ø Pnömatosel
PNÖMONİ KOMPLİKASYONLARI Ø Pnömotoraks Ø Hiler ve mediastinal LAP Ø ARDS Ø İyileşmede gecikme ve tekrarlayan pnömoni Ø Fibrotik sekel ve değişiklikler Ø Bronşektazi
COMPLICATIONS
BRONKOPLEVRAL FİSTÜL Ø Parankimal nekrozdur. Ø 1 veya daha çok sayıda hava-sıvı seviyesi içeren ankiste sıvı görüntüsü verir Ø Abseden ayırıcı tanı yapılması gerekir
Ø Abse intraparankimal olduğundan göğüs duvarı ile dar açı yapan yuvarlak opasitedir Ø Duvarı kalın ve düzensizdir Ø Çekilen grafilerde hava-sıvı seviyesinin uzunluğu değişmez
Ø Bronkoplevral fistülde ise sıvı plevral aralığın şeklini alır Ø Uzun ve oval görüntü verir Ø Toraks duvarına geniş bir taban ile oturur Ø Grafilerde hava-sıvı seviyesinin uzunluğu değişir
Ø Ankiste ampiyemi sınırlayan plevra kalın ve düzgündür Ø BT’de plevral yapraklarda belirgin kontrast tutar Ø Ampiyemde ekstraplevral yağ dokusu genişlemiştir
NEKROZİS VE KAVİTASYON Ø S. aureus, streptokoklar, Gr (-) basiller, anaerobik bakteriler ve aktinomikozlar Ø 3 şekilde oluşur l l l Pulmoner gangren Abse merkezinde nekroz ve likefaksiyon Nekrotizan pnömonilerden sonra
PNÖMATOSEL Ø S. aureus, Gr (-) basiller, H. İnfluenzae, M. tubercolosis Ø Stafilokok pnömonilerinden sonra % 60 oranında saptanır Ø Nekroz ve alveol duvarının bütünlüğünün bozulması ile havanın periferik interstisyum içine girmesi sonucu oluşur
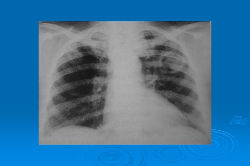
PNÖMATOSEL
ASPİRASYON PNÖMONİSİ Alkoliklerde, nörolojik hastalığı olanlarda, bilinci yitik hastalarda Ø Oral veya gastrik içeriğin aspirasyonuna Ø Gr (-) bakteriler ve anaeroblar Ø Başlangıçta ödem ve inflamasyona bağlı peribronşial kalınlaşma Ø Çok sayıda birleşme eğilimi gösteren belirsiz kenarlı asiner opasiteler Ø Segmenter lober konsolidasyon ya da çift taraflı tutulum Ø
ASPİRASYON PNÖMONİSİ Ø Radyolojik bulgular daha çok üst lobların posterior alt lobların süperior segmentlerindedir Ø Ayakta iken olan aspirasyonlarda alt lob bazal segmentler sık tutulur Ø Sağ AC’de iki kat sık gözükür
VİRAL AC ENFEKSİYONLARI Toplum kökenli pnömonilerin % 25’i Ø Yaygın ya da dağınık infiltrasyon şeklinde olan bakteriyel pnömonilerden ayrımı çok zordur Ø Klinik bilgi verilmediğinde olgularda pnömoninin viral veya bakteriyel olduğunu tahmin etmek güçtür Ø Lober genişleme, mikroabseler, kavitasyon ve ampiyem bakteriyel pnömoniyi destekler Ø
VİRAL AC ENFEKSİYONLARI Ø Viral pnömoni damlacık enfeksiyonudur Ø Trakeit, bronşit ve bronşiolit tablosu ortaya çıkar Ø AC grafisinde hilustan perifere yayılım, asiner gölgeler ve yer peribronşial kalınlaşmalar saptanır
VİRAL AC ENFEKSİYONLARI Ø Yan grafide retrokardiak alanlarda peribronşial kalınlaşma tren rayı şeklinde paralel, ince radyoopak çizgiler şeklinde daha kolay görülür Ø BT ve YRBT tanıda önemli tetkiklerdir
AKUT İNTERSTİSYEL PNÖMONİ Ø Bronş duvarında kalınlaşma Ø İnter ve intralobüler septalarda kalınlaşma sonucu hilustan perifere doğru yayılan retiküler patern Ø Yaygın milier görünüm
LOBÜLER VEYA ASİNER İNFİLTRASYONLAR Sekonder pulmoner lobüllerin opasifikasyonuna bağlı yamalı konsolidasyon görünümü (bronkopulmoner infiltrasyon) Ø Bronş etrafında 1 cm’den küçük asiner nodüller Ø Yaygın asiner nodüller suçiçeği pnömonisi için tipiktir Ø
LOKALİZE VEYA YAYGIN HEMORAJİK ÖDEM Lokal olduğunda radyolojik görünümü segmenter veya lober pnömoniye benzer Ø Yaygın hemorajik ödem akut ve şiddetli viral pnömonide hızla ortaya çıkan bir tablodur Ø Perihiller perifere doğru azalan yaygın alveoler opasiteler görülür Ø Bazen plevral effüzyon olaya eşlik eder Ø İnfluenza virüsü en sık nedendir Ø
AC’İN MANTAR HASTALIKLARI Ø Sağlam kişilerde, antibiyoterapi, kemoterapi, steroid alımı Ø Sağlıklı kişilerde Histoplasma capsulatum, Coccidioides imminitis ve Blastomyces dematitidis Ø İmmünsüpresiflerde Aspergillus fumigatus ve Candida albicans
AC’İN MANTAR HASTALIKLARI Ø Klinik ve radyolojik olarak bakteriyel pnömoniye benzer Ø Bazı özel görünümler dışında (mantar topu) radyolojik olarak spesifik tanı konulamaz
HİSTOPLAZMOZİS Ø Primer histoplazmozis Ø Kronik ve reinfeksiyon histoplazmozisi Ø Yaygın histoplazmozis
HİSTOPLAZMOZİS Histoplazmoma en sık görülen şekildir Ø Genelde tek keskin ve düzgün kenarlı 3 cm’den küçük nodüler lezyonlar Ø Alt lob yerleşimli, yakınında satellitik lezyonları olan, merkezinde kalsifikasyon içeren nodüler tarzda target lezyonu tipiktir Ø Kalsifiye hiler LAP sıktır Ø
ASPERGİLLOZİS Ø Primer aspergillozis Ø Tahıl tozuna maruz kalan sağlıklı kişilerde Ø Kronik öksürük, pürülan balgam, ateş, hemoptizi, göğüs ağrısı Ø Nonsegmenter zamanla kavite içermeyen abse şeklinde konsolidasyon
MİÇETOMA Aspergilloma veya mantar topu da denir Ø Mantar, fibrin, mukus ve hücre döküntülerinden oluşmuş kitlenin tüberküloz kavitesi, kist veya kistik bronşektazi içinde yerleşmesidir Ø Duvarı erode ederek % 50 -80 olguda hemoptiziye yol açar Ø Bir kavite içerisinde kavite duvarından ay şeklinde radyolusen bir bant ile ayrılan homojen iç yapıda yuvarlak veya oval kitle Ø
MİÇETOMA Ø Kavite ince duvarlı olup hava-sıvı seviyesi içermez Ø BT’de mantar topunun nonhomojen olduğu, içinde hava odaklarının bulunduğu, yüzüstü ve sırt üstü alınan kesitlerde yer değiştirmesi nedeniyle tanısı kolayca konur
KRİPTOKOKKOZİS Ø En sık görülen şekli 10 cm büyüklüğe kadar ulaşabilen kitle lezyonu görüntüsüdür Ø Kavitasyon seyrektir Ø Yaygın şekilde kenarları oldukça belirsiz silik olan milimetrik dansiteler AC grafisinde izlenir
AKCİĞERİN PARAZİTER ENFEKSİYONLARI Ø Kist hidatik hastalığı Ø Amibiazis Ø Pnömosistis Karini pnömonisi
KİST HİDATİK Ø Kistin yapısında en içte endokist (germinal tabaka) Ø Onun çevresinde eksokist Ø En dışta konakçı organın reaksiyonu sonucu gelişen fibrotik perikist tabakası vardır
Ø Rüptüre olmamış ekinokok kisti düzgün ve keskin kenarlı, yuvarlak-oval, homojen bir dansite şeklindedir
Ø Bazen rüptüre olan perikist sebebiyle ekzokist ile perikist arasına hava girerek ay şeklinde radyolusen bir görüntü oluşturur (menisküs işareti)
Tedavi • Pnömoni tedavisi empirik olarak başlanır – Etken olguların yarısında üretilemiyor – Kültür-antibiyogram geç sonuç veriyor – Antibiyotik tedavisi geciktirilmemelidir • Empirik ilaç – Olası etken spektrumunu örtmeli – Ucuz olmalı – Direnç gelişimini önleyici
TKP olgusu ile karşılaşan hekimin ilk planda cevaplandırması gereken sorular • Tedavi ~ Ayaktan mı? ~ Poliklinikten mi? ~ Hastanede mi? (servis veya yoğun bakım) yapılmalı ? • Hangi antibiyotik veya antibiyotiklerle tedaviye başlanmalı?
Başlangıç empirik antibiyotik tedavi seçimini etkileyen faktörler • • • Risk faktörleri Ağırlık faktörleri (fizik muayene ve laboratuvar) Yoğun bakım yatış endikasyonları Özgün risk faktörleri Tipik-atipik klinik ayırımı
RİSK FAKTÖRLERİ AĞIRLIK FAKTÖRLERİ Fizik Muayene Laboratuvar Eşlik eden hastalık Solunum sayısı >30/dak KOAH, , bronşektazi, kistik fibroz Diyabet Neoplastik hastalık Karaciğer Hastalığı Konjestif Kalp Yetmezliği Serebrovasküler Hastalık Kronik Böbrek Yetmezliği Ateş < 35 65 yaş ve üzeri Sistolik KB<90 mm. Hg Diyastolik KB<60 mm. Hg Aspirasyon şüphesi Alkolizm Malnütrisyon Splenektomi Bakımevinde yaşama Pnömoni geçirme öyküsü C 0 Konfüzyon Siyanoz veya >40 C 0 30000 < Lökosit < 4000 Pa. O 2<60 mm. Hg, Pa. CO 2>50 mm. Hg, p. H<7. 35, Sat<%92 Na< 130 meq/l; BUN>30 mg/dl Radyografik yaygınlık (multilober, kavite, efüzyon, hızlı progresyon) Sepsis bulguları (Metabolik Asidoz; uzamış PT , a. PTT; trombositopeni; FDP>1: 40) (1 yıl içinde) Not: Risk ve ağırlık faktörleri pnömoninin komplike olabileceğinin ve kötü prognozun habercisidir. Bu faktörlerden herhangi birini taşıyan hastalar hastaneye sevk edilmelidir. Ağırlık faktörleri aynı zamanda hastaneye yatış endikasyonlarıdır.
Yoğun bakıma yatış endikasyonları MAJOR • Mekanik ventilasyon gerektiren ağır solunum yetmezliği ( Pa. O 2 / Fi. O 2 < 200 mm. Hg ) • Septik şok tablosu MİNÖR • Konfüzyon • Kan basıncı: sistolik <90 mm. Hg, diastolik <60 mm. Hg • Solunum sayısı >30/dak. • Pa. O 2 / FIO 2 < 300 mm. Hg • İdrar miktarının < 20 ml / saat veya 80 ml / 4 saat olması veya diyaliz gerektiren akut böbrek yetmezliği • Akciğer filminde bilateral veya multilober tutulum, 48 saat içinde opasitede % 50'den fazla artış Not: Yoğun bakıma yatış kararı için bir major veya en az iki minör kriter gereklidir.
Özgün risk faktörleri Pseudomonas aeruginosa Penisiline dirençli pnömokok Ø • • Yaş > 65 Son 3 ayda beta-laktam kullanımı Alkolizm Bağışık baskılayan durum • ( Kortikosteroid tedavisi dahil ) • Birden fazla eşlik eden hastalık • Kreş çocuğu ile temas Yapısal akciğer hastalığı ( Bronşektazi, kistik fibroz ) Ø Kortikosteroid tedavisi ( Prednizon>10 mg /gün ) Ø Geniş spektrumlu antibiyotik tedavisi ( Son bir ayda 7 günden daha uzun) Ø Malnutrisyon Tedavide ilaç direncinin sorun olduğu penisiline dirençli pnömokok ve Pseudomonas aeruginosa için risk faktörü taşıyan olgularda empirik tedavide bu durum göz önüne alınmalıdır.
Özgün risk faktörleri Staphylococcus aureus • İleri yaş, malignite, KOAH, KS tedavi • Sigara kullanım öyküsü • Yakın zamanda konaklamalı seyahat, otel, ofis ortamında kalma • Ev su tesisatında değişiklik Legionella pneumophila • Huzurevinde yaşama • Fronkül, karbonkül, endokardit gibi diğer infeksiyon odağının varlığı • Yakın zamanda grip geçirmiş olmak • IV ilaç alışkanlığı Haemophilus influenzae • Sigara kullanımı öyküsü • KOAH tanısı
Özgün risk faktörleri Gram negatif enterik bakteriler • • Huzurevinde kalmak Eşlik eden kardiyopulmoner hastalık Birden fazla eşlik eden hastalık Yakın geçmişte antibiyotik kullanımı Anaerob bakteriler • • Periodontal hastalık, kötü ağız hijyeni Aspirasyon kuşkusu IV ilaç kullanımı Hava yolu tıkanması
Toplum kökenli pnömonili hastaların gruplandırılması RİSK FAKTÖRLERİ VAR YOK AĞIRLIK FAKTÖRLERİ YOK VAR YOĞUN BAKIM FAKTÖRLERİ YOK GRUP 1 GRUP 2 AYAKTAN POLİKLİNİKTE TEDAVİ GRUP 3 (a, b) KLİNİKTE TEDAVİ VAR GRUP 4 (a, b) YBÜ’de TEDAVİ
Grup 1 - Ayaktan tedavi Risk faktörü yok Ağırlık faktörü yok Olası etkenler • S. pneumoniae • M. pneumoniae • C. pneumoniae • H. influenzae • Virüsler • Diğerleri Önerilen empirik başlangıç tedavisi * Tipik pnömoni kliniği / balgamda Gram (+) diplokoklar Penisilin ( amoksisilin , prokain penisilin ) *Atipik tablo, penisilin allerjisi, tipik / atipik ayırımı yapılamıyor Makrolid veya doksisiklin Not: Başlangıç tedavisine 48 -72 saat içinde klinik yanıt alınamayan hastalar ileri bir merkeze sevk edilmelidir.
Grup 2 - Poliklinikte tedavi Risk faktörü var Ağırlık faktörü yok Olası etkenler • S. pneumoniae • M. pneumoniae • C. pneumoniae • H. influenzae • Miks infeksiyon (tipik+atipik patojen) • Enterik Gram negatifler ! • Virüsler Önerilen empirik başlangıç tedavisi 2. Kuşak sefalosporin veya beta laktam / beta laktamaz inhibitörü Makrolid veya doksisiklin
Grup 3 a – Yatırılarak tedavi Risk faktörü yok Ağırlık faktörü var Olası etkenler • • S. pneumoniae H. influenzae M. pneumoniae C. pneumoniae Önerilen empirik başlangıç tedavisi Makrolid veya penisilin Miks infeksiyon Legionella Virüsler Parenteral / oral !
Grup 3 b – Yatırılarak tedavi Risk Faktörü var Ağırlık faktörü var Olası etkenler • • • S. pneumoniae ( PDSP dahil ) H. influenzae M. pneumoniae, C. pneumoniae Miks infeksiyon (tipik+atipik patojen) Enterik Gram negatifler Anaeroblar Virüsler Legionella Diğerleri Önerilen empirik başlangıç tedavisi 2. veya 3. kuşak nonpseudomonal sefalosporin veya beta laktam/ beta laktamaz inhibitörü + Makrolid veya Doksisiklin ya da Tek başına yeni florokinolonlar* * Penisiline dirençli S. Pneumoniae riski, önerilen antibiyotiklere karşı yetersizlik veya allerji ya da pnömokoklara karşı dökümante edilmiş penisilin direnci durumunda kullanılabilirler
Grup 4 a – Yoğun bakım ünitesinde tedavi Yoğun bakım kriteri var Pseudomonas riski yok Olası etkenler • S. pneumoniae (PDSP dahil) • Legionella pneumophila • H. influenzae • Enterik Gram negatifler • S. aureus • M. pneumoniae • Virüsler Önerilen empirik başlangıç tedavisi 2. veya 3. kuşak nonpseudomonal Sefalosporin veya beta laktam/ beta laktamaz inhibitörü + Makrolid veya Doksisiklin ya da Tek başına yeni florokinolonlar* * Penisiline dirençli S. Pneumoniae (PDSP) riski, önerilen antibiyotiklere yetersizlik veya allerji ya da pnömokoklara karşı dökümante edilmiş penisilin direnci durumunda kullanılabilirler.
Grup 4 b – Yoğun bakım ünitesinde tedavi Yoğun bakım kriteri var Pseudomonas riski var Olası etkenler Grup 4 a‘ daki etkenlere ek olarak P. aeruginosa Önerilen empirik başlangıç tedavisi Anti-psödomonas betalaktam + Makrolid + Siprofloksasin, ofloksasin veya aminoglikozid Not: Siprofloksasin tercih edilecekse makrolide gerek yok.
Tedavi Süresi Ateş düştükten sonra - Pnömokok pnömonisi - Legionella pnömonisi - Mycoplasma ve C. pneumoniae Ağır pnömonilerde 1 hafta 7 -10 gün 14 -21 gün 10 -14 gün 2 -3 hafta
PNÖMONİLİ HASTAYA YAKLAŞIM Öykü Fizik muayene Tam kan sayımı Akciğer grafisi Oksijen saturasyonu Kültürler Hastalığı Derecelendir Pnömoni Ağır Pnömoni Hastaneye yatır Oksijen IV antibiyotik Ev bakımı Antibiyotik 48 saat sonra tekrar değerlerdir Yanıt var Tedaviye devam et Yanıt yok Çok Ağır Pnömoni 48 saat sonra tekrar değerlerdir Yanıt var Oral antibiyotik ile taburcu edilebilir (ardışık tedavi) İV antibiyotik ile 7 -10 günlük tedavi Hastaneye yatır (YBU) Solunum ve Dolaşım desteği, IV antibiyotik 48 saat sonra tekrar değerlendir Kötüleşme Yanıt yok yada Ani kötüleşme Yanıt yoksa Tedaviyi gözden geçir Yanıt var Tedaviye devam et
Tedaviye yanıt değerlendirilmesi • • • 48 -72 saat içinde klinik düzelme beklenir Ateş genellikle 2 -4 günde düşer Lökosit sayısı 4 güne kadar normale döner Fizik muayene bulguları geç kaybolabilir Radyolojik bulgular daha geç silinir
Tedaviye yanıtsızlık nedenleri • • Komplikasyonlar Uygunsuz antibiyotik kullanımı Hasta uyumsuzluğu İlaç direnci Alışılmadık etkenler (P. carinii, C. burnetti, TB) İmmunsupresyon durumu İnfeksiyon dışı nedenler (tümör, vaskülit. . . )
Ardışık tedavi Oral tedaviye geçiş kriterleri • 24 saatlik ateşsiz dönem • Kliniğin stabilleşmesi • Lökosit sayısının normale dönmesi • Oral ilaç alınımına engel durumun olmaması Aynı antibiyotik ile Farklı antibiyotik ile • • • Sefuroksim/sefuroksim aksetil Sefradin Siprofloksasin Amoksisilin-klavulanat Klaritromisin Levofloksasin Moksifloksasin Sefotaksim/sefuroksim aksetil Sefotaksim / sefiksim Seftazidim/siprofloksasin Seftriakson/sefiksim Ampisilin-sulbaktam/ Amoksisilin-klavulanat
Korunma: Grip aşısı yapılması önerilen kişiler • 65 yaş ve üzeri • Kronik pulmoner hastalık (KOAH, bronşektazi, bronş astması) • Kronik kardiovasküler hastalık • Diyabetes mellitus, böbrek fonksiyon bozukluğu, çeşitli hemoglobinopatileri olan ve bağışıklık sistemi baskılanmış kişiler • Yüksek riskli hastalarla karşılaşma olasılığı olan hekim, hemşire ve yardımcı sağlık personeli • Grip yönünden riskli şahıslarla birlikte yaşayanlar • Güvenlik görevlileri, itfaiyeciler gibi toplum hizmeti veren kişiler • Grip geçirdiklerinde ciddi komplikasyon gelişme olasılığı olan ve tıbbi sorunları olan gebeler • 2 -3. trimestrde grip geçirme riski olan gebeler Not: Trivalan grip aşısı, eylül, ekim ve en geç kasım aylarında her yıl deltoid kas içine uygulanmalıdır. Yumurta allerjisi olanlara yapılmamalıdır.
Korunma: Pnömokok aşısı yapılması önerilen kişiler • 65 yaş ve üzeri • KOAH, bronşektazi, pnömonektomi • Kronik kardiyovasküler hastalıklar • Diabetes mellitus • Kronik alkolizm • Siroz • Dalak disfonksiyonu veya splenektomi • Lenfoma veya multiple myelom • Kronik böbrek yetmezliği, nefrotik sendrom • Transplantasyon • HIV infeksiyonlu olgular • Beyin-omurilik sıvısı kaçağı olanlar • Pnömokok hastalığı veya komplikasyonu riskinin artmış olduğu şartlarda yaşayanlar Not: Pnömokok aşısı bir kez, intramusküler uygulanmalıdır. 65 yaşından önce aşılanmış olanlara aşılamadan beş yıl sonra bir kez rapel yapılır. Üç yıldan kısa aralıklarla ve ikiden fazla uygulanması kontrendikedir.
Antibiyotikler ve Erişkin Dozları Grup Penisilin Aminopenisilin Makrolid Tetrasiklin 2. kuşak sefalosporin 3. kuşak paranteral sefalosporin Antibiyotikler Penisilin V Prokain penisilin İ. M. Kristalize penisilin İ. V. Amoksisilin Ampisilin Eritromisin Azitromisin Klaritromisin Diritromisin Roksitromisin Doz Paranteral Doz aralığı-saat Oral Doz aralığı-saat 800. 000 Ü 2. 000 Ü 1000 mg 500 mg - 12 4 6 12 - 1 g 1 g 500 mg 300 mg 6 8 6 24 12 24 24 Doksisiklin - - 100 mg 12 Sefuroksim Sefprozil Sefaklor Lorakarbef Seftriakson Sefotaksim Sefodizim Seftazidim* 0. 75 -1. 5 g 1 -2 g 2 g 1 -2 g 8 24 8 12 8 0. 5 -1 g 0. 25 -0. 5 g 500 mg 400 mg - 12 12 8 12 - 1 -2 g 12 - - 6 4 -6 6 12 6 8 1 g - 8 - 4. kuşak paranteral sefalosporin Sefepim* Betalaktamaz inhibitörlü betalaktam Amoksisilin/klavulanik asid Ampisilin/sulbaktam Tikarsilin/klavulanik asid* Piperasilin/tazobaktam* Sefoperazon/sulbaktam* Karbapenemler İmipenem/silastatin* Meropenem* 1. 5 -3 g 3. 1 g 3. 375 g 2 g 500 mg 0. 5 -1 g Kinolon Siprofloksasin 400 mg 12 500 - 750 mg 12 Yeni kinolonlar Levofloksasin Moksifloksasin 500 mg 400 mg 12 24 *: Anti-pseudomonas etkili betalaktam antibiyotikler
1 - Ramirez J. IDSA, 2000. 2 - Toraks Dergisi 2002; 3 (ek 3): 1 -35. 3 - Nair GB, Niederman MS. Community-acquired pneumonia: an unfinished battle. Med Clin North Am. ; 95(6): 1143 -61. Epub 2011 Oct 5. Review. Pub. Med PMID: 22032432. 4 - Lippi G, Meschi T, Eur J Intern Med. 2011 Oct; 22(5): 460 -5. Epub 2011 Mar 25