Asztma COPD s a dohnyzs dr Mucsi Jnos


















- Slides: 18
Asztma, COPD és a dohányzás dr. Mucsi János Erzsébet Gondozóház Gödöllő ABOSZ, 2012. , Hajdúszoboszló
Asztma Krónikus légúti megbetegedés, amelyet a hirtelen kialakuló, nehezített kilégzéssel járó fulladásos roham jellemez Időben elkezdett megfelelő kezeléssel az egészséges légzés elérhető
COPD A légutak krónikus, nem visszafordítható gyulladása, amelyet mindennapos köhögés és/vagy nehézlégzés jellemez
Asztma és COPD
Asztma és COPD Asztma COPD Életkor 30 alatt 40 felett Allergia Az esetek 50%-a + Nem Dohányzás Igen / Nem Igen Lefolyás Rohamszerű Progresszív >12% <12% Reverzibilitás
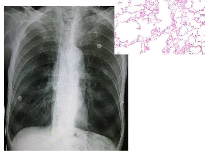
Dohányos COPD-s tüdő
COPD Krónikus obstruktív tüdőbetegség • Kb. 500. 000 COPD-s él ma Magyarországon • Közülük kb. 200. 000 -et ismerünk • A COPD a 3 -4. halálok • Az esetek 80 -90%-a a dohányosok közül kerül ki • Nem gyógyítható, de eredményesen kezelhető betegség
5 kérdés a COPD gyanújának igazolására 3 vagy több igen válasz esetén küldje betegét tüdőgyógyász szakorvoshoz 1. Köhög-e gyakran a napok többségében? 2. Van-e köpet- vagy váladékürítés a napok többségében? 3. Az Önnel egy korosztályba tartozókhoz hasonlítva könnyebben kifullad-e mint mások? 4. Ön 40 évnél idősebb? 5. Jelenleg dohányzik-e vagy dohányzott-e korábban ?
A COPD kialakulása Károsító tényezők (dohányzás, légszennyezés, foglalkozási ártalom) Genetikai faktorok Légúti infekciók Egyéb COPD
Dohányzók aránya (%) Dohányzók aránya (Magyarország, 2008) 49% 42% 44% 23% életév Cigaretta, szünet nélkül. A TÁRKI és az Image Factory kutatási jelentése, 2008. május 6.
kockázat Dohányzás és szívinfarktus A 15 éves koruk előtt dohányozni kezdő, naponta 1, 5 -2 doboz cigarettát elszívó 45 éves férfiak infarktus kockázata 30 -szoros!
Angol orvosok tüdőrák-halálozása Standardizált halálozási ráta/1000 férfi/év (1052 tüdőrák haláleset 1951 -2001 között) 24, 5 x 13, 7 x 7, 7 x 4 x 1 x
Standardizált halálozási ráta/1000 férfi/év Angol orvosok COPD-halálozása (640 COPD haláleset 1951 -2001 között) 23, 7 x 12, 8 x 9, 5 x 5, 8 x 1 x
A nikotinfüggőség kialakulása idegsejt 2 tor p e c e 4 r D = dopamin 15
A dohányzás és a dopamin rágyújtás dohányos Champix hiányzik NEM hiányzik Jól érzem magam NEM hiányzik 16 Mucsi A. , Mucsi J. 2009
A fizikai függés alapja: a nikotin krónikus hatása az agyban A dohányzás hatására megnő a nikotinos acetlikolin receptorok száma az agy prefrontális részében High Low Nem dohányzó Dohányzó 17 Perry et al. J Pharmacol Exp Ther 1999; 289: 1545– 1552.
dr. Mucsi János 70/7735 -946 www. tudobeteg. hu 18