Assessment of Diastolic function by echo Dr Shreetal
Assessment of Diastolic function by echo Dr Shreetal Rajan Nair
Diastolic function • Physiology • Epidemiology of diastolic dysfunction • Diastolic heart failure – definitions • Etiology of diastolic dysfunction • Echo assessment of diastolic function - present guidelines - newer concepts
Diastolic dysfunction defined as an inability of the left ventricle (LV) to attain a normal end-diastolic volume without an inappropriate increase in LV enddiastolic pressure (LVEDP)
Epidemiology – Heart Failure with Preserved Ejection Fraction (HF-PEF) • Accounts for 50% of cases of heart failure • older , more in females and more incidence in obese • Associated with hypertension, T 2 DM, dyslipidemia, and atrial fibrillation (AF). Patients with HF-PEF have • a worse prognosis than those with Heart Failure with Reduced Ejection Fraction (HF-REF)
HF- PEF - DIAGNOSIS • 1. Symptoms typical of HF • 2. Signs typical of HF • 3. Normal or only mildly reduced LVEF and LV not dilated • 4. Relevant structural heart disease (LV hypertrophy/LA enlargement) and/or diastolic dysfunction ESC 2012
ACCF/AHA 2013 a) clinical signs or symptoms of HF b) evidence of preserved or normal LVEF c) evidence of abnormal LV diastolic dysfunction that can be determined by Doppler echocardiography or cardiac catheterization
Physiology The ventricle has two alternating functions: 1. systolic ejection 2. diastolic filling Diastole can be divided into four phases: Left ▪ Isovolumic relaxation atrium functions as a RESERVOIR during systole, CONDUIT during early diastole and PUMP during late ▪ The early rapid diastolic filling phase diastole ▪ Diastasis ▪ Late diastolic filling due to atrial contraction
Atrial Pressures and Filling Curves
RA filling • Right atrial filling is characterized by ▪ Small reversal of flow following atrial contraction (a wave) ▪ Systolic phase : when blood flows from the superior and inferior vena cava into the atrium ▪ Small reversal of flow at end-systole (v wave) ▪ Diastolic filling phase when the atrium serves as a conduit for flow from the systemic venous return to the RV
LA fiiling • LA filling from the pulmonary veins also is characterized by : ▪ Small reversal of flow following atrial contraction (a wave) ▪ Systolic filling phase ▪ Blunting of flow or brief reversal at endsystole (v wave) ▪ Diastolic filling phase
Determinants of diastolic function • Ventricular relaxation and compliance • LA volume and function • Heart rate • Pericardium Derangement of any of the above will lead to abnormal filling pressures and diastolic dysfunction
Factors affecting diastolic filling • Early diastolic filling affected by preload transmitral volume flow rate atrial pressure Late diastolic filling is affected by: Cardiac rhythm Atrial contractile function Ventricular end-diastolic pressure
Etiology of diastolic dysfunction
Classification: diastolic dysfunction Grade 1 (mild dysfunction) : impaired relaxation with normal filling pressure Grade 1 a : impaired relaxation with increased filling pressure Grade 2 (moderate dysfunction): pseudonormalized mitral inflow pattern Grade 3 (severe reversible dysfunction): reversible restrictive (high filling pressure) Grade 4 (severe irreversible dysfunction): irreversible restrictive (high filling pressure)
Echo assessment of diastolic function Echocardiographic assessment of diastolic filling pressure has been aptly described as “ noninvasive Swan-Ganz catheter ” • 2 D • Doppler – PW, CW and TDI • M mode • Newer modalities
Diastolic function assessment Anatomic correlates Functional correlates
2 D • LV mass and dimensions LV hypertrophy is the commonest cause of diastolic dysfunction Relative wall thickness : • LA volume and LA volume index
LA volume and LA volume index • LA volume index >34 ml/m 2 - independent predictor of death, heart failure, atrial fibrillation and ischemic stroke • Limitations: dilated left atria – bradycardia, anemia and other high-output states, atrial flutter or fibrillation and significant mitral valve disease
Ventricular Relaxation • IVRT • the maximum rate of pressure decline(–d. P/dt) • the time constant of relaxation (tau or τ)
Tau and ventricular relaxation
Tau and Weiss formula • t corresponds to the time it takes for LVP to fall to 1/e (36%) of its initial value. • The formula also indicates that LVP fall, and therefore relaxation, will be 97% complete 3. 5*t after d. P/dt • Diastolic dysfunction is present when tau is >48 ms • Pt=(P 0 -P‘)e-t/t+P‘ • where Pt is LVP at time t; P 0 is LVP at d. P/dt min (time 0); P‘ is the asymptotic pressure, to which relaxation would lead if completed without LV filling. • P‘ is negative in normal ventricles, which means that the non-filling ventricle develops diastolic suction.
Ventricular Compliance and stiffness • Compliance is the ratio of change in volume to change in pressure (d. V/d. P). • Stiffness is the inverse of compliance: the ratio of change in pressure to change in volume (d. P/d. V)
SURROGATE MESUREMENTS of ventricular stiffness • DT of mitral velocity Stiffness [in millimeters of mercury per ml] is calculated as K = [70 ms/(DT- 20 ms) A wave transit time
The slope (Kc) of this line is the chamber stiffness constant and can be used to quantify chamber stiffness.
Acquisition of mitral inflow • apical 4 chamber, PW • 1 mm – 3 mm sample volume between mitral valve tips • initially obtained at sweep speeds of 25 to 50 mm/s for the evaluation of respiratory variation of flow velocities • If variation is not present, the sweep speed is increased to 100 mm/s, at end-expiration, averaged over 3 consecutive cardiac cycles
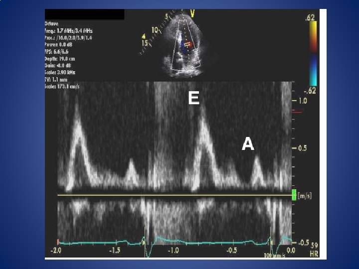
Mitral inflow Primary measurements • the peak early filling (E-wave) • late diastolic filling (A-wave) velocities • the E/A ratio • deceleration time (DT) of early filling velocity • the IVRT derived by placing the cursor of CW Doppler in the LV outflow tract to simultaneously display the end of aortic ejection and the onset of mitral inflow
Mitral inflow Secondary measurements • mitral A-wave duration (obtained at the level of the mitral annulus) diastolic filling time • the A-wave velocity-time integral and the total mitral inflow velocity-time integral (and thus the atrial filling fraction) • Mid diastolic flow is an important signal to recognize. Low velocities can occur in normal subjects but when increased (>20 cm/s)- represent markedly delayed LV relaxation and elevated filling pressures
The mitral L wave • distinct forward flow velocity after the E wave with a peak velocity >20 cm/s • • • Marker of advanced diastolic dysfunction Delayed and prolonged LV relaxation Increased LA pressure Effect of valsalva and leg elevation More frequently seen in AF patients Eur J Echocardiography (2006) 7, 16 -21; Ha et al Circ J 2007; 71: 1244– 1249; Nakai et al
The mitral L wave
IVRT • time interval between aortic valve closure and mitral valve opening • normal IVRT is approximately 80 to 100 ms • Impaired relaxation associated with prolonged IVRT • Decreased compliance and elevated filling pressures associated with shortened IVRT Useful in determining the severity of diastolic dysfunction particularly in serial studies of patients on medical therapy or with disease progression
IVRT CW Doppler in the LV outflow tract to simultaneously display the end of aortic ejection and the onset of mitral inflow.
Limitations of mitral inflow measurement • sinus tachycardia • conduction system disease • Arrhythmias Sinus tachycardia and first-degree AV block can result in partial or complete fusion of the mitral E and A waves (mitral DT cannot be measurable; IVRT can be measured
Limitations of mitral inflow measurement In atrial flutter • Unable to measure E velocity, E/A ratio or DT In AV blocks • multiple atrial filling waves are seen, with diastolic mitral regurgitation (MR) interspersed between non conducted atrial beats • PA pressures calculated from Doppler TR and PR
Valsalva maneuver Clinical applications • A pseudo normal mitral inflow pattern is caused by a mild to moderate increase in LA pressure in the setting of delayed myocardial relaxation • Because the Valsalva maneuver decreases preload during the strain phase, pseudo normal mitral inflow changes to a pattern of impaired relaxation • In cardiac patients, a decrease of >/= 50% in the E/A ratio is highly specific for increased LV filling pressures, but a smaller magnitude of change does not always indicate normal diastolic function.
QUANTITATIVE ANALYSIS • • 1. MAXIMUM VELOCITIES 2. VELOCITY TIME INTEGRALS 3. TIME INTERVALS 4. ACCELERATION AND DECELERATION
TDI - acquisition • PW apical view • The sample volume should be positioned at or 1 cm within the septal and lateral insertion sites of the mitral leaflets. • sweep speed of 50 to 100 mm/s at end-expiration ; average of >/= 3 consecutive cardiac cycles. • For the assessment of global LV diastolic function, it is recommended to acquire and measure tissue Doppler signals at least at the septal and lateral sides of the mitral annulus and their average. • In patients with cardiac disease, e’ can be used to correct for the effect of LV relaxation on mitral E velocity, and the E/e’ ratio can be applied for the prediction of LV filling pressures. • The E/e’ ratio is not accurate as an index of filling pressures in normal subjects or in patients with heavy annular calcification, mitral valve disease and constrictive pericarditis
TDI • Early diastolic filling velocity (e′) • Filling velocity after atrial contraction (A′) • Ratio of early to atrial diastolic myocardial velocity (e′/A′) • Ratio of transmitral blood flow velocity to tissue Doppler velocity (E/e′)
Medial vs lateral annular velocities • use the average (septal and lateral) e´ velocity in the presence of regional dysfunction • septal E/e´ ratio <8 is usually associated with normal LV filling pressures a ratio >15 is associated with increased filling pressures • between 8 and 15, other echocardiographic indices should be used. • In normal EFs, lateral tissue Doppler signals(E/e ánd e´/a´) have the best correlations with LV filling pressures and invasive indices of LV stiffness.
• TE-e´is particularly useful in situations in which the peak e´velocity has its limitations the E/e´ ratio is 8 to 15. • an IVRT/TE-e´ratio , 2 has reasonable accuracy in identifying patients with increased LV filling pressures
PCWP and E/e’
PCWP and E/e’
PCWP and E/e’ • pulmonary capillary wedge pressure usually is >20 mm Hg when E/e’ is >15 (e’from the medial annulus) or >12 (e’ from lateral annulus)
E/e’ ratio • E/e’ is highly predictive of adverse events in acute myocardial infarction, hypertensive heart disease, severe secondary MR, endstage renal disease, atrial fibrillation and cardiomyopathy • The E/e’ ratio is among the most reproducible echocardiographic parameters to estimate PCWP and is the preferred prognostic parameter in many cardiac conditions.
Pulmonary venous flow - acquisition • Apical 4 chamber • PW • Sample volume 2 mm-3 mm > 0. 5 cm into the pulmonary vein • Wall filter settings must be low enough to display the onset and cessation of the atrial reversal (Ar) velocity waveform • sweep speed of 50 to 100 mm/s at end expiration; average of >/=3 consecutive cardiac cycles.
PULMONARY VENOUS WAVE FORM • peak systolic (S) velocity, peak anterograde diastolic (D) velocity , the S/D ratio systolic filling fraction (Stime-velocity integral/[Stimevelocity integral? • D time-velocity integral]) and the peak Ar velocity in late diastole. • Other measurements are the duration of the Ar velocity, the time difference between it and mitral Awave duration (Ar ? A) • and D velocity DT. • There are two systolic velocities (S 1 and S 2
Acquisition – color M mode flow propagation velocity • apical 4 -chamber view • color flow imaging. • M-mode scan line is placed through the center of the LV inflow blood column from the mitral valve to the apex. • color flow baseline is shifted to lower the Nyquist limit so that the central highest velocity jet is blue. • Flow propagation velocity (Vp) is measured as the slope of the first aliasing velocity during early filling, measured from the mitral valve plane to 4 cm distally into the LV cavity. • Alternatively, the slope of the transition from no color to color is measured. • Vp >50 cm/s is considered normal
Diastolic stress test supine bicycle or treadmill protocol. E ; e’ TR jet assessed before and after exercise Diastolic heart failure : E/e’ ratio increases and pulmonary systolic pressure increases • In normal heart the ratio is maintained • Role of dobutamine ? ? ? • •
Estimation of LV filling in special populations • Atrial fibrillation : measurements of average of 10 cycles • Sinus tachycardia: E – A fusion occurs • Restrictive cardiomyopathy • Hypertrophic cardiomyopathy - Ar - A duration (>30 ms) used to predict LVEDP • Pulmonary hypertension
Predictors of raised LVEDP
PCWP and various parameters • • • Mean PCWP= 17+ (5 XE/A)- (0. 11 X IVRT) E/Vp > 2. 5 predicts PCWP > 15 mm Hg T (E-e’) delayed in impaired relaxation IVRT/ T (E-e’) < 2 predicts PCWP > 15 mm Hg Ar velocity – mitral A >/= 30 ms – marker of raised PCWP
Recent indices of diastolic function
Summary- diastolic parameters
Thank you
- Slides: 68