Aqu va portada general Huguis HIDROCEFALIA Griego Unin








































































- Slides: 72
Aquí va portada general Huguis
HIDROCEFALIA Griego: • Unión de tres “partículas”: • hydro=“agua”, kephale “cabeza” y el sufijo –ia que se define como “cualidad” “una dilatación fuera de los parámetros normales de los ventrículos del encéfalo a raíz de una acumulación de LCR” http: //www. asocimed. cl/Guias%20 Clinicas/neurocirugia/hidrocefalia. html Asociación de Sociedades Científicas-Médicas de Chile (ASOCIMED), Mayo 2012
HIDROCEFALIA Trastorno por acumulación de LCR en la cabeza y con ello : un aumento de la presión y una expansión del cráneo a un tamaño mayor que el normal (OMS: http: //www. who. int/features/2012/spina_bifida/es/)
SE CLASIFICA SEGÚN SU MECANISMO: 1. - Comunicante = No obstructiva = Extra-ventricular: • Comunicante porque el LCR todavía logra desplazarse entre los ventrículos • Se desarrolla por bloqueo del LCR después salir de los ventrículos al espacio sub-aracnoideo 2. - No-comunicante = Obstructiva = Intra-ventricular: • Se produce por un bloqueo del LCR en una o más de las vías que unen a los ventrículos • (Uno de los motivos más frecuentes de esta clase de hidrocefalia es la estenosis acuaductal)
HIDROCEFALIA EN NIÑOS FACULTAD DE MEDICINA UAEM DR. ÓSCAR SOLÍS SALGADO ZAIRA ISABEL KURI AYALA 8. C
La HIDROCEFALIA se define como un SÍNDROME caracterizado por un desequilibrio de suficiente magnitud entre: FORMACIÓN CIRCULACIÓN REABSORCIÓN DEL LCR TAMAÑO VENTRICULAR Esto llega a ocasionar: Villarejo Francisco. Martínez Lage Juan F. “NEUROCIRUGÍA PEDIÁTRICA”. Ediciones Ergón. Madrid España 2001 LCR EN SU INTERIOR
Esta dilatación ventricular va asociada generalmente a una elevación de la presión del LCR en su interior. HIDROCEFALIA ACTIVA HIDROCEFALIA HIPERTENSIVA Aumento del tamaño de las cavidades ventriculares por atrofia cerebral, que suele aparecer en el adulto mayor. [Sx. Jacob Creutzfeld] HIDROCEFALIA PASIVA Villarejo Francisco. Martínez Lage Juan F. “NEUROCIRUGÍA PEDIÁTRICA”. Ediciones Ergón. Madrid España 2001 HIDROCEFALIA EXVACUO
3 -4 Casos por cada mil nacidos 0. 9 – 1. 5 casos por 1000 de hidrocefalia en los recién nacidos 1. 3 – 2. 9 casos por 1000 de hidrocefalia en los recién nacidos espina bífida y mielomeningocele. Villarejo Francisco. Martínez Lage Juan F. “NEUROCIRUGÍA PEDIÁTRICA”. Ediciones Ergón. Madrid España 2001
La HIDROCEFALIA obedece a causas etiológicas muy diversas y al describirla estamos iniciando el diagnóstico: De acuerdo a la fisiopatología la hidrocefalia se debe a: Producción del LCR Circulación del LCR Villarejo Francisco. Martínez Lage Juan F. “NEUROCIRUGÍA PEDIÁTRICA”. Ediciones Ergón. Madrid España 2001 Reabsorción del LCR
Producción del LCR Tumores cerebrales desarrollados en los plexos coroideos de los ventrículos cerebrales. PAPILOMAS Hiperproducción del LCR Villarejo Francisco. Martínez Lage Juan F. “NEUROCIRUGÍA PEDIÁTRICA”. Ediciones Ergón. Madrid España 2001
Los cambios que acontecen en la CIRCULACIÓN del LCR y que pueden llegar a ocasionar una hidrocefalia están originados por variadas lesiones que impiden: La libre circulación del LCR por los ventrículos, las cisternas o drenaje a los senos venosos englobándose aquí los trastornos de LA REABSORCIÓN Por tanto: Procesos expansivos tumorales Malformaciones congénitas Malformaciones adquiridas Villarejo Francisco. Martínez Lage Juan F. “NEUROCIRUGÍA PEDIÁTRICA”. Ediciones Ergón. Madrid España 2001
1 PROCESOS EXPANSIVOS TUMORALES VENTRÍCULOS LATERALES Gliomas y papilomas AGUJERO DE MONRO Quiste coloide TERCER VENTRÍCULO Craneofaringioma ACUEDUCTO DE SILVIO Meduloblastoma CUARTO VENTRÍCULO Ependimoma
2 MALFORMACIONES CONGÉNITAS Dentro de estas lesiones congénitas vamos a destacar: Todas estas lesiones congénitas determinan obstrucción al paso del LCR a las cisternas. Estenosis del acueducto de Silvio Malformación de Chiari Síndrome de Dandy Walker Villarejo Francisco. Martínez Lage Juan F. “NEUROCIRUGÍA PEDIÁTRICA”. Ediciones Ergón. Madrid España 2001
ESTENOSIS DEL ACUEDUCTO DE SILVIO Etiología más frecuente de HIDROCEFALIA CONGÉNITA En las estadísticas variaba el número de estenosis de acueducto diagnosticadas dependiendo de las exploraciones complementarias efectuadas. HIDROCEFALIA FAMILIAR LIGADA AL SEXO q Sexo masculino afectado q 1949 Bickers y Adams q Raro 2% incidencia Villarejo Francisco. Martínez Lage Juan F. “NEUROCIRUGÍA PEDIÁTRICA”. Ediciones Ergón. Madrid España 2001
CON EL NOMBRE DE ESTENOSIS DE ACUEDUCTO SE HAN DESCRITO VARIOS TIPOS DE ANOMALÍAS DEL MISMO QUE INDUCIRÍAN UNA HIDROCEFALIA ESTENOSIS AISLADA DE ACUEDUCTO Sin gliosis periacueductal que suele ser rara y no fácil de apreciar por las variedades morfológicas ATRESIA O FORKING Dos o tres divertículos con ramificaciones en fondo de saco que partiendo del III ventrículo no comunican con el IV SEPTUM GLIALE Consiste en un tabique glial que impide el normal paso del LCR por el acueducto de silvio
GLIOSIS PERIACUEDUCTAL Proliferación neuróglica fibrilar periependimaria difícil de diferenciar con algunos gliomas no infiltrantes ASOCIADA A MALFORMACIONES Las estenosis del acueducto asociadas a otras malformaciones como: Espina bífida Malformaciones cardiacas Villarejo Francisco. Martínez Lage Juan F. “NEUROCIRUGÍA PEDIÁTRICA”. Ediciones Ergón. Madrid España 2001 Malformaciones ureterales
MALFORMACIÓN DE CHIARI Es una malformación que se asocia a mielomeningocele y estenosis de acueducto, caracterizado con descenso de alguna de las estructuras que ocupan fosa posterior por debajo del agujero magno Chiari 1891 MALFORMACIÓN DE CHIARI Hidrocefalia congénita SIRINGOMIELIA HIDROCEFALIA 10% Elongación y desplazamiento caudal de las amígdalas cerebelosas y porciones inferiores de los hemisferios cerebelosos por debajo del plano del agujero magno. Desplazamiento caudal de vermis cerebeloso, bulbo, protuberancia y IV ventrículo MIELOMENINGOCELE 80% HIDROCEFALIA
CHIARI en 1896 señalaba otros tipos menos frecuentes que los enunciados antes: CHIARI III: Forma muy grave CHIARI IV: Hipoplasia cerebelosa Herniación del cerebelo y el tronco dentro de un mielomeningocele cervico-occipital. Dehiscencia de la parte posterior del agujero occipital y arcos posteriores de primeras vértebras cervicales Villarejo Francisco. Martínez Lage Juan F. “NEUROCIRUGÍA PEDIÁTRICA”. Ediciones Ergón. Madrid España 2001
TEORÍAS DE PATOGENICIDAD Estas pretenden explicar el origen de la malformación por una HIC que induciría a una herniación de las estructuras de fosa posterior a través del agujero occipital RELACIÓN CON MIELOMENINGOCELE: Penfield y Cone 1952: Fijación de estructuras mieloradiculares que impediría la ascensión normal de la médula, esto ocasionaría una tracción de la parte inferior del romboencéfalo con descenso de estructuras por debajo del agujero occipital HIDROCEFALIA EMBRIONARIA: Chiari 1891 -1892 La hidrocefalia es el fenómeno primitivo y la incarceración cerebelosa se produciría por un cono de presión CAMERON 1957 GARDNER 1959: Hidrocefalia primitiva por imperforación de agujeros de Lushcka y Magendie
SÍNDROME DE DANDY WALKER Es una variedad de hidrocefalia congénita asociada a malformación de vermis cerebeloso y techo del cuarto ventrículo Imperforación de agujeros de Lushcka y Magendie LA MAYOR AFECCIÓN ES SOBRE EL 4 to. VENTRÍCULO, DILATADO FORMANDO BOLSA QUÍSTICA EN FOSA POSTERIOR HEMISFERIOS CEREBELOSOS APLANADOS Y RECHAZADOS HACIA LOS PEÑASCOS AGENESIA O DISFUNCIÓN DE CISTERNAS COMPROMISO EN LA CIRCULACIÓN Y REABSORCIÓN Villarejo Francisco. Martínez Lage Juan F. “NEUROCIRUGÍA PEDIÁTRICA”. Ediciones Ergón. Madrid España 2001
3 ADQURIDAS Masas tumorales/ no tumorales Infecciones Neonatales Post. Hemorrágica Todas las meningitis bacterianas pueden producirla, (sobre todo, la purulenta, incluida la tuberculosa que la puede cursar de forma crónica. )por adherencias aracnoideas y estenosis del acueducto de Silvio. El 15% de las hidrocefalias tienen como causa una hemorragia intracraneal (trauma, malformación, prematurez). En la fase aguda puede haber un coagulo en la vía de drenaje, pero mas frecuentemente se produce obstrucción por depósitos de fibrina sobre los espacios subaracnoideos.
CLÍNICA Y CARACTERÍSTICAS DE LA HIDROCEFALIA INFANTIL La clínica de la hidrocefalia viene configurada fundamentalmente por: PIC La mayor o menor influencia clínica de ella sobre los pacientes va a depender: EDAD NATURALEZA DE OBSTRUCCIÓN CIERRE O NO DE SUTURAS CRANEALES
PERIODO NEONATAL En el recién nacido y en el lactante la presentación clínica dependerá de la apertura de las suturas. ELEMENTO DOMINANTE PERÍMETRO CEFÁLICO MACROCEFALIA 1. Clara desproporción craneo-facial 2. Cabeza globulosa 3. Frente abombada con piel tirante y brillante 4. Venas epicraneales distendidas y en ocasiones colapsadas 5. El macizo facial guarda sus dimensiones normales 6. Fontanelas a tensión y agrandadas 7. Suturas craneales separadas ATROFIA PAPILAR IMPLANTACIÓN BAJA DE OREJAS EXOFTALMIA OJOS EN PUESTA DE SOL Niños normales o prematuros si es > 2 -3 m PATOLÓGICO
En muchas ocasiones la gravedad del cuadro clínico va a estar condicionada por la rapidez evolutiva más que por el mayor o menor grado de macrocefalia. En general la sintomatología cuando el aumento del tamaño ventricular progresa lentamente no será especialmente llamativa y encontramos: Aumento del PC 75% Fontanela anterior tensa 65% Apertura de suturas 39% Venas de piel distendida 33% Ojos puesta de sol 22% Rigidez de cuello 14% ASINTOMÁTICOS VÓMITOS IRRITABLES Villarejo Francisco. Martínez Lage Juan F. “NEUROCIRUGÍA PEDIÁTRICA”. Ediciones Ergón. Madrid España 2001
Una rápida evolución condicionaría una clínica más florida de: Cuando el trastorno aparece en niños con fontanelas cerradas el cuadro clínico corresponde: Vómitos Somnolencia HI C Crisis convulsivas Macrocefalia Cefaleas Vómito Edema de papila Villarejo Francisco. Martínez Lage Juan F. “NEUROCIRUGÍA PEDIÁTRICA”. Ediciones Ergón. Madrid España 2001
A la forma aguda de descompensación brusca de una hidrocefalia se le añadirá al cuadro anterior: Obnubilación Crisis tónicas Afección del troncoencéfalo Herniación amigdalar o uncal Coma profundo Alteraciones del ritmo respiratorio y cardiaco Villarejo Francisco. Martínez Lage Juan F. “NEUROCIRUGÍA PEDIÁTRICA”. Ediciones Ergón. Madrid España 2001
HIDROCEFALIA ADULTO Cefalea Nauseas Vómitos Pupila no reactivas Confusión Obnubilación progresiva Desviación de la mirada hacia abajo Confusión >Pulso <TA Respiración irregular
CAUSAS HIDROCEFALIA
SINDROME DE HAKIM Y ADAMS ALTERACIONES DE LA MARCHA TRASTORNOS COGNITIVOS INCONTINENCIA ESFINTERIANA Los síntomas progresan de forma lenta, insidiosa y oscilante Enlentecimiento de la marcha con dificultad para iniciar la deambulación o dar giros Pasos mas cortos, se aumenta la base de sustentacion con anteroflexion del tronco
Marcha atáxica cerebelosa Marcha de la enf. De Parkinson Marcha senil Alzheimer Diagnostico diferencial
DIAGNÓSTICO DE LA HIDROCEFALIA INFANTIL El diagnóstico clínico de las formas de hidrocefalia rápidamente evolutivas está basado en el aumento anormal del perímetro cefálico. El diagnóstico clínico de la hidrocefalia de evolución lenta está basado en historia clínica y examen físico. Existencia de algún problema durante el embarazo o parto que pudiera condicionar Villarejo Francisco. Martínez Lage Juan F. “NEUROCIRUGÍA PEDIÁTRICA”. Ediciones Ergón. Madrid España 2001
SIGNO DE MAC EWEN Sonido de olla cascada Percusión en la cabeza Frecuente en los niños hidrocéfalos por encima de los dos años Separación de las suturas Para la confirmación del síndrome hemos de recurrir a estudios complementarios de diagnóstico: Transiluminación craneana Ecoencefalografía Radiología Simple de Cráneo Resonancia Magnética Tomografía computarizada
TRANSILUMINACIÓN CRANEANA Edad inferior a los nueve meses Una fuente potente de luz se aplica a la superficie externa del cráneo y simultáneamente se toma una fotografía. En un niño normal la luz penetra el cráneo y transilumina el LCR produciendo un pequeño halo de luz a su alrededor En niños mayores la transparencia estará condicionada por el espesor de la piel e influirá. Villarejo Francisco. Martínez Lage Juan F. “NEUROCIRUGÍA PEDIÁTRICA”. Ediciones Ergón. Madrid España 2001
RADIOLOGÍA SIMPLE DE CRÁNEO 1. Desproporción craneofacial 2. Diástasis de suturas 3. Agrandamiento de fontanela Niños de 18 meses a 2 años: SIGNOS CLÍNICOS DE HIC Villarejo Francisco. Martínez Lage Juan F. “NEUROCIRUGÍA PEDIÁTRICA”. Ediciones Ergón. Madrid España 2001 1. Impresiones digitales 2. Diástasis de suturas 3. Aumento del tamaño de la silla turca
ANGIOGRAFÍA CEREBRAL Antes era fundamental el estudio del síndrome hidrocefálico, actualmente han quedado relegadas. Solo se utilizan para estudio de malformaciones vasculares que pudieran desencadenar hidrocefalia TOMOGRAFÍA CEREBRAL MÉTODO DE ELECCIÓN Tamaño de Cavidades ventriculares Causa Etiológica Villarejo Francisco. Martínez Lage Juan F. “NEUROCIRUGÍA PEDIÁTRICA”. Ediciones Ergón. Madrid España 2001 Neumoencefalografía Ventriculografía Cisternografía isotópica
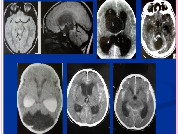
http: //fundacionannavazquez. wordpress. com/2007/09/20/malformaciones-cerebrales-congenitas-valoradas-porultrasonido-trasfontanelar/
http: //fundacionannavazquez. wordpress. com/2007/09/20/malformaciones-cerebrales-congenitas-valoradas-porultrasonido-trasfontanelar/
http: //fundacionannavazquez. wordpress. com/2007/09/20/malformaciones-cerebrales-congenitas-valoradas-porultrasonido-trasfontanelar/
http: //www. elbaulradiologico. com/2011/11/artefactos-de-flujo-de-lcr-con-la. html
http: //www. elbaulradiologico. com/2011/11/artefactos-de-flujo-de-lcr-con-la. html
http: //www. elbaulradiologico. com/2011/11/artefactos-de-flujo-de-lcr-con-la. html
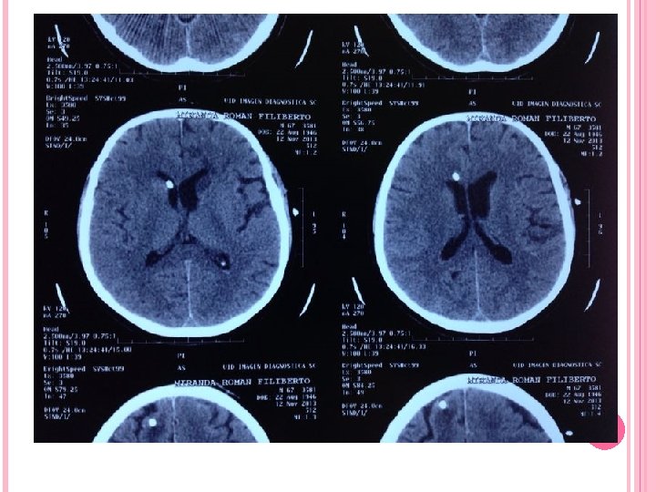
Criterios para TAC Presencia de dilatación ventricular Hipodensidad en polos occipitales y frontales periventriculares Borramiento de los surcos cerebrales INDICE DE EVANS : igual o superior a 0. 30 debe considerarse patológico Cuernos temporales con diámetro mayor a 2 mm Lopez Ojeda Pablo, DIAGNOSTICO Y TRATAMIENTO DE LA HIDROCEFALIA CRONICA EN EL ADULTO, Barcelona hospital universitario 2009
Criterios para TAC FH/ID >0. 5 Abombamiento de los cuernos frontales y ventrículos laterales
Lopez Ojeda Pablo, DIAGNOSTICO Y TRATAMIENTO DE LA HIDROCEFALIA CRONICA EN EL ADULTO, Barcelona hospital universitario 2009
Lopez Ojeda Pablo, DIAGNOSTICO Y TRATAMIENTO DE LA HIDROCEFALIA CRONICA EN EL ADULTO, Barcelona hospital universitario 2009
RESONANCIA MAGNÉTICA HALLAZGOS EN RM Desproporción entre dilatación ventricular y surcos corticales Hipodensidades periventriculares 3 ventrículo redondeado Astas frontales contornos abombados Adelgazamiento y estiramiento del cuerpo calloso
http: //www. elbaulradiologico. com/2011/11/artefactos-de-flujo-de-lcr-con-la. html
Karen Garcia A. , REVISTA CHILENA DE GINECOLOGIA Y OBSTETRICIA 2010
Karen Garcia A. , REVISTA CHILENA DE GINECOLOGIA Y OBSTETRICIA 2010
Karen Garcia A. , REVISTA CHILENA DE GINECOLOGIA Y OBSTETRICIA 2010
http: //www. elbaulradiologico. com/2011/11/artefactos-de-flujo -de-lcr-con-la. html
LCR Su existencia fue documentada desde el siglo 17, e información referente al LCR ha sido acumulada desde el año 1500 A pesar de conocimientos del LCR y tecnología de punta, podemos concluir, como Galen en 200 a. d. , “…es un espíritu vital” Plexos coroideos Porción del encéfalo encargada de formar LCR (70 -80%) (predominante los dos laterales, 3º y 4º ventrículos (Ahora saben 20 -30% en líquido intersticial del cerebro y columna vertebral Tanto los plexos como las células ependimarias son una continuación de la piamadre (nivel de ventriculos)
LCR Estos plexos están formados por celulas ependimarias modificadas (poseen lámina basal y están unidas por Zonula occludens, y se asientan sobre tejido conectivo y no nervioso, formando la llamada tela coroidea, que se repliega formando los plexos coroideos, los cuales poseen gran cantidad de capilares inmersos en su tejido conectivo El plasma de estos capilares es filtrado por el epitelio de los plexos coroideos que actúa como una verdadera membrana dializante y finalmente lo secreta a los ventrículos como líquido LCR De ahí pasa al 3 er ventrículo (agujeros de Monro) Luego Acueducto de Silvio al 4º al espacio sub -aracnoideo y baña SNC
AHC CO 2 + H 2 O CO 3 H- + H+ Cl- entra y intercambia con CO 3 H H 2 O entra (pasiva para p/equilibrio osmótica) acompañado de Na+ y Cl. El polo apical (cel coroidea) tiene una bomba Na+/K+ acoplada a ATPasa Que extrae Na+ hacia ventrículo y mete K+ El Cl- cotransportada con Na+, y el H 2 O les acompaña (p/equilibrio osmótica) Mecanismos que explican porque aunque LCR tiene c/ > Na+ y Cl- y < K+ que Plasma, tienen la misma osmolaridad
Acetazolameda inhibe anhídrasa carbónica Bajando producción LCR 50% También: Inhibidores de bomba de hidrogeniones como Omaprozol (en polo basal) Glucósidos cardiacos (bloquean ATPasa de la bomba Na+/K (polo apical) Toxina de cólera acelera extracción Na+ de la célula coroidea al activar adenil-ciclasa a partil del ATP (la energía de la bomba Na+/K)
¿ Y la otra producción de LCR, el 2030% ? Pues no se afecta por los mismos fármacos que LCR coroidea Diuréticos osmóticos producen hiperosmolaridad de la sangre y formación no asociado con transporte activo Glicerol vía oral reduce hasta 75% de la formación LCR extra-coroideo
TRATAMIENTO MÉDICO: Extraer LCR por centesis lumbares repetidas Post-hemorrágica sub-aracnoidea y Hemorragia intra-ventricular del prematuro Objeto Disminuir sangre y proteínas en LCR así prevenir formación de fibrina y obstrucción permanente de los villi aracnoideos También han utilizado como Tx de hidrocefalia a presión normal punciones lumbares diario (5 -15 cc/día) Pero: Son técnicamente difíciles, pero baja la presión ventricular En la 3ª o 4ª vez, apenas sale liquido En algunas casos lograron controlarla
TX FARMACOLÓGICO: Fármacos que reduzcan producción de LCR, el grupo Incluye: Inhibidores de anhídrasa carbónica de los plexos y inhibidores de la ATPasa de la bomba Na+/K del epitelio coroideo. Inhibidores de anhídrasa carbónica Acetazolameda (50 -100 mg/kg) y Furosemida (1 mg/kg): Ambos bajan producción 50 -60% Acetazolameda: Produce vasodilatacion cerebral por lo que aumenta PIC (transitorio) Aumenta excreción de bicarbonato por riñón Acidosis metabólica Ocasionalmente produce anemia aplasica Furosemida: Aumenta excreción de hidrogeniones y de Ca Produce alcalosis y nefro-calcinosis
Shinnar combina ambos Acetazolameda 100 mg/kg/día con Furosemida 1 mg/kg/día, y refiere controlar 50% Requiere: Monitorización de gases sanguíneos y balance hidroeléctrico Bicarbonato si hay acidosis) Lactantes: Mas Ecografía semanal Se mantiene Tx por hasta los 6 meses Si aumenta hidrocefalia Se pone derivación Inhibidores de la ATPasa de la bomba Na+/K: Digoxina y la Quabaina que llegan a redujo producción hasta 60% Utilizados poco en clínica Resultados no han sido alentadores
FÁRMACOS PARA REDUCIR CONTENIDO DE AGUA EN EL CEREBRO: Diuréticos osmóticos: Extraen agua del intersticio hacia los capilares para llevarla fuera del cráneo hasta la circulación Por lo que no es útil cuando mantel cerebral es adelgazado Mas que tamaño ventrículos se baja PIC reduciendo volumen de parénquima` Han utilizado sobre todo Isosorbide, manitol, urea y glicerol Isosorbide (dirivado Sorbitol) 1 -3 g/kg/día, VO (obtuvieron reducción PIC hasta 100% debajo de la línea basal) Con dosis medias, han logrado control en 36% Con Tx prolongados, puede producir hipernatremia y deshidratación Manitol y urea tienen que ser IV y tienen más efectos que glicerol Glicerol: 2 mg/kg/6 hr buenos resultados en 25%
Tx que aumentan absorción Post-hemorragias y post-meningitis utilizan agentes que inhiban deposito de fibrina (espacio sub-aracnoideo y los villi) Hialuronidasa inyectada en ventrículo para lisar fibrina Urokinasa y estreptoquinasa activan plasminógeno Con activador de plasminógeno tisular humano recombinante se activa todo el plasminógeno disponible a plasmina (y no es antigénico) Inyectan 4 mg 2 o 3 días consecutivos (infusión lenta intra-ventricular) a través del catéter de drenaje ventricular y lo cierre durante 30 minutos Lo abre/cierre (alterno) por intervalos de 1 a hora durante 12 horas Tx probado muy eficaz para resolver hemorragias rápidamente También esteroides reducen la reacción inflamatoria
VENDAJE COMPRESIVO DEL CRÁNEO DERN: Mecanismo: • Incremento de volumen de absorción de LCR al aumentar su presión entre 100 -400 mm H 2 O Fred Epstein • Resucito la vendaje compresiva en neonatos con hidrocefalia Se hace el cráneo rígido • que aumenta PIC que aumenta reabsorción así estabilizará tamaño ventricular
Aquí sigues tu