Appareil de Golgi Dfinition Lappareil de Golgi est

  • Slides: 30
Download presentation
Appareil de Golgi

Appareil de Golgi

Définition � L'appareil de Golgi est un organite cellulaire formé d'un ou de plusieurs

Définition � L'appareil de Golgi est un organite cellulaire formé d'un ou de plusieurs dictyosomes disséminés dans le cytoplasme.

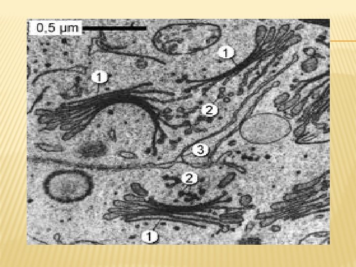
Un dictyosome est un empilement de saccules membraneux aplatis, dont la légère courbure permet

Un dictyosome est un empilement de saccules membraneux aplatis, dont la légère courbure permet de distinguer une face convexe ou face cis et une face concave ou face trans

L'appareil de Golgi a pour fonction de modifier, de concentrer, de trier et d'emballer

L'appareil de Golgi a pour fonction de modifier, de concentrer, de trier et d'emballer les protéines dans des vésicules

Il fait l'intermédiaire entre le réticulum endoplasmique et la membrane plasmique.

Il fait l'intermédiaire entre le réticulum endoplasmique et la membrane plasmique.

Structure

Structure

Un dictyosome est un empilement de saccules membranaires de forme discoïdale et d'un réseau

Un dictyosome est un empilement de saccules membranaires de forme discoïdale et d'un réseau de canalicules appelé réseau trans-golgien

Les différentes parties de l'appareil de Golgi sont identifiées par les colorants suivants :

Les différentes parties de l'appareil de Golgi sont identifiées par les colorants suivants : � le tétroxyde d'osmium colore le golgi-cis ; � la dinucléoside diphosphatase colore le golgi-trans ; � la phosphatase acide colore le réseau trans golgien.

RAPPORTS AVEC LES MICROTUBULES

RAPPORTS AVEC LES MICROTUBULES

LA COMPOSITION CHIMIQUE : la membrane golgienne les protéines consistent de 60 à 65

LA COMPOSITION CHIMIQUE : la membrane golgienne les protéines consistent de 60 à 65 % les lipides : de 35 à 40 % C'est une composition intermédiaire entre le RE et le membrane plasmique

COMPARTIMENTS FONCTIONNELS DE L'APPAREIL DE GOLGI

COMPARTIMENTS FONCTIONNELS DE L'APPAREIL DE GOLGI

RÔLES DE L'APPAREIL DE GOLGI Rôle fondamental dans les modifications posttraductionnelles des protéines issues

RÔLES DE L'APPAREIL DE GOLGI Rôle fondamental dans les modifications posttraductionnelles des protéines issues du réticulum.

� 1 -Glycosylation des protéines � 2 -Glycosylation des lipides � 3 -Sulfatation des

� 1 -Glycosylation des protéines � 2 -Glycosylation des lipides � 3 -Sulfatation des protéines (SO 4) � 4 -Coupures protéolytiques: Les coupures protéolytiques sont initiées dans le trans Golgi et se poursuivent dans les grains de sécrétion du compartiment post-golgien, pour devenir protéines actives.

LE COMPARTIMENT POST-GOLGIEN

LE COMPARTIMENT POST-GOLGIEN

C'est le lieu de rencontre des voies d'exocytose (biosynthèse) et d'endocytose

C'est le lieu de rencontre des voies d'exocytose (biosynthèse) et d'endocytose

Deux types d'organites qu’on peut trouver: - les grains de sécrétion pour la voie

Deux types d'organites qu’on peut trouver: - les grains de sécrétion pour la voie d'exocytose. - les endosomes et les lysosomes pour la voie de l'endocytose.