Aplicaes do Doppler no sistema nervoso central Telma















































- Slides: 47
Aplicações do Doppler no sistema nervoso central Telma Sakuno HU-UFSC HIJG Florianópolis- SC tsakuno@gmail. com SBUS 12° Congresso Internacional de Ultrassonografia da FISUSAL (São Paulo, 19 a 22 de outubro de 2016)
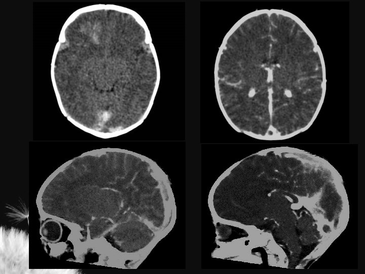
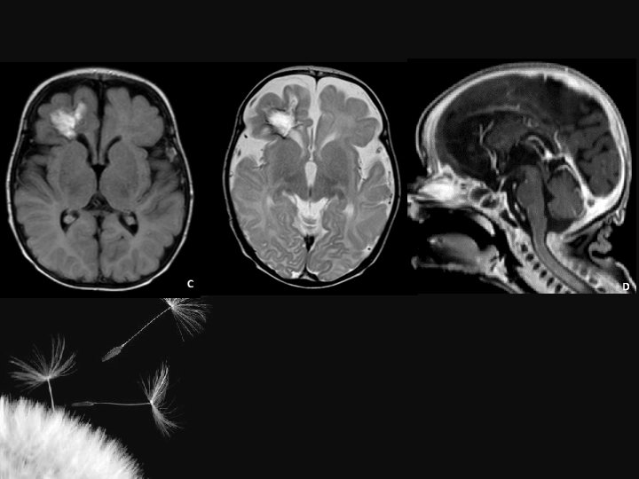
MACROCRANIA
Macrocrania • Macrocrania benigna hidrocefalia benigna da infância, coleção extra axial benigna da infância • Condições patológicas: • US – Coleções anecóicas – Formato em V – Sulcos e giros proeminentes – Ventrículos normais ou proeminentes – Pia-aracnoide com ecogenicidade normal – Higroma subdural – Hematoma subdural – Abscesso secundário a meningite – Coleções ecogênicas – Formato em U – Sulcos e giros deslocados ou achatados – Ventrículos alargados – Pia-aracnoide hiperecogênica
Mc Cluney et al. AJNR 13: 1335 -1339 Chen et al. Radiology 201: 389 -392
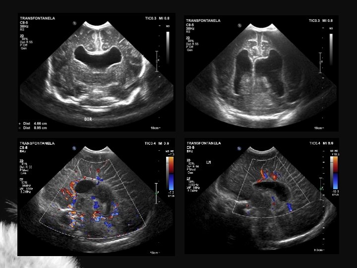
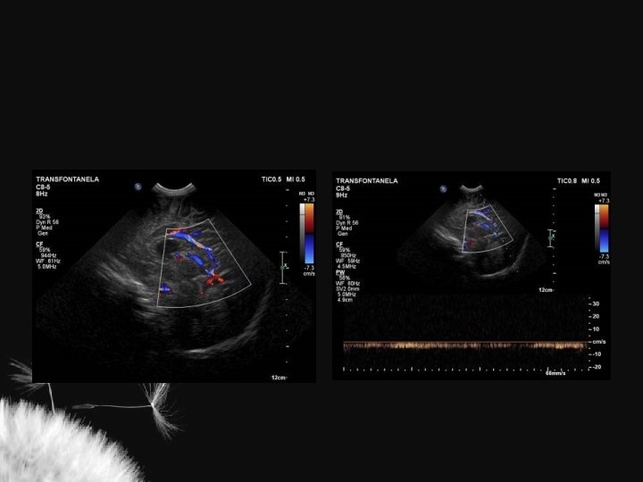
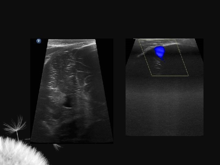
Hidrocefalia benigna da infância – sinal da veia cortical positivo
Coleção subdural – sinal da veia cortical negativo
VENTRICULOMEGALIA
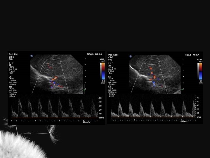
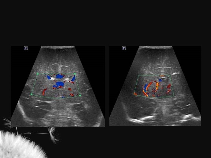
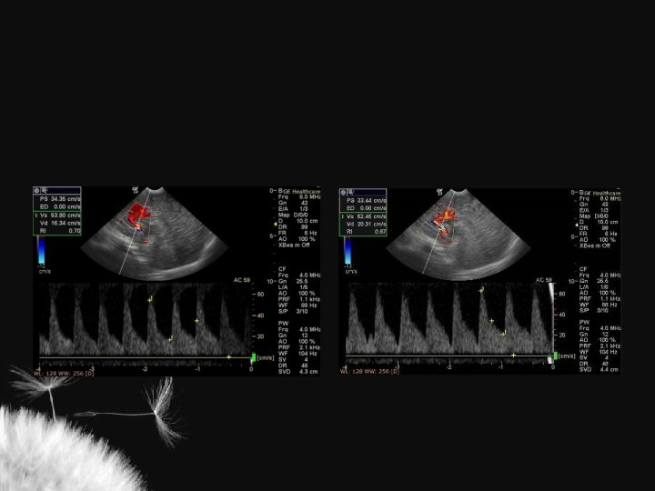
Artérias cerebrais normais
Valores normais ACI ACA AB Vs (cm/s) 50 + 15 42 + 15 41 + 16 Vd (cm/s) 11 + 4 11 + 5 11 + 4 TAMX (cm/s) 22 + 6 21 + 9 19 + 7 0, 77 + 0, 08 0, 73 + 0, 08 0, 72 + 0, 09 RI Deeg KH. Neuroradiology 32: 60 -63
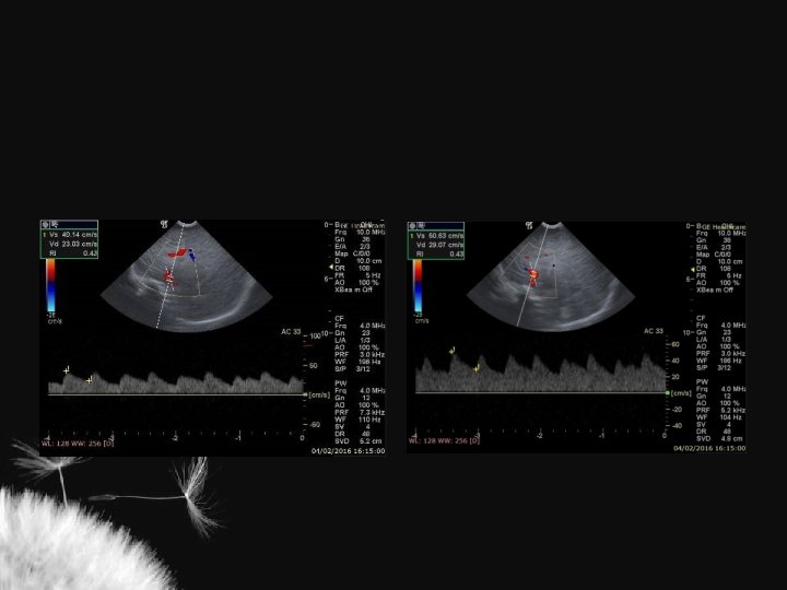
Índice de resistência (IR) nas artérias intracranianas ACA ACI Martin (1982) 0, 75 + 0, 03 Jorch (1986) 0, 74 + 0, 06 Lipman et al. (1982) 0, 79 + 0, 04 Perlman et al. (1985) 0, 66 + 0, 06 Deeg (1989) 0, 73 + 0, 08 AB 0, 77 + 0, 07 0, 73 + 0, 06 0, 77 + 0, 08 0, 72 + 0, 09 ACA artéria cerebral anterior, ACI artéria carótida interna, AB artéria basilar IR pré-termo 0, 79 + 0, 02 IR > 2 anos 0, 50 + 0, 08
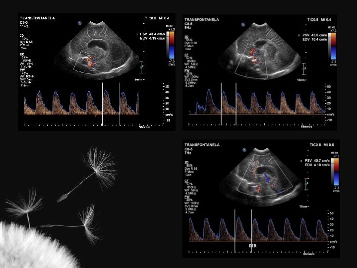
Considerações IR = S – D S Perfusão Q = A x TAV Aumento da PIC 1. Aumento da velocidade sistólica 2. Diminuição da velocidade diastólica Compressão fontanelar 1. Normal – aumenta até 6% 2. Diminuição da complacência craniana – > = 20%
Condições extracranianas que alteram o IR Fator Aumento do p. CO 2 Aumento da FC PCA Pneumotórax Isquemia miocárdica Policitemia Anemia Indometacina Surfactante IR
SISTEMA VENOSO
Velocidades do fluxo venoso em RN termo Vaso Velocidade média (cm/sec) Veias terminais 3, 0 + 0, 3 Veia cerebral interna 3, 3 + 0, 3 Veia de Galeno 4, 3 + 0, 7 Seio reto 5, 9 + 1, 0 Seio sagital superior 9, 2 + 1, 1 Seio sagital inferior 3, 5 + 0, 3 Taylor GA. Radiology 1992; 183: 449 -52
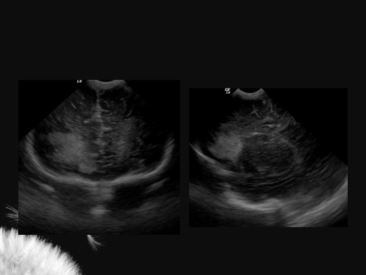
LESÃO HIPÓXICO-ISQUÊMICA NO RN TERMO
Conclusão • O Doppler craniano é uma ferramenta útil para avaliar o fluxo cerebrovascular: – Auxilia na escolha da melhor terapia – Prognóstico do paciente – Deve ser cuidadosamente correlacionado com o contexto clínico de cada paciente individualmente. – Exames seriais são especialmente úteis quando o Doppler e os achados clínicos são duvidosos.