Apikale Parodontitis Definitionen Odontium Zahnschmelz Dentin Pulpa Apikale












































- Slides: 44
Apikale Parodontitis
Definitionen: Odontium: Zahnschmelz, Dentin, Pulpa Apikale Parodontium: Zement, Periodontium, Lamina dura, Spongiosa Wenn die Krankheiten des Odontium sich fortpflanzen wird, wird Apikale Parodontium entstehen.
Hochvirulente Erreger dringen über die Wurzelkanalöffnungen in das noch gesunde Parodontium ein und verursachen eine akute entzündliche Reaktion.
Typen AKUT Primer CHRONISCH Sekunder Peridontitis periapicalis acuta Pulpagangrena Abcessus periapicalis acuta Periostitis acuta Peridontitis periapicalis chronica Abcessus periapicalis chronicus Granuloma periapicale Parodontitis apicalis chronica ossificans
Akute Apikale Parodontitis • PRIMER Symptome: Akute Entzündung in der Umgebung der Wurzelspitze. Dauerschmerz in der Umgebung des Zahnes, Perkussionsschmerz, Der Patient hat das Gefühl, der Zahn sei länger geworden. Ursache: Pulpitis, Trauma, Caries, Röntgen: Im Röntgenbild bietet die primär-akute apikale Parodontitis zunächst keine Veränderungen. Nach einigen Tagen wird der durch die Entzündung ausgelöste Knochenabbau als diffuse Aufhellung in der Umgebung der Wurzelspitze erkennbar. , + Periodontale Spalt ist breiter. • SEKUNDER Symptome: Akute Exazerbation einer primär-apikalen Parodontitis. Röntgen: Ähnlich wie chronische apikale Parodontitis
Peridontitis periapicalis acuta • Acuta Wurzelhautentzündung • Symptome: spontaner Zahnschmerz, Perkussionsschmerz • Röntgen: Keine Veränderung.
Abcessus periapicalis acuta • abgekapselte Ansammlung von Eiter • Symptome: spontaner Zahnschmerz, Perkussionsschmerz mobiler Zahn • Röntgen: Nur der periodontale Spalt ist breiter.
Periostitis acuta • Akute Knochenhautentzündung unter der Periosteum • Symptome: Schwellung Fieber, Lyphadenopathia mobiler Zahn • Röntgen: Keine Veränderung
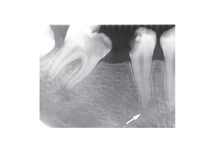
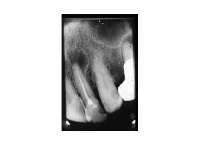
Chronische Apikale Parodontitis • Symptome: Langsamer Verlauf. Keine Schmerzen, Devitalität des betroffenen Zahnes. • Ursache: Infektion über den Wurzelkanal eines pulpentoten Zahnes • Röntgen: Im Röntgenbild apikale Aufhellung oder Parodontalspaltverbreiterung. +Knochensklerose/ Knochenverdünnung
Pulpagangrena • 2 Typen: - Gangrena simplex- nur Pulpa ist tot, Röntgen- keine Veränderung. - Gangrena complex – Knochen im Umgebung der Wurzel ist auch tot. Es kann in 2 Variazion erscheinen: Ostitis rareficiens- Knochenverdünnung Ostitis slcerotisans- Knochenneubildung
Peridontitis periapicalis chronica • Chronische Wurzelhautentzündung • Symptome: Es gibt sehr oft keine Symptome. • Röntgen: Periapikale Aufhellung-(Grenze ist nicht so scharf) Parodontalspaltverbreiterung
Abcessus periapicalis chronicus • abgekapselte Ansammlung von Eiter • Symptome: spontaner Zahnschmerz, Perkussionsschmerz Fistula, Gaumenschwellung Eiterbeule an der Gaumen • Röntgen: Irregulare und unscharfe Grenze, Aufhellung, (Granuloma ist dunkler)
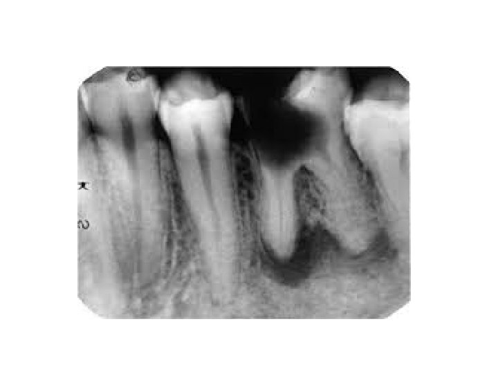
Granuloma periapicale • abgekapselte Ansammlung von Granulationsgewebe • Symptome: Keine Schmerzen, Devitalität des betroffenen Zahnes. • Röntgen: rundliche Form, scharfe Grenze, periapikale Aufhellung • Histologie: Cyst > 1 cm (Fluidum) Granuloma < 1 cm (Granulationsgewebe)
Parodontitis apicalis chronica ossificans • Hyperossification in der Parodontium • Symptome: keine Beschwerde (Patienten sind <20 Jahre alt) • Röntgen: Sklerosis
Parodontitis lateralis chronica • Es gibt Seitekanale nach mesiale oder nach distale Richtung. Die Veränderung erscheint neben der Wurzel. • Symptome: Keine Schmerzen, Devitalität des betroffenen Zahnes. • Röntgen: rundliche Aufhellung im lateralen Parodontium.
Falsch negative Diagnose • • • Foramen incisivum Foramen mentale Sinus maxillaris Foramen nasale Tuberkel von Pulpa
Therapie • Trepanation des Zahnes zum Sekretabfluss • Konservative Wurzelbehandlung mit anschließender Wurzelfüllung wird ebenfalls empfohlen • Wurzelspitzenresektion bei erhaltungswürdigem Zahn. • Die Extraktion des Zahnes im akuten Stadium ist nur in besonderen Fällen angezeigt. Es ist dann eine perioperative Antibiotikaprophylaxe erforderlich, weil der Entzündungsprozess durch das Extraktionstrauma aktiviert werden kann.
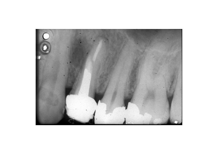
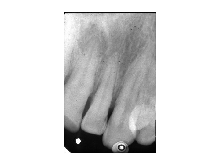
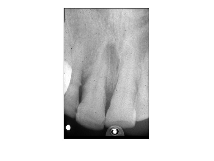
Wurzelbehandlung
Vor der Wurzelbehandlung Nach der Wurzelbehandlung