Aparato respiratorio Dra Damaris Argueta Patloga general Aparato








































- Slides: 40
Aparato respiratorio Dra. Damaris Argueta. Patóloga general
Aparato respiratorio Porción conductor a Porción respiratori a
Porción conductora �Porción anterior de la cavidad nasal (vestíbulo) : q Recubrimiento de piel y vibrisas (pelos rígidos y cortos). q La dermis del vestíbulo contiene glándulas sebáceas y sudoríparas. q Unida al pericondrio del cartílago hialino por colágena.
Región posterior de la cavidad nasal �Epitelio cilíndrico ciliado seudoestratificado (epitelio respiratorio): este epitelio tiene 6 tipos de células: caliciformes, cilíndricas ciliadas, basales, en cepillo, serosas y SNED. �Lámina propia: en la cual se encuentran glándulas, elementos linfoides, plexos arteriales y senos venosos.
Epitelio respiratorio
Región olfatoria de la cavidad nasal �Epitelio olfatorio: 1. Células olfatorias: son neuronas bipolares que forman la vesícula y cilios olfatorios. 2. Células sustentaculares: son células cilíndricas con microvellosidades. 3. Células basales: son cortas con forma de pirámide reeemplazan tanto a las células sustentaculares como olfatorias.
Región olfatoria de la cavidad nasal �Lámina propia: contiene múltiples elementos linfoifes , los axones de las células olfatorias y glándulas de Bowman.
Senos paranasales �Epitelio respiratorio. �Lámina propia
Nasofaringe �Nasofaringe superior revestida por epitelio respiratorio. �Bucofaringe media y lanrigofaringe inferior se reviste de epitelio escamoso estratificado. �Lámina propia contiene las amígdalas faríngeas.
Laringe �Epitelio respiratorio (epitelio cilíndrico ciliado seudoestratificado). �En la glotis y las cuerdas vocales está recubierta por epitelio escamoso estratificado no queratinizado.
Tráquea: tiene 3 capas Mucosa: compuesto por: Epitelio respiratorio. Lámina propia (elementos linfoides y glándulas). � Fibras elásticas (elastina) que separan la mucosa de la submucosa. 2. Submucosa : tejido conectivo que muestra glándulas y elementos linfoides. 3. Adventicia: tejido conectivo, anillo , se encarga de fijar la tráquea a estructuras adyacentes. 1. � �
Árbol bronquial �Bronquios primarios (extrapulmonares): igual constitución que la tráquea. �Bronquios intrapulmonares (secundarios y terciarios): son similares a los primarios con algunas excepciones. 1. Los anillo en C están reemplazados por placas irregulares de cartílago hialino´. 2. Músculo liso que se sitúa en la lámina propia y submucosa.
Bronquiolos (bronquiolos primarios) y bronquiolos terminales. �Miden menos de 1 mm. �El epitelio varía de cilíndrico simple ciliado, con células caliciformes a cuboidal simple con cilios y células de Clara ( se dividen para regenerar el epitelio). �Lámina propia: carece de glándulas, rodeada por una capa delgada de músculo liso. �No hay cartílago, pero sí fibras elásticas.
Porción respiratoria Bronquiolos respiratorios Conductos Sacos alveolares Alveolos.
Bronquiolos respiratorios �Su estructura es similar a los terminales, pero su pared está interrumpida por la presencia de alveolos. �Cada bronquiolo termina en un conducto alveolar. �Saco alveolar es una evaginación ciega compuesta de dos o más grupos de alveolos.
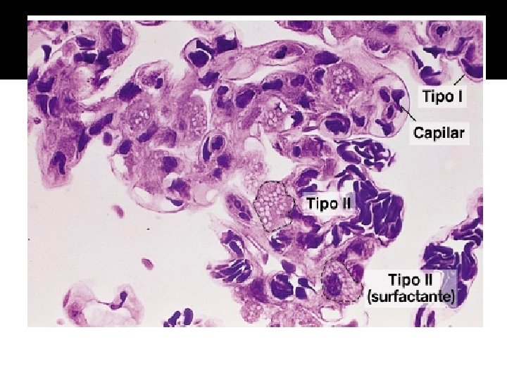
Alveolos �Son sacos de aires pequeños. �Los alveolos y los sacos están desprovistos de células musculares lisas. �En las paredes encontramos dos tipos de células: 1. Neumocitos tipo I: (epitelio escamoso simple). 2. Tipo II: son más numerosos que los tipo I, células cuboidales
Alveolos �Macrófagos alveolares. �Tabique interalveolar. Barrera alveolocapilar: Agente tensoactivo y neumocitos tipo I. Láminas basales fusionadas de neumocitos tipo I y células endoteliales capilares. 3. Células endoteliales de capilares continuos. � 1. 2.
Pleura � Compuesta de epitelio escamoso simple y tejido conectivo subseroso.
GRACIAS