AORTIC REGURGITATION WITH AND WITHOUT ASCENDING AORTIC ANEURYSM

  • Slides: 24
Download presentation
AORTIC REGURGITATION WITH AND WITHOUT ASCENDING AORTIC ANEURYSM: VALVE REPAIR TECHNIQUES MARKO TURINA University

AORTIC REGURGITATION WITH AND WITHOUT ASCENDING AORTIC ANEURYSM: VALVE REPAIR TECHNIQUES MARKO TURINA University Hospital Zurich, Switzerland

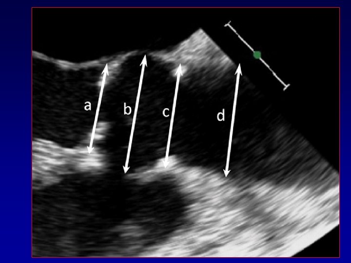
Two dimensional echocardiogram. Evangelista A Heart 2010; 96: 979 -985 Copyright © BMJ Publishing

Two dimensional echocardiogram. Evangelista A Heart 2010; 96: 979 -985 Copyright © BMJ Publishing Group Ltd & British Cardiovascular Society. All rights reserved.

Loss of commissural support due to dilatation of sino-tubular junction

Loss of commissural support due to dilatation of sino-tubular junction

Repair-oriented functional classification of aortic insufficiency with a description of disease mechanisms and repair

Repair-oriented functional classification of aortic insufficiency with a description of disease mechanisms and repair techniques employed. Boodhwani M et al. MMCTS 2009; 2009: mmcts. 2008. 003806 © 2009 European Association for Cardio-thoracic Surgery

These diagrams demonstrate the static and basic functional anatomy of the aortic root valve

These diagrams demonstrate the static and basic functional anatomy of the aortic root valve complex. Hopkins R A Eur J Cardiothorac Surg 2003; 24: 886 -897 © 2003 Elsevier B. V.

Tirone David I. the sequence demonstrates the surgical approach described initially by Tirone David

Tirone David I. the sequence demonstrates the surgical approach described initially by Tirone David in 1992, which is now known as the reimplantation technique (TD I). Hopkins R A Eur J Cardiothorac Surg 2003; 24: 886 -897 © 2003 Elsevier B. V.

Sarsam and Yacoub 1993 technique of remodeling. Hopkins R A Eur J Cardiothorac Surg

Sarsam and Yacoub 1993 technique of remodeling. Hopkins R A Eur J Cardiothorac Surg 2003; 24: 886 -897 © 2003 Elsevier B. V.

1995 Tirone David II Remodeling. Hopkins R A Eur J Cardiothorac Surg 2003; 24:

1995 Tirone David II Remodeling. Hopkins R A Eur J Cardiothorac Surg 2003; 24: 886 -897 © 2003 Elsevier B. V.

1996 Tirone David III Remodeling. Hopkins R A Eur J Cardiothorac Surg 2003; 24:

1996 Tirone David III Remodeling. Hopkins R A Eur J Cardiothorac Surg 2003; 24: 886 -897 © 2003 Elsevier B. V.

DANGEROUS TECHNIQUE, TO BE AVOIDED

DANGEROUS TECHNIQUE, TO BE AVOIDED

Cusp shortening with 7 -0 PTFE suture

Cusp shortening with 7 -0 PTFE suture

Some instructive video clips and MMCTS contributions http: //www. youtube. com/watch? v=JPH 5 nwn.

Some instructive video clips and MMCTS contributions http: //www. youtube. com/watch? v=JPH 5 nwn. Fg. Qk http: //www. youtube. com/watch? v=eudb. Xsx. Ipp. E&feature=related http: //mmcts. oxfordjournals. org/cgi/collection/aortic_valve_repair http: //mmcts. oxfordjournals. org/content/2009/0702/mmcts. 2008. 0 03806. full