AORTA AND PERIPHERAL ARTERIES ANATOMY VISUALIZATION Presented By
AORTA AND PERIPHERAL ARTERIES ANATOMY & VISUALIZATION Presented By; Dr Rakesh Jain
The Aorta n n 1. 2. 3. After originating from LV (about 3 cm in diameter ), it ascending for a short distance, arches backward and to the left side, descends within the thorax on the left side of the vertebral column Portions of aorta Ascending aorta Arch of the aorta and Descending aorta (thoracic and abdominal aorta)
Ascending Aorta (Aorta Ascendens) n n n About 5 cm. in length Passes obliquely upward, forward, and to the right, as high as the upper border of the second right costal cartilage At its origin, three small dilatations called the aortic sinuses At the union of the ascending aorta with the aortic arch, the caliber of the vessel is increased, owing to a bulging of its right wall. This dilatation is termed the bulb of the aorta Only branches of the ascending aorta are the two coronary arteries
Arch of the Aorta n n n Begins at the level of the upper border of the Rt 2 nd sternocostal joint First runs upward, backward, and to the left, infront of the trachea, then directed backward on the left side of the trachea and finally passes downward on the left side of the body of T 4, at lower border of which it becomes continuous with the descending aorta Forms two curvatures: one with its convexity upward, the other with its convexity forward and to the left
Branches of arch of aorta Three in numbern n n Innominate artery Left common carotid artery Left subclavian artery
LEFT ANTERIOR OBLIQUE VIEW CCA= common carotid artery VA= vertebral artery SCA= subclavian artery
Variations of the supraaortic vessel origins Vertibral Rt CC Rt Subclavian Inominate A Lt CC Lt Subclavian Lt CC Vertibral Lt Subclavian Rt CC Rt Subclavian
Descending Aorta Thoracic Aorta Contained in the posterior mediastinal cavity n Begins at the lower border of the T 4 n Ends in front of the lower border of the T 12 vertebra, at the aortic hiatus in the diaphragm n
Branches of the Thoracic Aorta n Visceral 1. 4. Pericardial Bronchial Esophageal Mediastinal n Parietal 1. 2. Intercostal. - usually 9 pairs Subcostal. 3. Superior Phrenic. 2. 3.
LEFT ANTERIOR OBLIQUE VIEW RCC Lt Subclavian Rt Subclavian Brachiocephalic A
Abdominal aorta n. Begins at aortic hiatus of diaphragm n. In front of lower border of T 12 n. Descending in front of the vertebral column n. Ends on L 4 -body, a little to Left of midline n. Summit of the convexity corresponding to the L 3
Branches of the abdominal aorta Visceral Branches Celiac. Superior Mesenteric. Inferior Mesenteric. Middle Suprarenals. Renals. Internal Spermatics. Ovarian (in the female) Parietal Branches Inferior Phrenics. Lumbars. Middle Sacral. Terminal Branches Common Iliacs.
b a AP VIEW c 1. Abdo Aorta 2. Coeliac trunk a. Lt gastric A b. Splenic A c. Hepatic A 3. S M A 4. I M A 5 2 6 1 3 5. Lt Renal A 6. Rt Renal A 4
LATERAL VIEW Catheter Celiac trunk Superior mesenteric artery Abdominal aorta
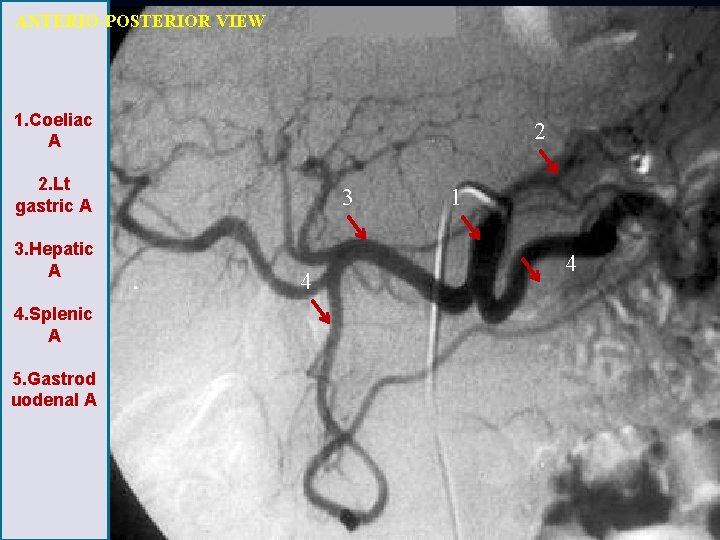
Coeliac Artery n n n Short thick trunk ≈1. 25 cm length Arises from the front of the aorta, just below the aortic hiatus of the diaphragm n n n Between T 12 & L 1 Passing nearly horizontally forward 3 large branches n n n Left gastric A - smallest Hepatic A Splenic A - largest
ANTERIO-POSTERIOR VIEW 1. Coeliac A 2 2. Lt gastric A 3. Hepatic A 4. Splenic A 5. Gastrod uodenal A 3 4 1 4
Superior Mesenteric Artery Large vessel n Arises from front of aorta, at L 1, ~1. 25 cm below Coeliac A n Passes downward and forward, to the right iliac fossa n Supply small intestine (expt superior Duo), n Cecum, Asc Colon & Rt ½ Transverse Colon
SMA-Branches Inferior Pancreatico-duodenal n Middle Colic n Right Colic n Ileocolic n Intestinal n
1 2 1. Abd Aorta 3 2. S M A 3. Middle colic A 4 4. Rt colic A 5. Ileocolic A 5 6 6. Intestinal A 7. Appendicular 7
Inferior Mesenteric Artery Smaller than SMA n Arises from aorta at L 3, about 3 or 4 cm above its division n Passes downward, posterior to the peritoneum n Continued into pelvis as Superior hemorrhoidal artery & ends on the upper rectum n Supply Lt ½ transverse colon, descending & sigmoid colon, and most of the rectum n
Inferior Mesenteric Artery branches Left Colic A n Sigmoid branches n Superior Hemorrhoidal A n
3 1. Inf mesentric A 2. Lt colic A 1 3. Marginal A 2 4. Sigmoid A 5. Superior hemorrhoidal A 5 4
Superior Hemorrhoidal Artery Form a series of loops around lower rectum n Communicate with n Middle hemorrhoidal branches of Internal Iliac A and n Inferior hemorrhoidal branches of Internal pudendal A (branch of Internal Iliac A) n
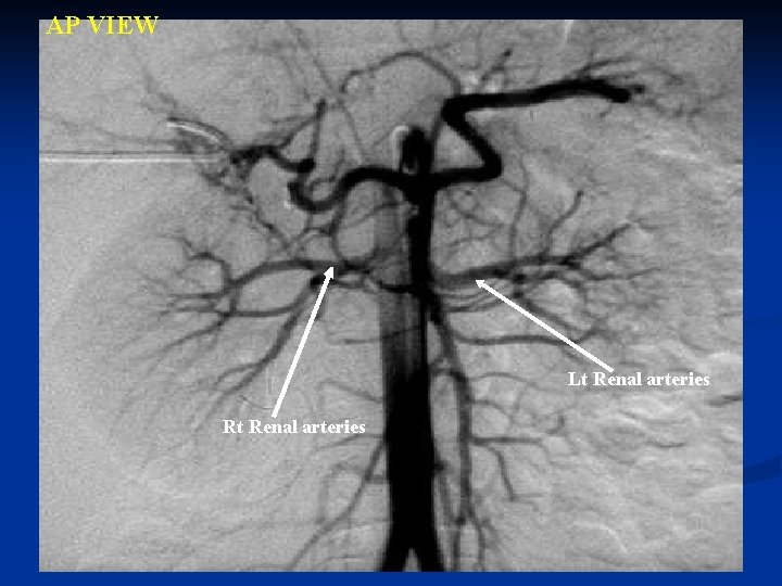
Renal arteries 1. Two large arteries 2. Arises from side of aorta, immediately below SMA 3. Nearly a right angle with the aorta 4. Right is longer than left 5. Before reaching hilus of the kidney, each artery divides into four or five branches 6. Left is somewhat higher than the right
AP VIEW Lt Renal arteries Rt Renal arteries
Common Iliac Arteries n n n Abdominal Aorta divides, on Lt side of L 4 Each about 5 cm length Rt Common Iliac A -somewhat longer than the Lt Each divide, opposite the intervertebral fibrocartilage between L 5 & S 1 2 branches→ n External Iliac A & n Internal Iliac A (Hypogastric A )
AP VIEW 1 1. Abd Aorta 2. Common iliac A 3. External iliac A 4. Internal iliac A 2 3 4
The External Iliac Artery Larger than Internal Iliac A n Passes obliquely downward and lateralward along the medial border of the Psoas major n Beneath the inguinal ligament, midway between anterior superior iliac spine and symphysis pubis entering the thigh & becomes Femoral A n
EIA-Branches ü 2 branches n n Inferior epigastric Deep iliac circumflex ü Continues as femoral A
The Internal Iliac A (Hypogastric A ) n n n Short, thick vessel, smaller than EIA Arises at the bifurcation of the common iliac, opposite the lumbosacral articulation Abt 4 cm length, on medial side of the thigh The lengths of the CIA & IIA bear an inverse proportion to each other→ IIA being long when CIA is short, and vice versa. Divides into 2 large trunks at upper margin of the greater sciatic foramen → anterior & posterior
Branches of Internal Iliac A Anterior Trunk n Superior Vesical n Middle Vesical n Inferior Vesical n Vaginal (in females) n Middle Hemorrhoidal n Obturator n Inferior Gluteal n Internal Pudendal n Inf Hemorrhoidal A n Uterine Posterior Trunk n n n Iliolumbar Lateral Sacral Superior Gluteal
Femoral Artery n n n Begins behind inguinal ligament, midway between ASIS & symphysis pubis, Ends at junction of upper ⅔ & lower ⅓ of thigh, to become Popliteal A First 4 cm -enclosed, together with Femoral V, in a fibrous sheath—the Femoral Sheath In the upper ⅓ of thigh Femoral A is contained in the Femoral Triangle (Scarpa’s triangle) In the middle ⅓ of thigh, in the Adductor Canal (Hunter’s canal)
Profunda Femoris A n n Large vessel arising from lateral & back part of Femoral A, 2 -5 cm below inguinal ligament Ends at the lower ⅓ of thigh PFA provides an important source of collateral flow to the leg and foot in patients with significant SFA stenoses or occlusion Branches. — n n n Lateral Femoral Circumflex, Medial Femoral Circumflex, Perforating branches (4 no. s)
AP VIEW Catheter Common femoral artery Superficial femoral artery
AP VIEW 1 1. Profnda F A 2. Femoral artery 2
Popliteal Artery n n n Continuation of Femoral A Extends from the opening in the Adductor magnus, at the junction of middle ⅔ & lower ⅓ of thigh Courses downward and lateralward to the intercondyloid Popliteal fossa of the femur, then vertically downward to the lower border of the Popliteus Divides into Anterior tibial A and tibioperoneal trunk. Tibioperoneal trunk is the direct continuation of the popliteal artey, arises distal to the anterior
Superficial femoral artery Popliteal artery Anterior tibial artery Posterior tibial artery Peroneal artery Tibioperoneal trunk
Posterior Tibial A n n Begins at lower border of Popliteus, opposite the interval betw tibia & fibula Descends, approaching tibial side of leg In the lower part, situated midway betw med malleolus & med process of calcaneal tuberosity Divides into Medial & Lateral plantar A
Anterior Tibial A Begins at bifurcation of Popliteal A, at the lower border of Popliteus n Passes forward through aperture above upper border of interosseous memb n Descends on anterior surface of interosseous memb, gradually approaching the tibia n On the front of ankle-joint (more superficial), becomes Dorsalis Pedis Artery. n
AP VIEW Tibioperoneal Trunk Anterior Tibial Peroneal Posterior Tibial
Ankle and Foot Vascular Anatomy To resolve ischemic rest pain or heal an ulcer, one continuously patent infrapopliteal vessel to the foot is necessary Lateral view Peroneal Anterior Tibial Posterior Tibial Medial & lateral Plantar A Dorsalis Pedis
Foot arteries front view A. tibialis anterior A. dorsalis pedis
Foot arteries down view Arcus plantaris profundus A. plantaris medialis A. plantaris lateralis A. tibialis posterior
Innominate Artery Largest branch of arch of the aorta n 4 to 5 cm. in length n Arises, on a level with the upper border of the second right costal cartilage n Ascends obliquely upward, backward, and to the right to the level of the upper border of the right sternoclavicular articulation, where it divides into the right common carotid and right subclavian arteries. n
Common Carotid Artery n n n 2 in number (Rt & Lt) Differ in length and mode of origin The right begins at bifurcation of innominate A, behind sternoclavicular joint and is confined to the neck. The left springs from the highest part of arch of the aorta to the left of, on a plane posterior to the innominate artery Each vessel passes obliquely upward Divides into the ECA & ICA, at the level of upper border of the thyroid cartilage
The Subclavian Artery Right side: arises from the innominate artery behind right sternoclavicular articulation n Left side: arises directly from the arch of the aorta n Extends to the outer border of the first rib, where it becomes the axillary artery n
branches of the subclavian artery Vertebral. n Internal mammary n Thyrocervical n Costocervical n
LEFT ANTERIOR OBLIQUE VIEW RCC Lt Subclavian Rt Subclavian Brachiocephalic A Rt Axillary A
Axillary Artery Commences at the outer border of the first rib n Ends at lower border of the tendon of the Teres major, where it takes the name of brachial n At its origin the artery is very deeply situated, but near its termination is superficial n
ANTERIO-POSTERIOR VIEW
Brachial Artery n n Commences at the lower margin of the tendon of the Teres major Passing down the arm Ends about 1 cm. below the bend of the elbow, where it divides into the radial and ulnar arteries Course; At first the brachial artery lies medial to the humerus; as it runs down the arm it gradually gets in front of the bone, and at the bend of the elbow it lies midway between its two epicondyles
Radial Artery n n n Continuation of the brachial Smaller in caliber than ulnar. Commences at bifurcation of the brachial, just below the bend of the elbow Passes along the radial side of the forearm to the wrist Then winds backward, around the lateral side of the carpus, forward toward thumb and index finger into the palm of the hand unite with the deep volar branch of the ulnar artery to form the deep volar arch
Ulnar Artery n n Larger than radial A. Begins a little below the bend of the elbow Passing obliquely downward, reaches ulnar side of the forearm, midway between the elbow and the wrist. It then runs along the ulnar border to the wrist Immediately beyond pisiform bone, it divides into two branches, which enter into the formation of the superficial and deep volar arches
ANTERIO-POSTERIOR VIEW
POSTERIO-ANTERIOR VIEW
- Slides: 71